Topic
- Abducens nerve (Cranial nerve VI)
- Abducens nerve (orbital part )
- Accessory Nerve (Cranial nerve XI)
- Accessory lymph nodes
- Alveolar arch of maxilla
- Alveolar process of maxilla
- Alveolar ridge
- Angle of mandible
- Anterior Band of Articular Disc TMJ
- Anterior arch of atlas
- Anterior atlanto-occipital membrane
- Anterior belly of digastric muscle
- Anterior chamber of eyeball
- Anterior clinoid process
- Anterior cochlear nucleus
- Anterior ethmoidal air cells
- Anterior nasal spine
- Anterior superior alveolar nerve
- Anterior tubercle of atlas
- Apex of nose
- Apical foramen
- Arch of cricoid cartilage
- Articular capsule of temporomandibular joint
- Articular disc of temporomandibular joint
- Articular eminence
- Articular surface of mandibular fossa
- Articular tubercle
- Aryepiglottic fold
- Arytenoid cartilage
- Ascending pharyngeal artery
- Atlantooccipital joint
- Attachment of inferior head of lateral pterygoid muscle
- Attachment of superior head of lateral pterygoid muscle
- Auditory tube
- Auricle (Pinna)
- Auricularis anterior muscle
- Auricularis posterior muscle
- Auriculotemporal nerve
- Axis (C2 vertebra)
- Body of hyoid bone
- Body of mandible
- Body of tongue
- Bony nasal septum
- Buccinator lymph nodes
- Buccinator muscle
- Buccopharyngeal fascia
- Carotid canal
- Cartilaginous part of nasal septum
- Cementoenamel junction
- Cementum
- Central superior incisor tooth
- Cervical part of esophagus
- Cervical spinal nerve 1 (C1)
- Cervical spinal nerve 2 (C2)
- Cervical spinal nerve 3 (C3)
- Cervical spinal nerve 4 (C4)
- Cervical spinal nerve 5 (C5)
- Cervical spinal nerve 6 (C6)
- Cervical spinal nerve 7 (C7)
- Cervical spinal nerve 8 (C8)
- Choana
- Choroid
- Clivus
- Cochlea
- Cochlear nerve (Cranial nerve VIII)
- Common nasal meatus
- Common tendinous ring (Annulus of zinn)
- Condylar canal
- Conus elasticus
- Cornea
- Coronoid process of mandible
- Cribriform plate
- Cricoid cartilage
- Cricothyroid muscle
