🎙️ Voice Topic Search

🎤 Ready to Search

Click the voice button again and speak the topic name you want to search for.

Example: "Heart anatomy", "Brain structure", "Kidney function"


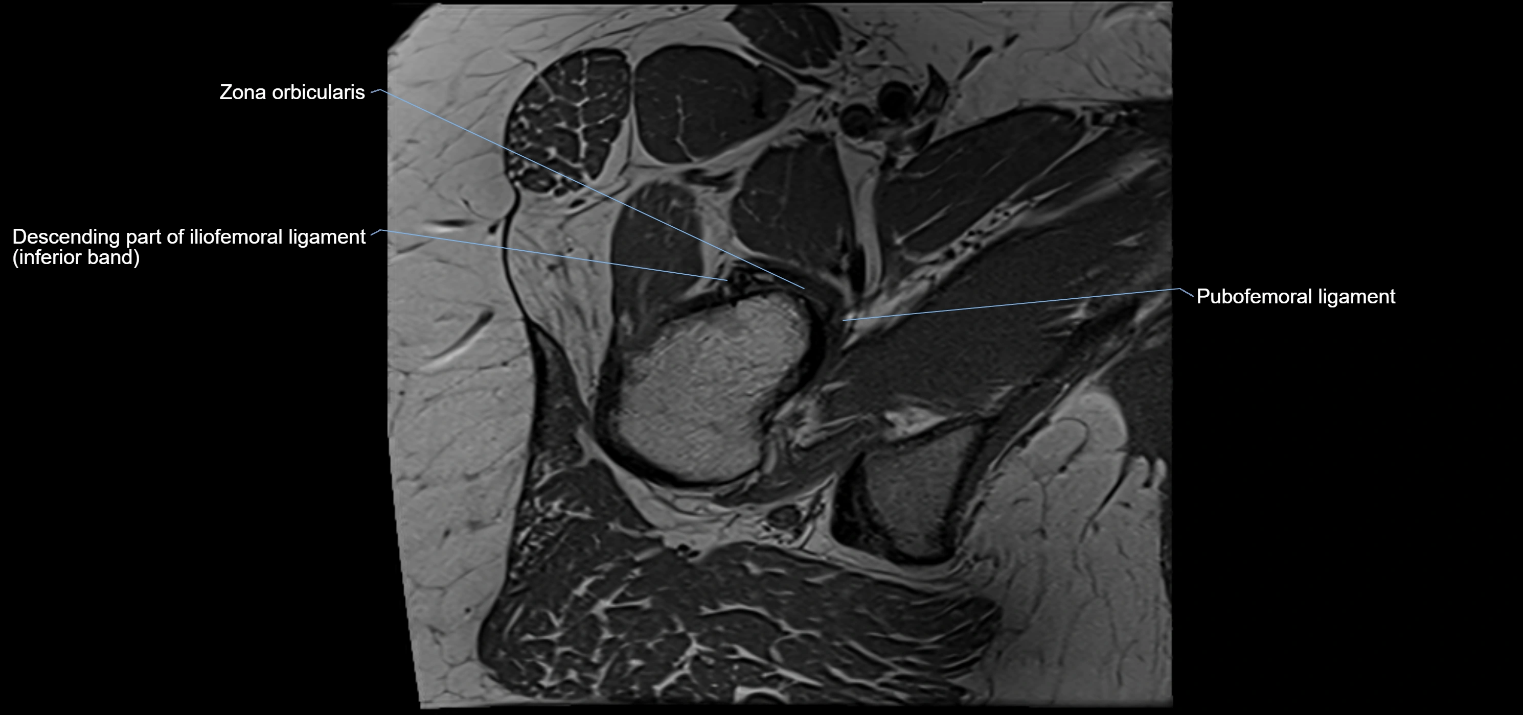
