🎙️ Voice Topic Search

🎤 Ready to Search

Click the voice button again and speak the topic name you want to search for.

Example: "Heart anatomy", "Brain structure", "Kidney function"


Topic

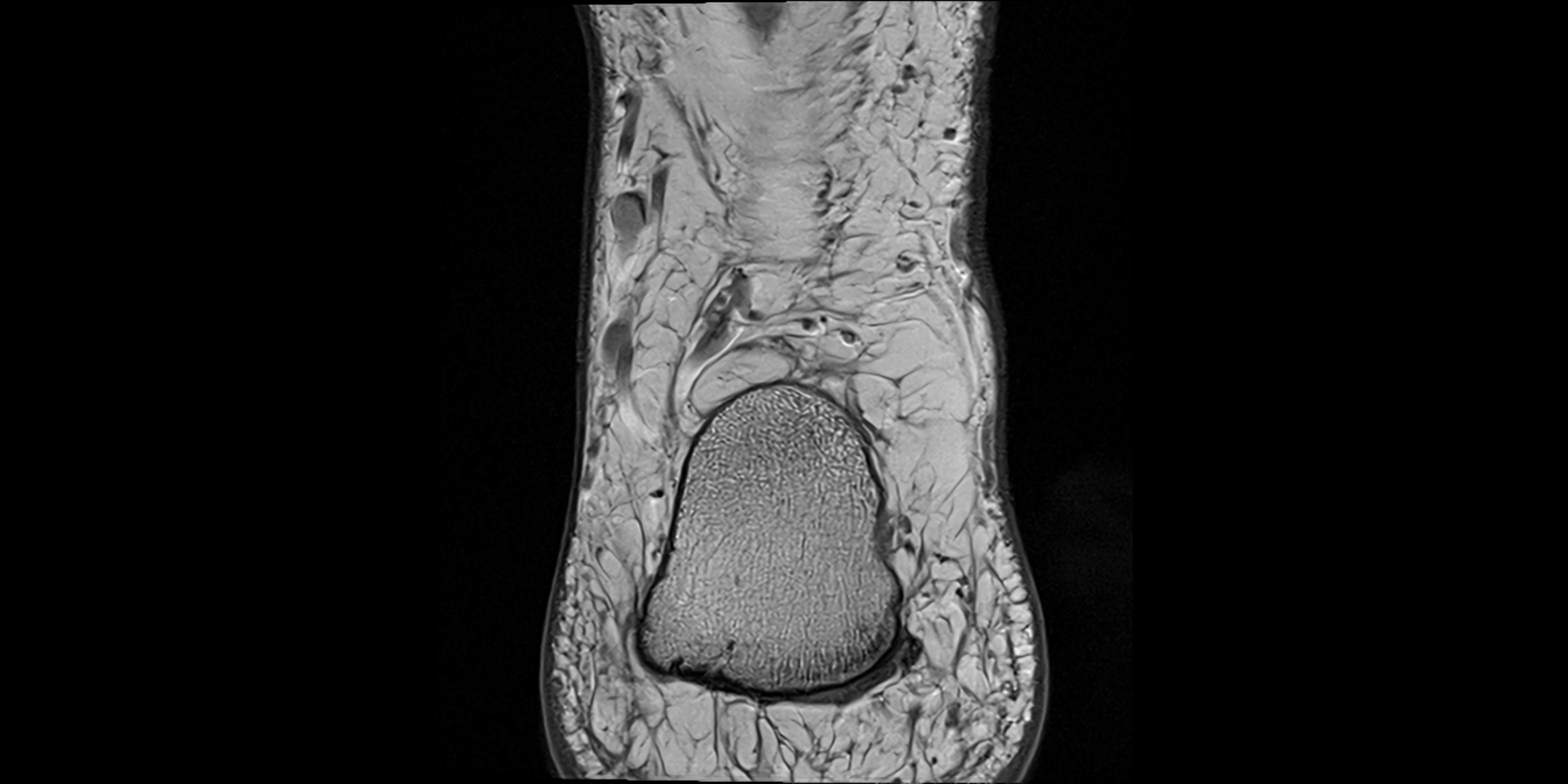
Abductor digiti minimi tendon

The abductor digiti minimi (ADM) tendon is the terminal tendon of the abductor digiti minimi muscle, a key component of the first muscular layer of the sole. It lies along the lateral border of the foot, forming the most superficial structure of the lateral plantar compartment.