- Crista galli
- Cruciate ligament of the atlas
- Crus helix of ear
- Deep parotid lymph nodes
- Deep part of masseter muscle
- Dens of axis
- Dental branches of inferior alveolar artery, vein, & nerve
- Dental pulp
- Dental pulp of upper molar tooth
- Dental pulp of upper premolar tooth
- Dental pulp of lower molar tooth
- Dentine
- Depressor anguli oris muscle
- Depressor labii inferioris muscle
- Depressor septi nasi muscle
- Dorsum of nose
- Dorsum of tongue
- Enamel
- Enamel of lower molar tooth
- Enamel of upper molar tooth
- Enamel of canines tooth
- Enamel of lower incisor tooth
- Enamel of lower canines tooth
- Enamel of lower premolar tooth
- Enamel of upper incisor tooth
- Epiglottis
- Ethmoid sinus
- Ethmoidal air cells
- External acoustic meatus
- External jugular vein
- External occipital protuberance
- Eyeball
- Facial Nerve (Cranial nerve VII)
- Facial vein
- First rib
- Floor of orbit
- Floor of the maxillary sinus
- Foramen cecum of tongue
- Foramen ovale
- Foramen spinosum
- Frontal nerve
- Frontal process (zygomatic bone)
- Frontal process of maxilla
- Frontal process of zygomatic bone
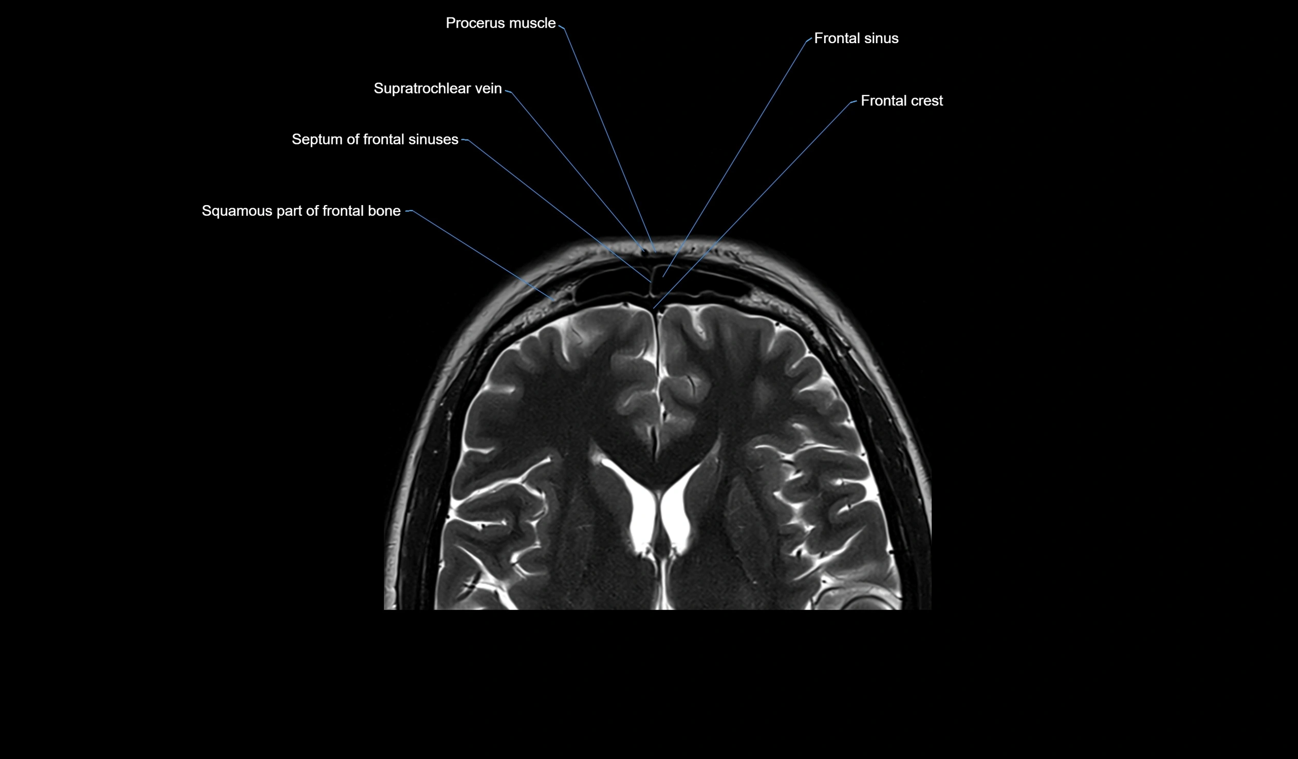
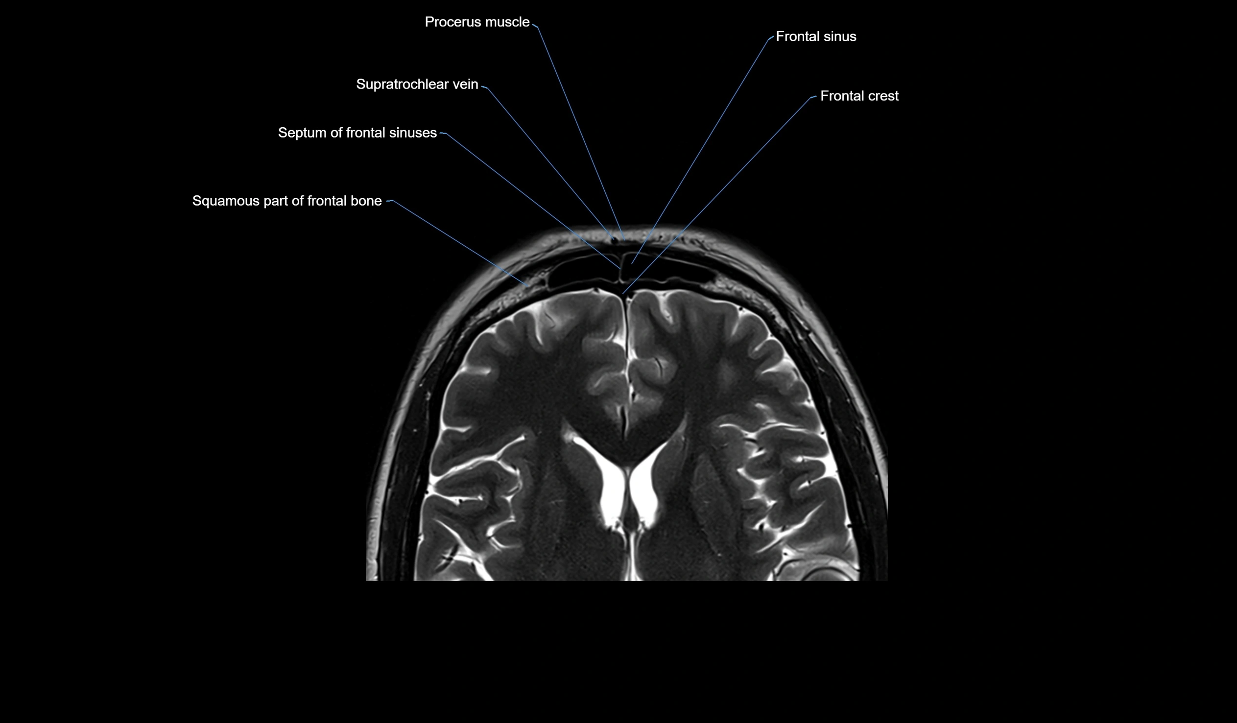
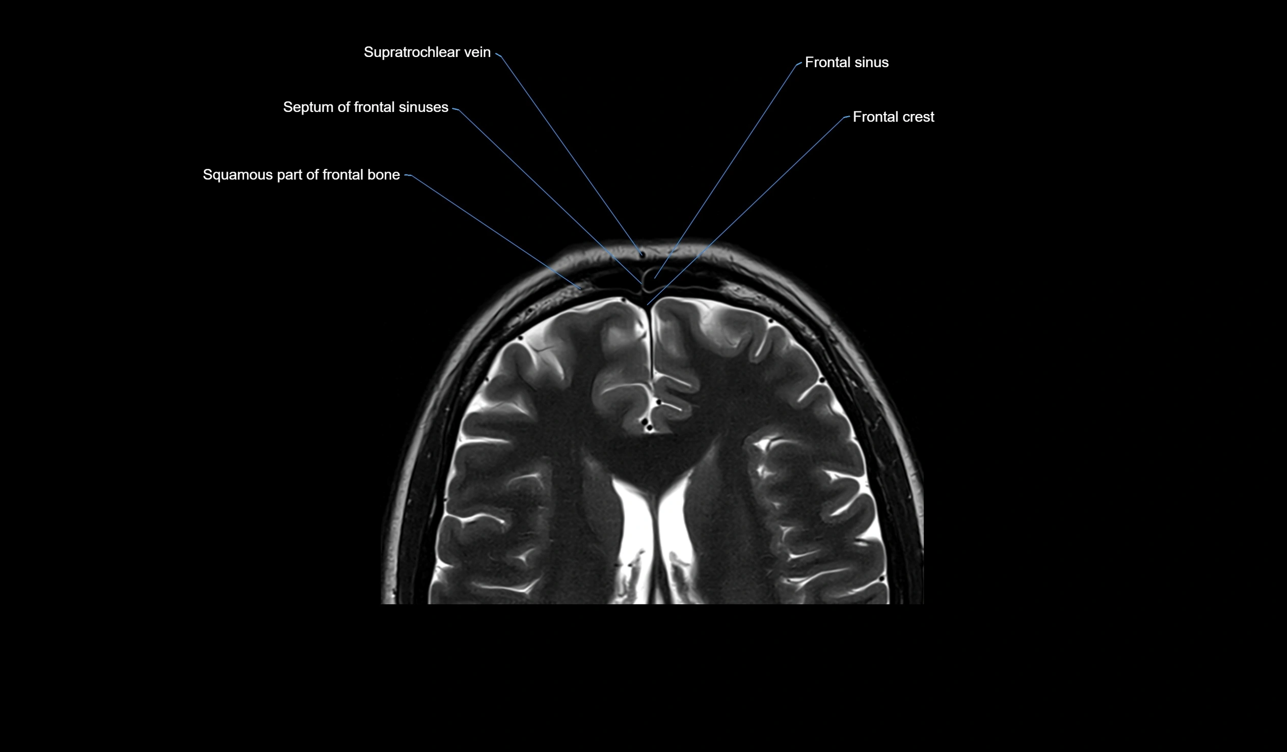
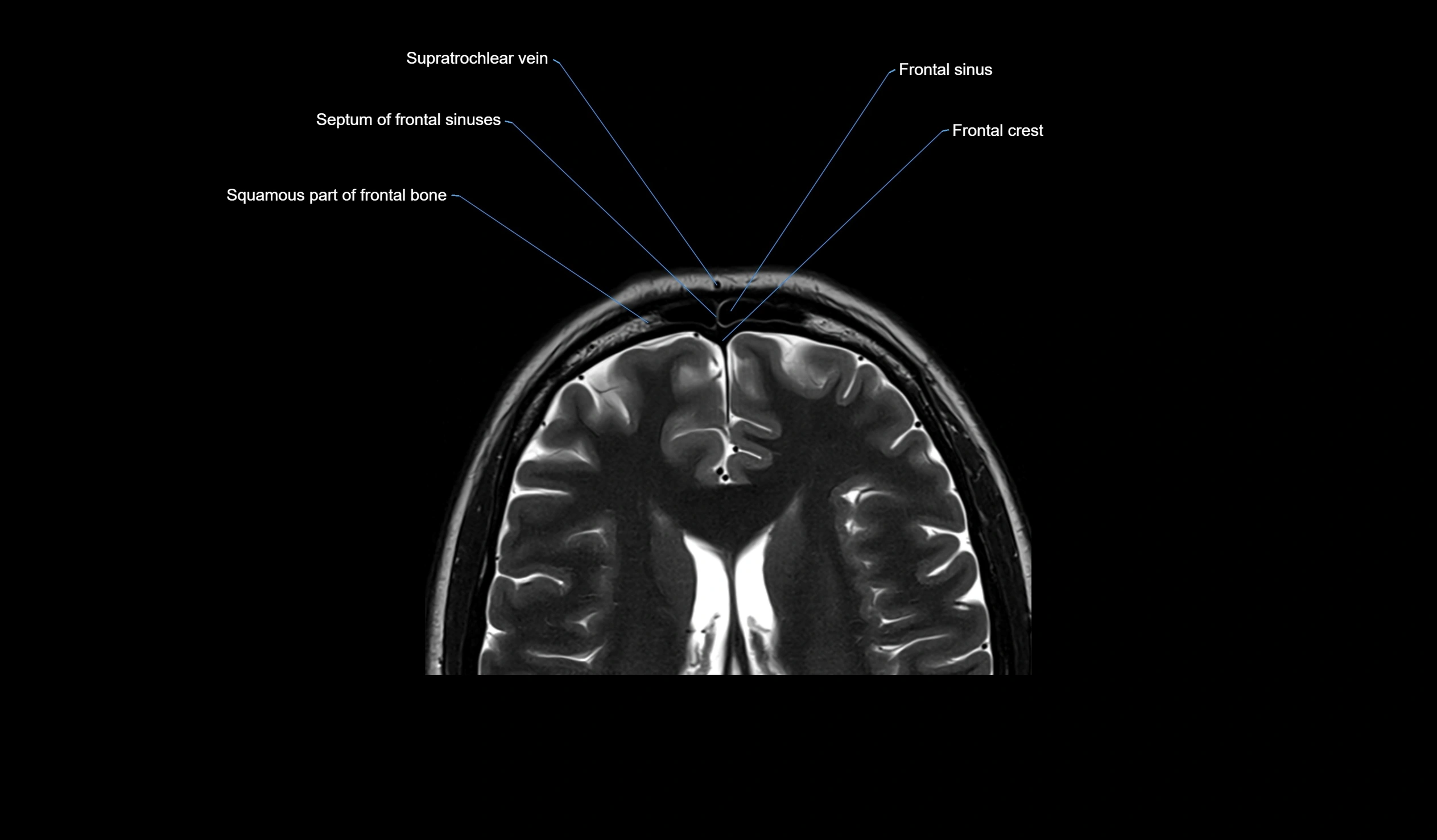
- Frontal sinus
- Frontonasal suture
- Genioglossus muscle
- Glabella
- Glenoid process of parotid gland
- Glossopharyngeal nerve (Cranial nerve IX)
- Glottis
- Greater alar cartilage
- Greater horn of hyoid bone
- Greater wing of sphenoid bone
- Gum (gingiva)
- Hard palate
- Hyoepiglottic ligament
- Hyoglossus
- Hyoglossus muscle
- Hypoglossal Nerve (Cranial nerve XII)
- Iliocostalis cervicis muscle
- Incisive duct
- Incisive foramen
- Inferior alveolar foramen (mandibular foramen)
- Inferior alveolar nerve
- Inferior belly of omohyoid muscle
- Inferior branch vestibular nerve
- Inferior canine tooth
- Inferior cornu of thyroid cartilage
- Inferior deep cervical lymph nodes