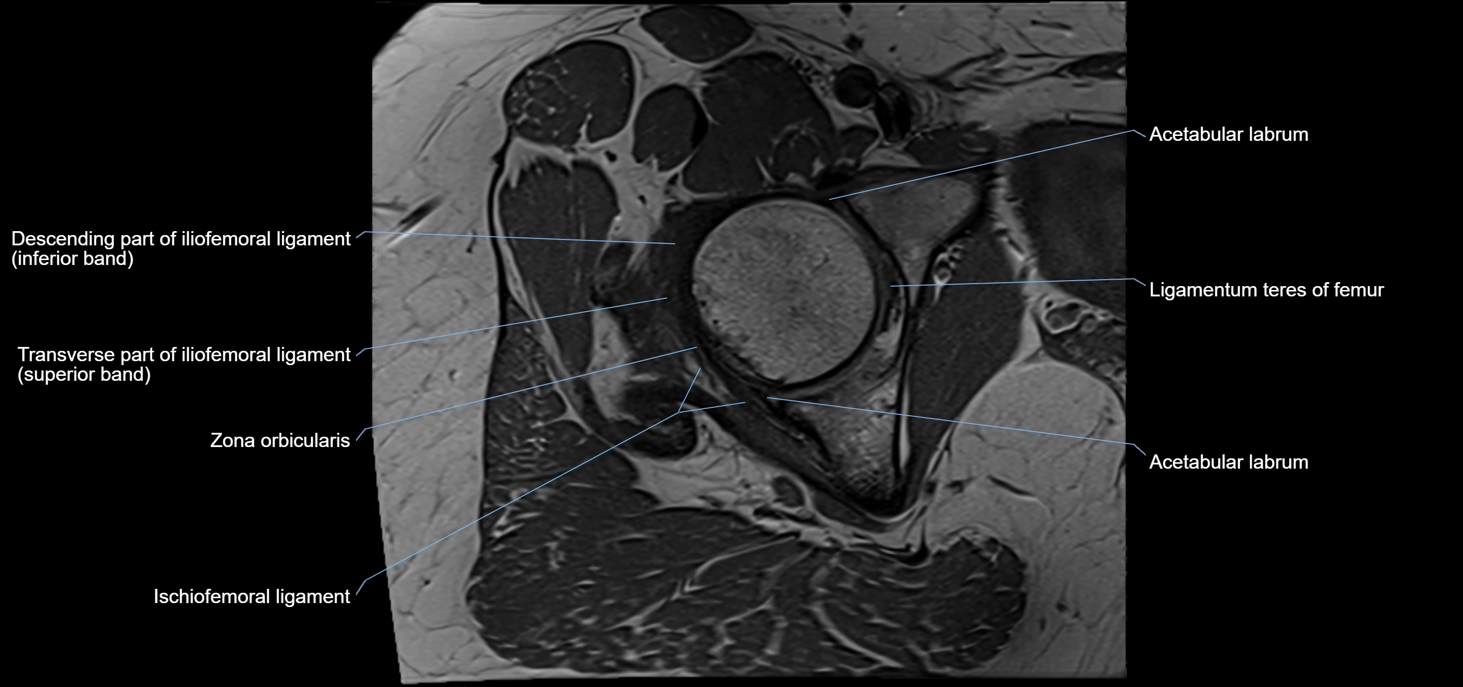
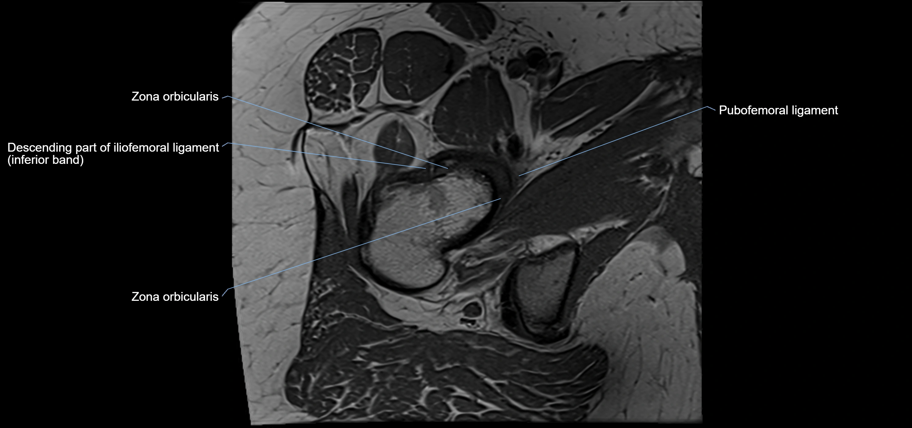
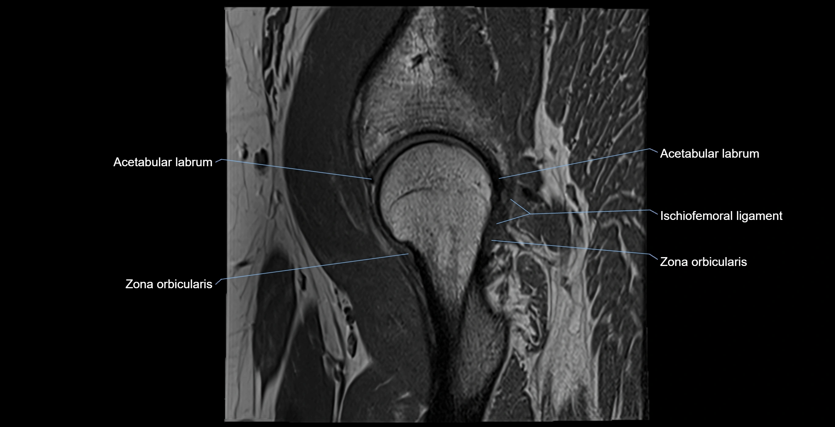
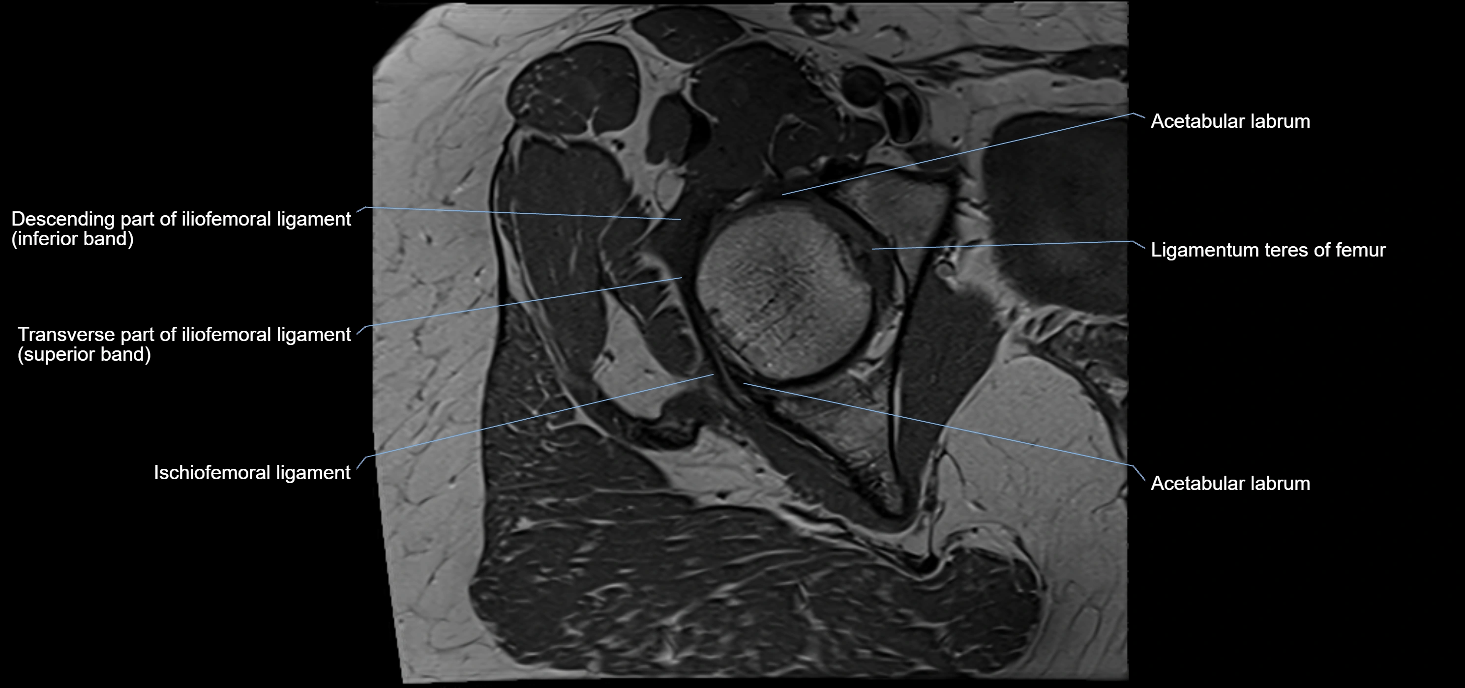
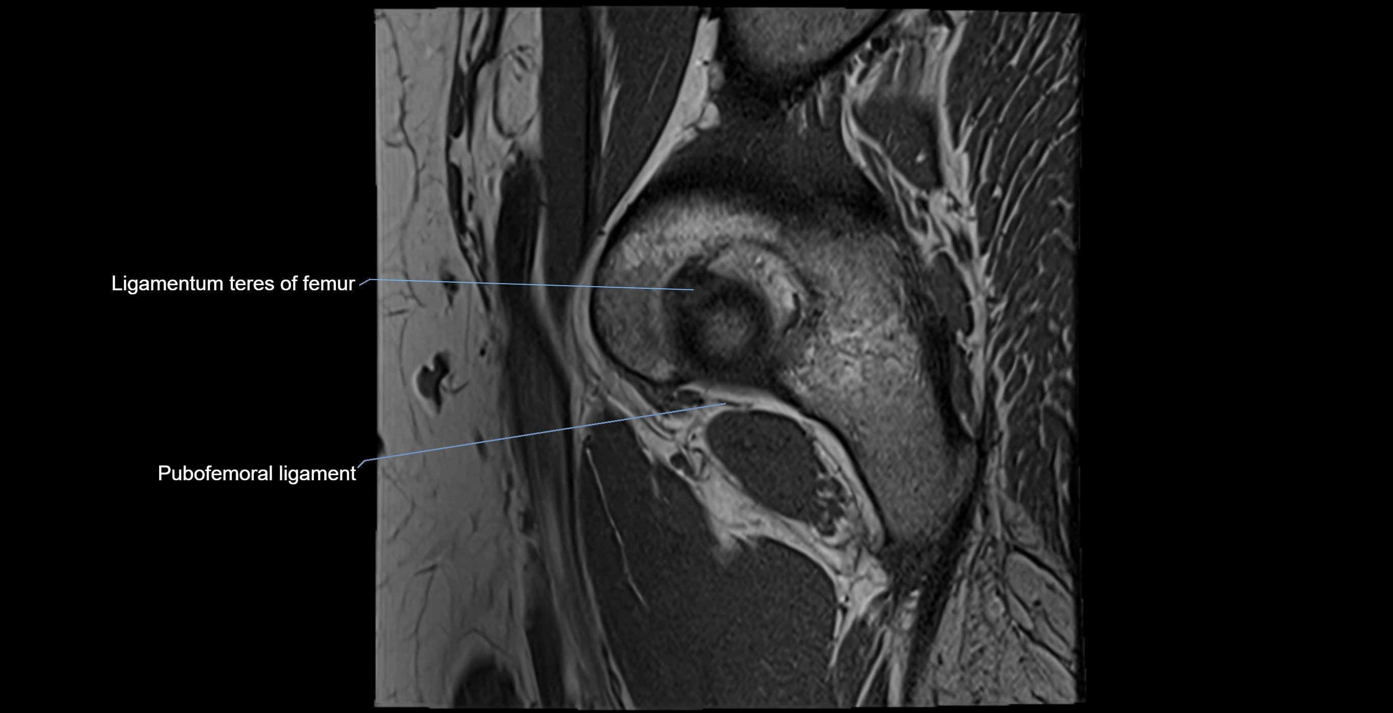
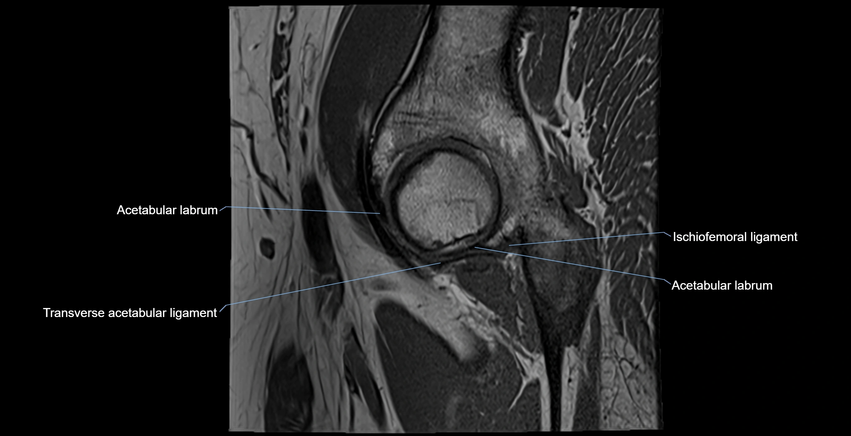
