🎙️ Voice Topic Search

🎤 Ready to Search

Click the voice button again and speak the topic name you want to search for.

Example: "Heart anatomy", "Brain structure", "Kidney function"


Topic

Anterior jugular vein

The anterior jugular vein is a paired superficial vein located in the anterior aspect of the neck. It plays an important role in draining blood from the superficial structures of the anterior neck region. Its course, anatomical variations, and connections with other neck veins are clinically significant, especially in the context of central venous access, neck surgeries, and radiological imaging. Understanding its normal and variant anatomy is essential for accurate image interpretation and avoiding complications during procedures.

Synonyms:

  • Superficial anterior cervical vein

  • Vena jugularis anterior (Latin)

Function:

  • Drains blood from the submental region and anterior neck

  • Empties into the external jugular vein or directly into the subclavian vein

  • Helps maintain venous return from superficial structures of the neck

Imaging Appearance:

MRI Appearance:

  • T1-Weighted Images:

    • Appears as a tubular, hypointense (dark) structure relative to muscle

    • May show flow void if the blood flow is fast

  • T2-Weighted Images:

    • Typically hypointense or isointense to muscle, but can be hyperintense if slow flow or stasis is present

  • STIR (Short Tau Inversion Recovery):

    • Vein remains hypointense, but surrounding edema or inflammation will appear hyperintense

CT Appearance:

  • Appears as a small, thin-walled, contrast-enhancing vein in the anterior neck

  • Best visualized in the lower neck just lateral to the midline

  • Non-contrast CT: difficult to differentiate from surrounding soft tissue, may appear as a hypoattenuating tubular structure

CTA (CT Angiography):