- Inferior eyelid
- Inferior first molar tooth
- Inferior first premolar tooth
- Inferior head of lateral pterygoid muscle
- Inferior longitudinal lingual muscle
- Inferior longitudinal muscle of tongue
- Inferior nasal concha
- Inferior nasal meatus
- Inferior oblique muscle
- Inferior ophthalmic vein
- Inferior orbital fissure
- Inferior rectus muscle
- Inferior salivatory nucleus
- Inferior second molar tooth
- Inferior second premolar tooth
- Inferior tarsus
- Inferior third molar tooth
- Inferior vestibular nucleus
- Inferior wall of maxillary sinus
- Infraglottic cavity
- Infraorbital canal
- Infraorbital foramen
- Infraorbital margin
- Infraorbital nerve
- Innominate line (skull)
- Intermediate zone of articular disc
- Internal carotid artery (cavernous part)
- Internal carotid artery (cervical part)
- Internal carotid artery (petrous part)
- Internal occipital crest
- Intracanalicular part of optic nerve
- Intracranial part of optic nerve
- Iris
- Jugular foramen
- Jugular foramen pars vascularis
- Jugular spine
- Jugular tubercle
- Jugulodigastric lymph nodes
- Lacrimal artery
- Lacrimal bone
- Lacrimal canaliculi
- Lacrimal gland
- Lacrimal nerve
- Lacrimal nucleus
- Lacrimal vein
- Lamina of cricoid cartilage
- Lamina of thyroid cartilage
- Lamina of vertebra
- Laryngeal inlet
- Laryngeal ventricle
- Laryngeal vestibule
- Laryngopharynx
- Lateral atlantoaxial joint
- Lateral canthal ligament
- Lateral cricoarytenoid muscle
- Lateral glossoepiglottic fold
- Lateral inferior incisor tooth
- Lateral mass of atlas
- Lateral nasal cartilage
- Lateral pterygoid muscle
- Lateral rectus muscle
- Lateral superior incisor tooth
- Lateral temporomandibular ligament
- Lateral vestibular nucleus
- Lateral wall of maxillary sinus
- Lateral wall of the orbit
- Lesser wing of sphenoid
- Levator anguli oris muscle
- Levator labii superioris alaeque nasi muscle
- Levator labii superioris muscle
- Levator palpebrae superioris muscle