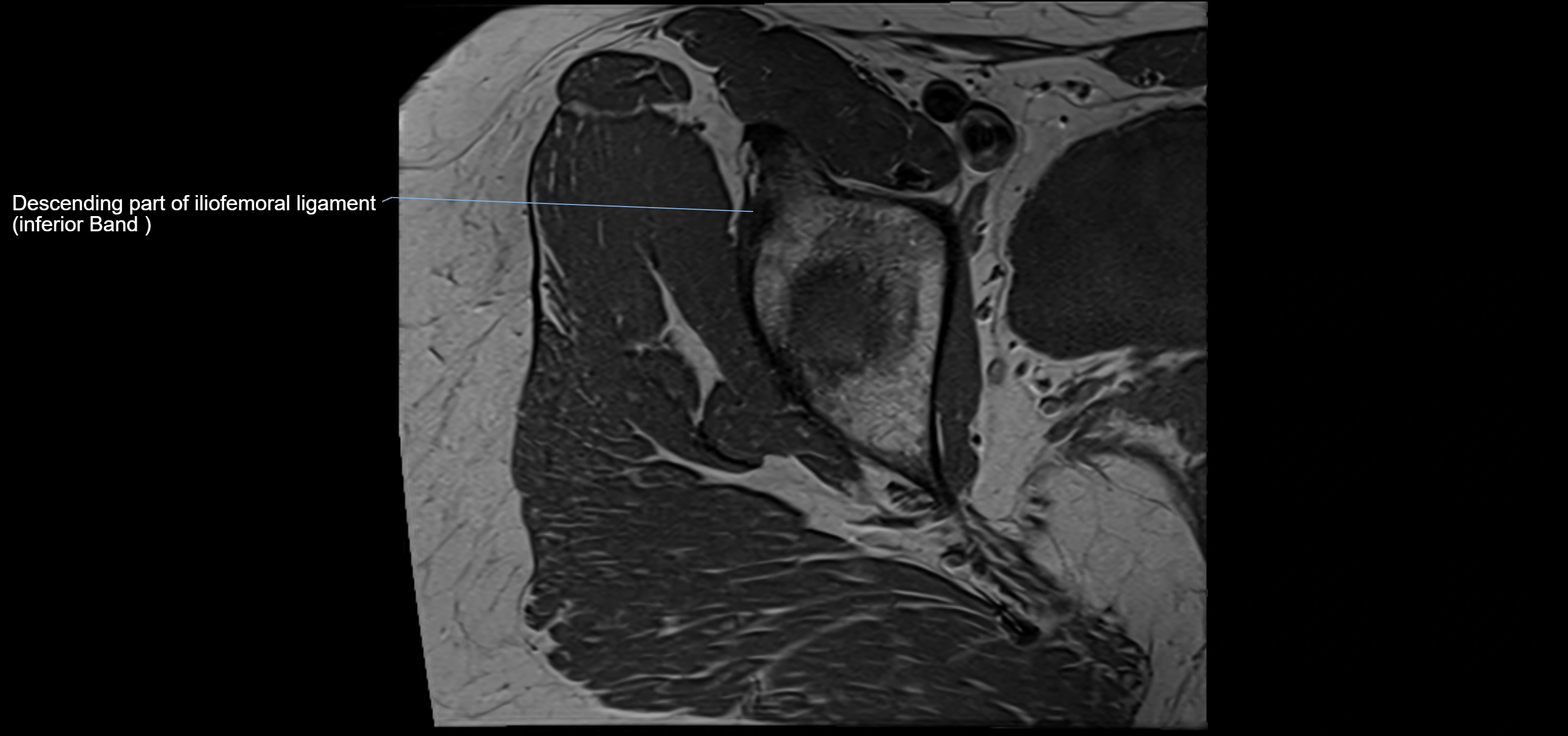
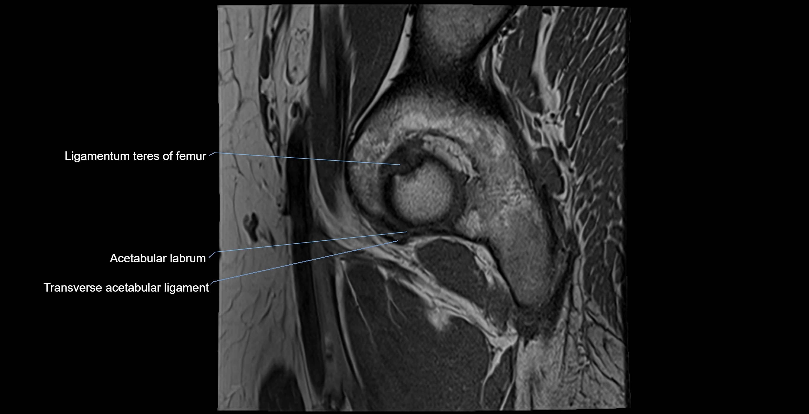
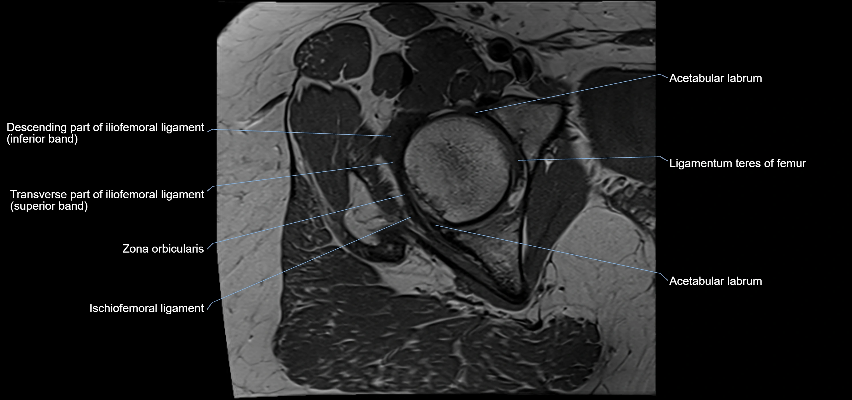
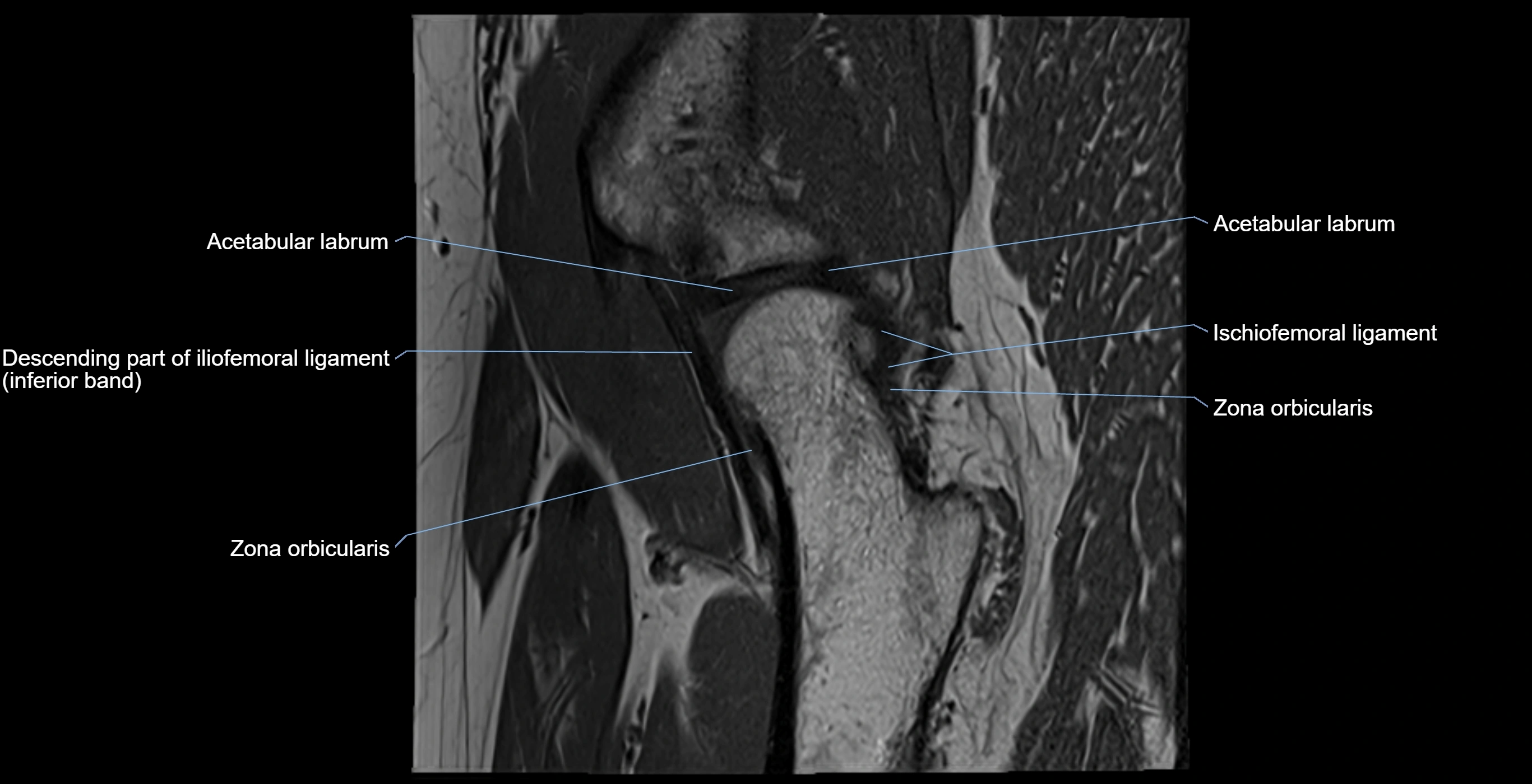
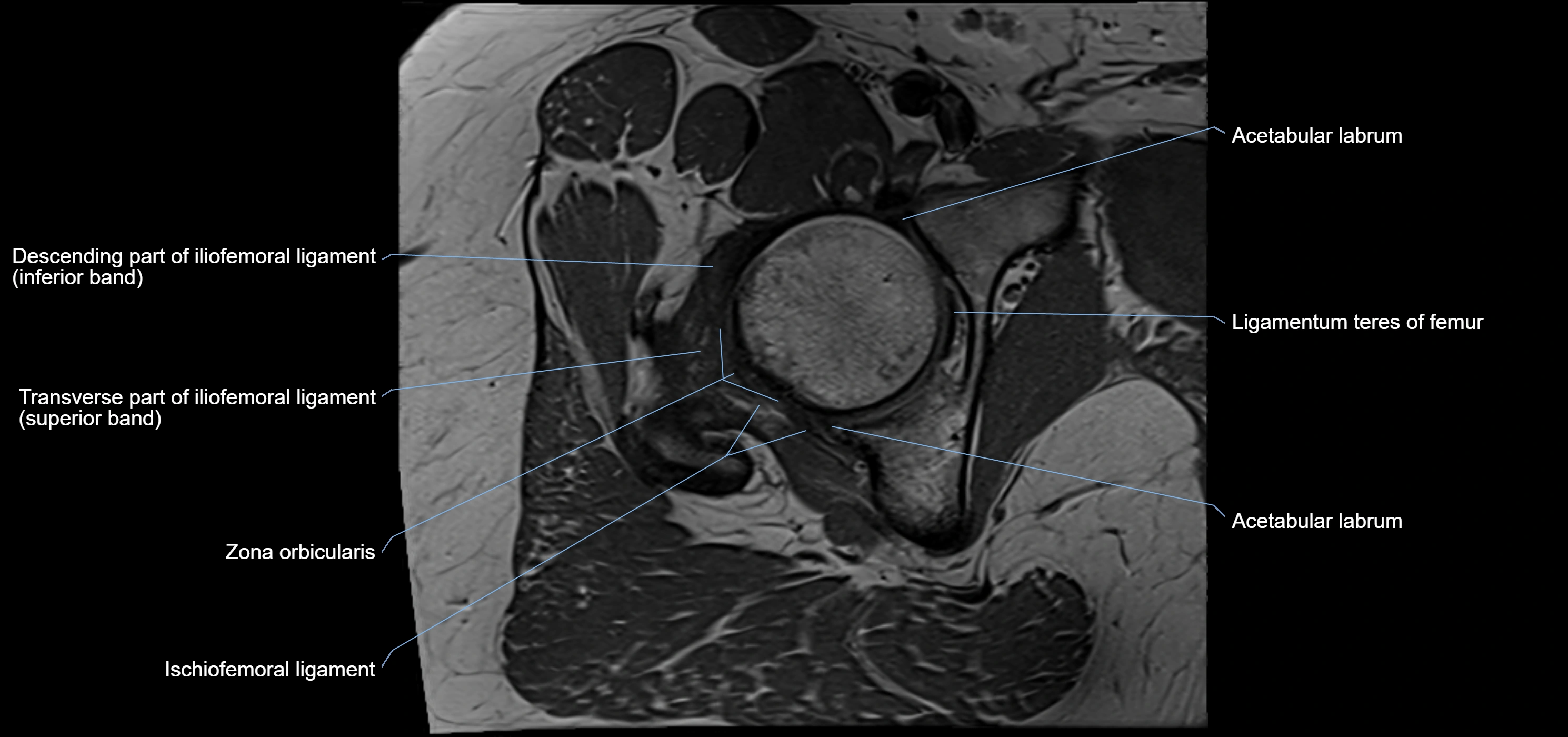