This tendon inserts onto the base of the proximal phalanx of the fifth toe, allowing abduction and flexion of the toe at the metatarsophalangeal (MTP) joint. Functionally, the ADM tendon contributes to lateral stability, balance, and arch support during walking and stance.

Synonyms

  • Tendon of abductor digiti quinti

  • Abductor of the fifth toe tendon

Origin, Course, and Insertion

  • Origin: Lateral process of the calcaneal tuberosity, medial process of calcaneal tuberosity (via deep fascia), and plantar aponeurosis

  • Course: Fibers pass anteriorly and laterally along the lateral border of the foot, forming a strong flat tendon that continues toward the little toe

  • Insertion: Lateral side of the base of the proximal phalanx of the fifth toe and occasionally into the tuberosity of the fifth metatarsal

Tendon Attachments

  • The tendon passes anteriorly beneath the plantar fascia, along the lateral aspect of the foot

  • Blends distally with the fibrous digital sheath and plantar plate at the fifth MTP joint

  • May fuse partially with the flexor digiti minimi brevis tendon or lateral band of the plantar aponeurosis

  • Provides lateral reinforcement to the lateral longitudinal arch

Relations

  • Superiorly: Lateral plantar vessels and nerve

  • Inferiorly: Plantar skin and fascia

  • Medially: Flexor digiti minimi brevis and lateral plantar artery

  • Laterally: Subcutaneous tissue at the lateral foot margin

  • Posteriorly: Lateral process of calcaneus

  • Anteriorly: Base of the fifth toe and MTP joint capsule

Nerve Supply

  • Lateral plantar nerve (branch of the tibial nerve, roots S1–S2)

Function

  • Abduction of fifth toe: Draws the little toe laterally away from the midline of the foot

  • Flexion assistance: Aids in flexing the fifth toe at the MTP joint

  • Arch support: Reinforces the lateral longitudinal arch during gait and stance

  • Balance and stability: Provides lateral support and correction of foot alignment during locomotion

Clinical Significance

  • Tendinopathy: Overuse or mechanical stress causes pain along the lateral plantar margin

  • Muscle strain: Common in athletes and dancers due to repetitive push-off or lateral loading

  • Entrapment neuropathy: Lateral plantar nerve compression may cause weakness and atrophy of ADM

  • Heel pain syndrome: ADM hypertrophy or inflammation can contribute to lateral plantar heel pain

  • Surgical relevance: Serves as a lateral anatomic landmark during plantar fasciotomy or fifth ray procedures

