🎙️ Voice Topic Search

🎤 Ready to Search

Click the voice button again and speak the topic name you want to search for.

Example: "Heart anatomy", "Brain structure", "Kidney function"


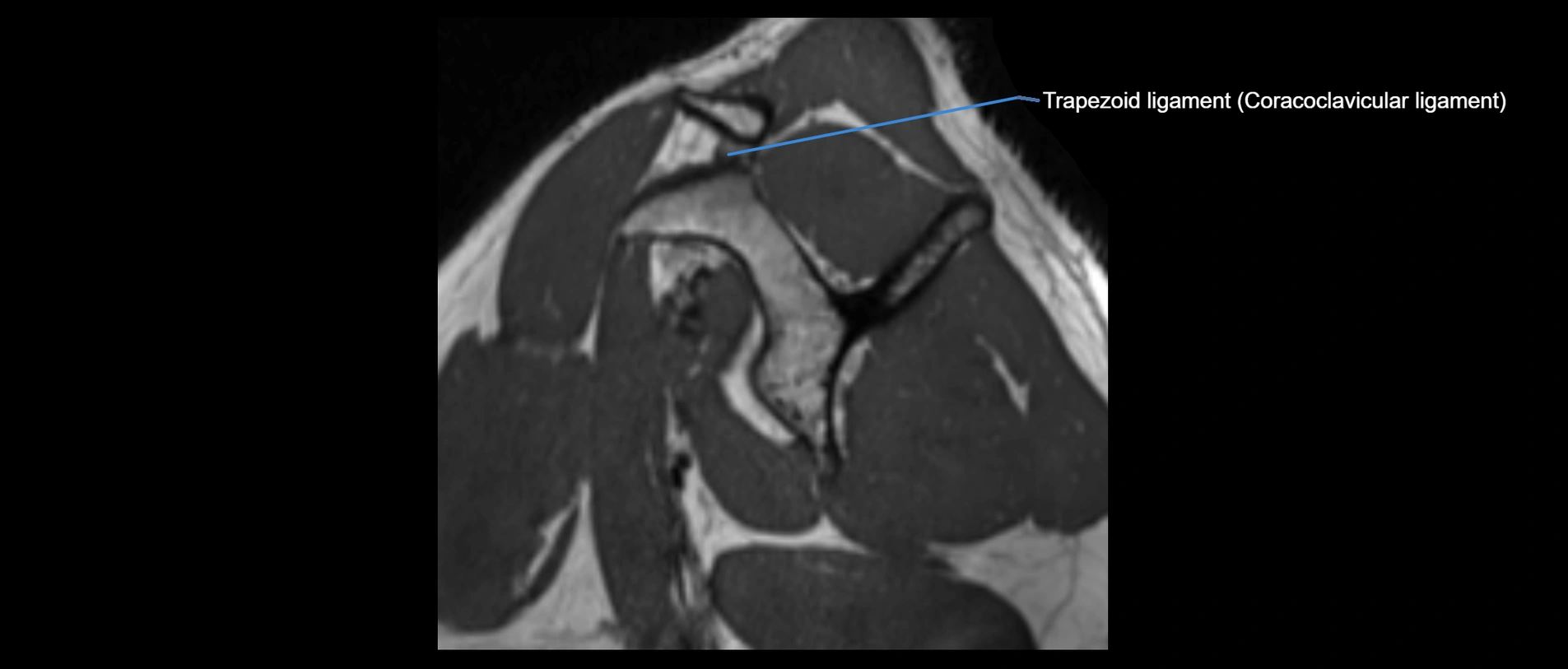
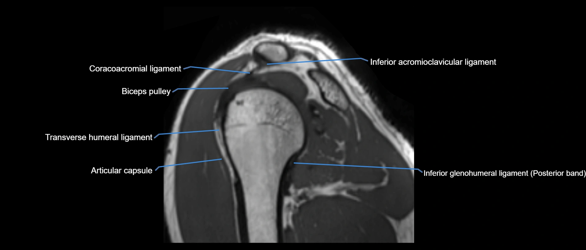
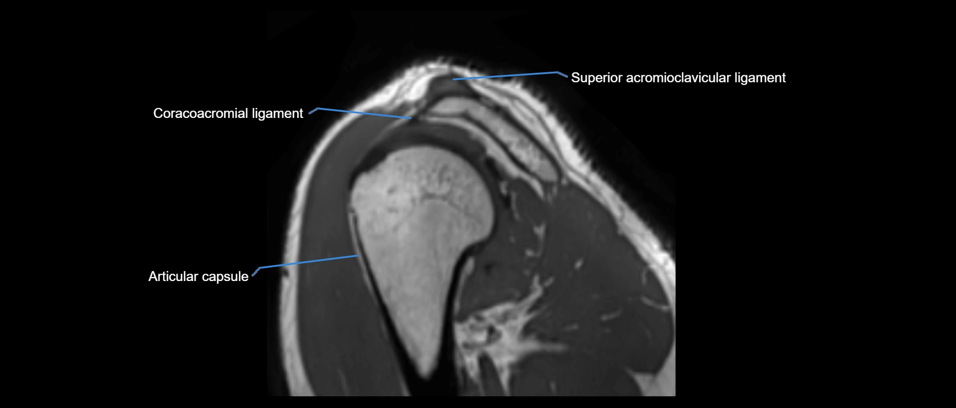
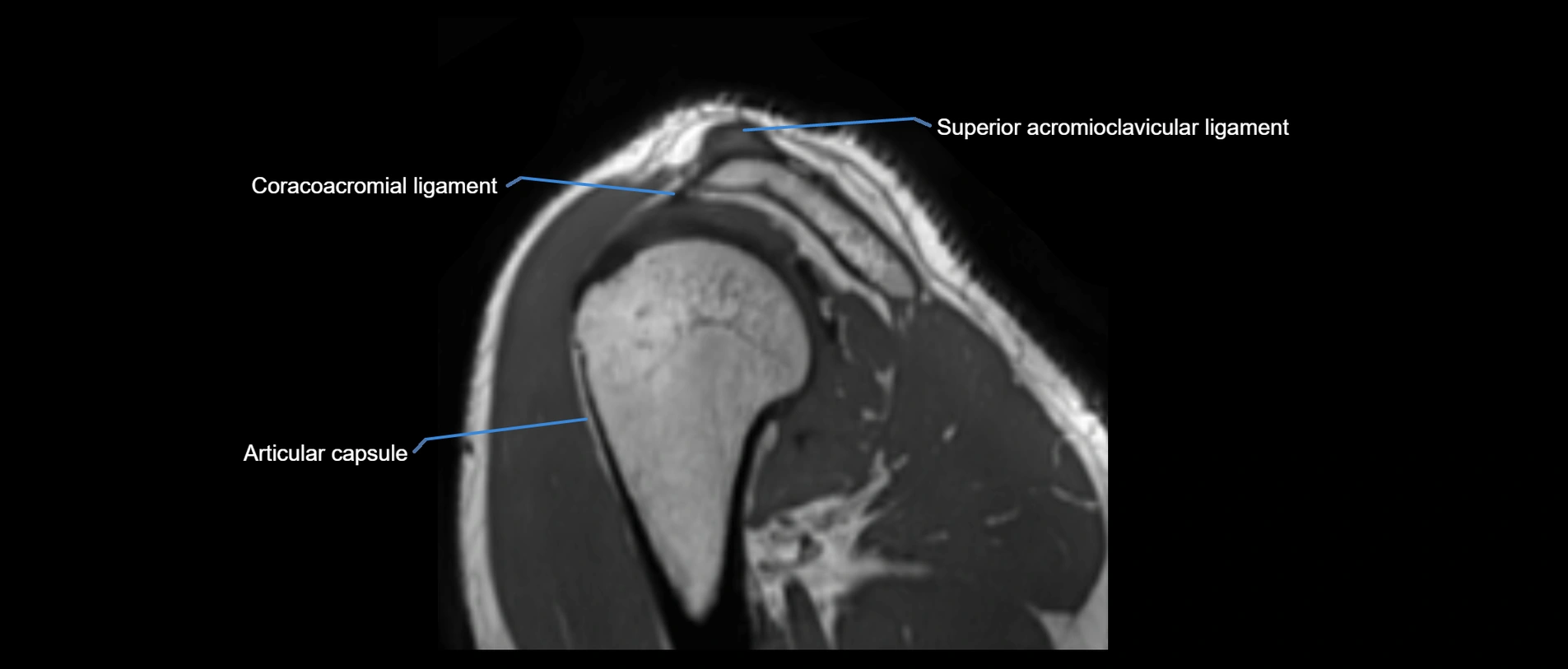
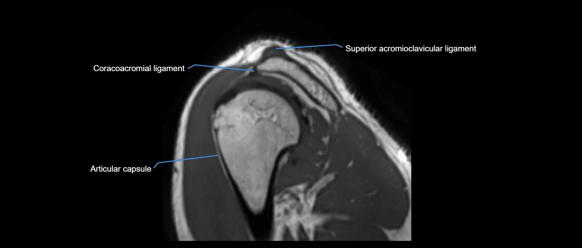
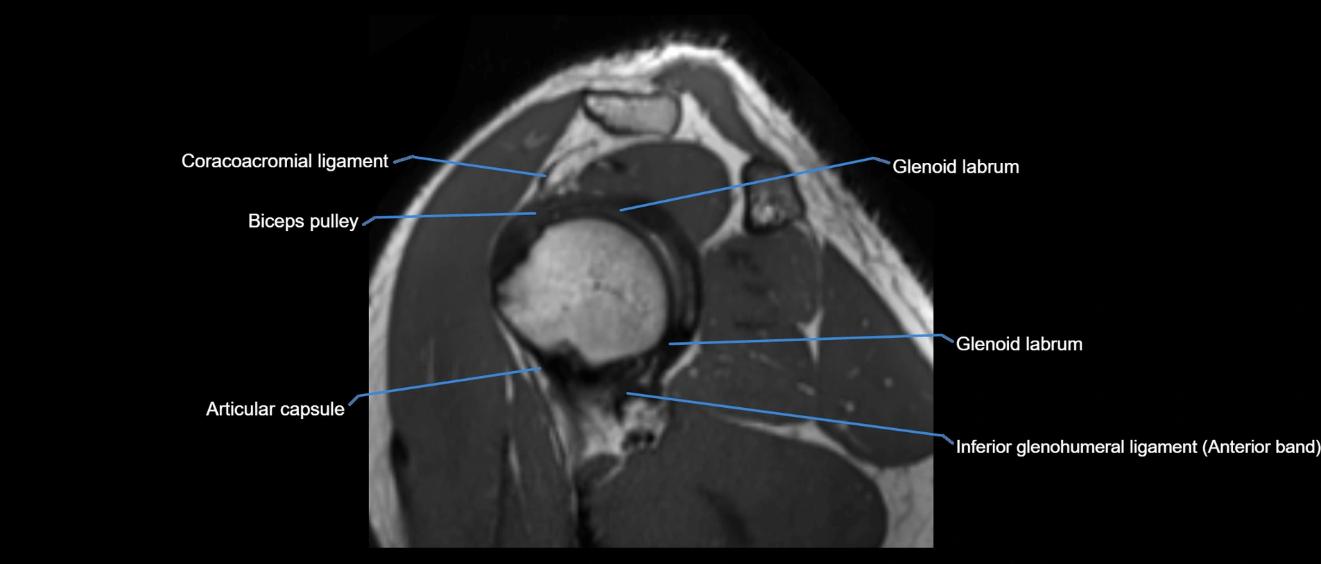
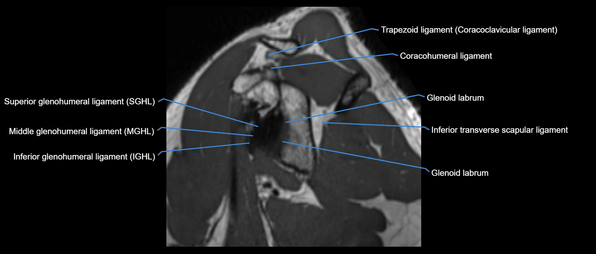
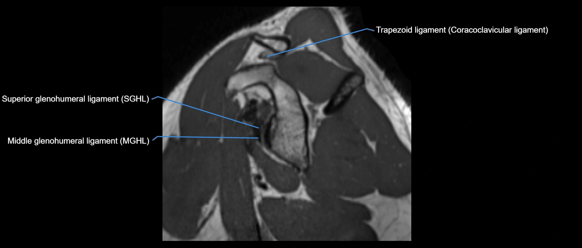
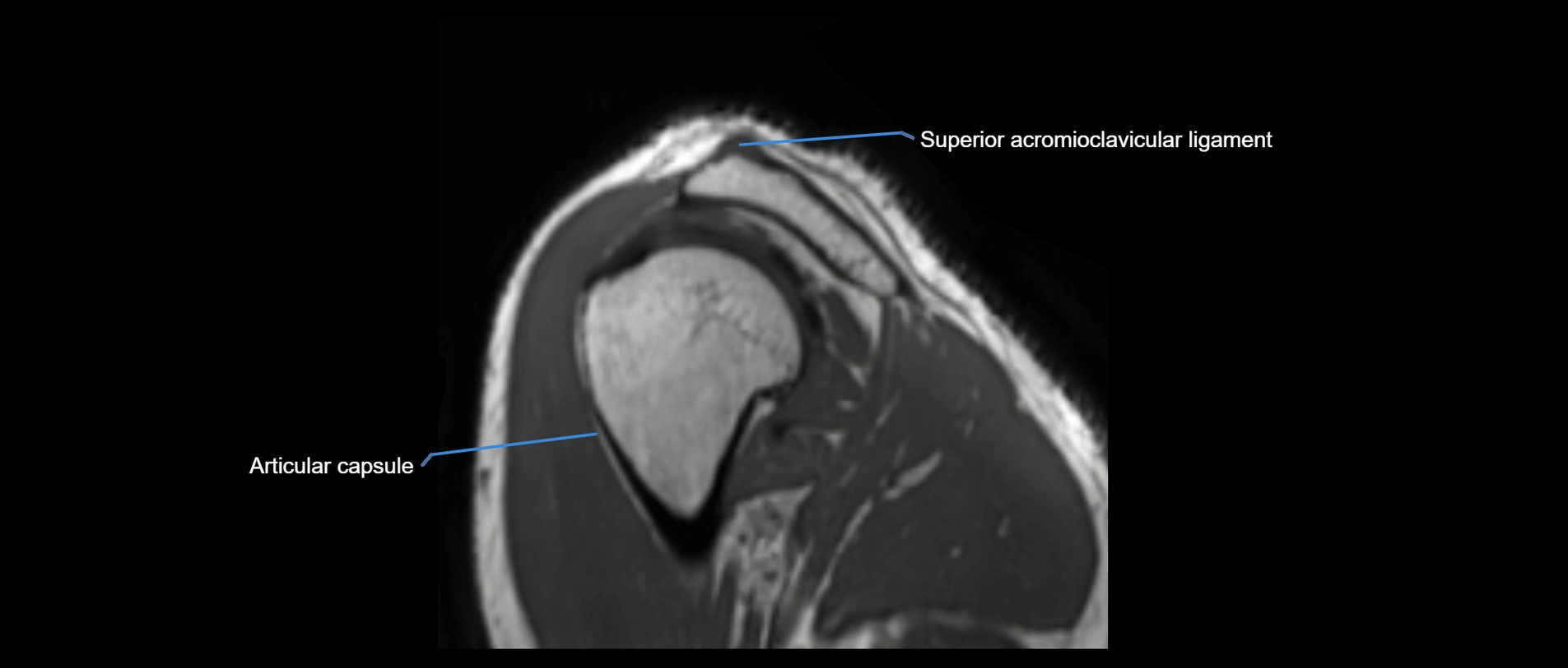