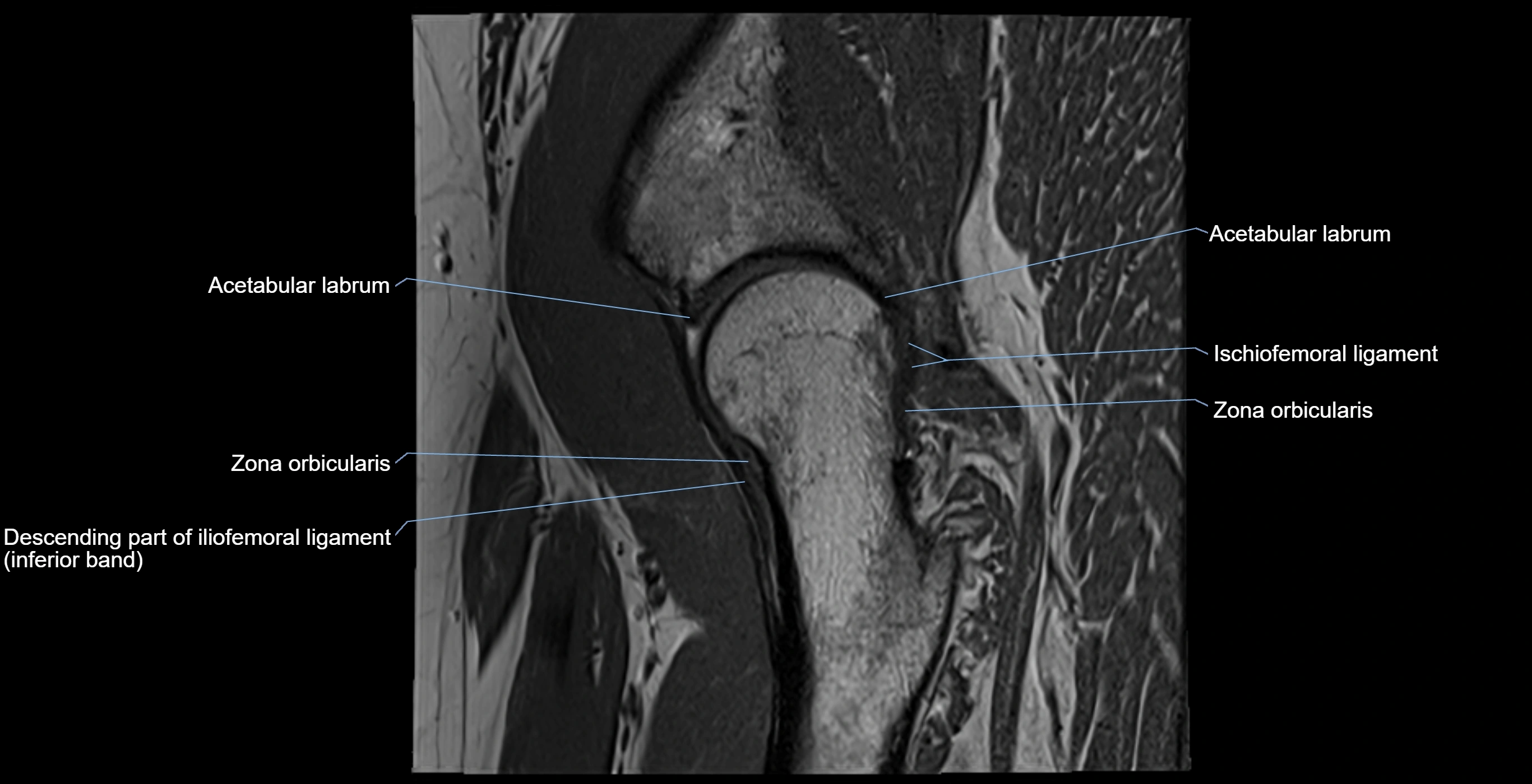
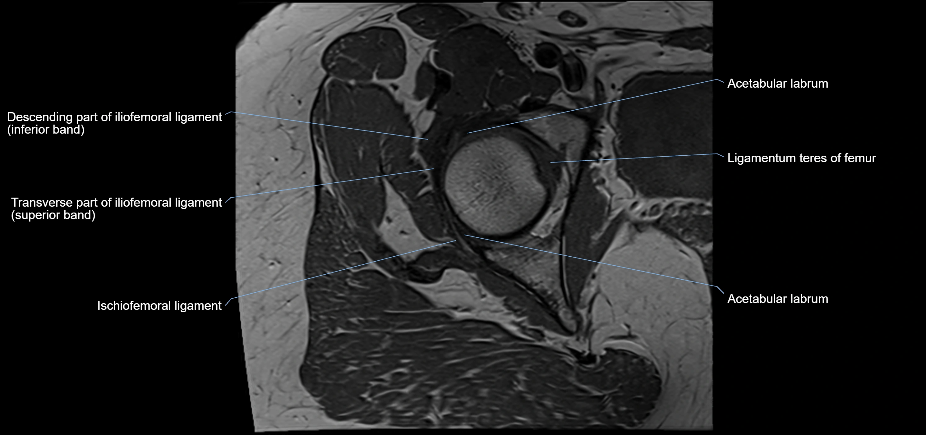
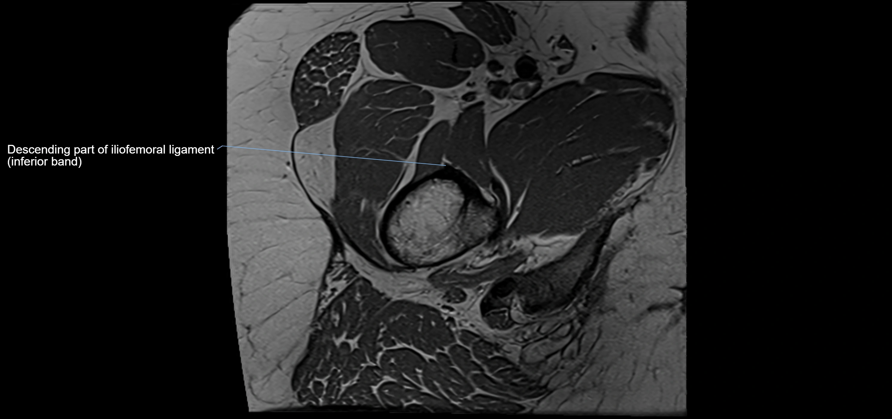
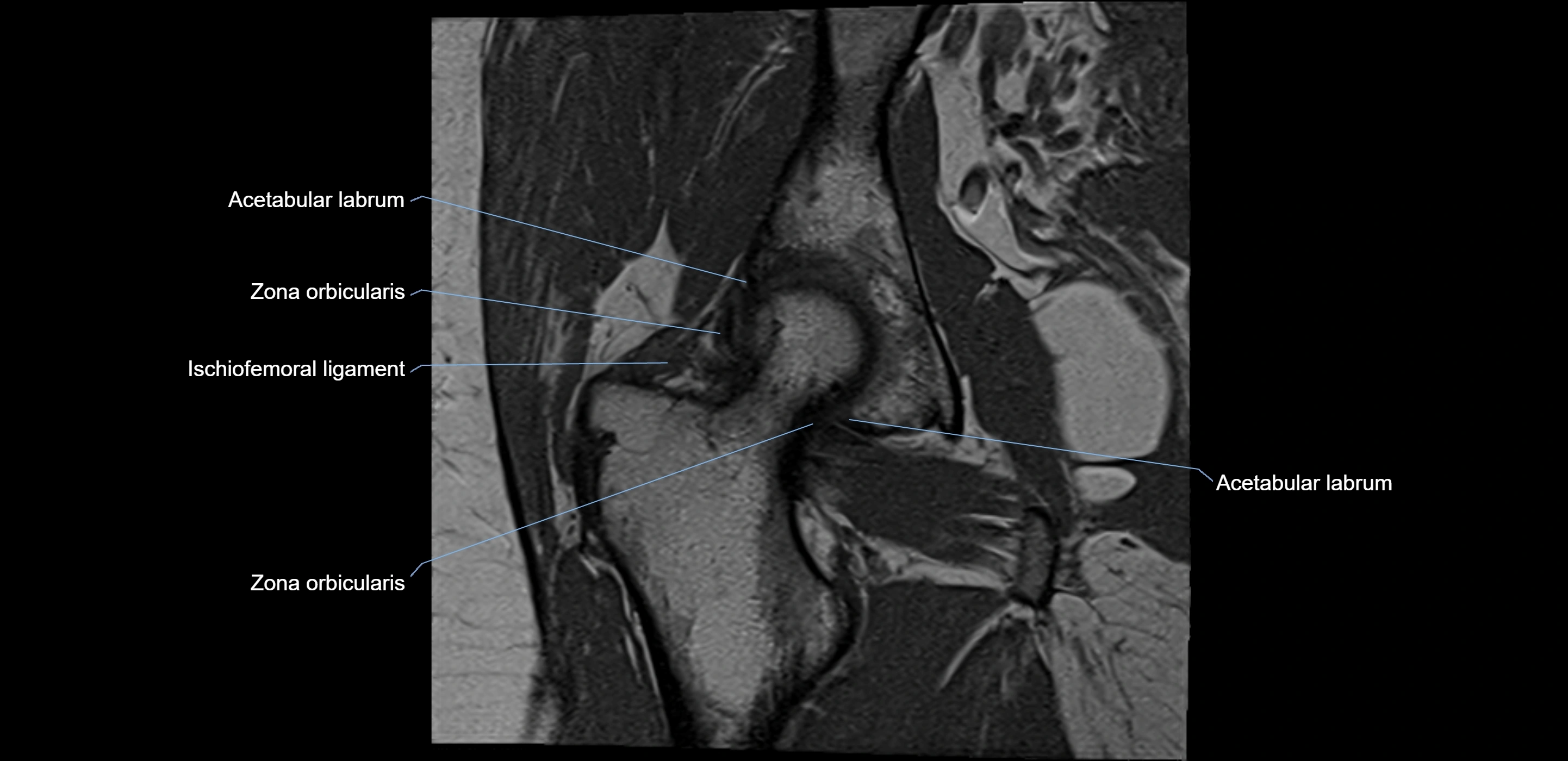
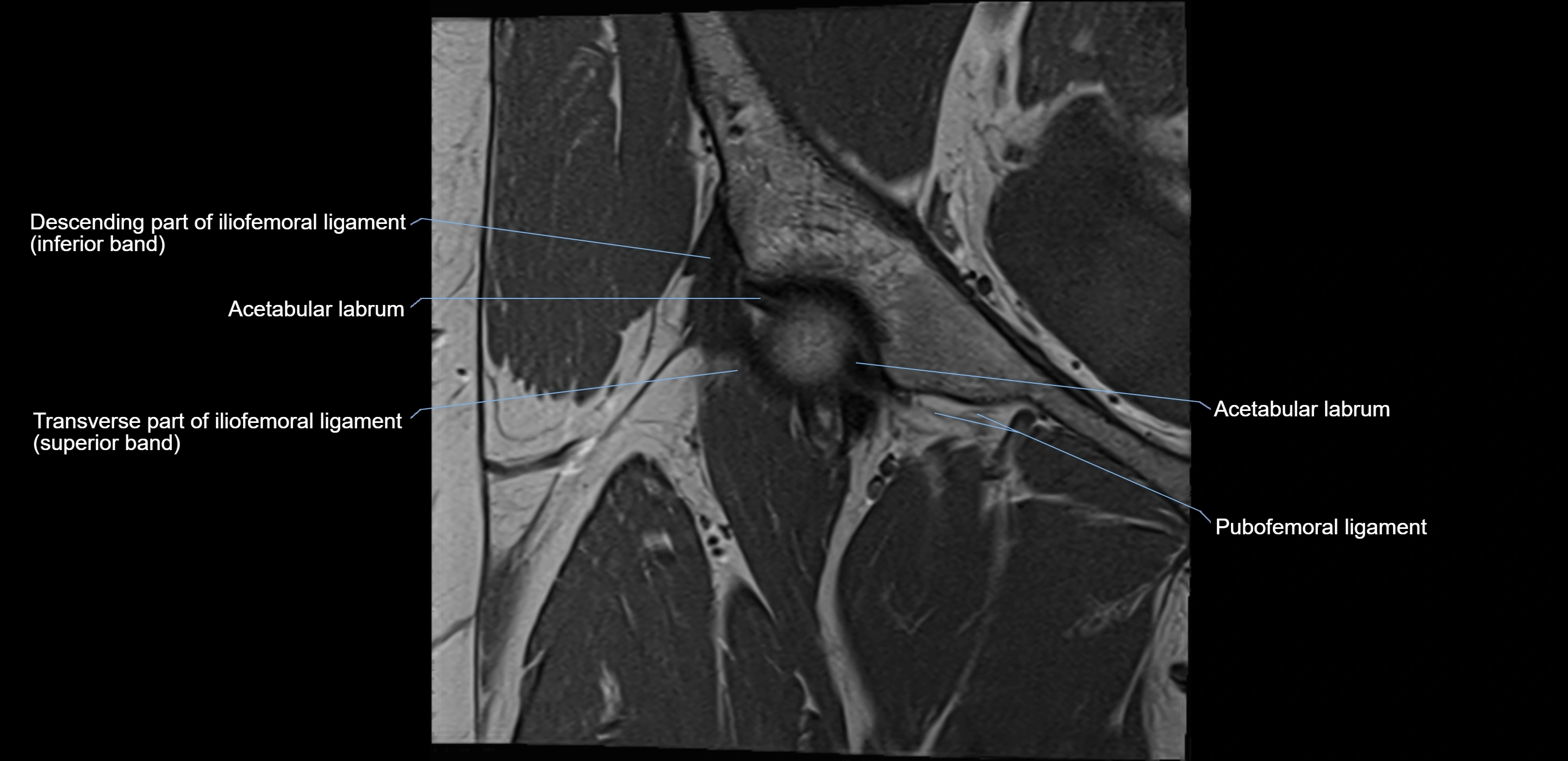
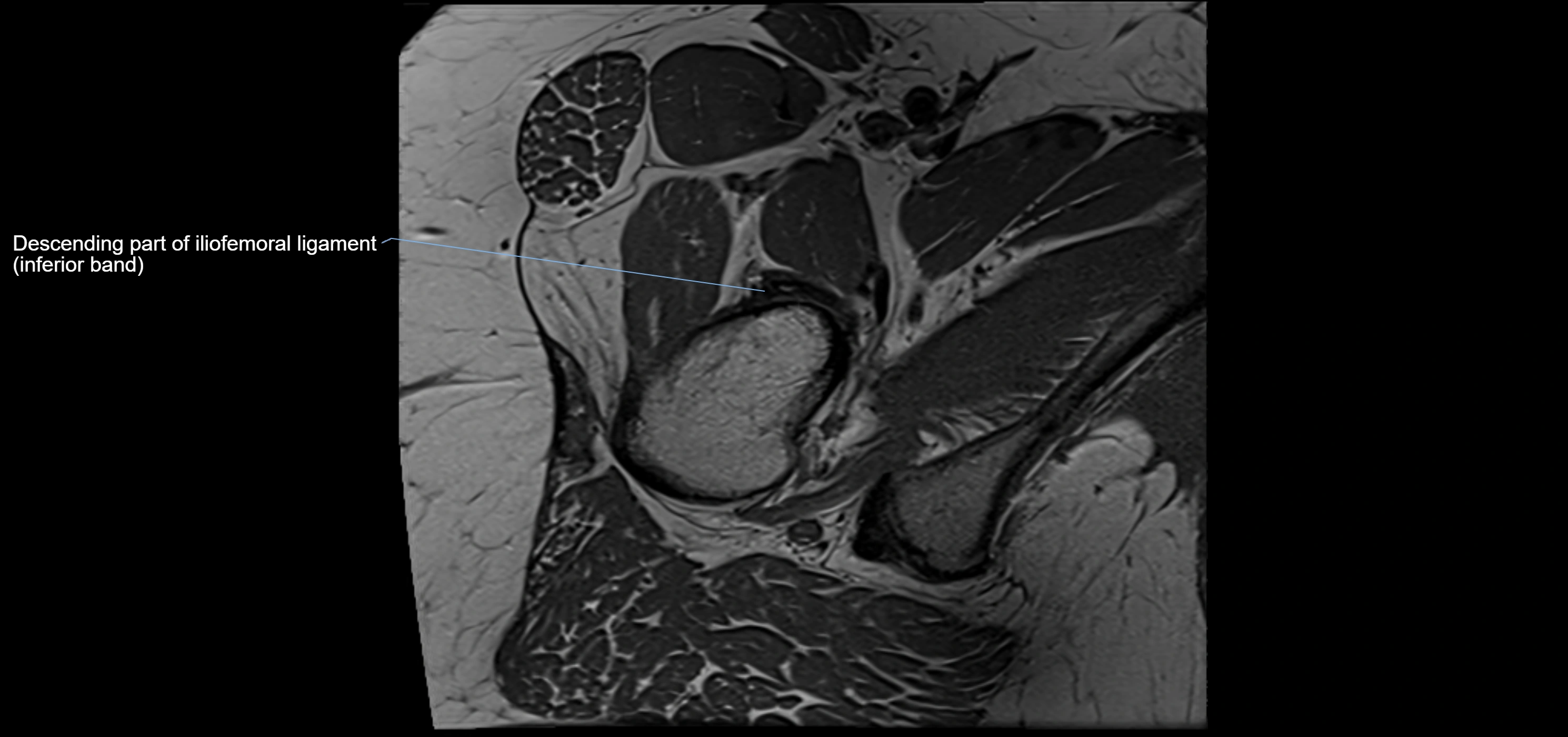