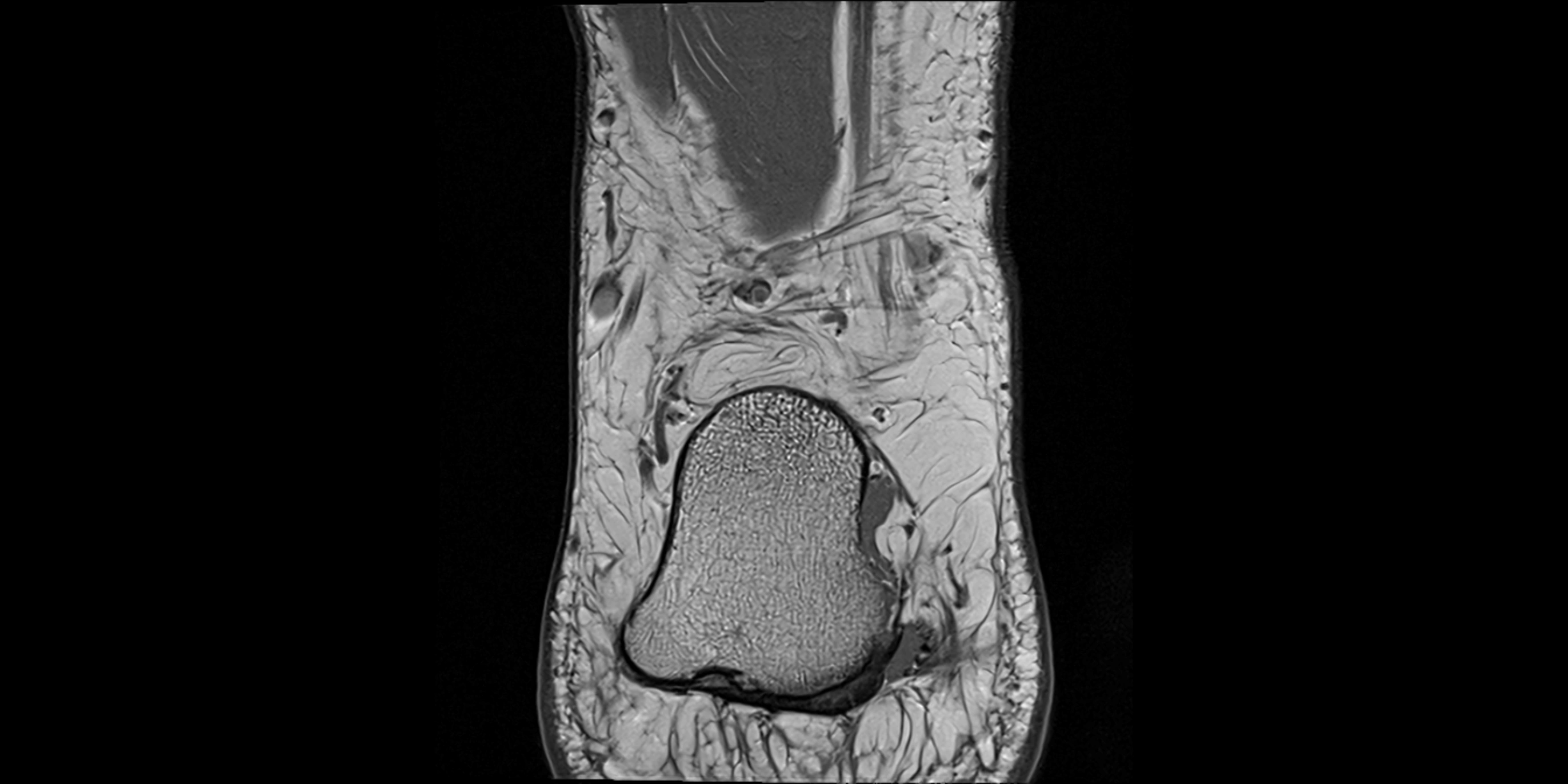
MRI Appearance

  • T1-weighted images:

    • Muscle belly: intermediate signal intensity with visible fascicular structure

    • Tendon: low signal (dark linear band) extending to the base of the fifth toe

    • Surrounding fat: bright, outlining tendon and muscle course

    • Partial tear or tendinopathy: focal thickening with increased intermediate signal intensity

  • T2-weighted images:

    • Normal muscle: intermediate-to-low signal, slightly darker than on T1

    • Normal tendon: very low signal (dark), smooth and continuous

    • Pathology: bright hyperintense foci along the tendon or myotendinous junction representing inflammation, edema, or partial tear

    • Peritendinous fluid or sheath thickening appears as bright hyperintensity

  • STIR:

    • Normal muscle: intermediate-to-dark signal intensity

    • Normal tendon: very low (dark) signal

    • Pathologic tendon: bright hyperintense signal due to edema, strain, or peritendinous inflammation