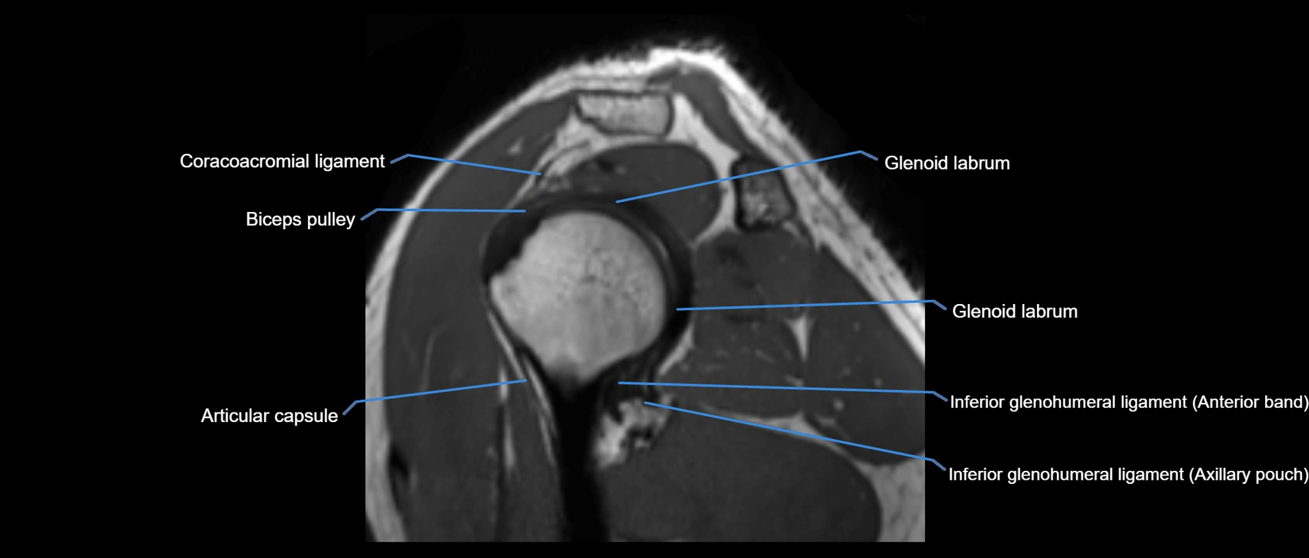
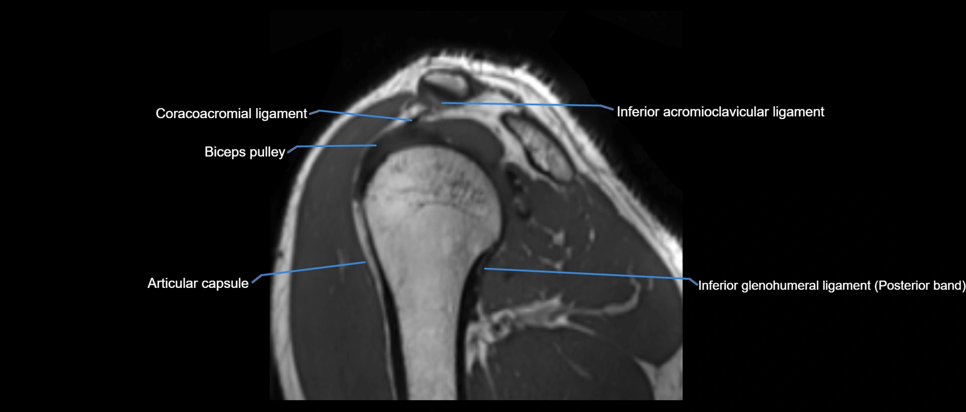
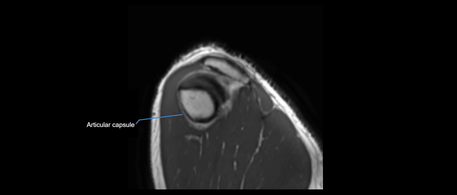
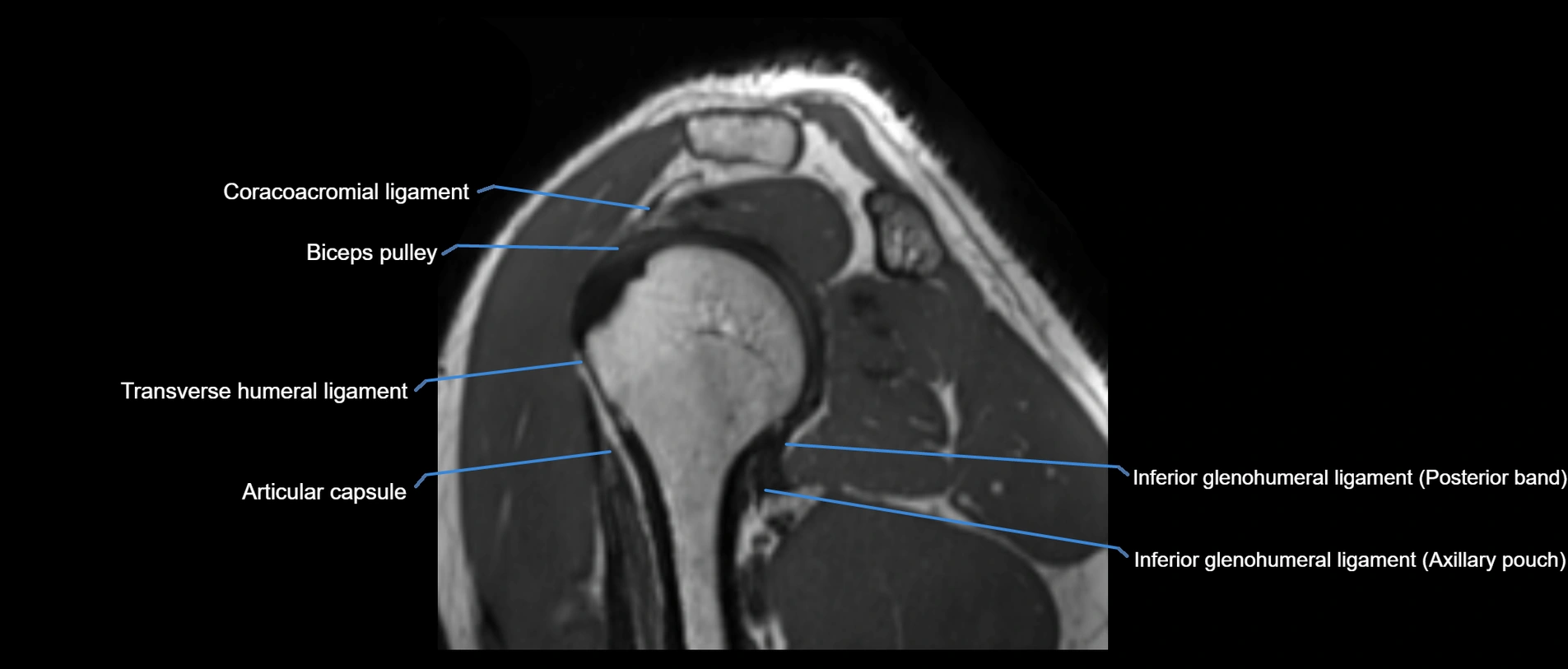
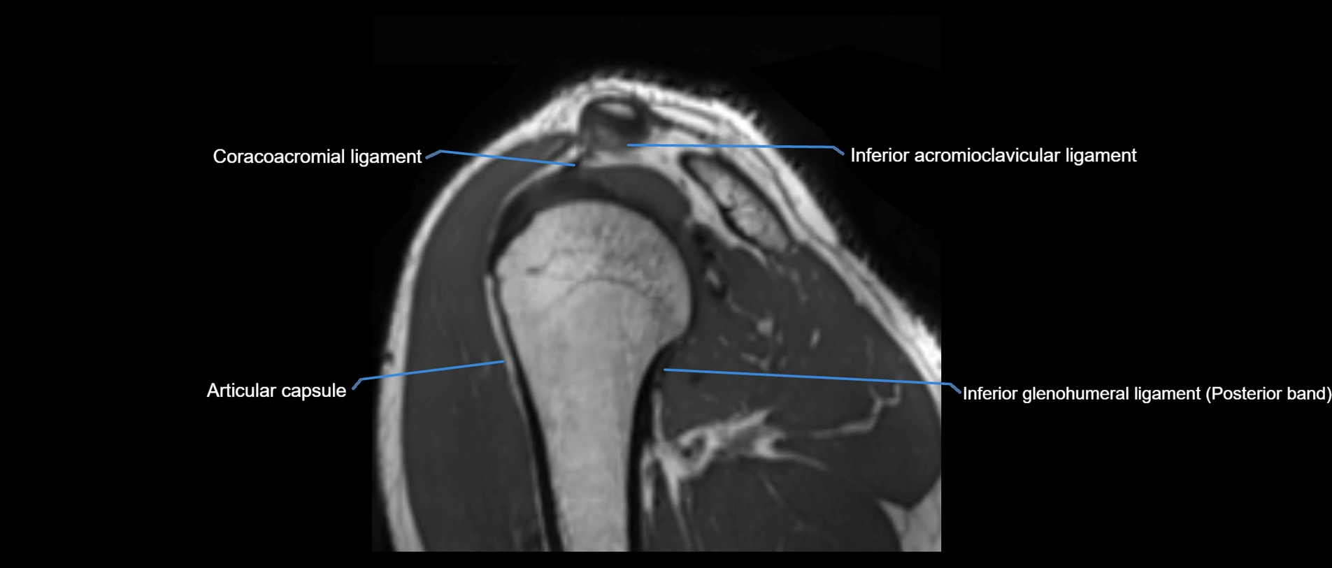
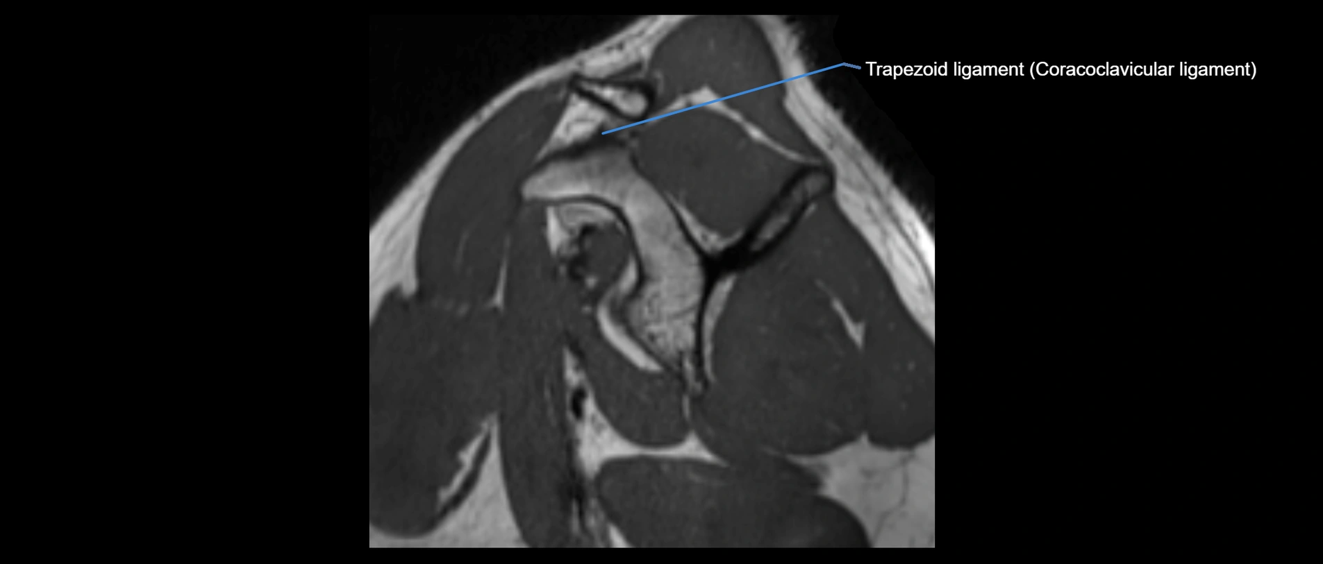
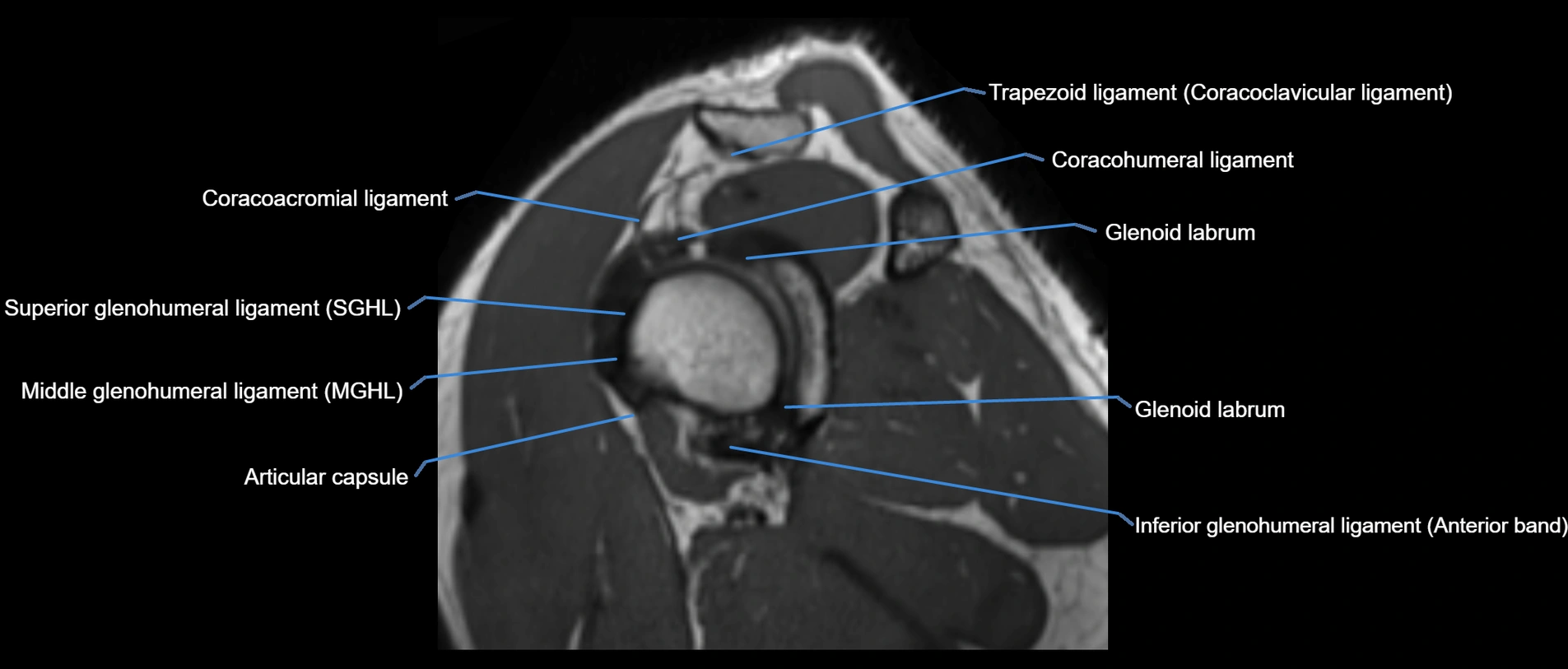
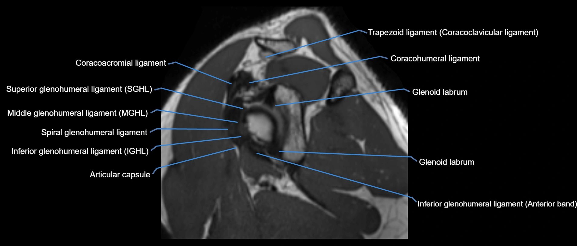
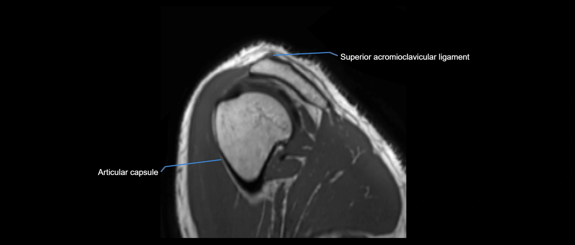
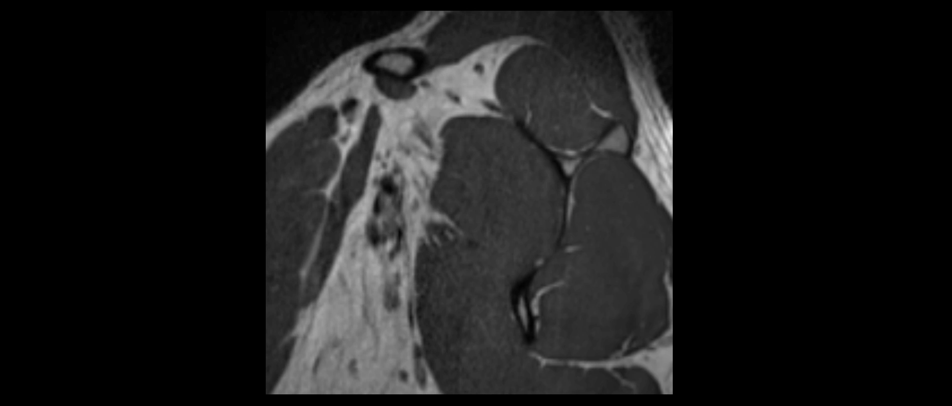
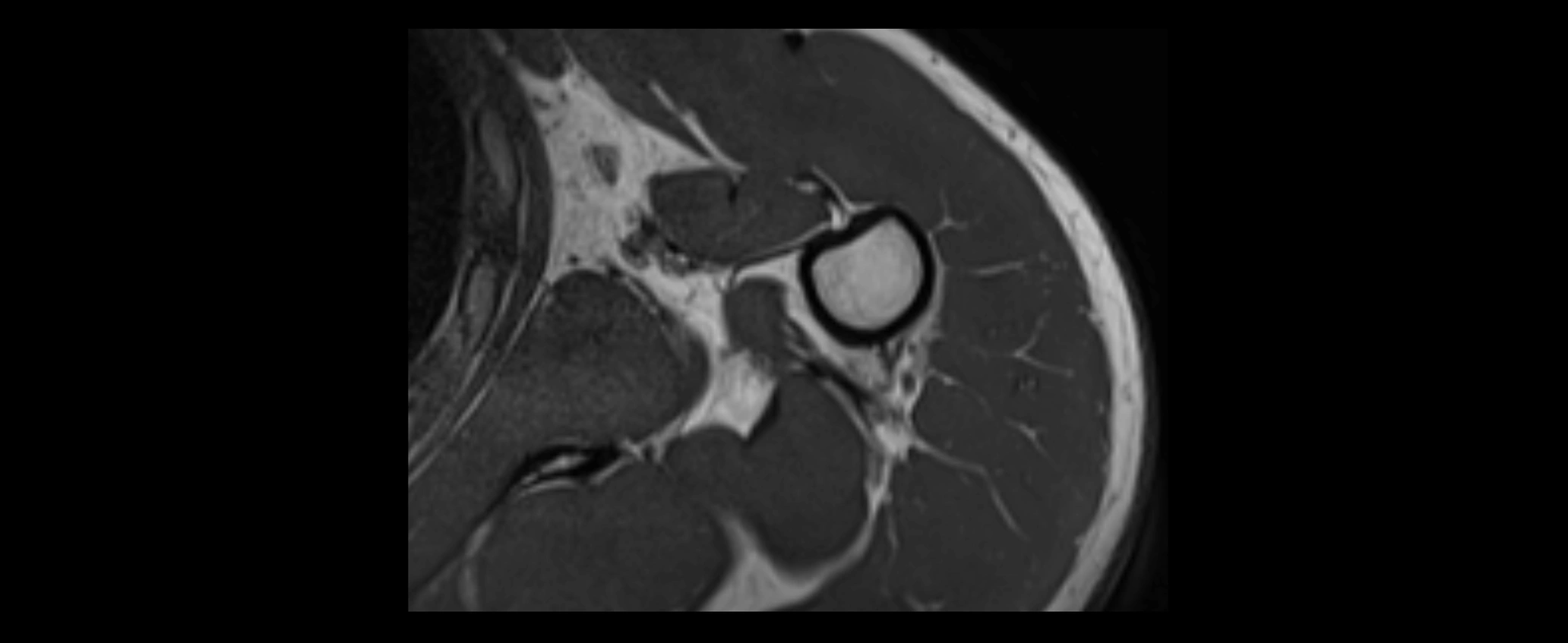
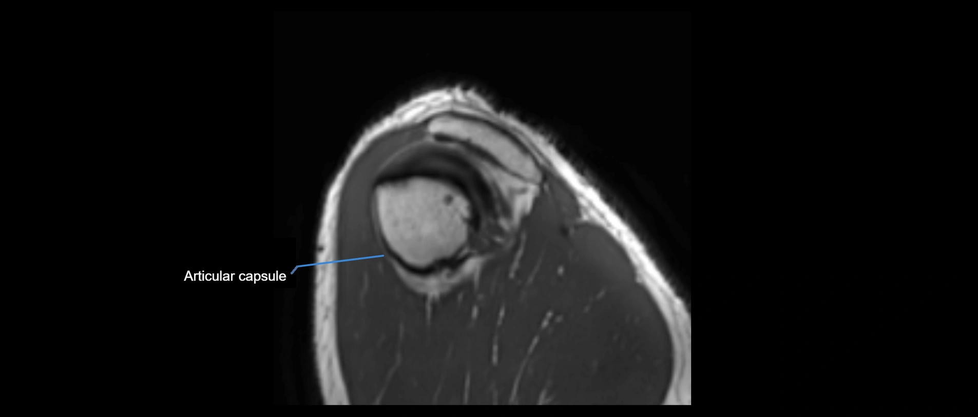
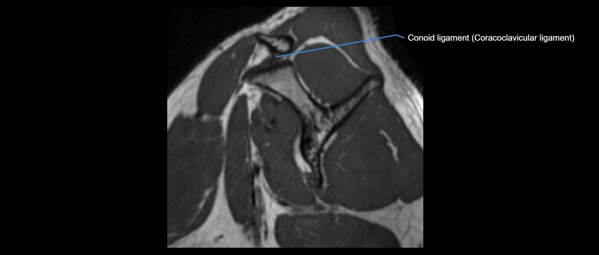
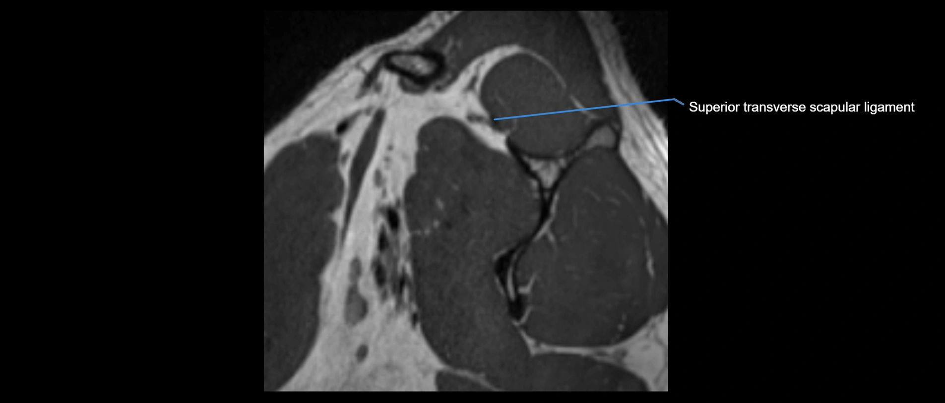