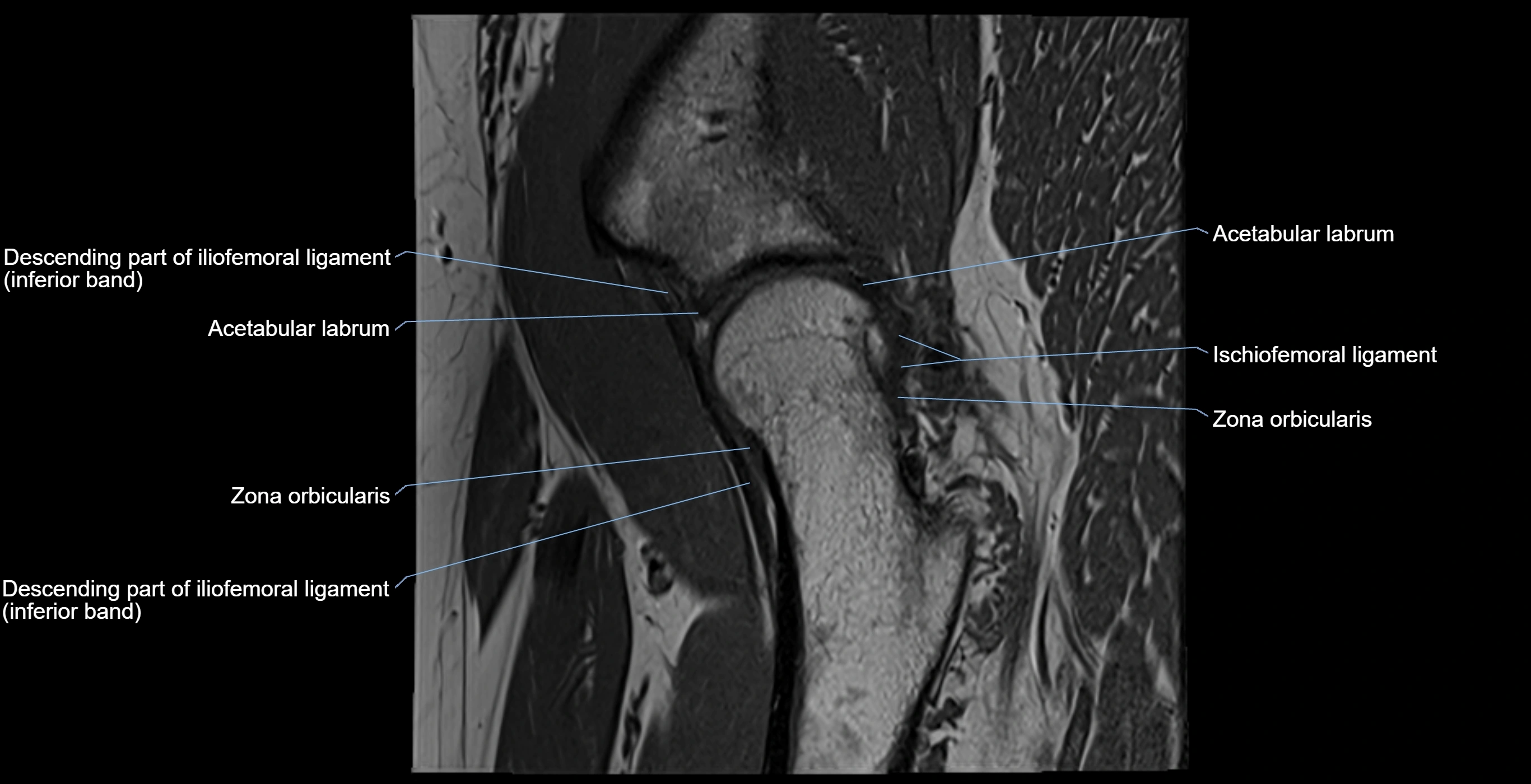
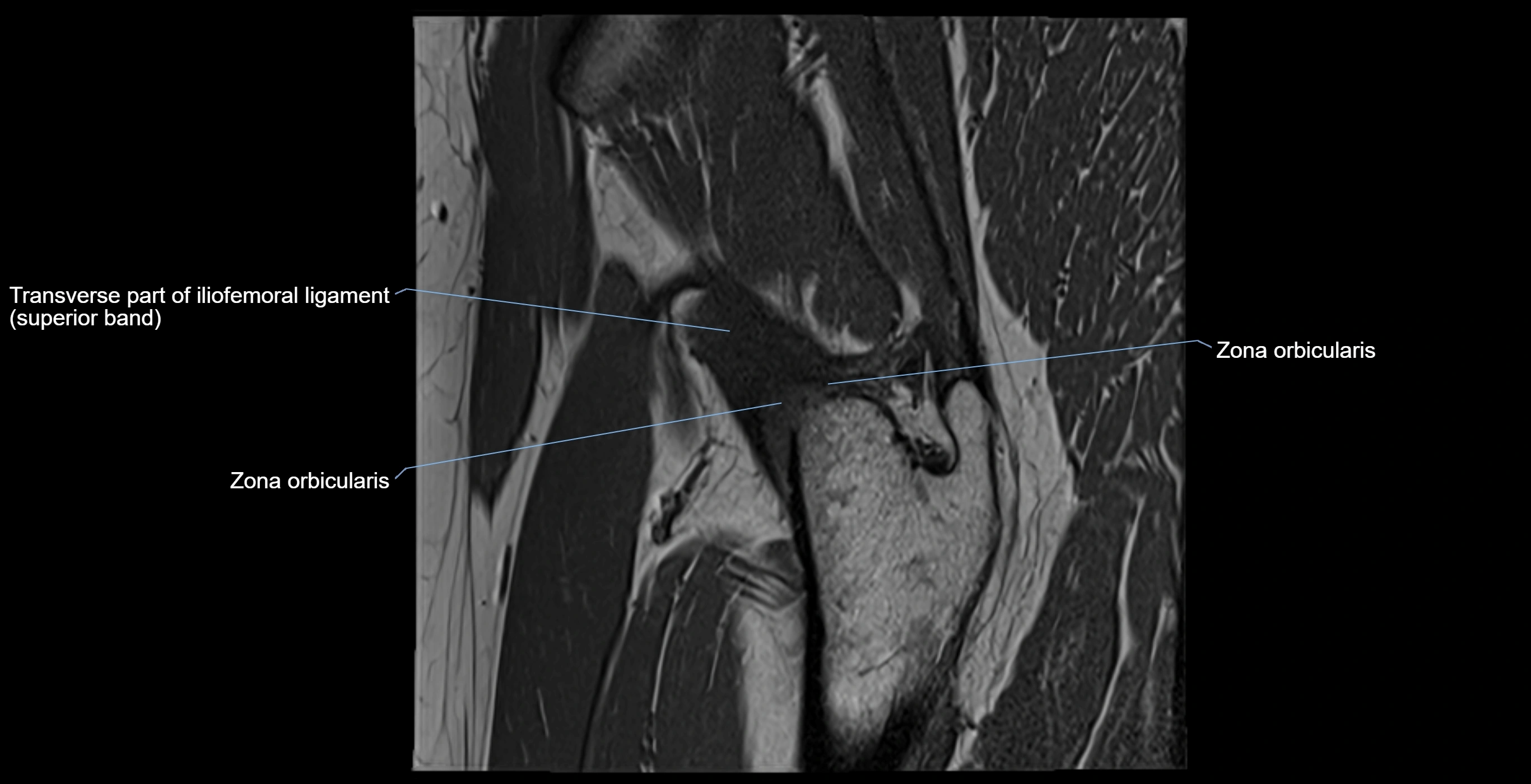
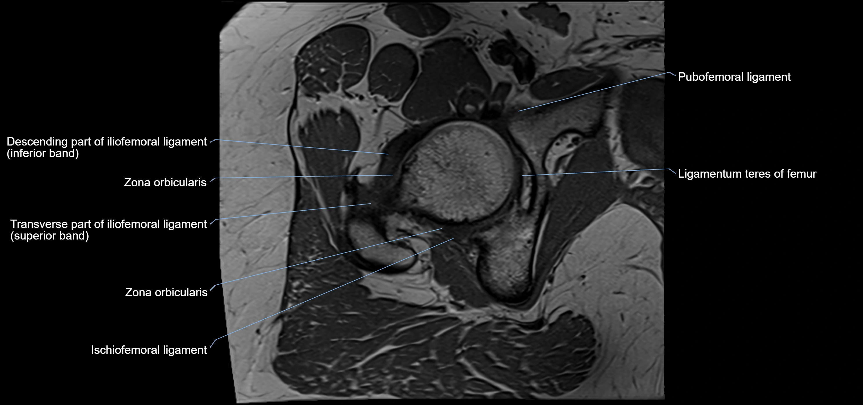
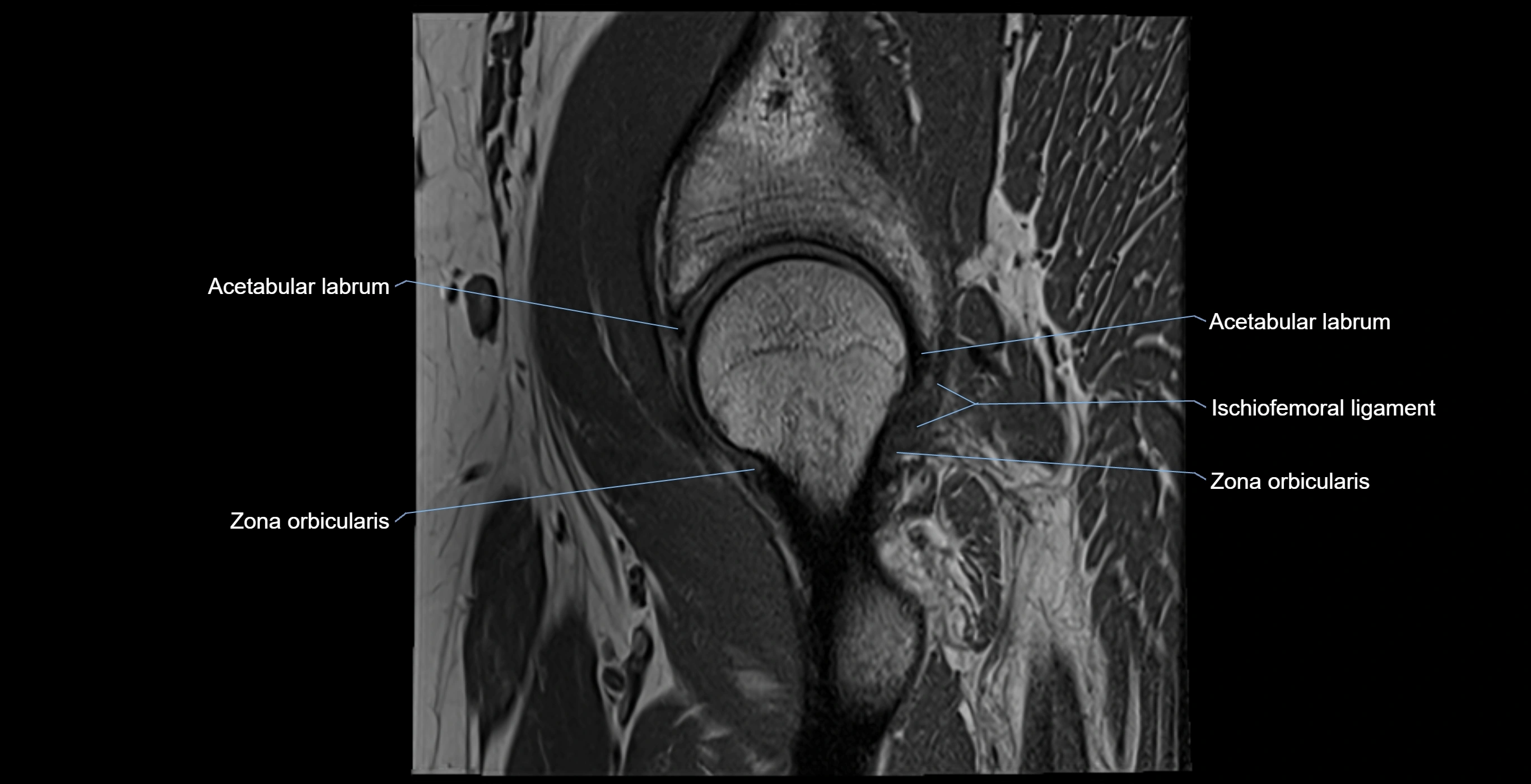
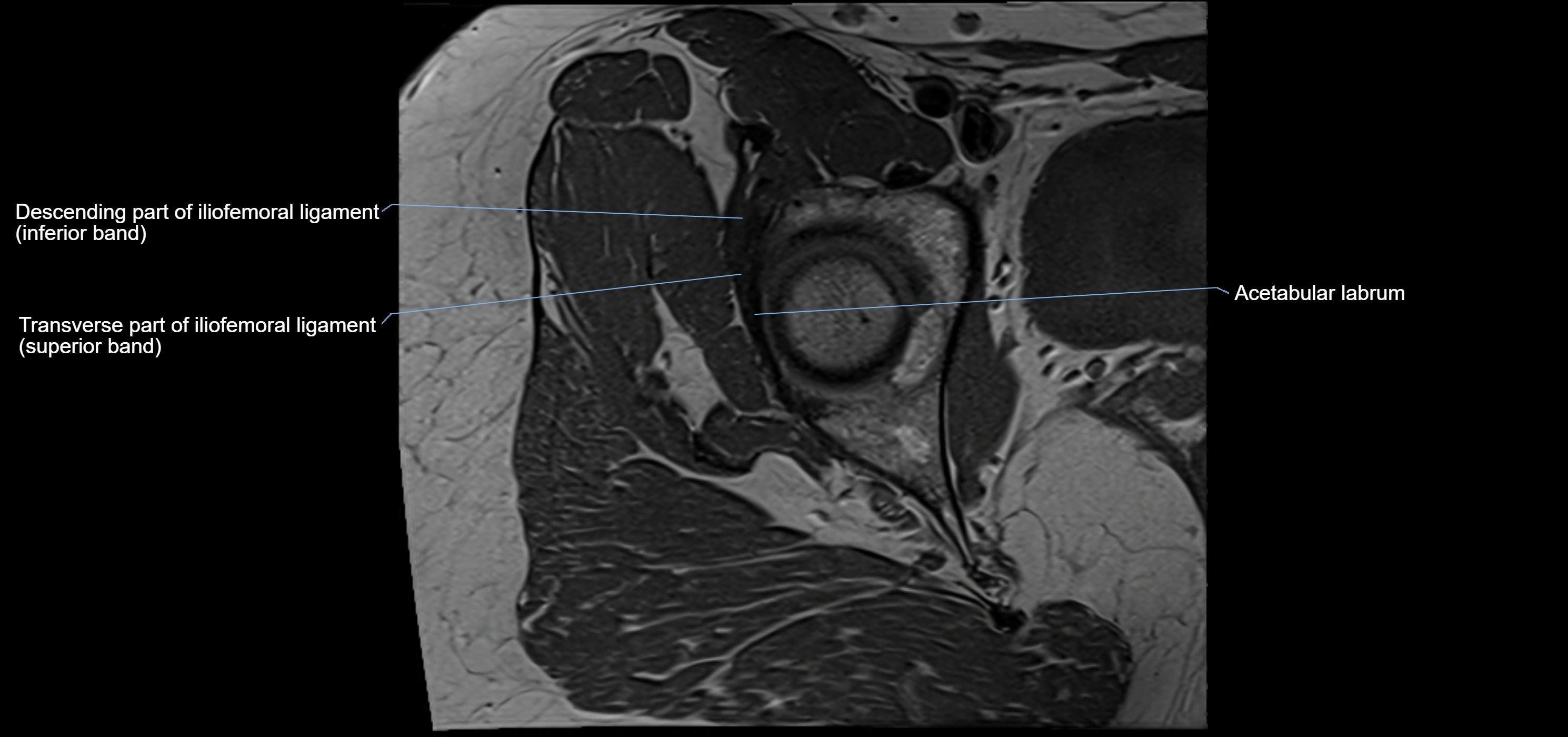
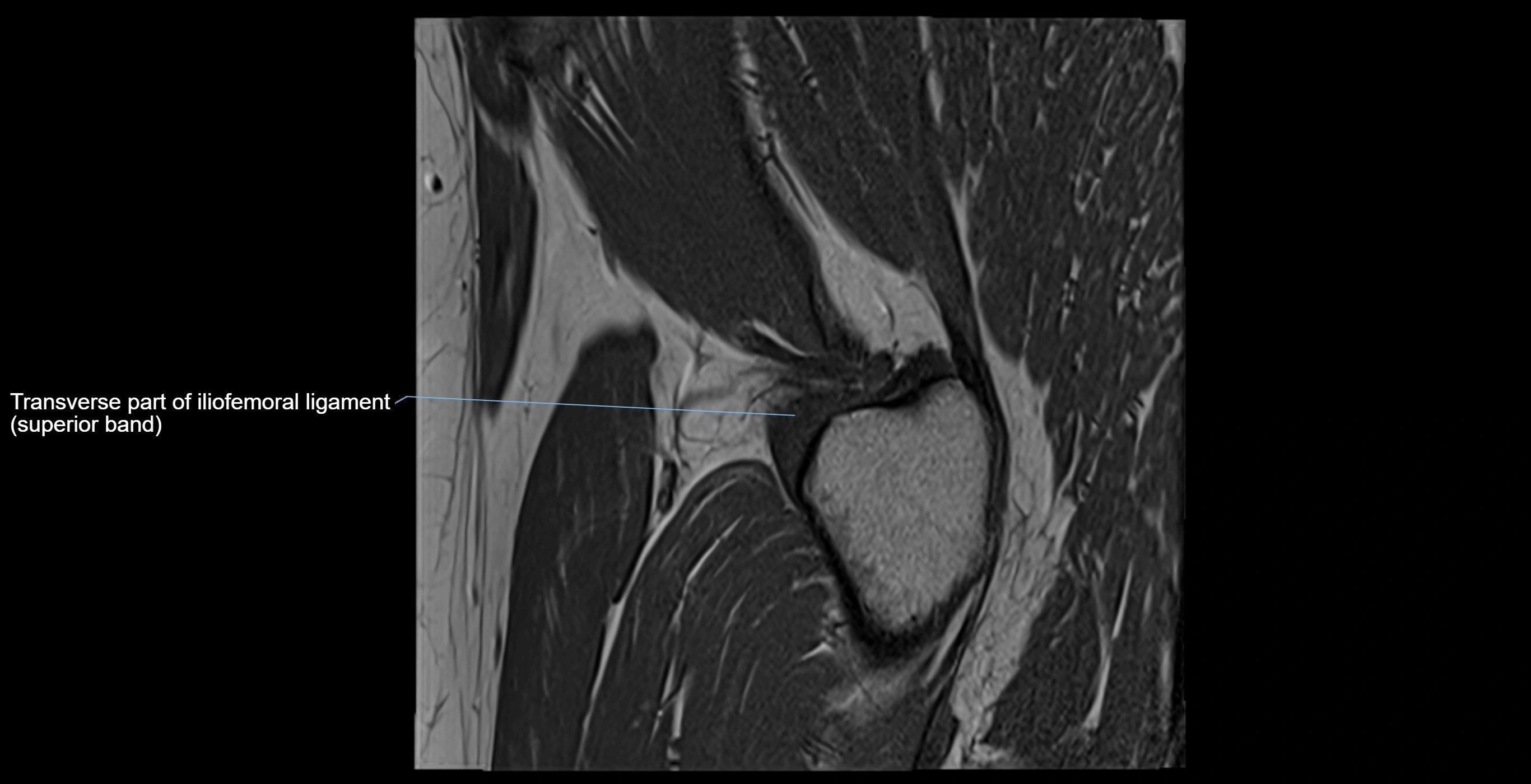