    • Useful for detecting subtle muscle edema or partial detachment at calcaneal origin

  • Proton Density Fat-Saturated (PD FS):

    • Normal muscle: intermediate-to-dark homogeneous signal

    • Normal tendon: low (dark) signal with sharp margins

    • Pathology: bright hyperintense areas in the tendon or surrounding soft tissue indicating tendinopathy, tear, or fluid accumulation

  • T1 Fat-Sat Post-Contrast:

    • Normal tendon: minimal or no enhancement

    • Inflammation: focal enhancement along tendon sheath or myotendinous junction

    • Chronic tendinopathy: mild peripheral enhancement surrounding central low-signal fibrosis

CT Appearance

Non-Contrast CT:

  • Muscle: homogeneous soft-tissue density lateral to calcaneus

  • Tendon: linear soft-tissue density running toward the fifth toe

  • Chronic changes: tendon thickening or calcification at its insertion on the fifth metatarsal

  • Subcutaneous fat: clearly outlines lateral tendon course

Post-Contrast CT (standard):

  • Muscle: uniform mild enhancement

  • Inflamed or hypertrophic tendon: focal enhancement

  • Helpful for identifying enthesopathic changes, fibrosis, or calcific tendinopathy at the lateral plantar region

MRI image

image

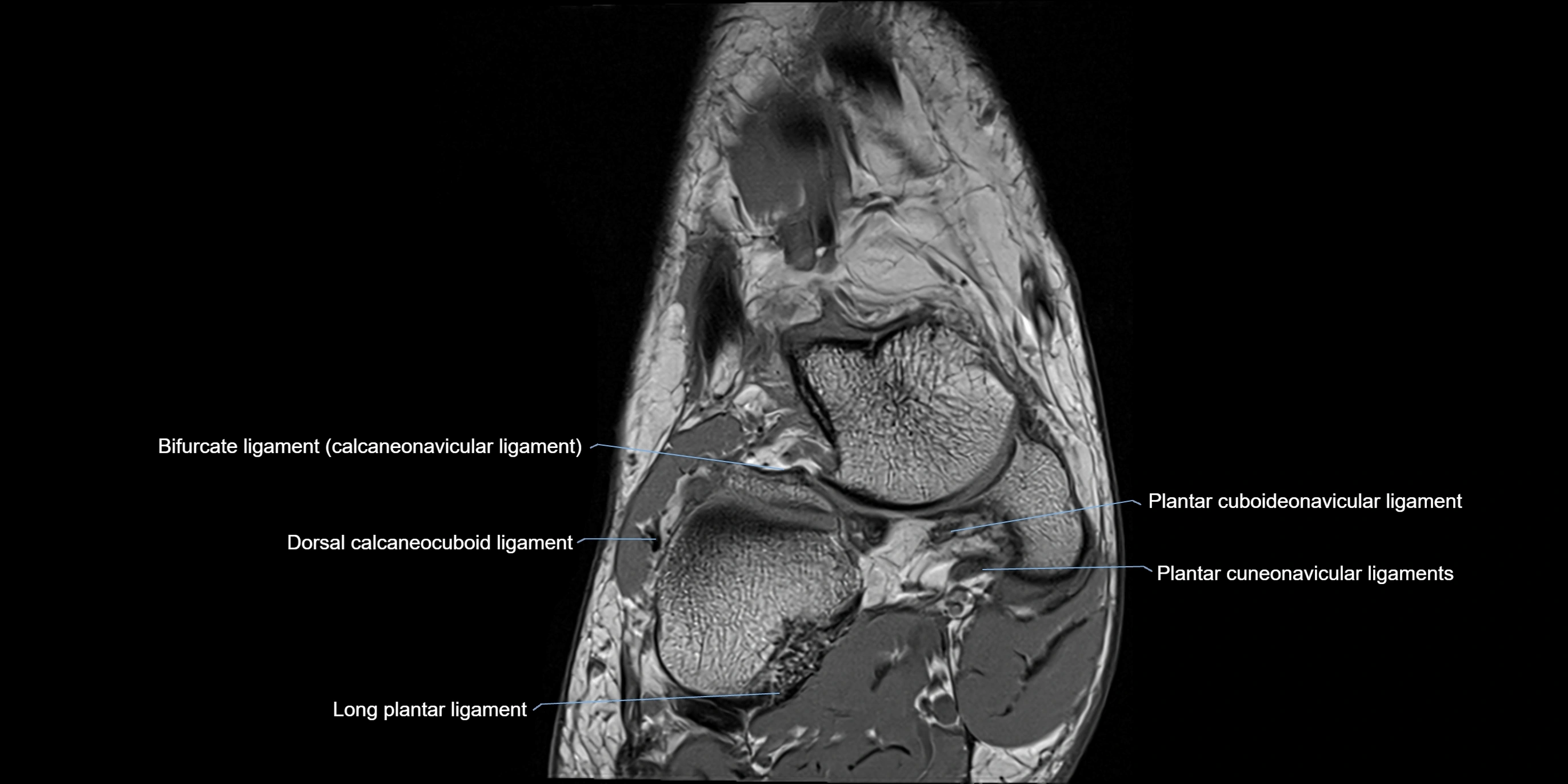
MRI image

image

MRI image

image

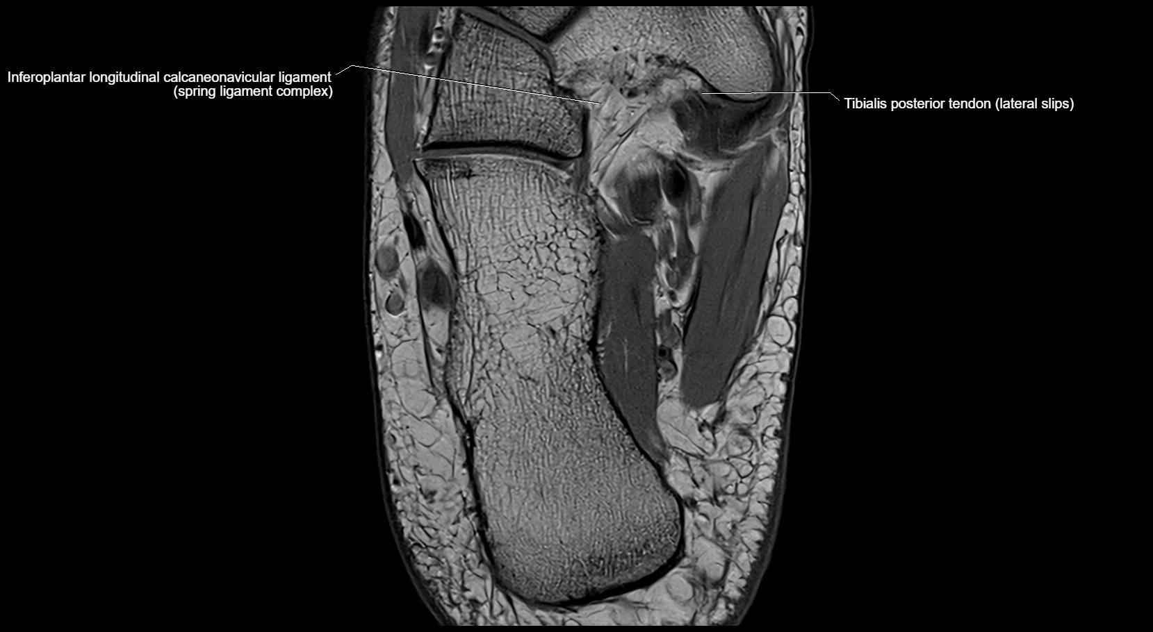
MRI image

image

MRI image

image

CT image

image

CT image

image

TEST YOURSELF

🔒

Subscribe to access quizzes

Login & Subscribe
Fullscreen Image