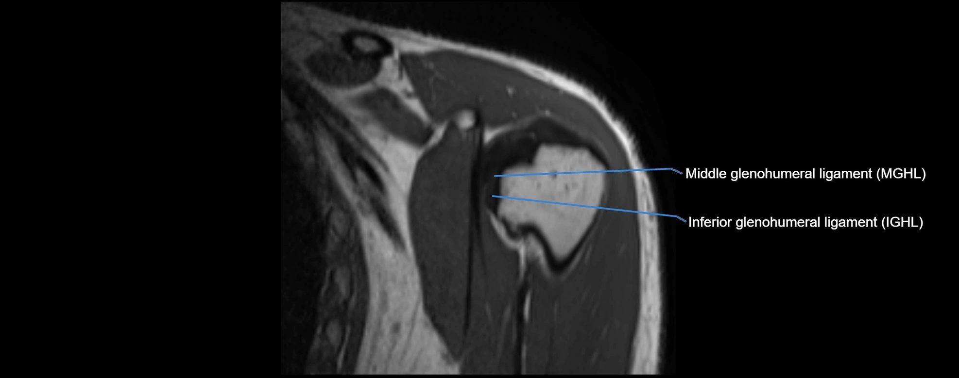
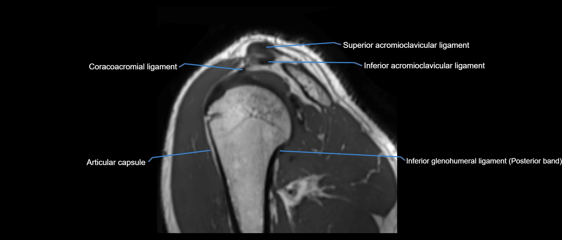
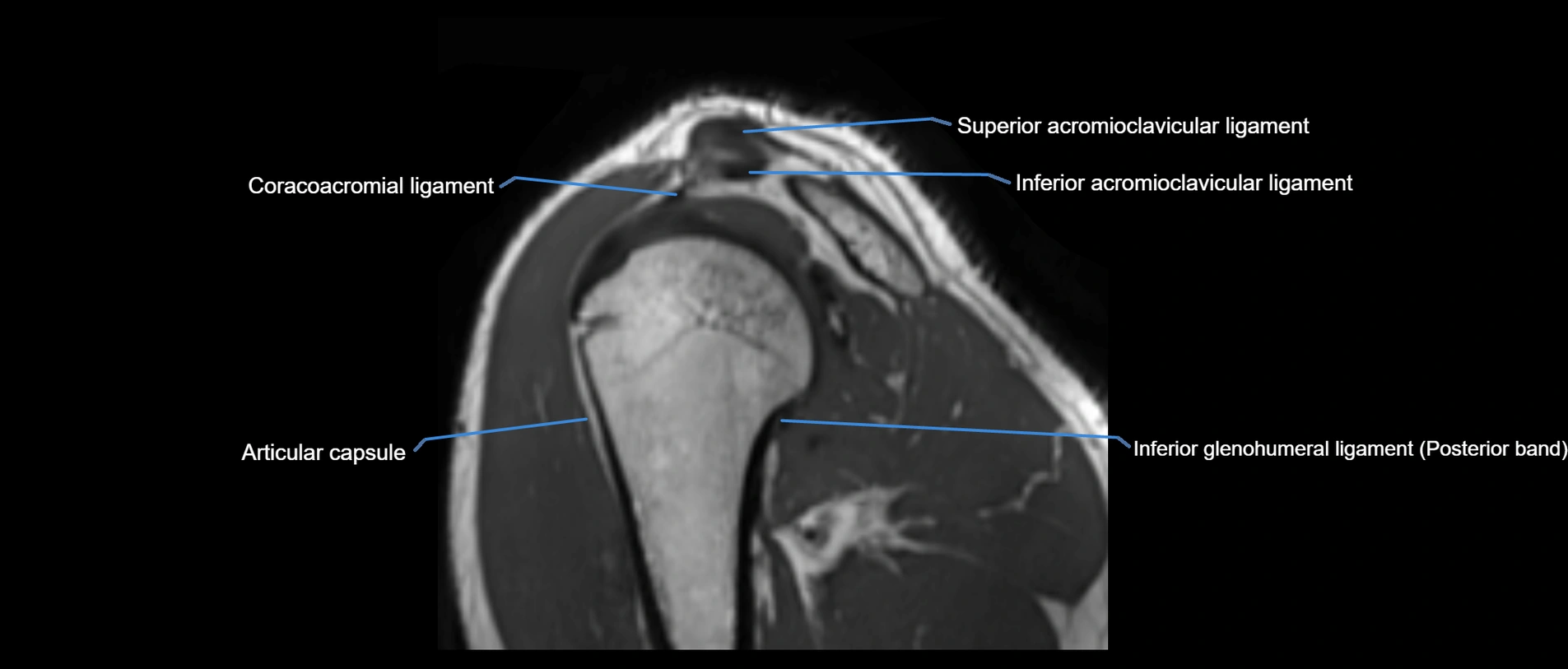
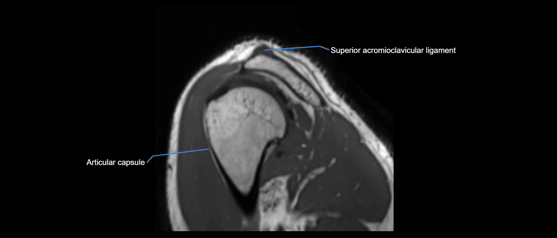
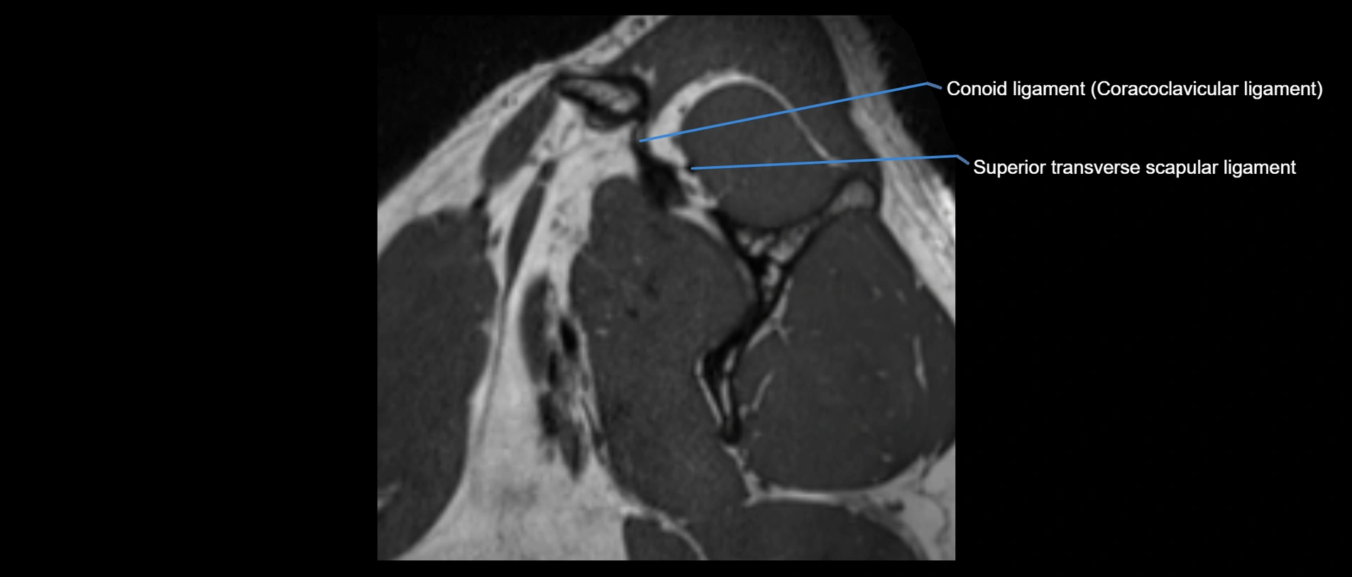
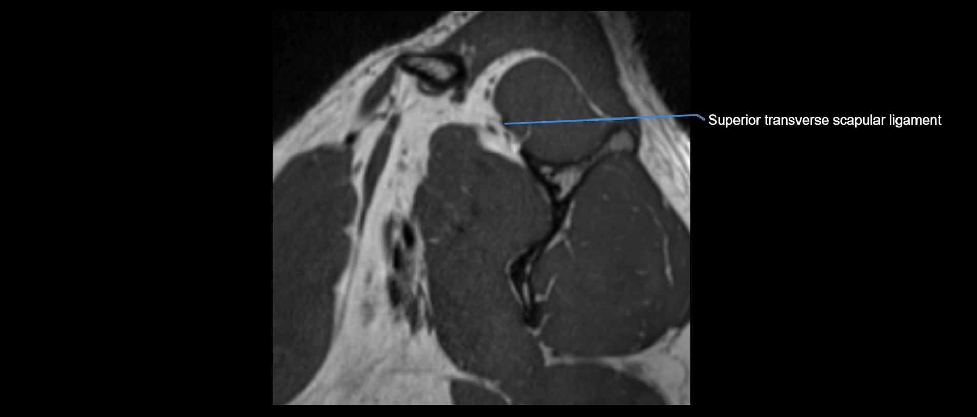
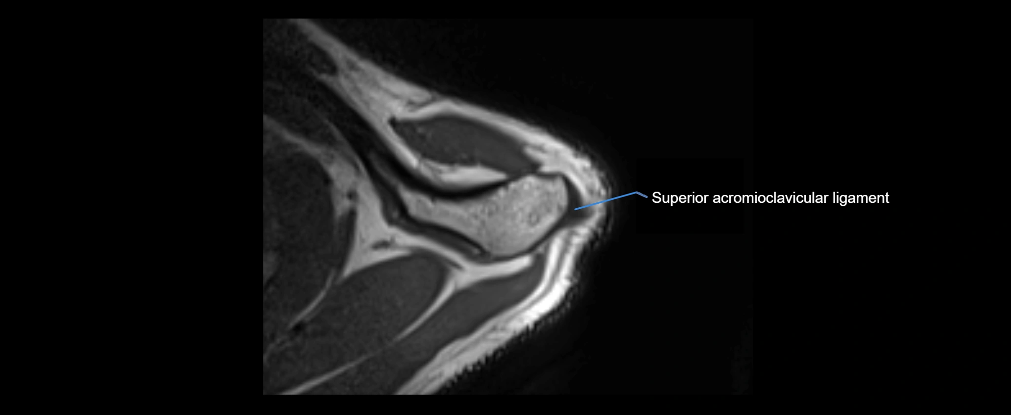
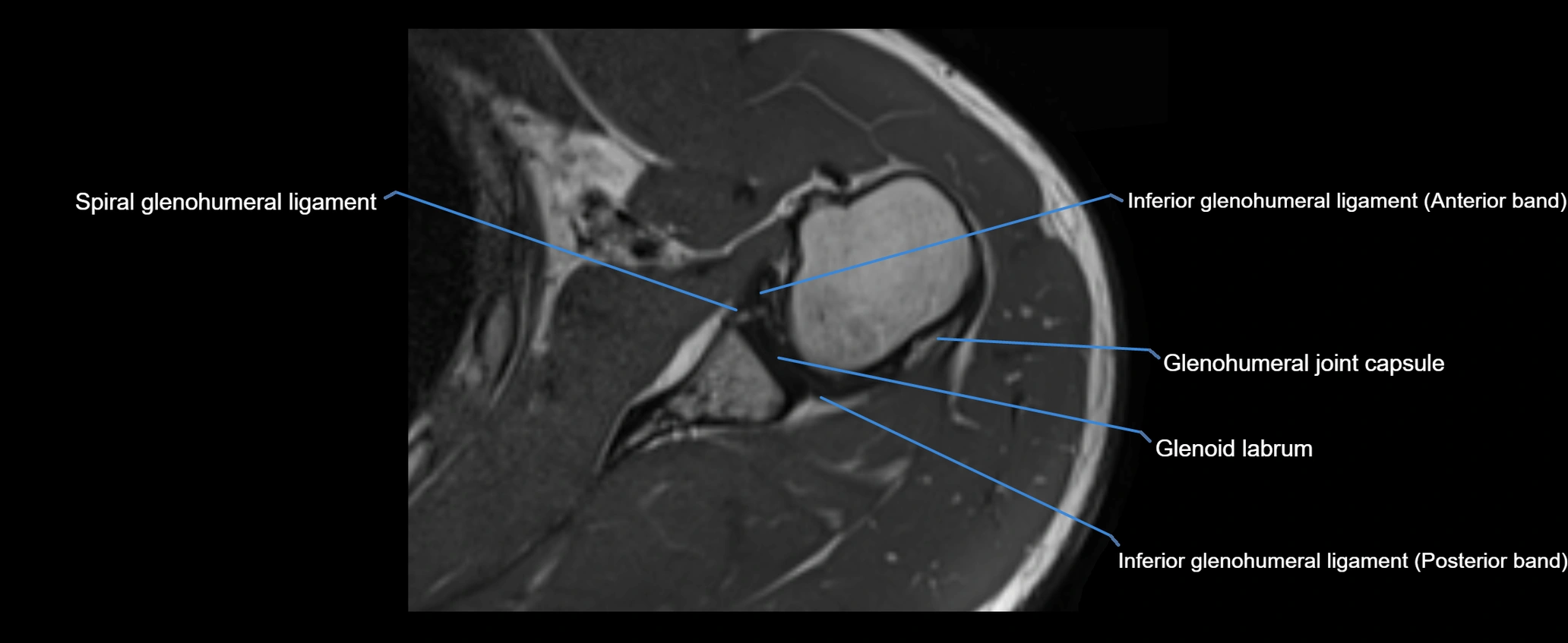
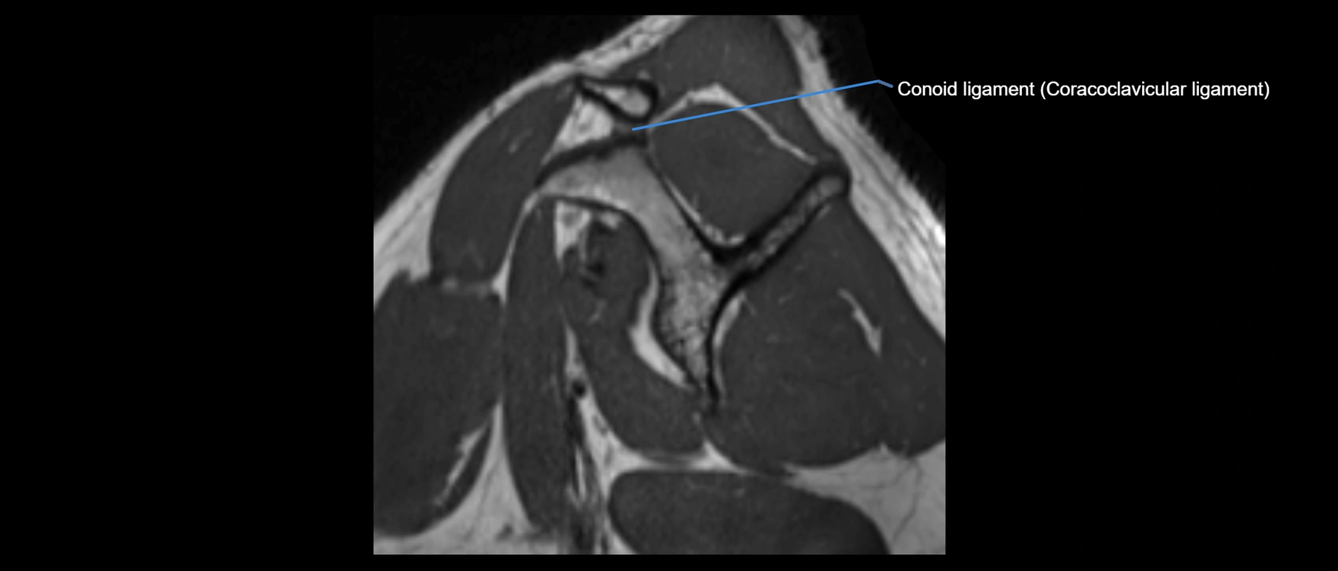
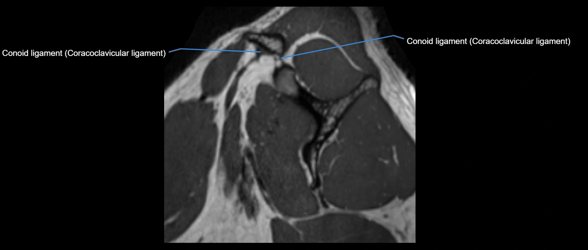
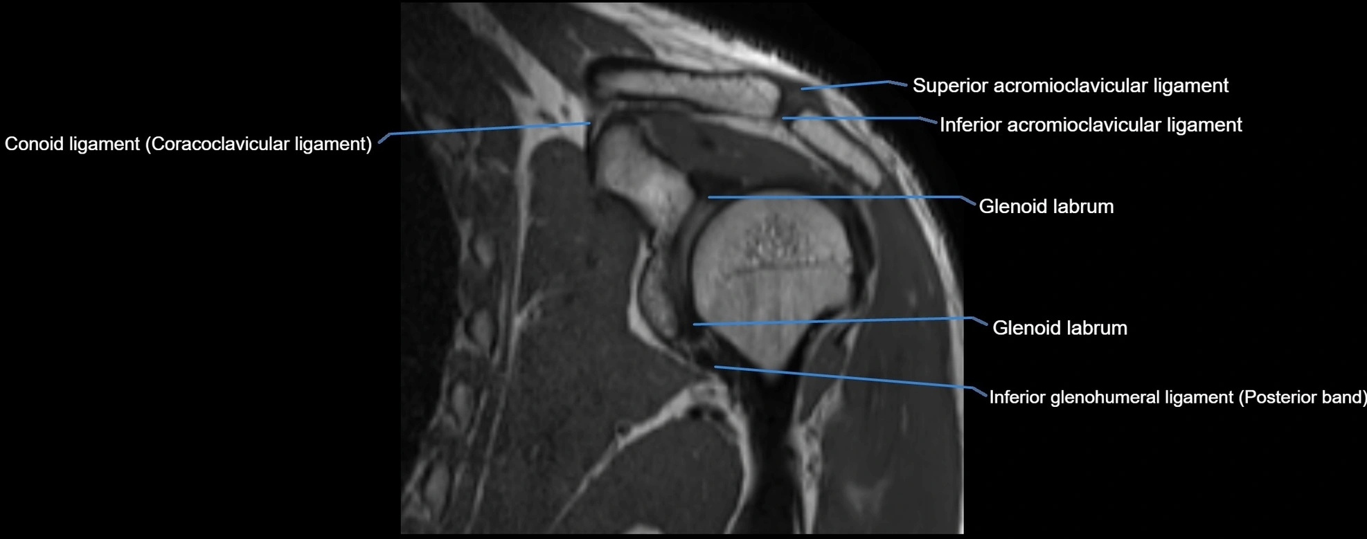
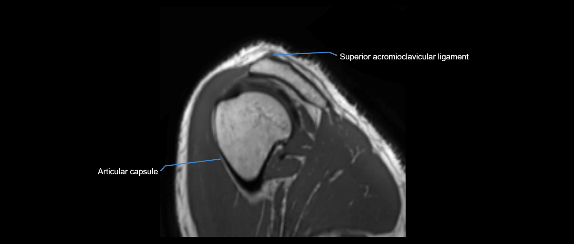
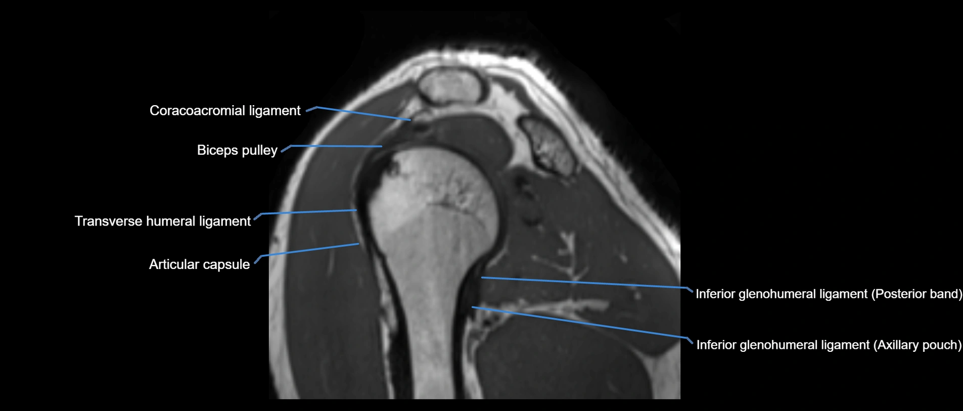
Acromioclavicular ligament