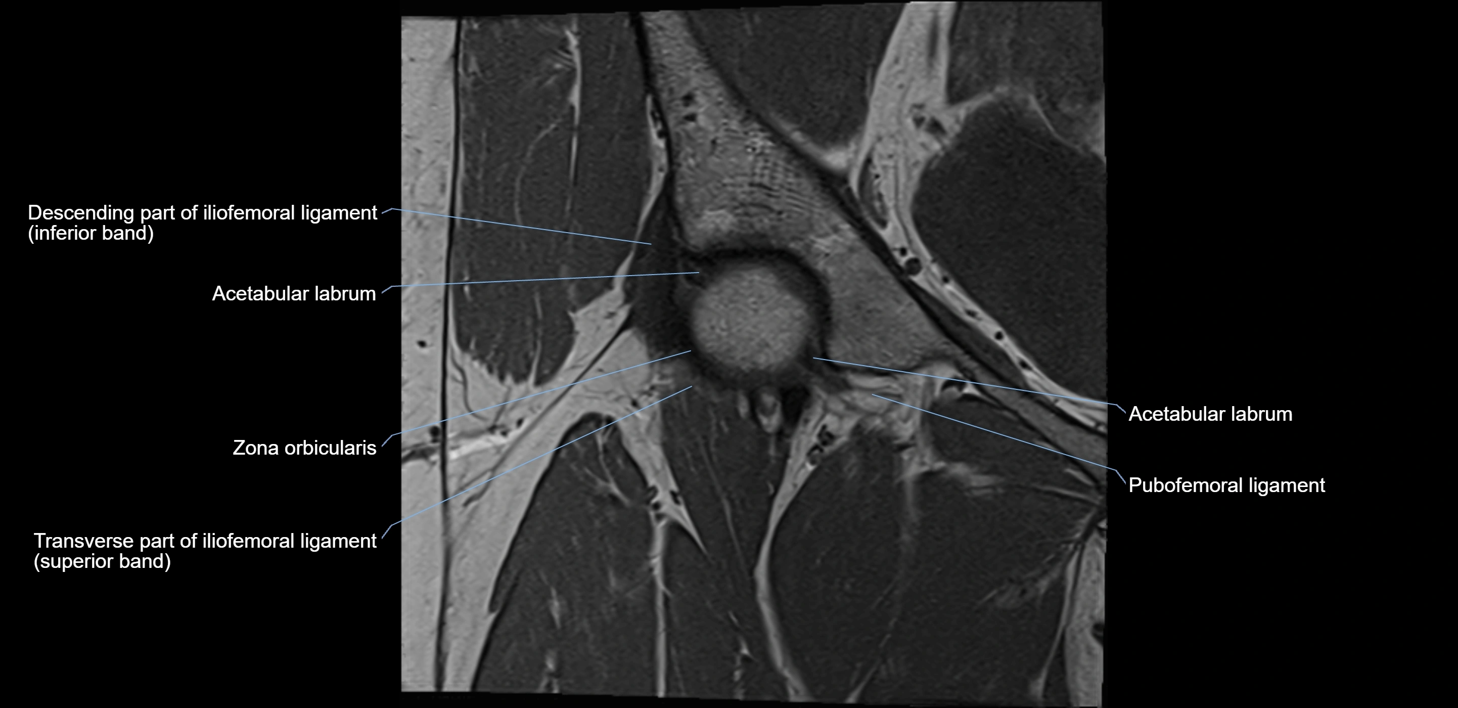
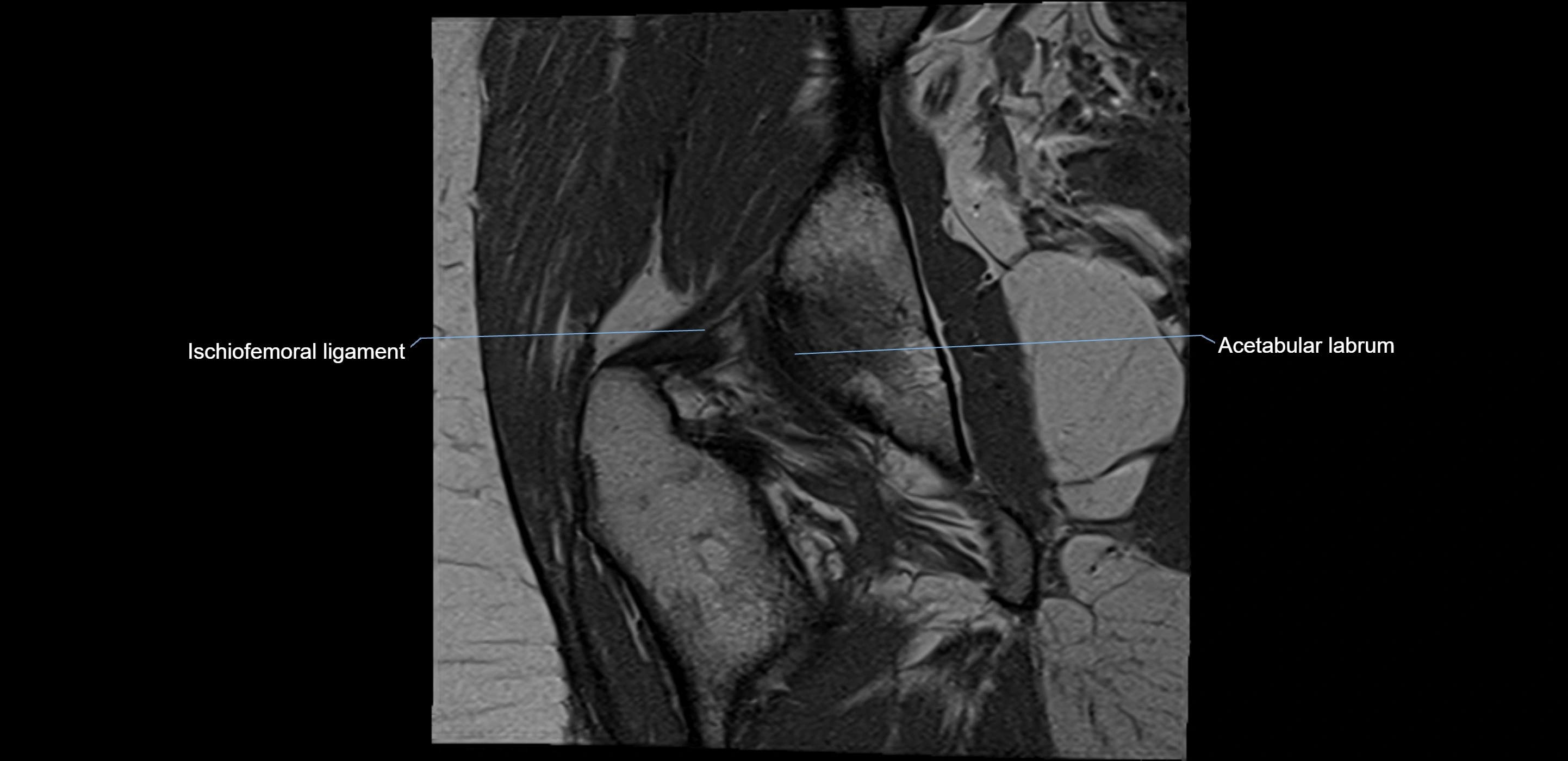
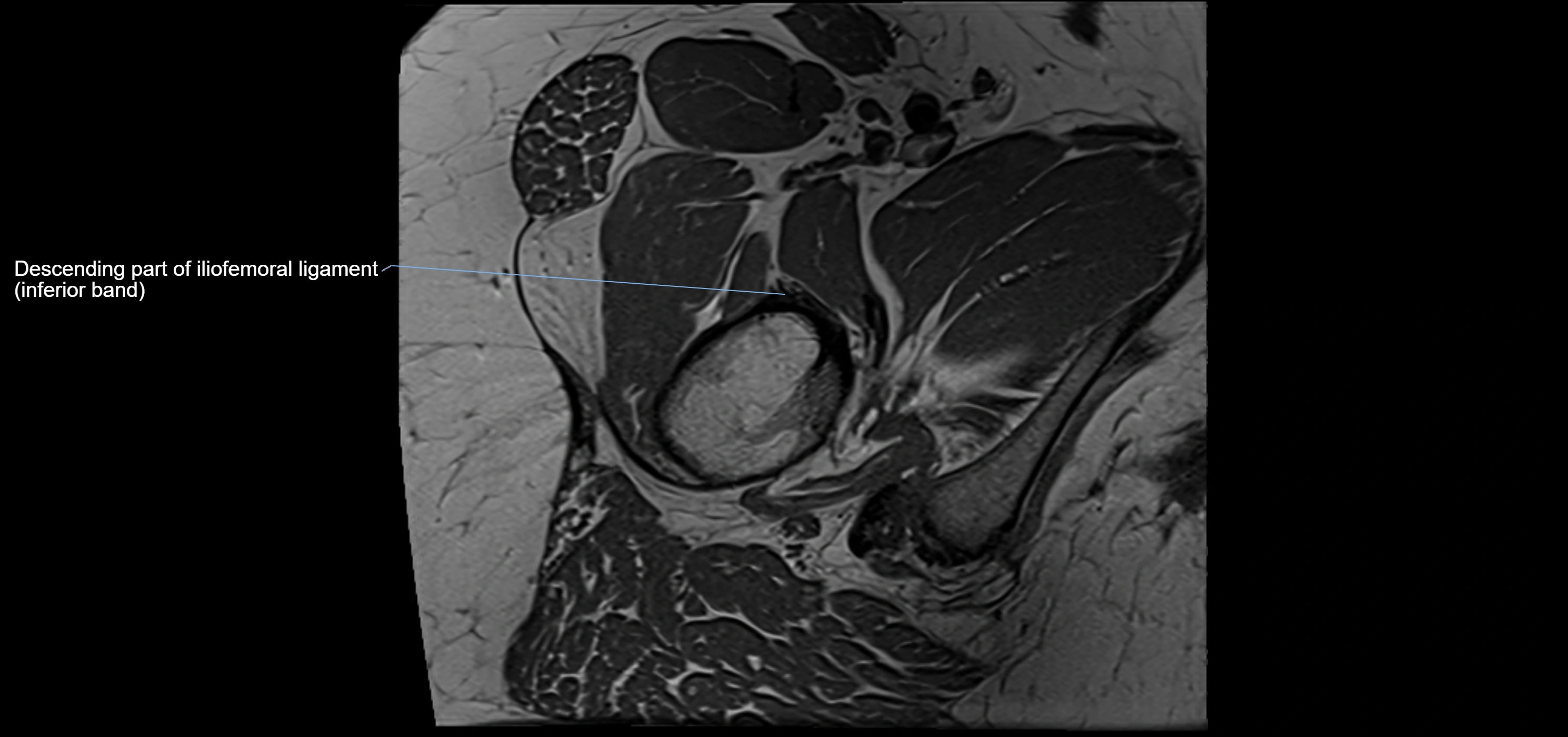
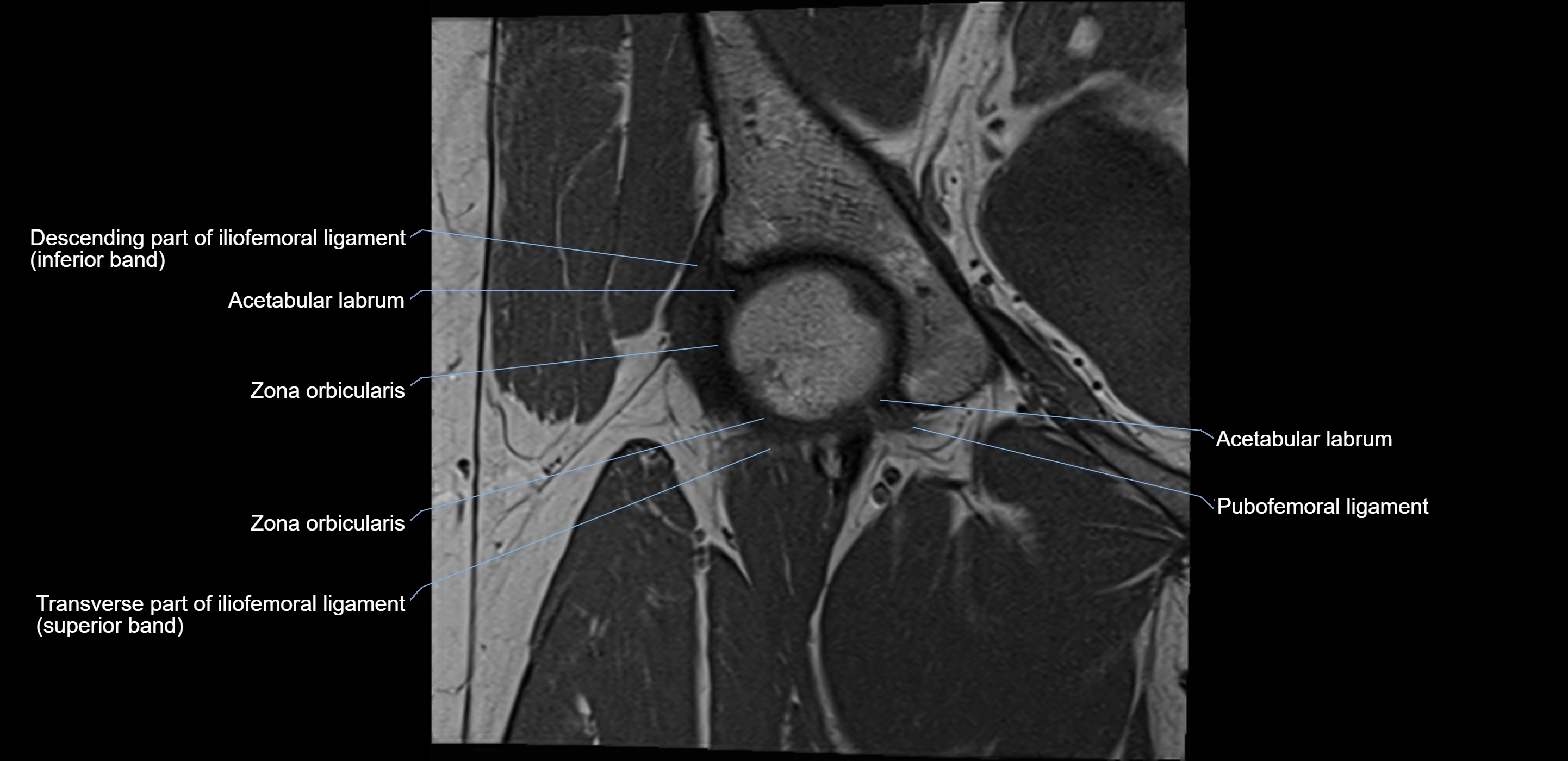
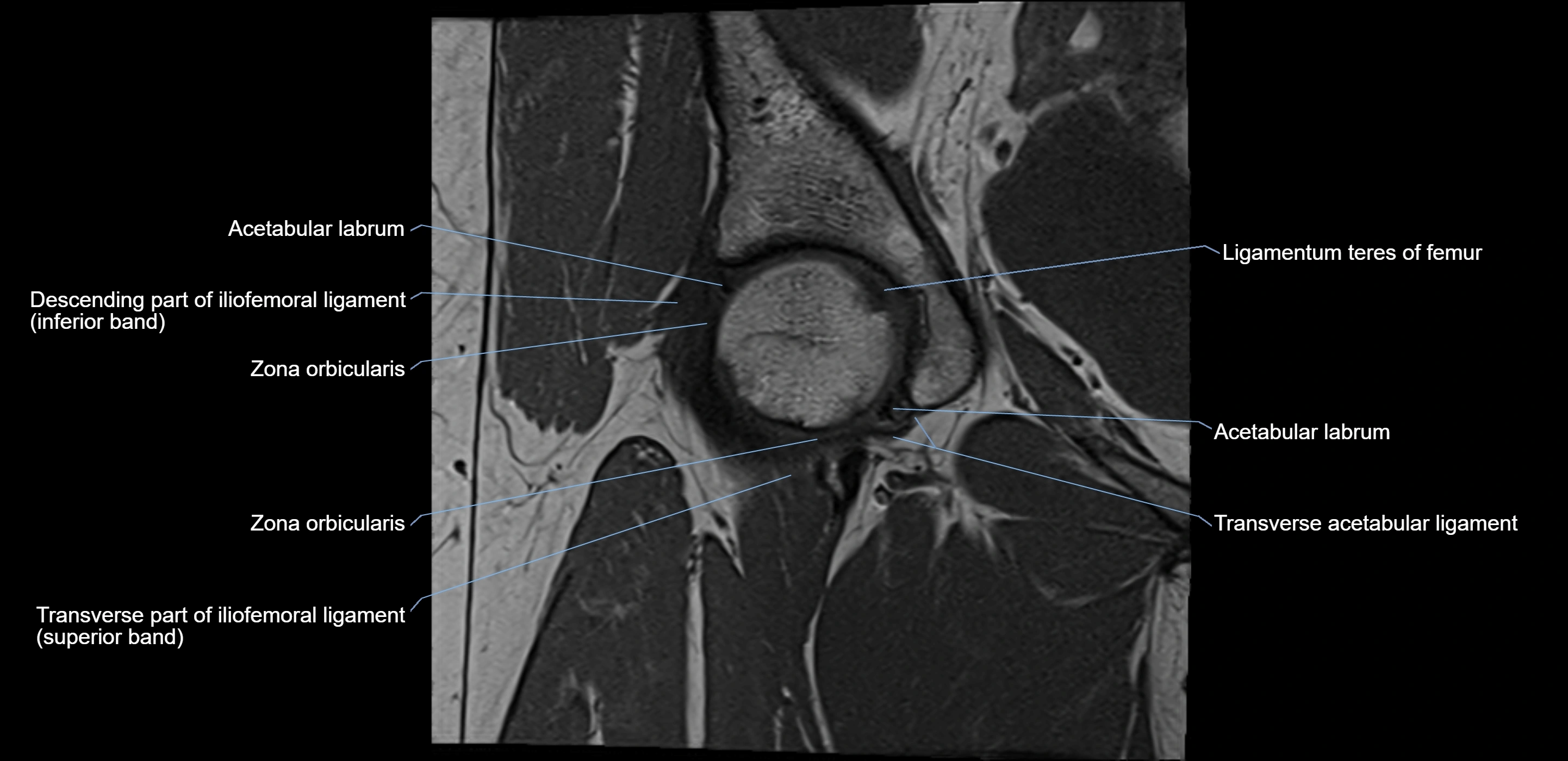
Acetabular labrum