- Levator veli palatini muscle
- Lingual Septum
- Lingual artery
- Lingual lymph nodes
- Lingual tonsil
- Lockwood’s ligament
- Longissimus capitis muscle
- Longissimus cervicis muscle
- Longus capitis muscle
- Longus colli muscle
- Lower lip
- Lower molar apical foramen
- Lower premolar apical foramen
- Major alar cartilage
- Malar (zygomatic) lymph nodes
- Mandible
- Mandibular canal
- Mandibular condyle
- Mandibular foramen
- Mandibular fossa
- Mandibular lymph nodes
- Mandibular nerve
- Mandibular notch
- Margin of tongue
- Masseter muscle
- Masseter muscle (Deep part)
- Masseter muscle (Superficial part)
- Mastoid air cells
- Mastoid lymph nodes
- Mastoid process
- Maxilla
- Maxillary artery
- Maxillary bone
- Maxillary nerve
- Maxillary sinus
- Maxillary veins
- Meckel’s cave (Trigeminal cave)
- Medial atlantoaxial joint
- Medial canthal ligament
- Medial pterygoid muscle
- Medial rectus muscle
- Medial vestibular nucleus
- Medial wall of maxillary sinus
- Medial wall of orbit
- Medial wall of the maxillary sinus
- Median atlantoaxial joint
- Median glossoepiglottic fold
- Mental foramen
- Mental nerve
- Mental protuberance
- Mentalis muscle
- Mesencephalic nucleus of trigeminal nerve
- Middle Nasal Meatus
- Middle constrictor muscle of pharynx
- Middle deep cervical lymph nodes
- Middle nasal concha
- Middle superior alveolar nerve
- Minor alar cartilage
- Motor nucleus of facial nerve
- Motor nucleus of trigeminal nerve
- Multifidus muscles
- Mylohyoid muscle
- Nasal bones
- Nasal cavity
- Nasal crest of maxilla
- Nasal part of frontal bone
- Nasal septum
- Nasal spine of frontal bone
- Nasal vestibule
- Nasalis muscle
- Nasofrontal vein
- Nasolabial lymph nodes
- Nasolacrimal duct (Tear duct)
- Nasopharynx
- Neck of mandible
- Nuchal ligament
- Nucleus of abducens nerve
- Nucleus of hypoglossal nerve
- Nucleus of oculomotor nerve
- Nucleus of solitary tract
- Nucleus of trochlear nerve
- Oblique arytenoid muscle
- Obliquus inferior capitis muscle