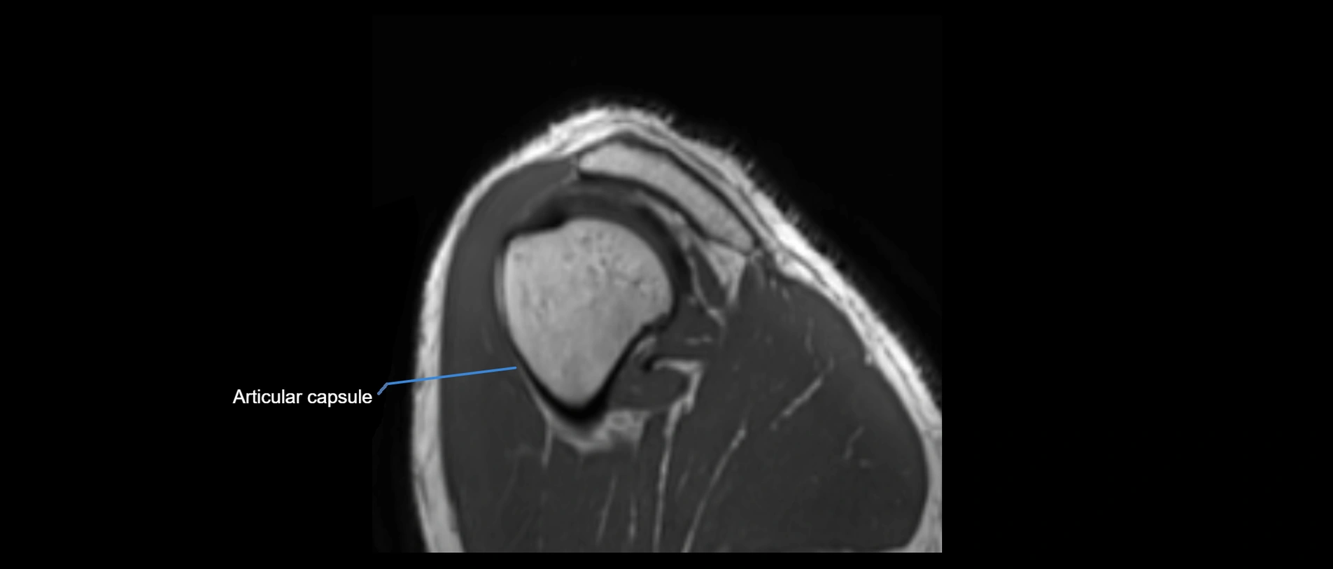
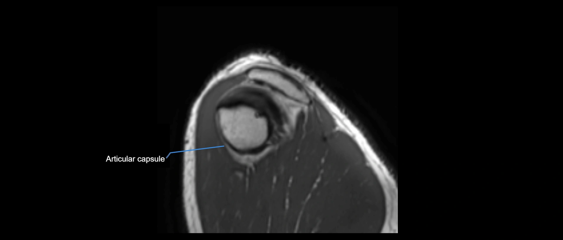
The acromioclavicular (AC) ligament is a strong fibrous band that reinforces the acromioclavicular joint capsule, connecting the lateral end of the clavicle to the medial border of the acromion. It plays a crucial role in maintaining the horizontal stability of the AC joint and functions in coordination with the coracoclavicular ligaments to support the shoulder girdle.