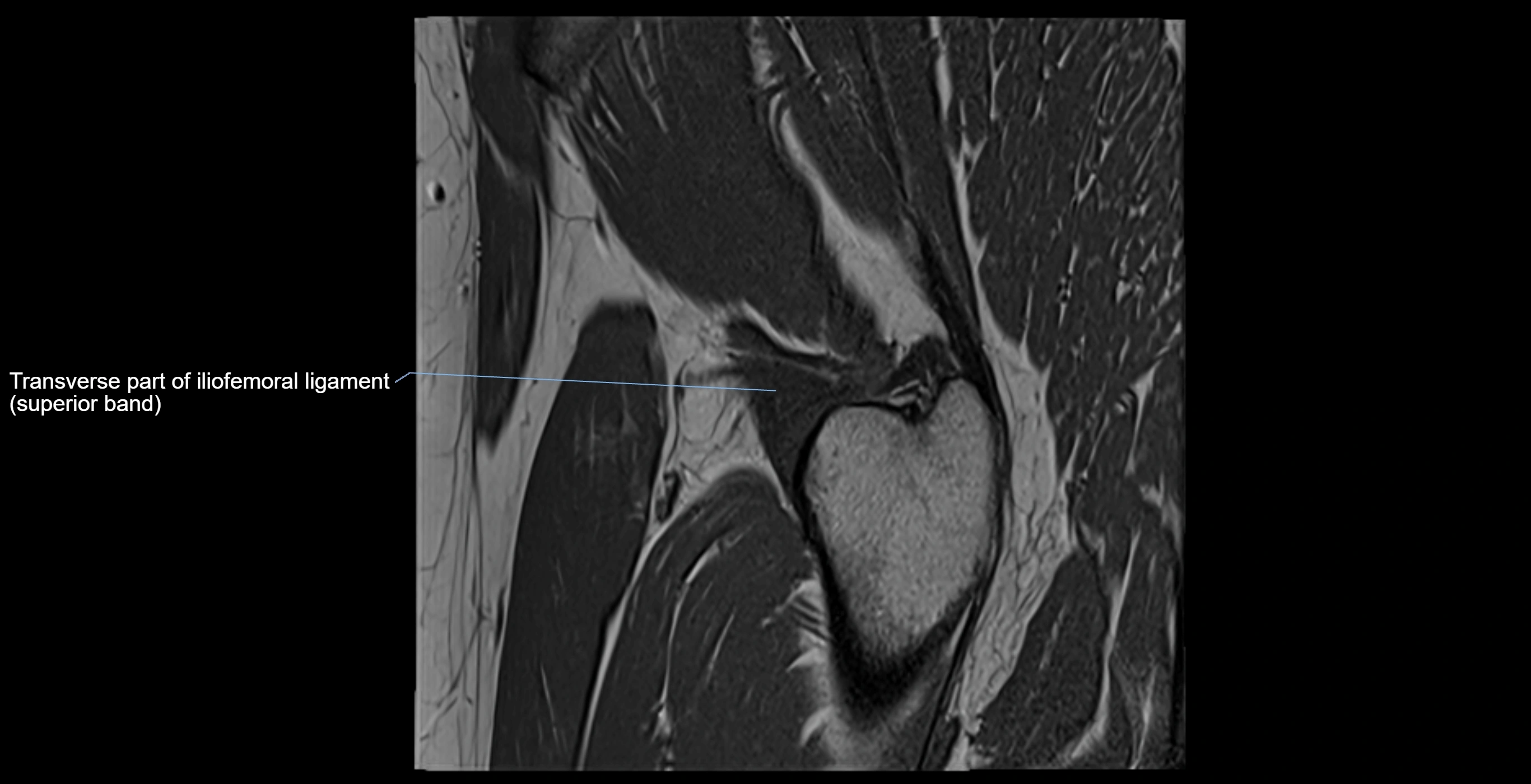
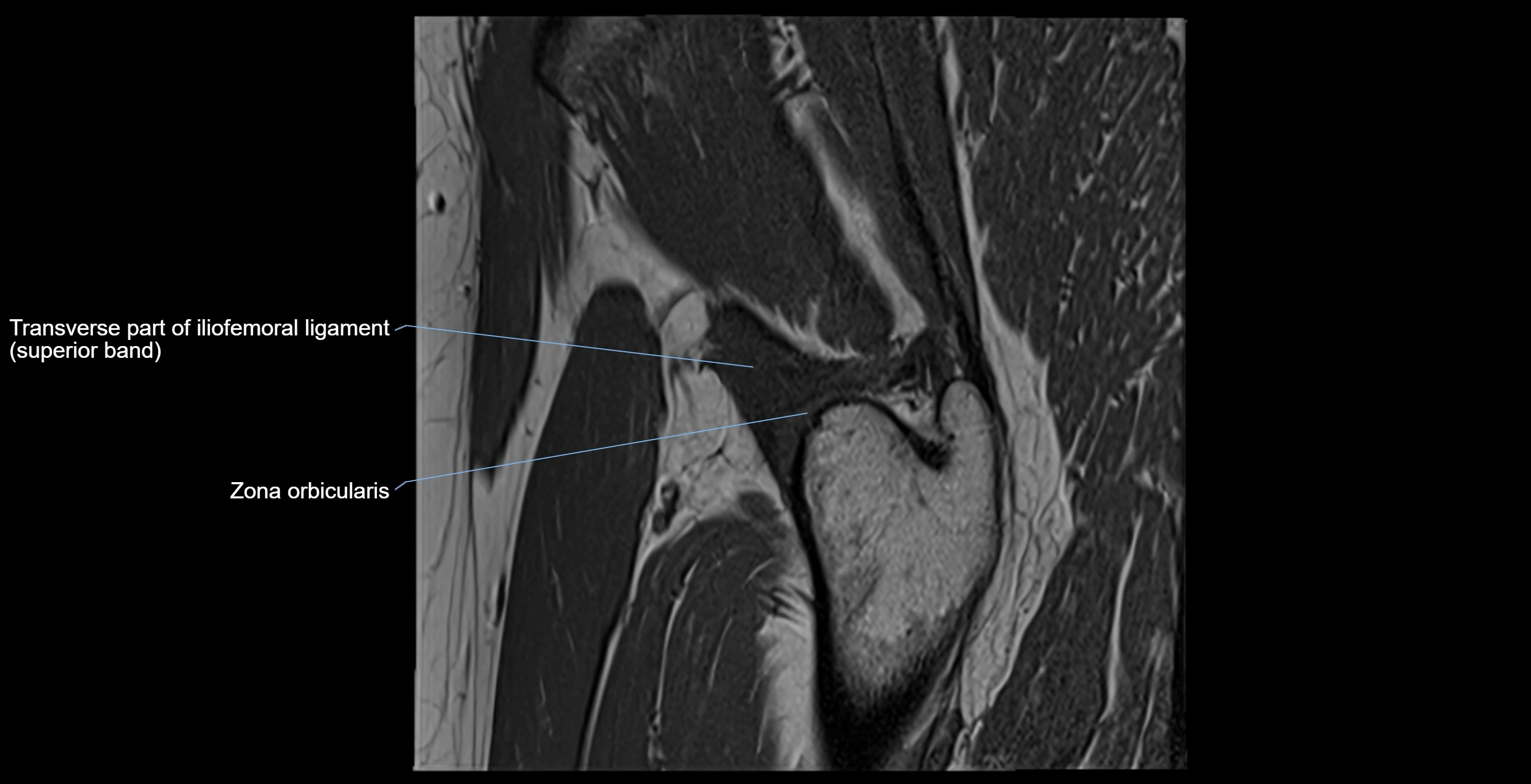
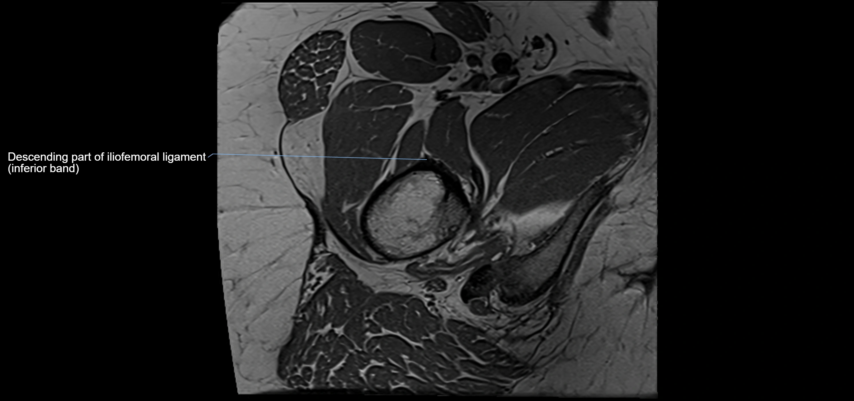
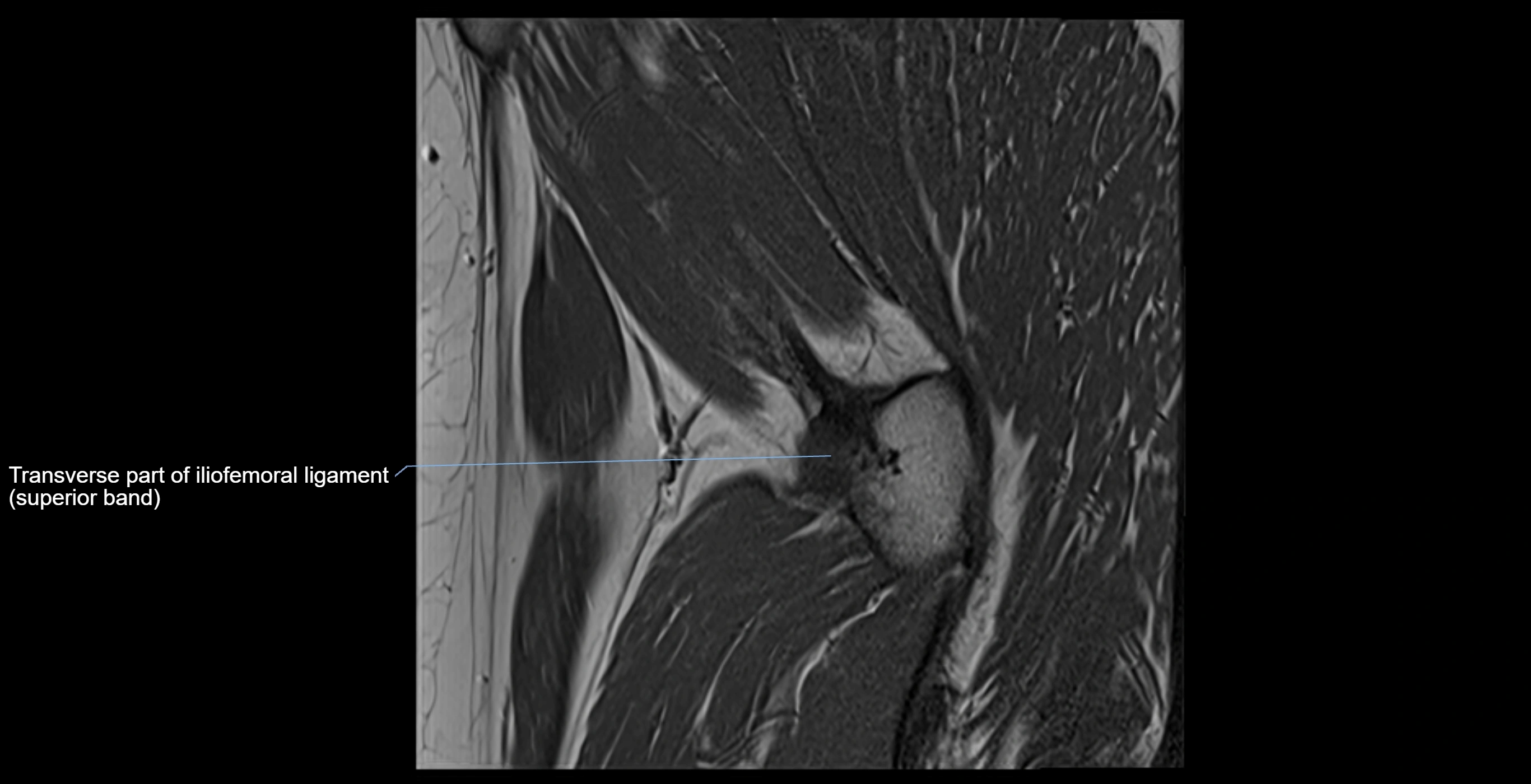
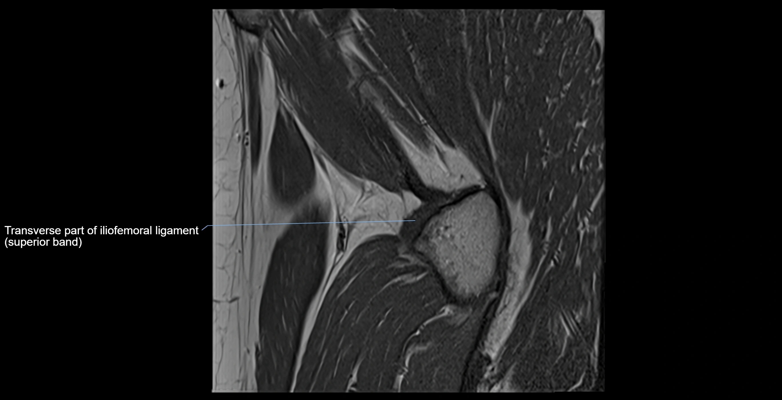
The acetabular labrum is a fibrocartilaginous ring that surrounds the rim of the acetabulum in the hip joint. It deepens the hip socket, increases joint stability, and maintains a suction seal that preserves negative intra-articular pressure. Structurally, the labrum transitions from hyaline cartilage of the acetabulum to dense fibrocartilage at its free edge.