- Obliquus superior capitis muscle
- Occipital condyle
- Occipital lymph nodes
- Oculomotor Nerve (Cranial Nerve III)
- Oculomotor nerve (Superior branch)
- Oculomotor nerve (inferior branch)
- Odontoid process
- Olfactory Nerve (Cranial Nerve I)
- Olfactory bulb
- Olfactory tract
- Opening of nasolacrimal duct
- Optic Nerve (Cranial Nerve II)
- Optic canal
- Optic chiasm
- Optic disc
- Optic nerve sheath
- Orbicularis oculi muscle
- Orbicularis oculi muscle (Orbital part)
- Orbicularis oculi muscle (Preseptal part)
- Orbicularis oris muscle
- Orbital cavity
- Orbital part of optic nerve
- Orbital part of orbicularis oculi muscle
- Orbital plate
- Orbital surface of maxilla
- Oropharynx
- Palatine glands
- Palatine process of maxilla
- Palatine tonsil
- Palatoglossus muscle
- Palatopharyngeus muscle
- Paratracheal lymph nodes
- Parotid duct
- Parotid gland
- Pedicle of vertebra
- Periodontal ligament
- Perpendicular plate
- Petrous part of temporal bone
- Pharyngeal opening of auditory tube
- Pharyngeal recess
- Pharyngeal tonsil
- Pharyngeal tubercle
- Pituitary fossa
- Platysma muscle
- Posterior arch of atlas
- Posterior atlanto-occipital ligament
- Posterior auricular artery
- Posterior auricular vein
- Posterior band of articular disc, TMJ
- Posterior belly of digastric muscle
- Posterior border of maxilla
- Posterior chamber of eyeball
- Posterior clinoid process
- Posterior cochlear nucleus
- Posterior cricoarytenoid muscle
- Posterior nasal spine
- Posterior part of tongue
- Posterior superior alveolar nerve
- Preauricular lymph nodes
- Preseptal part of orbicularis oculi muscle
- Principal sensory nucleus of the trigeminal nerve
- Pterygoid venous plexus
- Pterygomandibular raphe
- Pterygomaxillary fissure
- Pupil
- Ramus of mandible
- Rectus capitis anterior muscle
- Rectus capitis lateralis muscle
- Rectus capitis posterior major muscle
- Rectus capitis posterior minor muscle
- Retina
- Retrobulbar fat
- Retromandibular vein