  • Enhances brightly with intravenous contrast

  • Easily visualized on arterial and especially venous phase images

  • Shows continuity with external jugular vein or subclavian vein

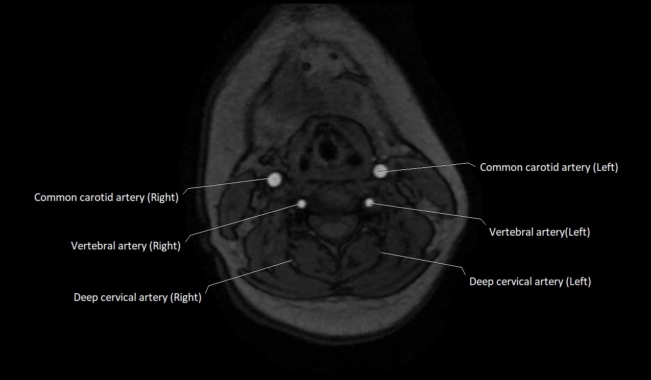
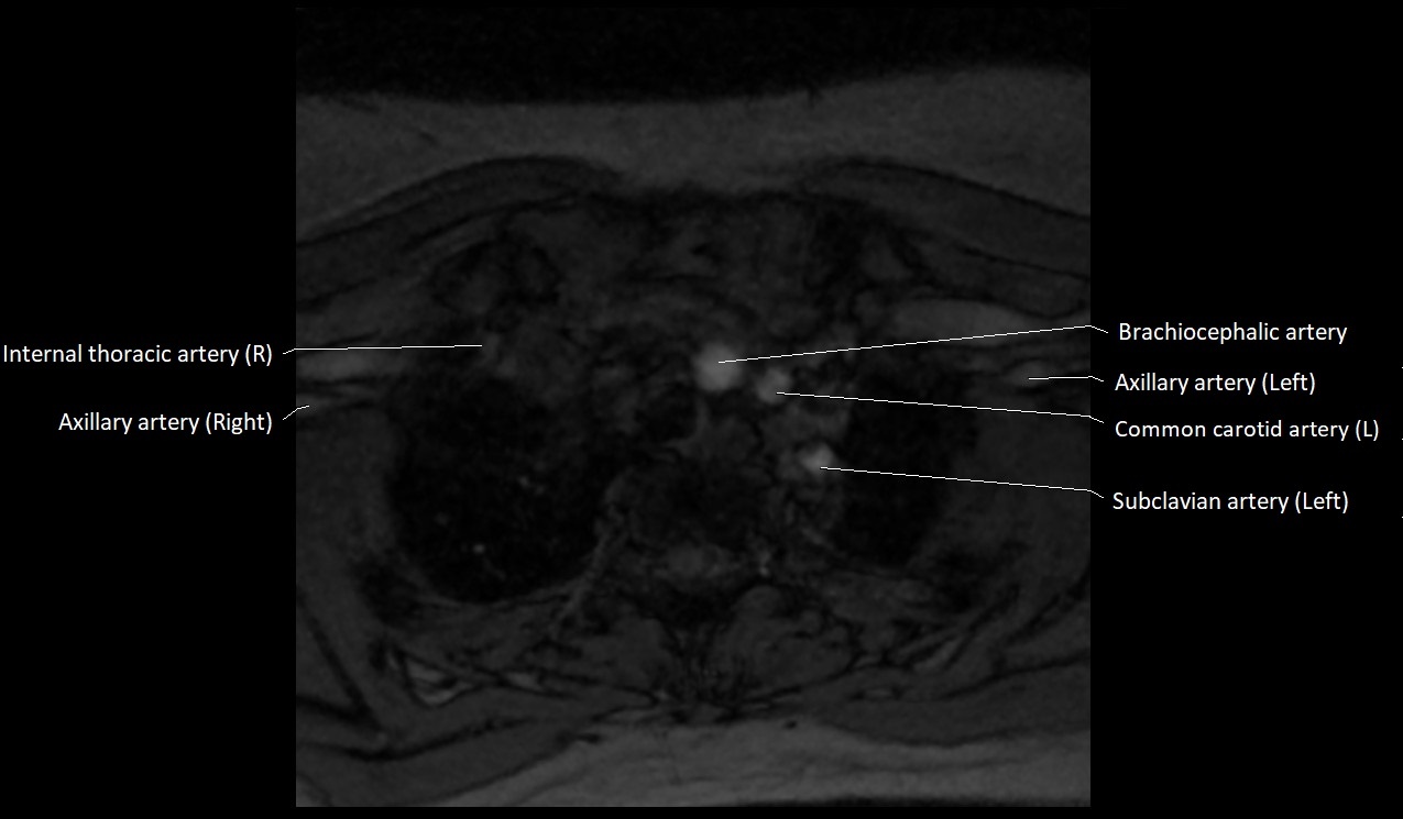
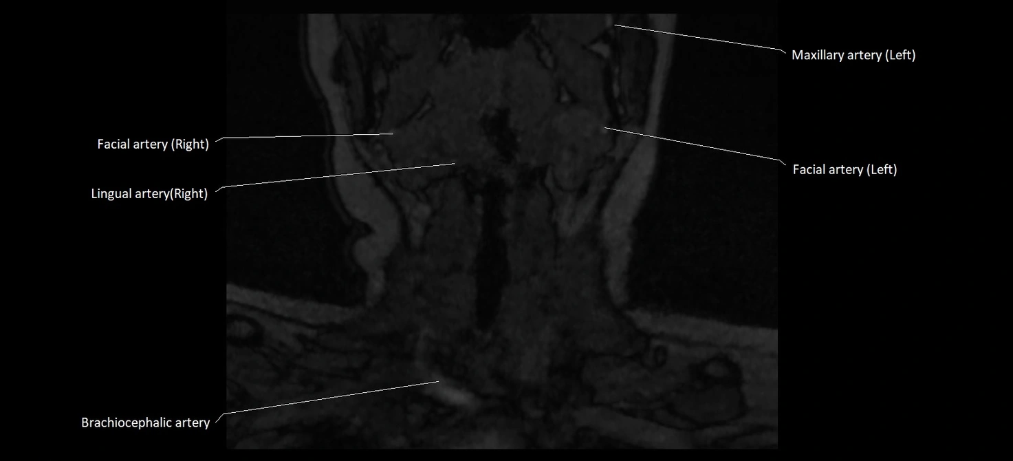
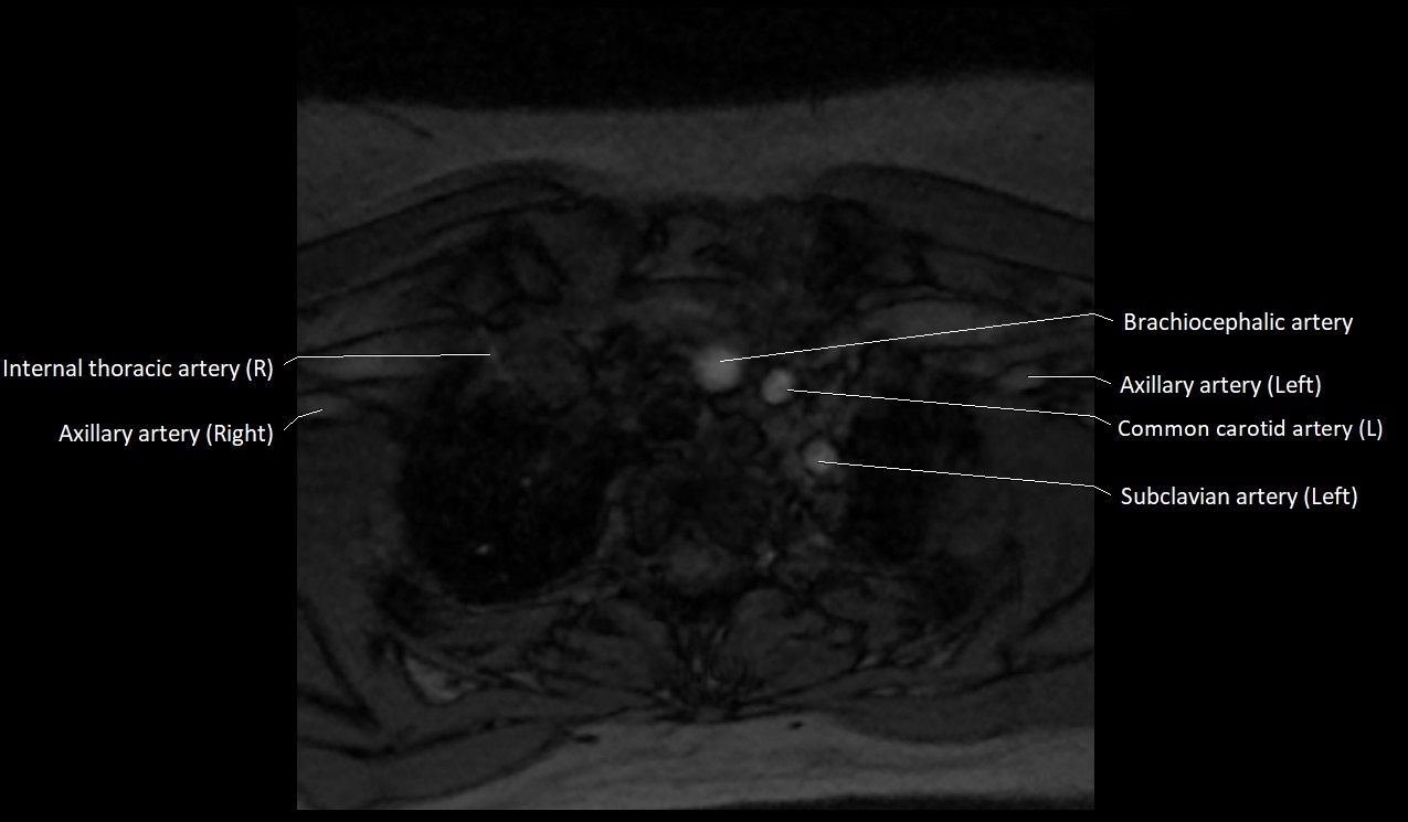