The ligament is composed of superior and inferior fibers, with the superior part being thicker and more functionally significant. It blends with the deltotrapezoid fascia, contributing to joint stability and resistance to shearing forces.

Synonyms

  • AC ligament

  • Capsular ligament of the acromioclavicular joint

Location and Structure

  • Type: Capsular ligament of a synovial plane joint (acromioclavicular joint).

  • Shape: Short, strong, quadrilateral band of dense fibrous tissue.

  • Position: Extends from the superior aspect of the lateral clavicle to the adjoining superior acromion border.

  • Layers:

    • Superior part: Reinforced by aponeuroses of trapezius and deltoid muscles.

    • Inferior part: Thin and weaker, covering the lower joint capsule.

Attachments

  • Medial attachment: Superior aspect of the lateral end of the clavicle.

  • Lateral attachment: Upper surface of the acromion, near its medial edge.

  • The superior fibers are continuous with the deltoid and trapezius aponeuroses, providing additional reinforcement.

Relations

  • Superiorly: Trapezius and deltoid muscles, and overlying fascia.

  • Inferiorly: Acromioclavicular joint capsule and synovial cavity.

  • Anteriorly: Clavicular joint margin.

  • Posteriorly: Upper surface of acromion and subacromial bursa.

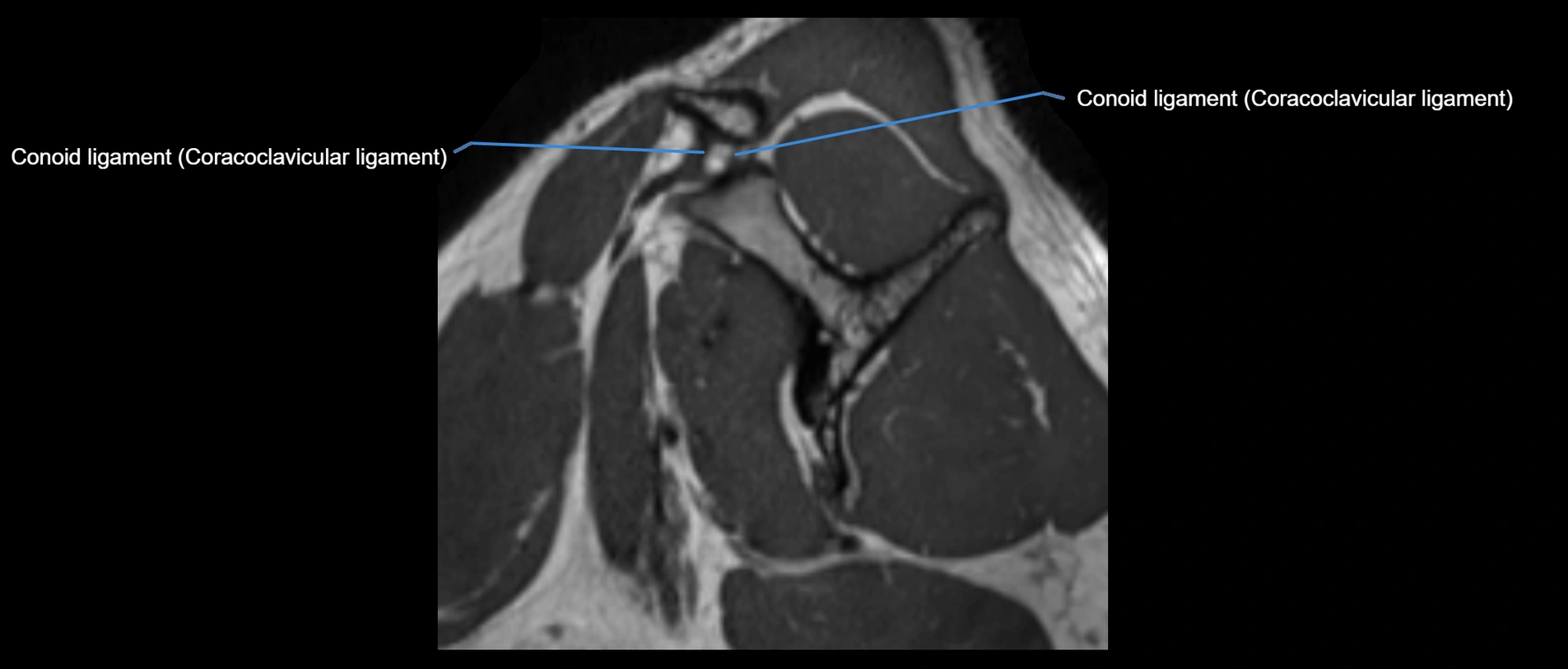
  • Medially: Lateral end of clavicle and coracoclavicular ligament complex.

Nerve Supply

  • Lateral pectoral nerve (C5–C6)

  • Suprascapular nerve (C5–C6) — provides articular branches to AC joint capsule

  • Axillary nerve (posterior branch) — occasional articular twigs

Function

  • Joint stabilization: Maintains horizontal stability of the acromioclavicular joint.

  • Capsular reinforcement: Strengthens the joint capsule superiorly and prevents separation of joint surfaces.

  • Force transmission: Distributes forces between clavicle and scapula during arm elevation.

  • Synergy: Works with coracoclavicular ligaments (conoid and trapezoid) for vertical stability of shoulder girdle.

Clinical Significance

  • Acromioclavicular joint injury (shoulder separation):

    • Results from direct trauma to the shoulder, often with downward force on acromion.

    • Grade I: Partial sprain of AC ligament.

    • Grade II: Complete tear of AC ligament, partial tear of coracoclavicular ligaments.

    • Grade III: Complete disruption of both AC and coracoclavicular ligaments with joint displacement.

  • Degeneration and osteoarthritis: Chronic stress may lead to capsular thickening and osteophyte formation.

  • Surgical relevance: Ligament reconstruction is key in AC joint stabilization procedures.

  • Imaging importance: MRI and CT assess integrity, tears, joint alignment, and post-surgical repair outcomes.

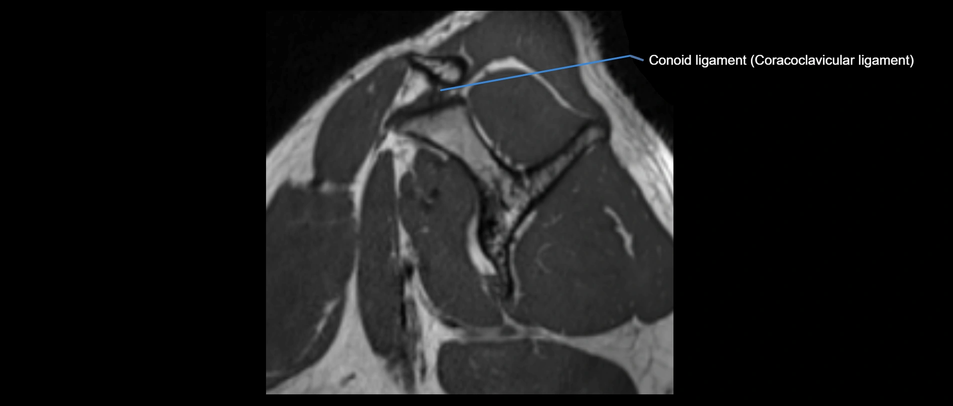
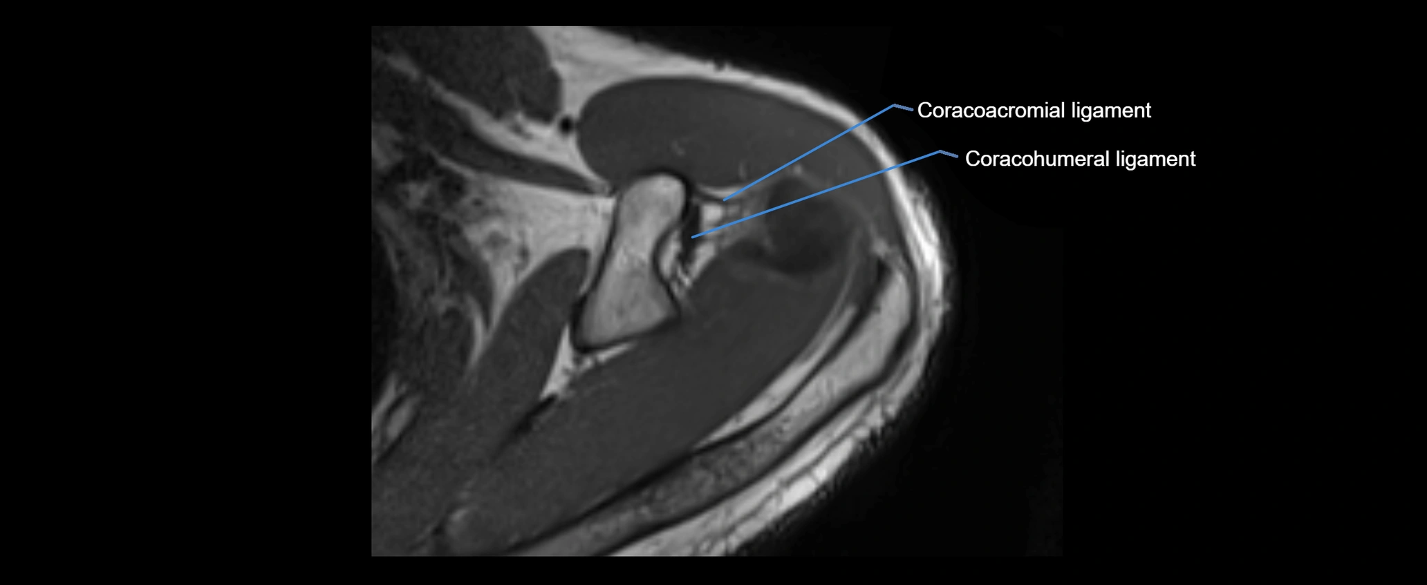
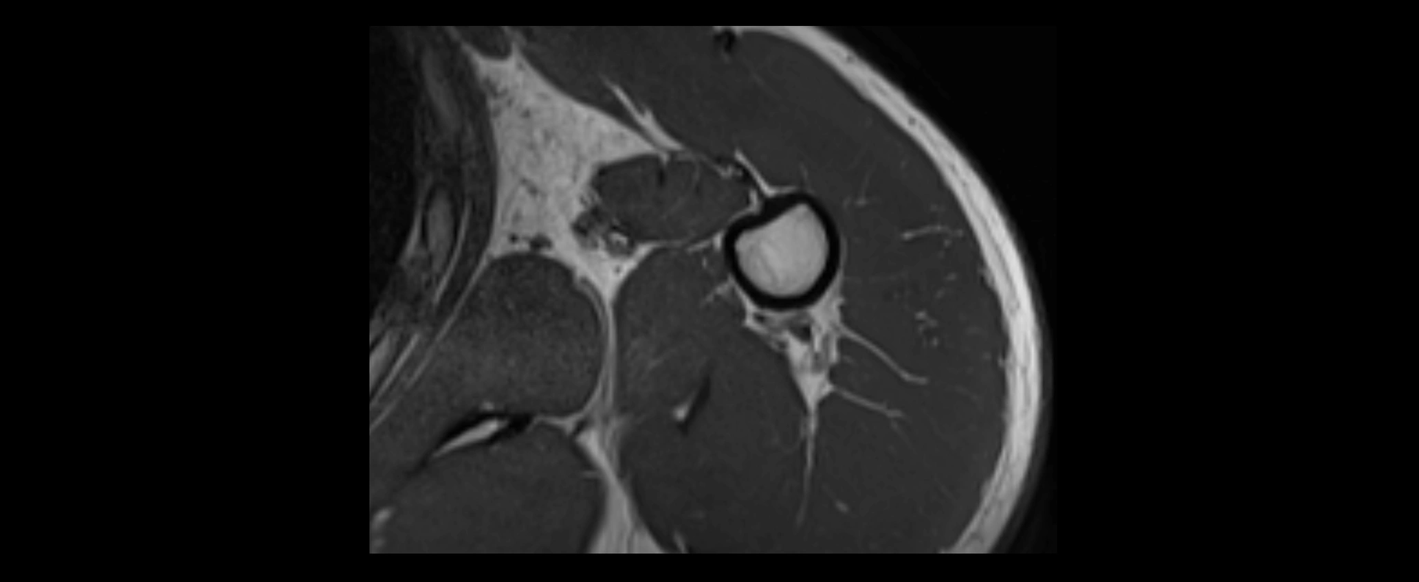
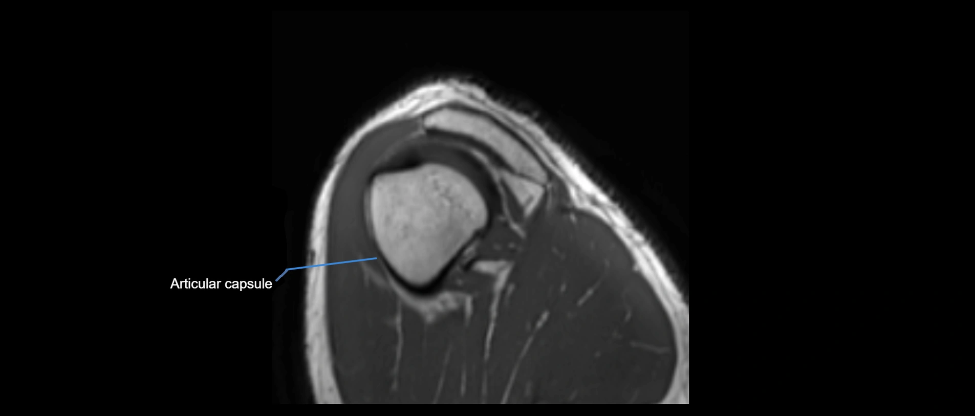
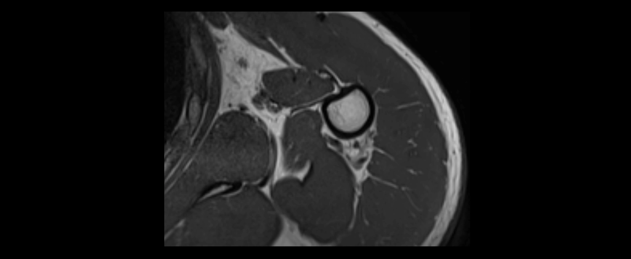
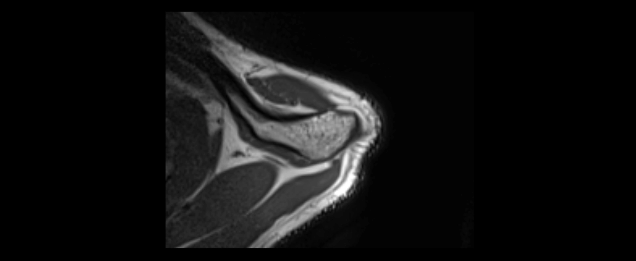
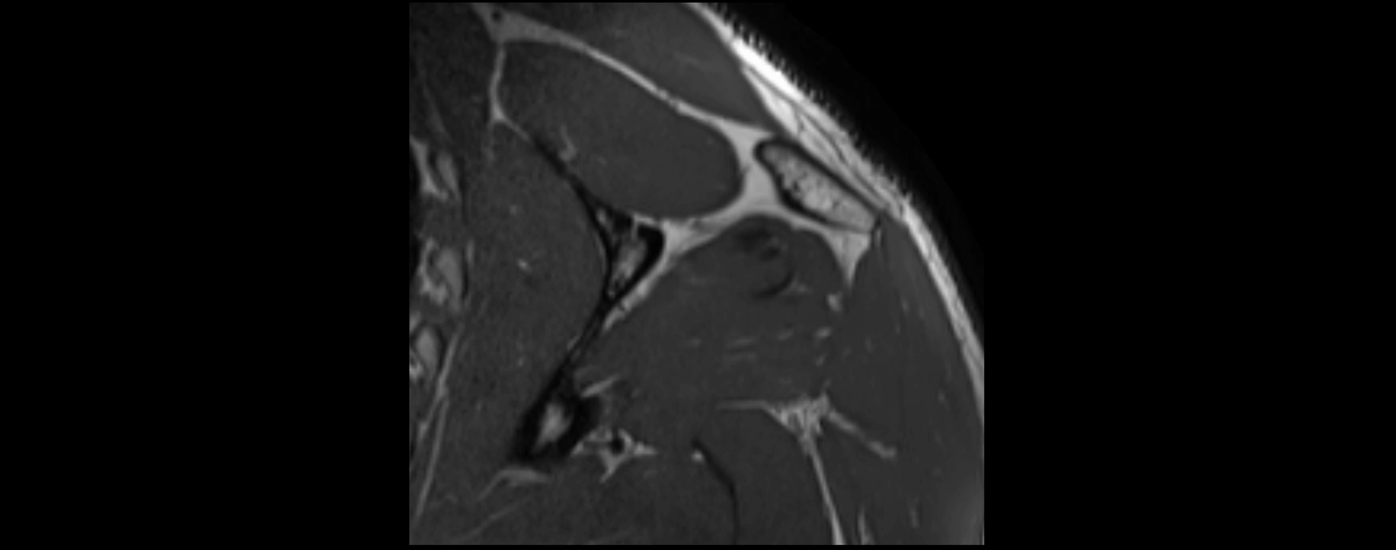
MRI Appearance