- Retropharyngeal lymph nodes
- Risorius muscle
- Root canal of lower canines tooth
- Root canal of lower premolar tooth
- Root canal of upper canines tooth
- Root canal of upper molar tooth
- Root canal of upper premolar tooth
- Root of lower canines tooth
- Root of lower molar tooth
- Root of tongue
- Root of upper molar tooth
- Rotatores cervicis muscle
- Salpingopalatine fold
- Salpingopharyngeal fold
- Scalenus anterior muscle (Anterior scalene muscle)
- Scalenus medius muscle (middle scalene muscle)
- Scalenus posterior muscle (Posterior scalene muscle)
- Sclera
- Sella turcica
- Semicircular Canals
- Semispinalis capitis muscle
- Semispinalis cervicis muscle
- Septum of sphenoid sinus
- Serratus anterior muscle
- Serratus posterior superior muscle
- Sheath of styloid process
- Soft palate
- Sphenoid sinus
- Sphenoidal sinus
- Spinal cord
- Spinal nucleus of trigeminal nerve
- Spinalis cervicis muscle
- Splenius capitis muscle
- Splenius cervicis muscle
- Squamous part of temporal bone
- Sternocleidomastoid muscle
- Sternohyoid muscle
- Sternothyroid muscle
- Styloglossus muscle
- Stylohyoid muscle
- Styloid process
- Stylopharyngeus muscle
- Subarachnoid space of optic nerve
- Subclavius muscle
- Sublingual gland
- Submandibular duct
- Submandibular gland
- Submandibular lymph nodes
- Submental lymph nodes
- Submental vein
- Superciliary arch
- Superficial anterior cervical lymph nodes
- Superficial head of medial pterygoid muscle
- Superficial lateral cervical lymph nodes
- Superficial parotid lymph nodes
- Superficial part of masseter
- Superficial temporal artery
- Superficial temporal vein
- Superior belly of omohyoid muscle
- Superior branch of vestibular nerve
- Superior bulb of internal jugular vein
- Superior constrictor muscle of pharynx
- Superior cornu of thyroid cartilage
- Superior deep cervical lymph nodes
- Superior dental plexus
- Superior eyelid
- Superior first molar tooth
- Superior first premolar tooth