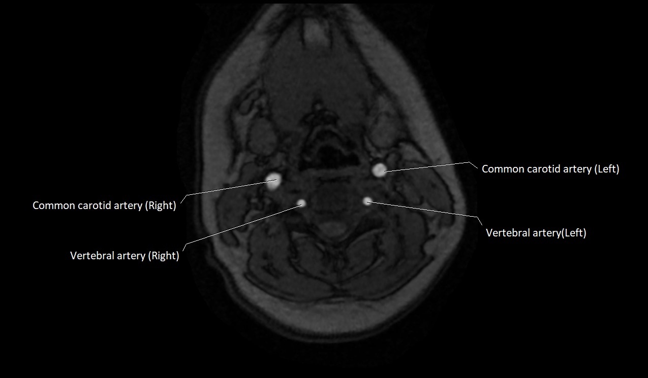
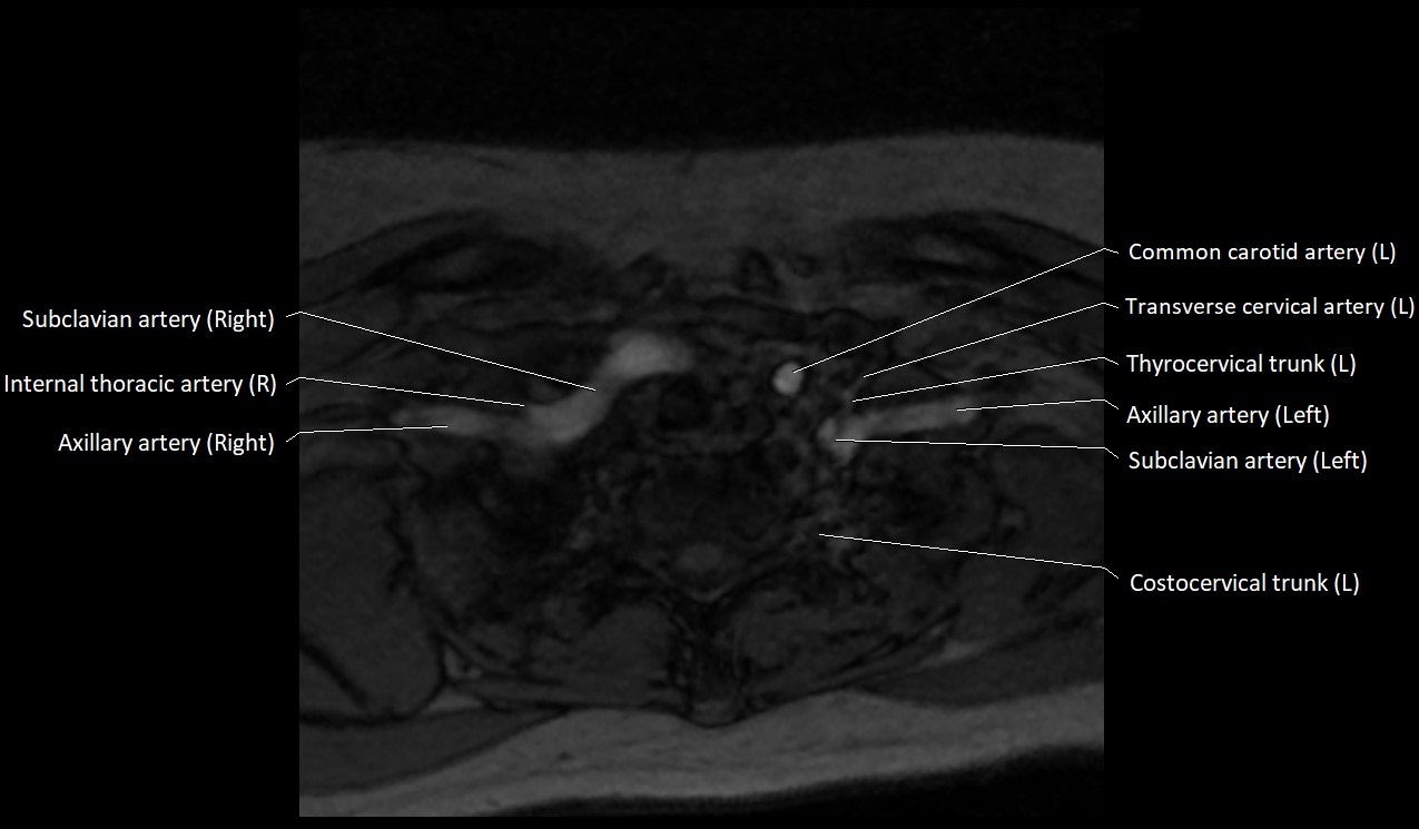
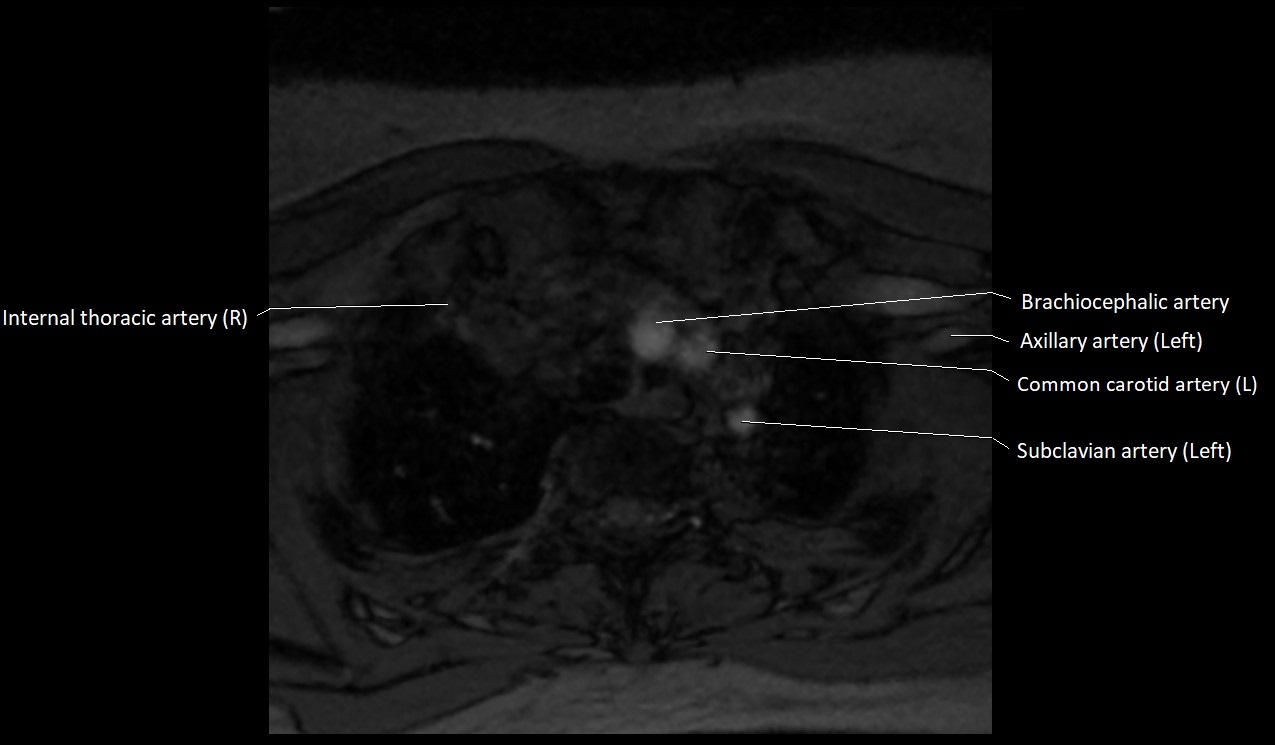
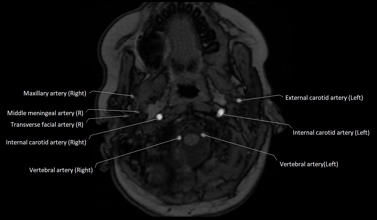
MRI images