It is triangular in cross-section, with its base attached to the acetabular rim and its apex projecting toward the femoral head. The labrum is most robust superiorly and anteriorly, where load bearing is greatest, and relatively thinner inferiorly.

Synonyms

  • Hip labrum

  • Glenoid labrum of the hip (less common)

  • Acetabular cartilage rim

Structure and Relations

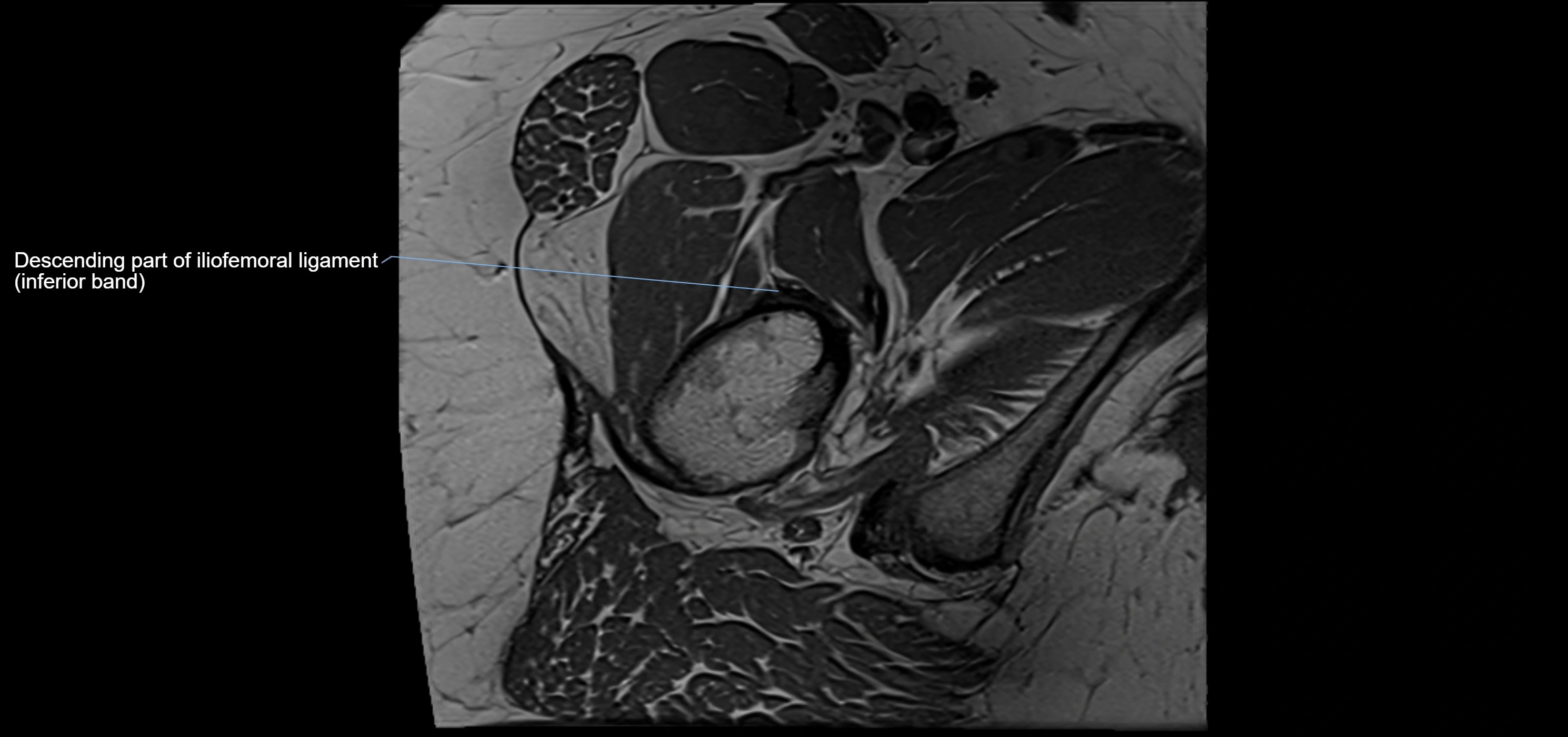
  • Superior and anterior labrum: thickest portions, stabilizing against anterior dislocation

  • Inferior labrum: blends with the transverse acetabular ligament bridging the acetabular notch

  • Relations:

    • Medial: acetabular articular cartilage

    • Lateral: hip joint capsule

    • Inferior: transverse acetabular ligament

    • Superior: femoral head

Nerve Supply

  • Supplied by branches of the obturator nerve, femoral nerve, and superior gluteal nerve

Arterial Supply

  • Peri-acetabular branches of the obturator artery

  • Medial femoral circumflex artery

  • Superior gluteal artery

Venous Drainage

  • Drains via corresponding veins into the internal iliac vein system

Function

  • Deepens the acetabulum, enhancing hip joint stability

  • Provides a suction seal maintaining negative intra-articular pressure

  • Distributes joint load and reduces contact stress on articular cartilage

  • Contributes to proprioception of the hip joint

  • Protects cartilage by limiting femoral head translation

Clinical Significance

  • Labral tears: common in athletes and in femoroacetabular impingement (FAI); cause groin pain and mechanical hip symptoms

  • Degeneration: contributes to early osteoarthritis when disrupted

  • Imaging role: best evaluated with MR arthrography, though high-resolution MRI can also detect pathology

  • Surgical relevance: targets in hip arthroscopy repair and reconstruction

MRI Appearance

T1-weighted images:

  • Labrum: low signal intensity (dark)

  • Surrounded by intermediate signal joint fluid (bright on arthrogram)

  • Tears: linear or focal areas of intermediate-to-high signal interrupting labral continuity

T2-weighted images:

  • Labrum: low signal intensity (dark)

  • Joint fluid: bright, making labral tears visible as fluid extending into or around labrum

  • Degeneration: may show areas of increased signal within labrum

STIR (Short Tau Inversion Recovery):

  • Labrum: dark baseline signal

  • Pathology: tears or inflammation may appear as adjacent bright hyperintensity

T1 Fat-Sat Post-Contrast (MR Arthrography):

  • Normal labrum: remains dark

  • Tears: contrast extends into the labrum or between labrum and acetabular rim

  • Degeneration: irregular labral contour, heterogeneous enhancement in inflamed tissue

CT Appearance

Non-Contrast CT:

  • Labrum itself not well visualized due to low contrast with surrounding cartilage

  • Calcifications or ossifications at the labral base may be seen

  • Indirect signs: subtle changes in acetabular rim shape

CT Arthrography (Post-Contrast):

  • Contrast outlines the labrum

  • Tears: visible as extension of contrast into labrum substance or at chondrolabral junction

  • Degeneration: irregular or frayed margins

MRI image

image

MRI image

image

MRI image

image

MRI image

image

MRI image

image

CT image

image

TEST YOURSELF

🔒

Subscribe to access quizzes

Login & Subscribe
Fullscreen Image