  • T1-weighted images:

    • Normal ligament: Low signal (dark linear band) spanning acromion to clavicle.

    • Surrounding fat planes: Bright, delineating the ligament clearly.

    • Marrow of clavicle and acromion: Bright due to fatty content.

    • Tears: Discontinuity or irregular thickening with intermediate-to-bright signal.

    • Chronic injury: Thinning, fraying, or irregular low-signal fibers with adjacent scarring.

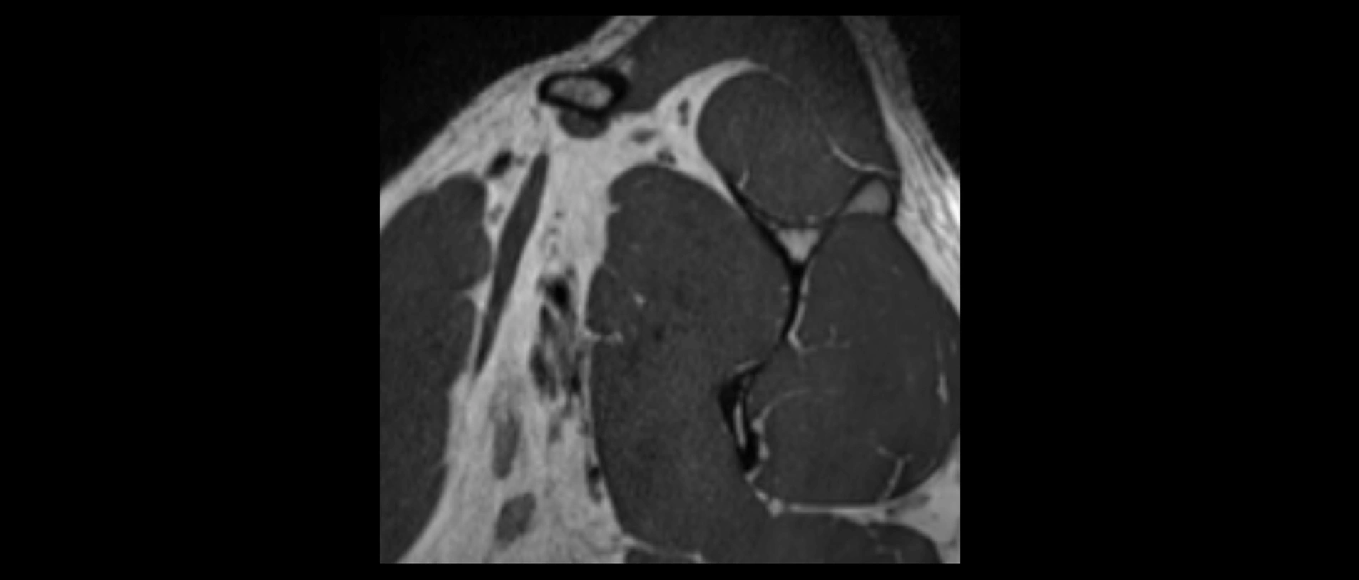
  • T2-weighted images:

    • Normal ligament: Low signal, homogeneous.

    • Partial tear or sprain: Focal hyperintensity or thickening.

    • Complete tear: Discontinuity with fluid-bright gap between clavicle and acromion.

    • Associated edema: Bright signal in distal clavicle or acromion marrow.

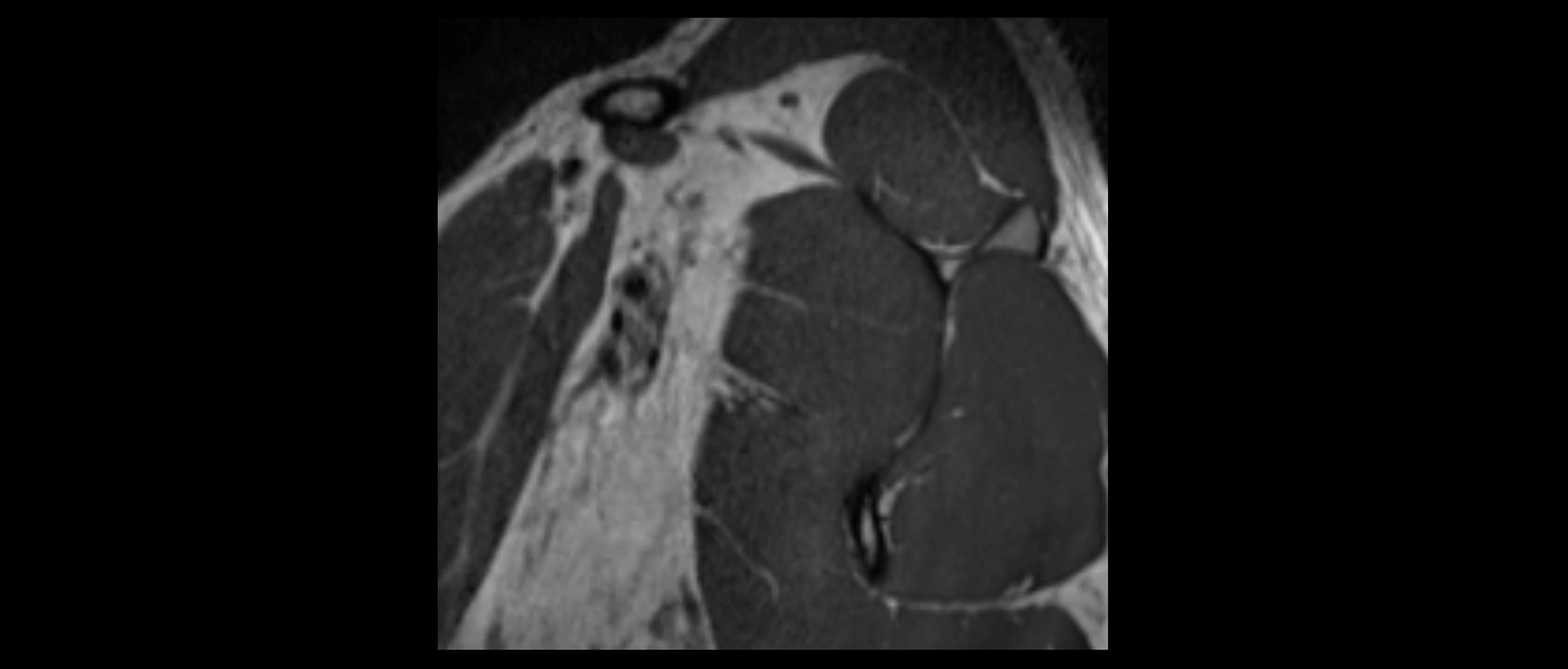
  • STIR:

    • Normal ligament: Dark linear band.

    • Injury or inflammation: Bright hyperintense signal in and around ligament fibers.

    • Highlights periligamentous soft-tissue edema, especially in acute trauma.

  • Proton Density Fat-Saturated (PD FS):

    • Normal ligament: Low signal, uniform thickness.

    • Partial tear or sprain: Bright signal or contour irregularity.

    • Complete tear: Clear discontinuity with bright signal gap and joint effusion.

    • Excellent for assessing joint capsule, coracoclavicular ligaments, and periarticular edema.

  • T1 Fat-Sat Post-Contrast:

    • Normal ligament: Minimal or no enhancement.

    • Inflammation or postoperative repair: Peripheral enhancement due to granulation tissue.

    • Chronic degeneration: Irregular enhancement pattern along frayed fibers.