image

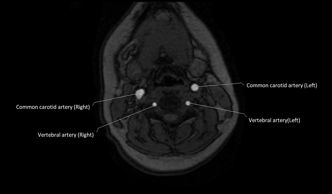
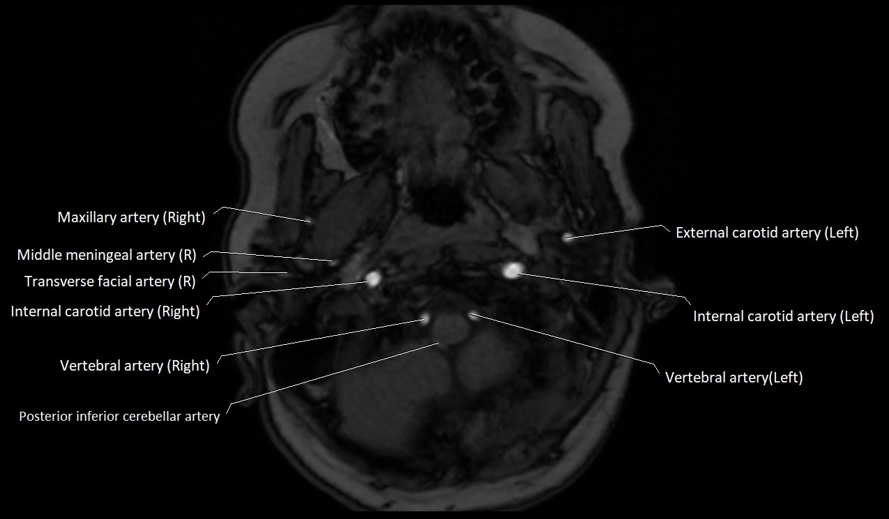
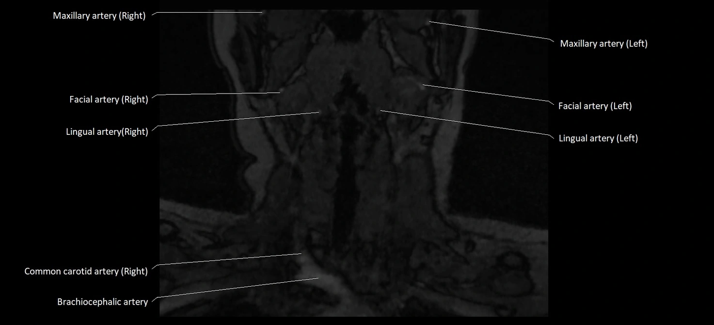
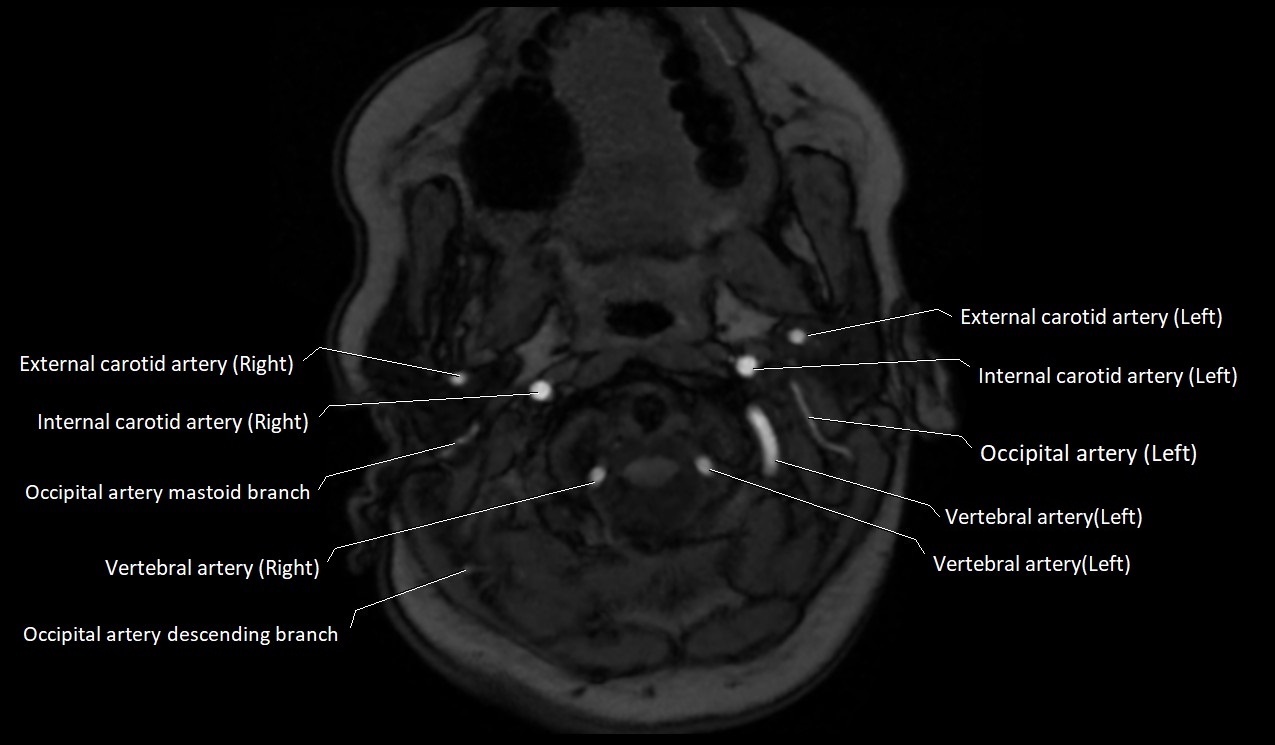