- Superior head of lateral pterygoid muscle
- Superior longitudinal lingual muscle
- Superior longitudinal muscle of tongue
- Superior nasal concha
- Superior nasal meatus
- Superior oblique muscle
- Superior ophthalmic vein
- Superior rectus muscle
- Superior retrodiscal layer
- Superior salivatory nucleus
- Superior second molar tooth
- Superior second premolar tooth
- Superior synovial membrane of temporomandibular joint
- Superior tarsus
- Superior third molar tooth
- Superior vestibular nucleus
- Superior wall of orbit
- Superior wall of the maxillary sinus
- Supraclavicular lymph nodes
- Supraorbital artery
- Supraorbital margin
- Supraorbital nerve
- Supraorbital vein
- Supratrochlear artery
- Supratrochlear nerve
- Supratrochlear vein
- Tectorial Membrane
- Teeth
- Temporalis muscle
- Temporalis muscle (face)
- Temporomandibular joint
- Tensor veli palatini muscle
- Thyroarytenoid muscle
- Thyroepiglottic ligament
- Thyrohyoid membrane
- Thyrohyoid muscle
- Thyroid cartilage
- Thyroid lymph nodes
- Tonsillar fossa
- Tragus of ear
- Transverse arytenoid muscle
- Transverse cervical artery
- Transverse facial artery
- Transverse facial vein
- Transverse muscle of the tongue
- Transverse muscle of tongue
- Transverse process of atlas
- Transverse process of vertebra
- Trapezius muscle
- Trigeminal ganglion
- Trigeminal nerve (Cranial nerve V)
- Trochlear nerve (Cranial nerve IV)
- Tympanic part of temporal bone
- Upper premolar apical foramen
- Uvula of palate
- Vagus nerve (Cranial nerve X)
- Vertebral artery
- Vestibular fold & vestibular ligament
- Vestibular ganglion
- Vestibule
- Vestibulocochlear nerve (Cranial nerve VIII)
- Vitreous chamber of eyeball
- Vocalis muscle
- Vomer
- Whitnall's ligament
- Zygomatic arch
- Zygomatic bone
- Zygomatic nerve
- Zygomatic process of frontal bone
- Zygomatic process of temporal bone
- Zygomaticus major muscle
- Zygomaticus minor muscle
- inferior alveolar artery
- jugular foramen pars nervosa
- lens of the eye