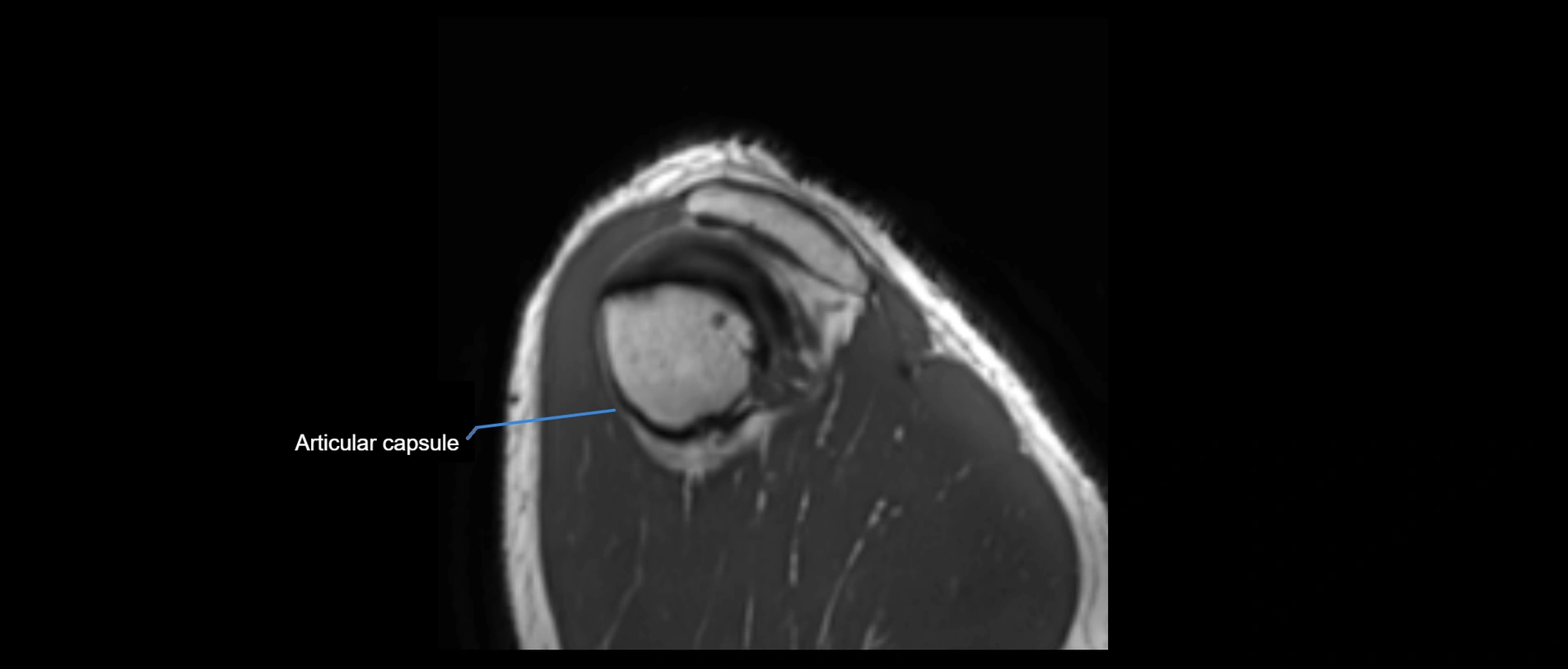
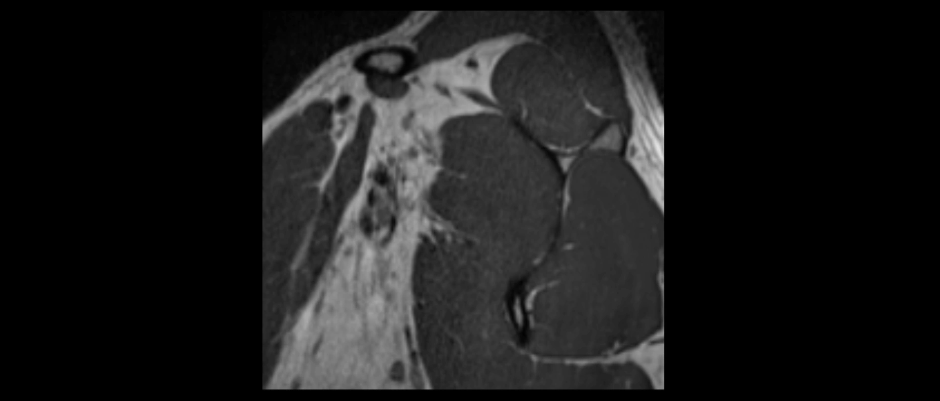
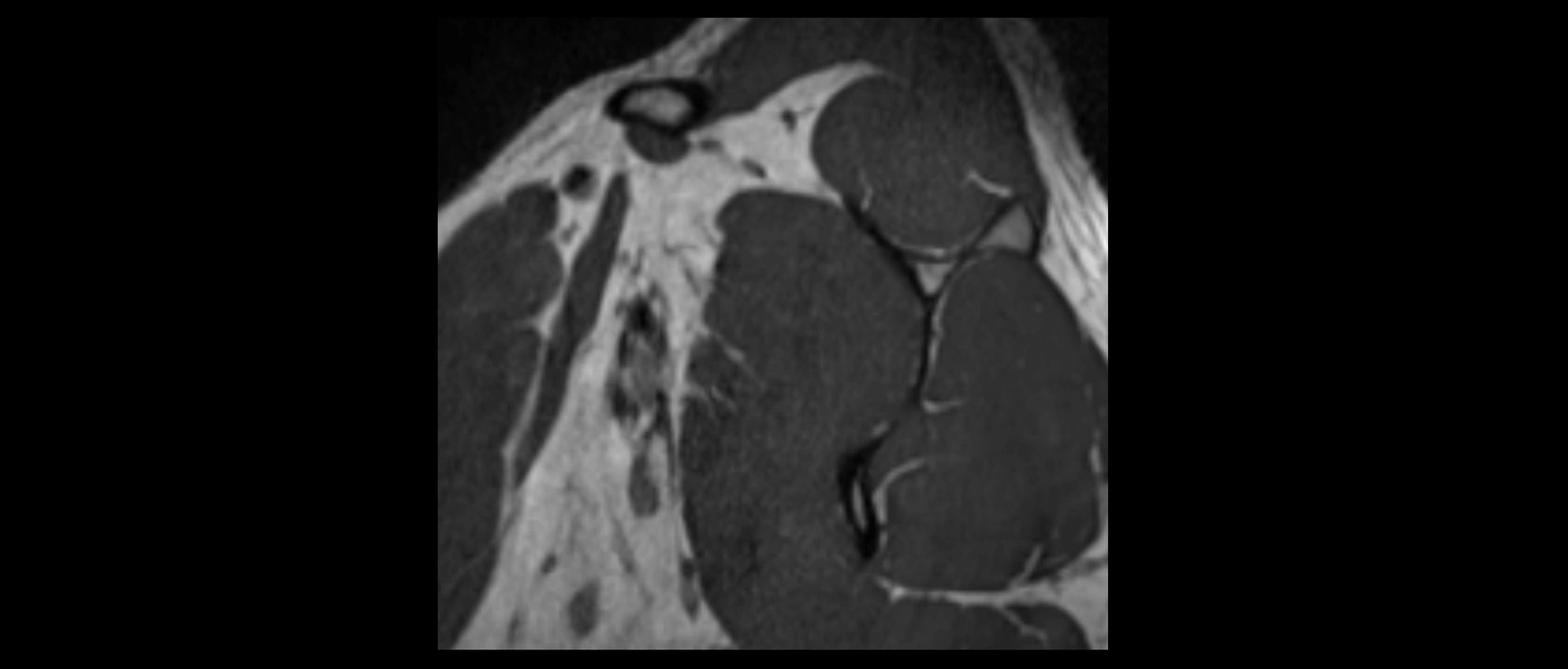
CT Appearance

Non-Contrast CT:

  • Ligament: Not directly visualized due to small size and low density.

  • Bony landmarks: Lateral clavicle and acromion clearly seen; cortical margins well defined.

  • Pathology: Detects fractures, joint subluxation, osteophytes, and degenerative changes.

  • Alignment assessment: Evaluates AC joint spacing and clavicular displacement.

Post-Contrast CT (standard):

  • Ligament itself: Non-enhancing fibrous band.

  • Inflamed capsule or soft tissue: May show enhancement.

  • Useful for: Evaluating post-traumatic deformities, ossified ligaments, and chronic AC joint arthropathy.