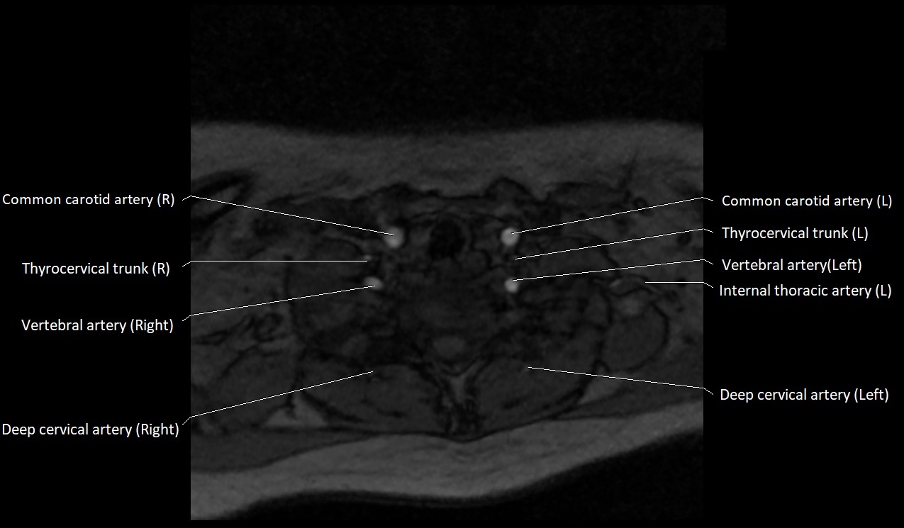
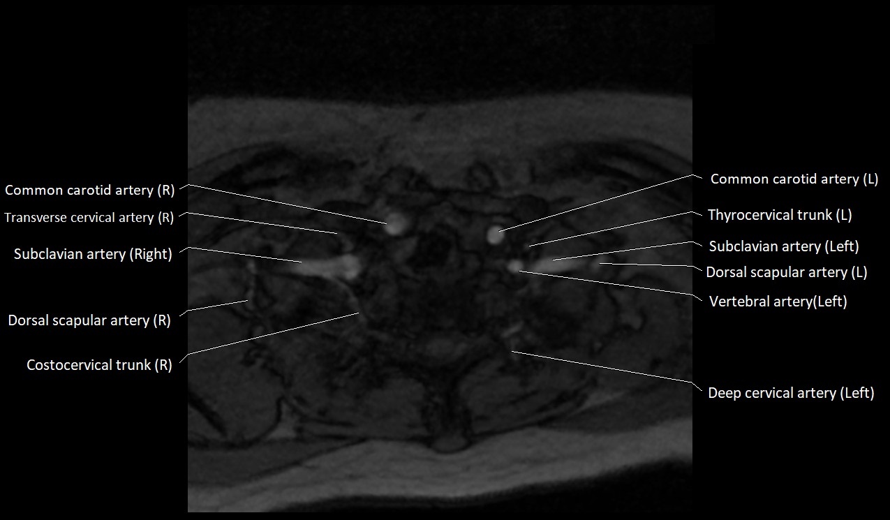
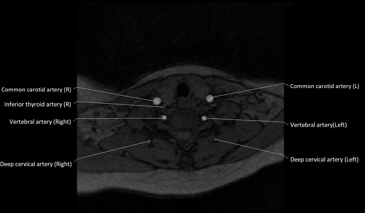
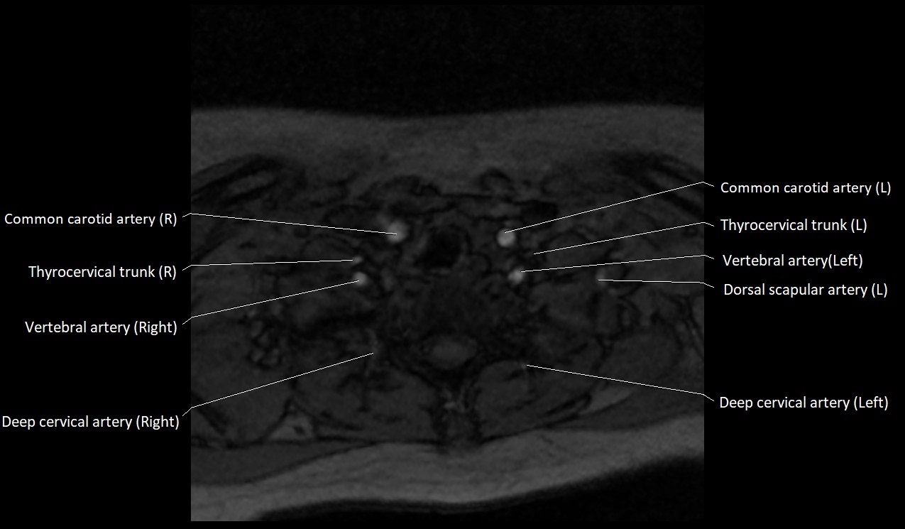
MRI images