- superior canine tooth
The Abducens nerve (Cranial nerve VI) is a purely motor cranial nerve responsible for innervating the lateral rectus muscle of the eye, which is crucial for lateral movement (abduction) of the eyeball. It arises from the abducens nucleus in the dorsal pons, emerges at the pontomedullary junction, and travels a long intracranial course before entering the orbit via the superior orbital fissure. Because of its long path and proximity to the clivus, it is particularly susceptible to injury from increased intracranial pressure or trauma.
Synonyms
-
Sixth cranial nerve
-
CN VI
-
N. abducens (Latin)
-
Nervus abducens
Function
-
Innervates the lateral rectus muscle of the eye
-
Responsible for abduction of the eyeball (moving the eye outward, away from the midline)
-
Is a purely motor nerve (no sensory or autonomic fibers)
-
Lesion results in inability to abduct the affected eye, leading to horizontal diplopia (double vision)
MRI Appearance
-
The abducens nerve is a small, thin, linear structure
-
Best visualized on high-resolution T2-weighted 3D MRI sequences (e.g., FIESTA or CISS)
-
Seen as a hypointense (dark) line running from the brainstem at the pontomedullary junction, traversing the prepontine cistern, and entering Dorello’s canal under the petrosphenoidal ligament, then into the cavernous sinus, and finally the orbit
-
May be challenging to visualize in standard MRI due to its small size
-
Pathology may be inferred by absence, displacement, or enhancement of the nerve
CT Appearance
-
The nerve itself is not directly visualized on conventional CT due to its small size and soft tissue density
-
Indirect signs: assessment of the bony course, such as the Dorello’s canal, superior orbital fissure, or adjacent pathologies (fractures, masses, or inflammation) that could impinge the nerve
-
CT is mainly used to exclude structural lesions or fractures that might affect the course of CN VI
MRI images
MRI images
MRI images