image

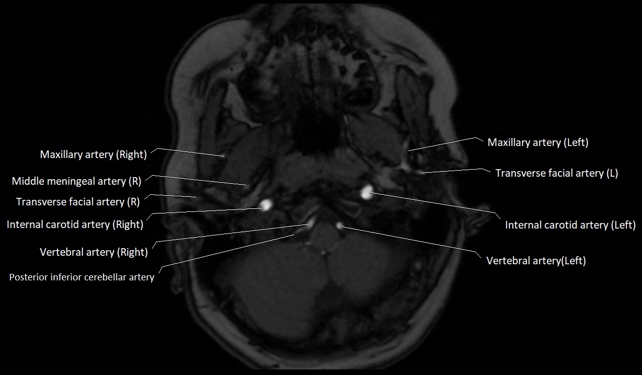
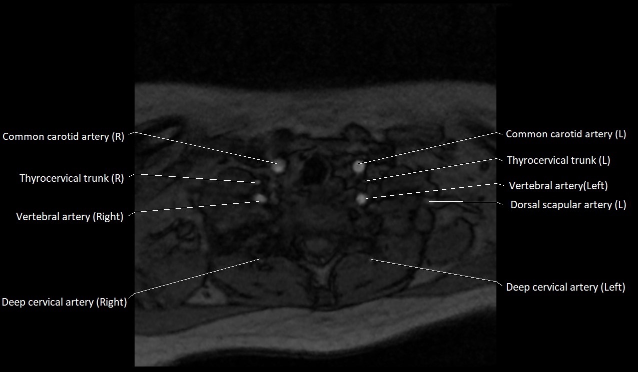
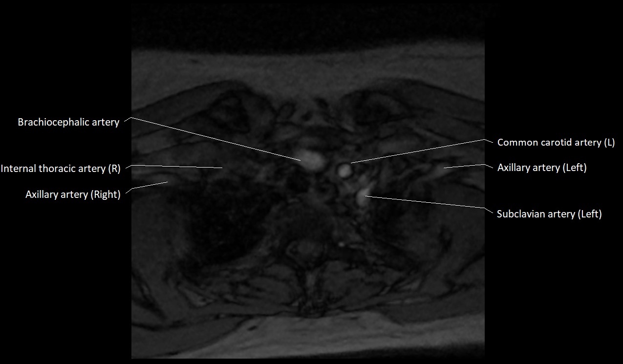
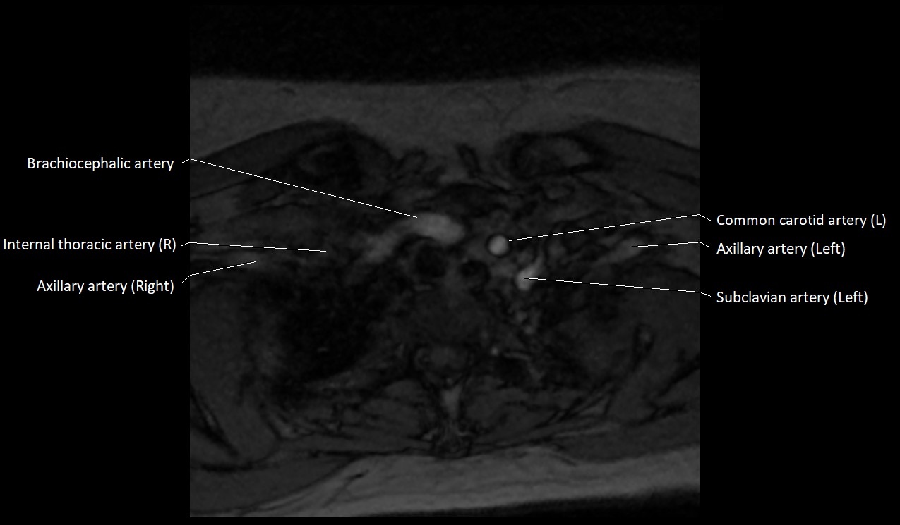
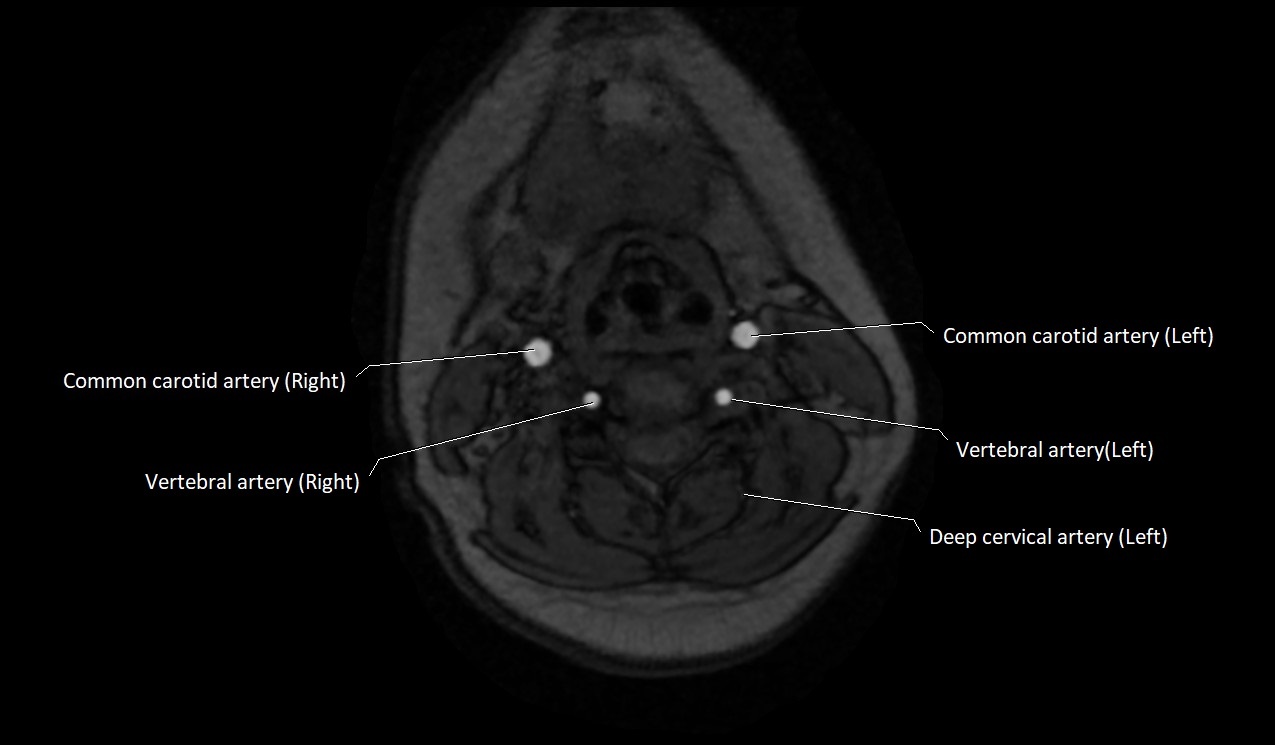
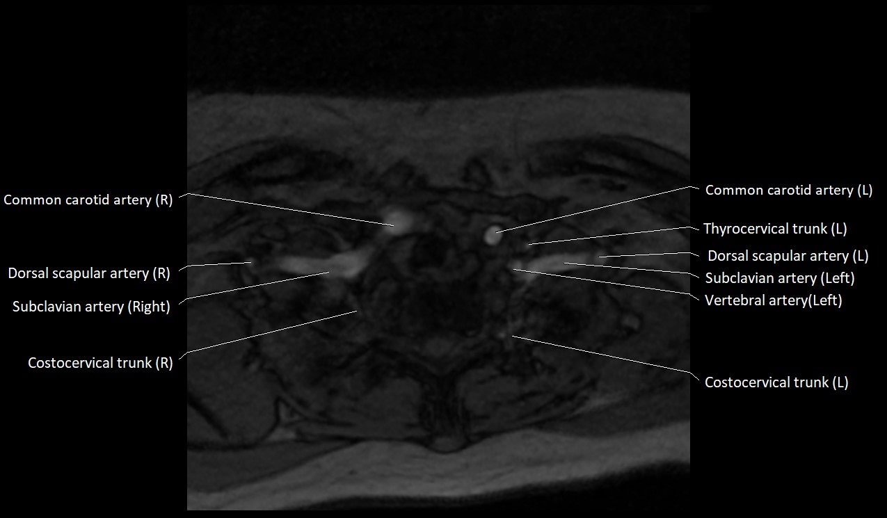
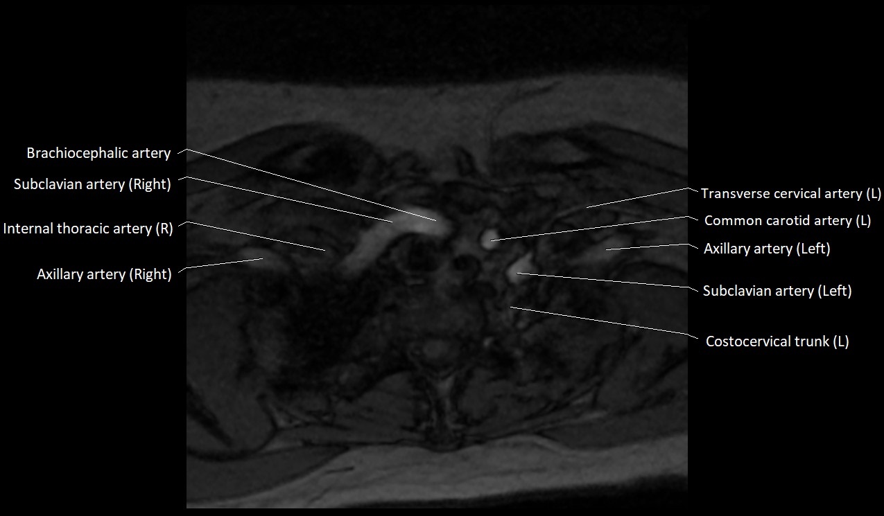
CT image

image

TEST YOURSELF

🔒

Subscribe to access quizzes

Login & Subscribe
Fullscreen Image