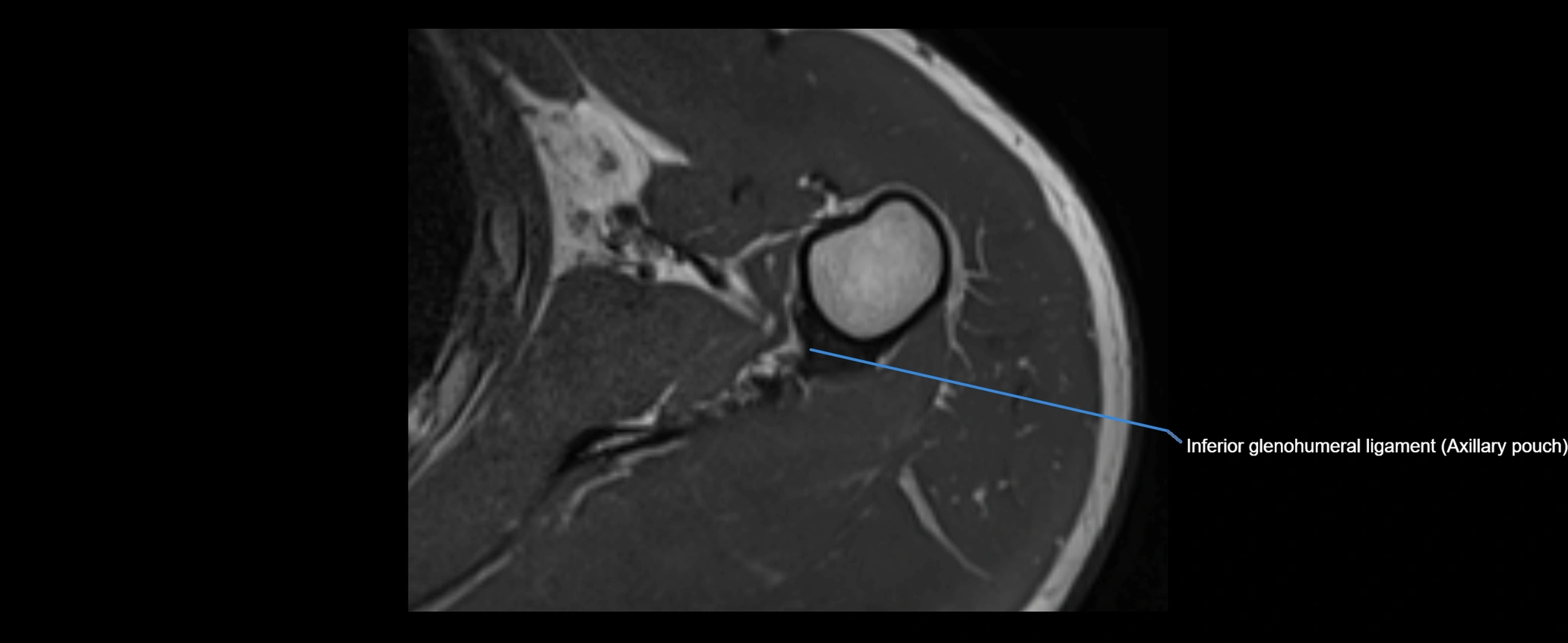
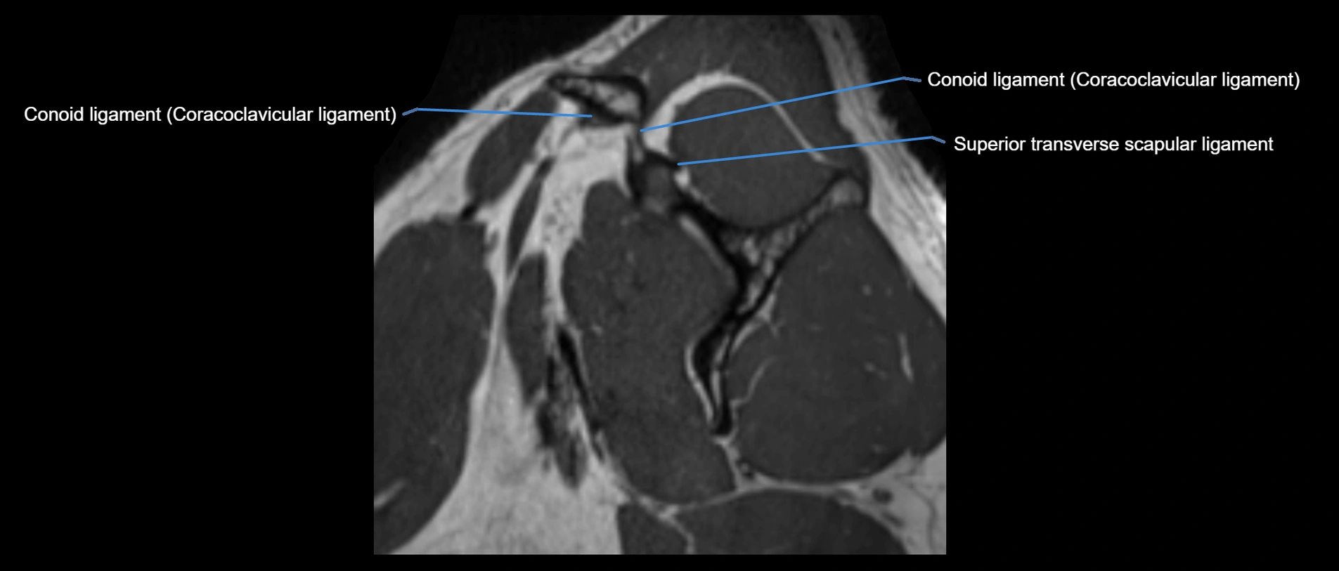
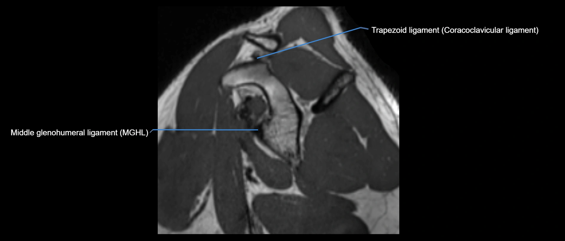
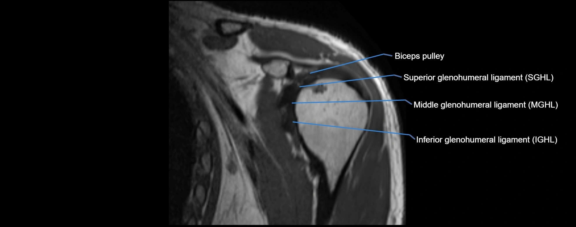
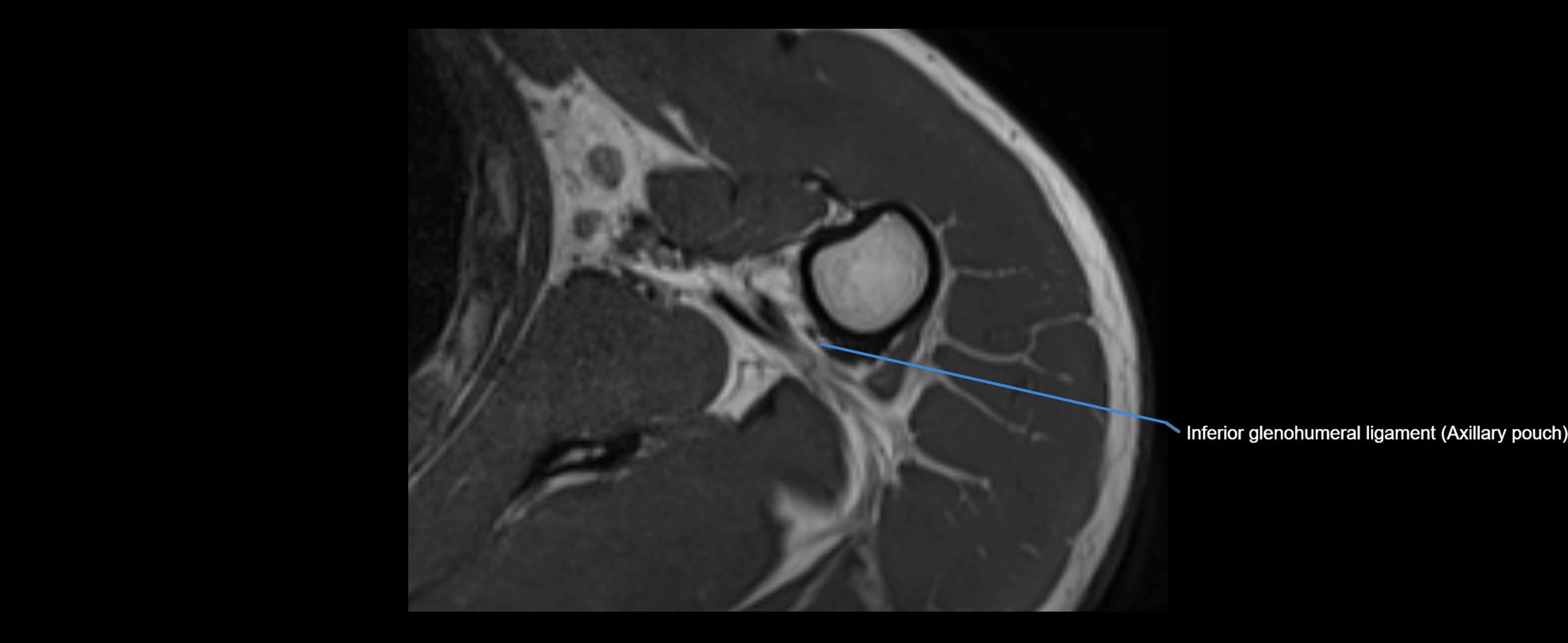
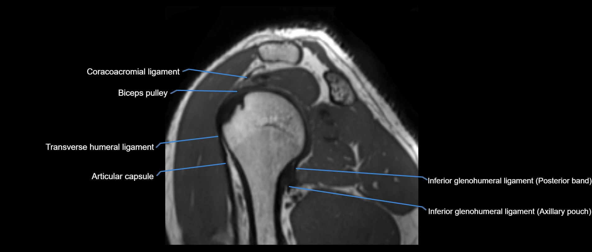
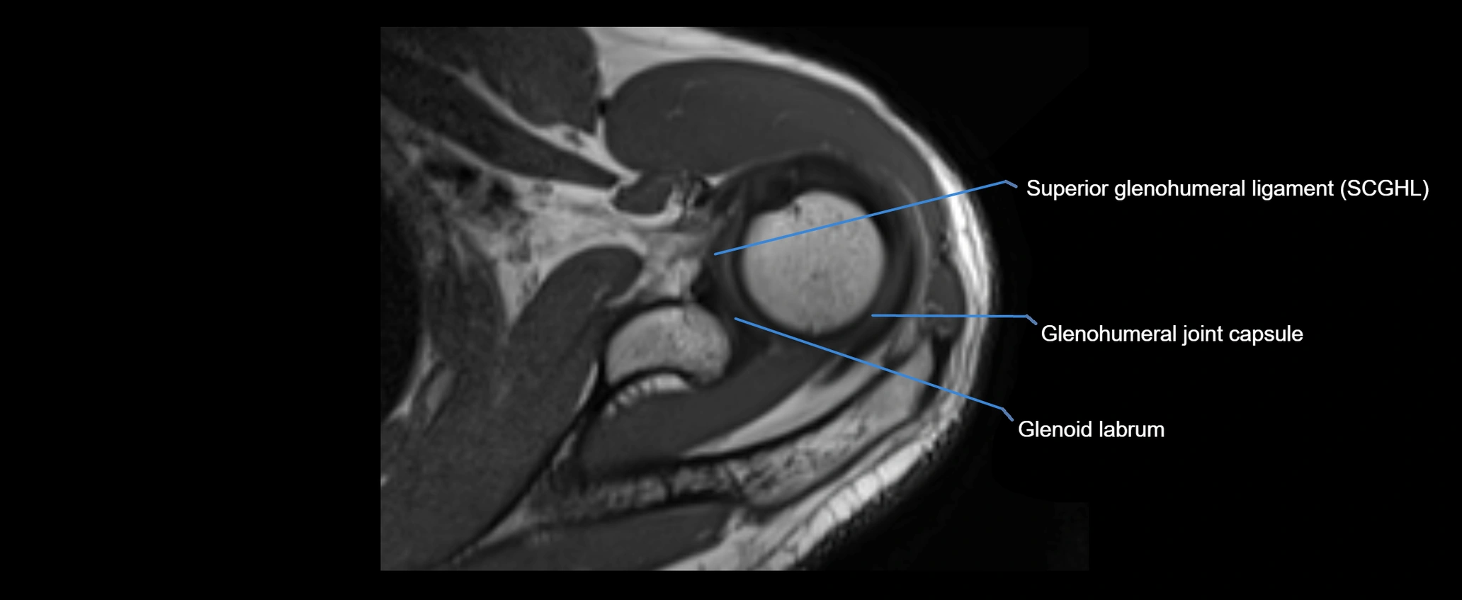
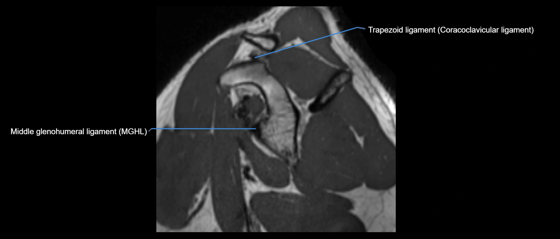
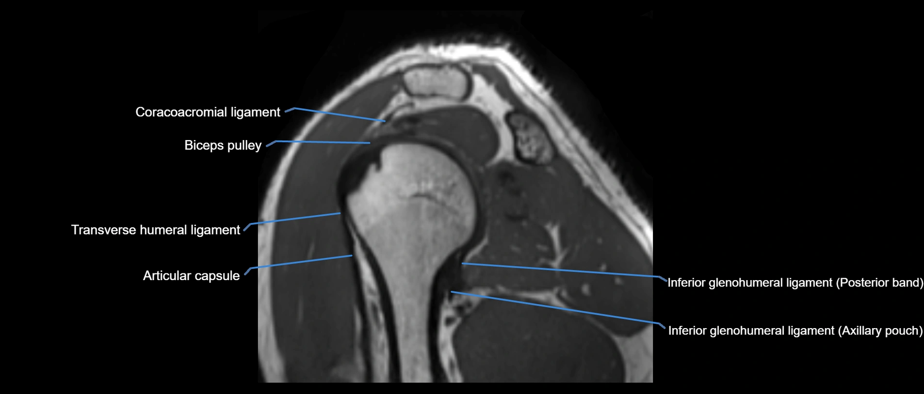
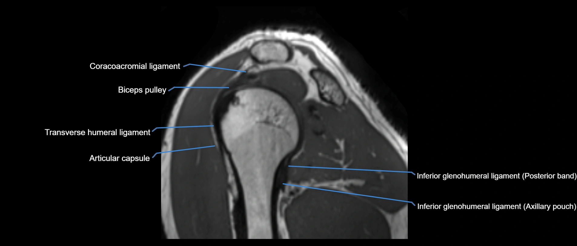
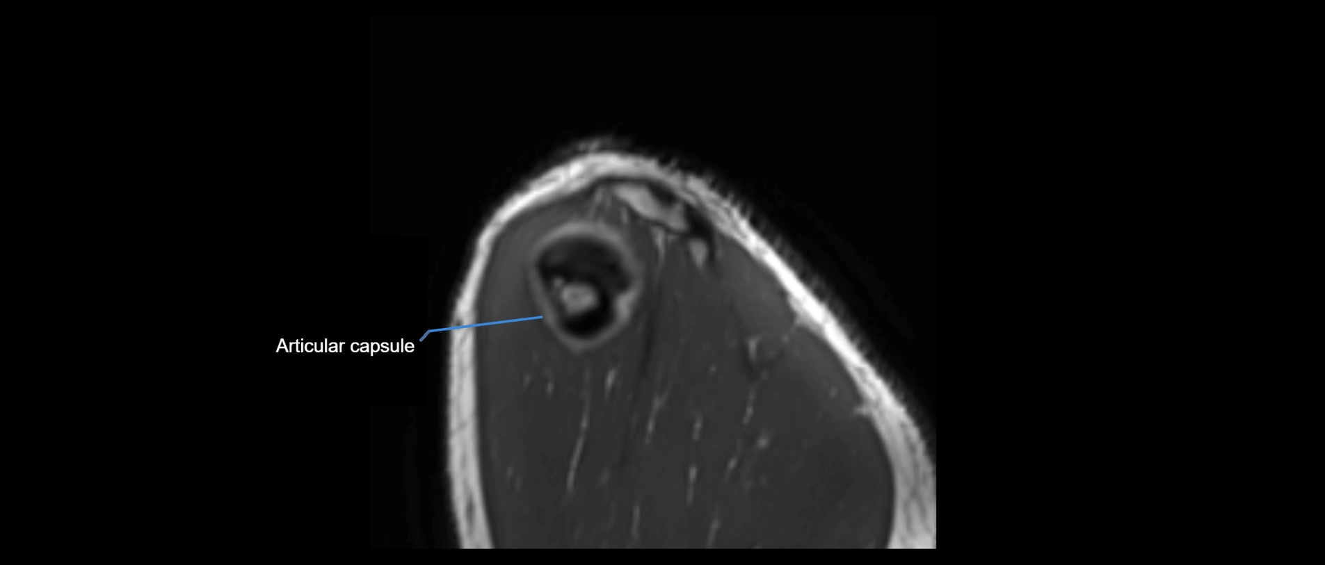
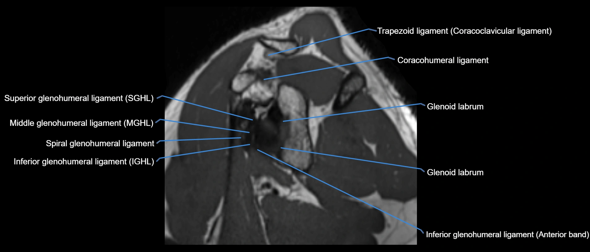
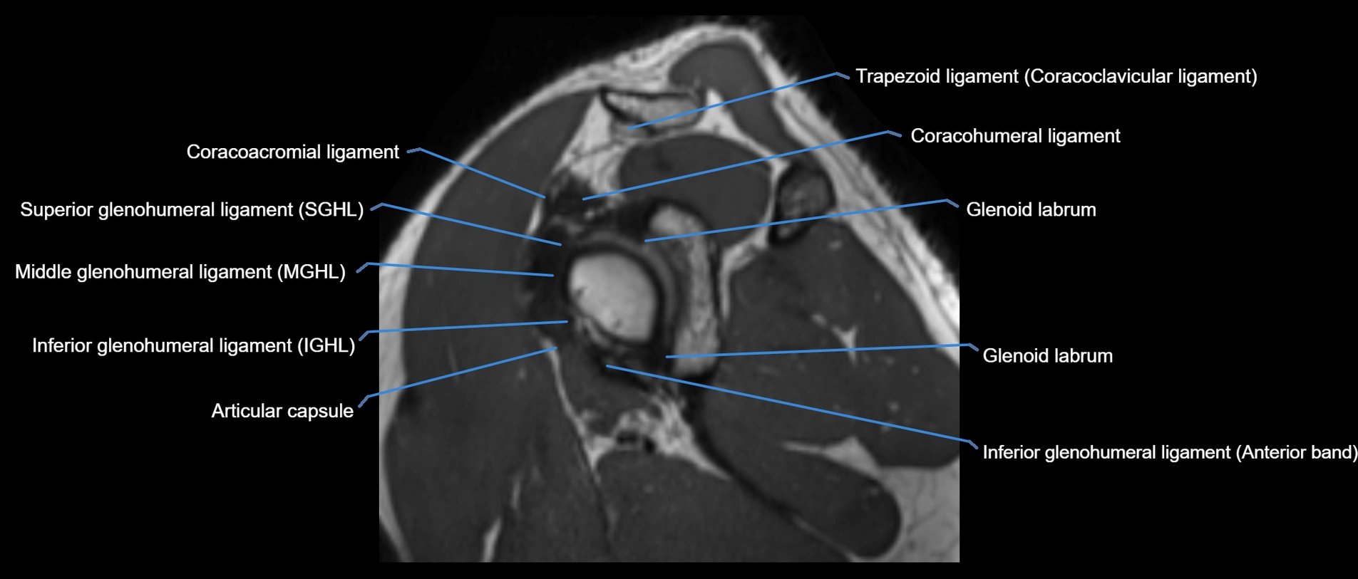
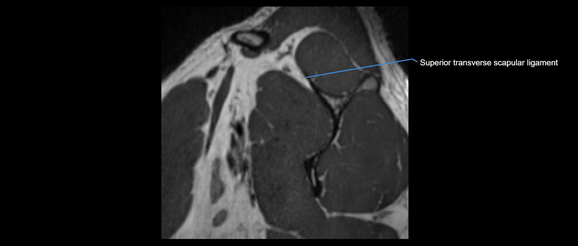
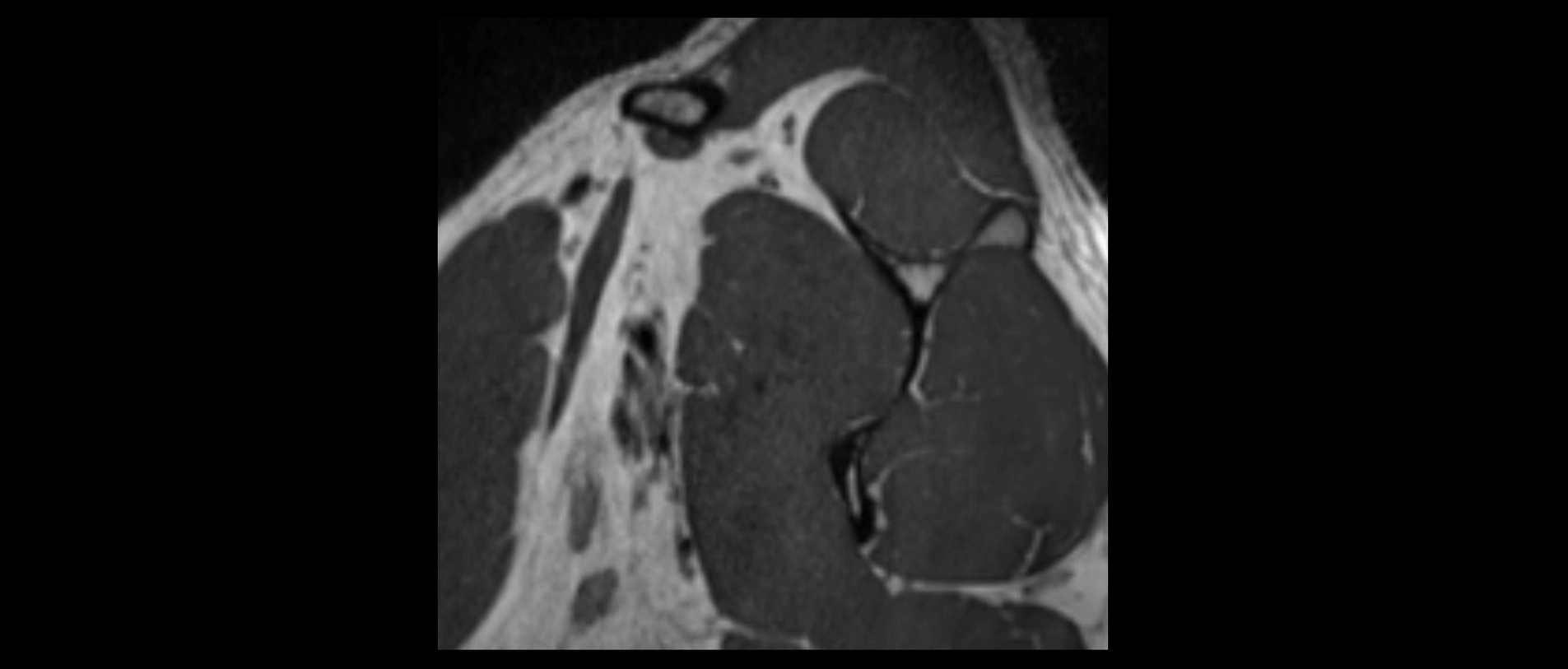
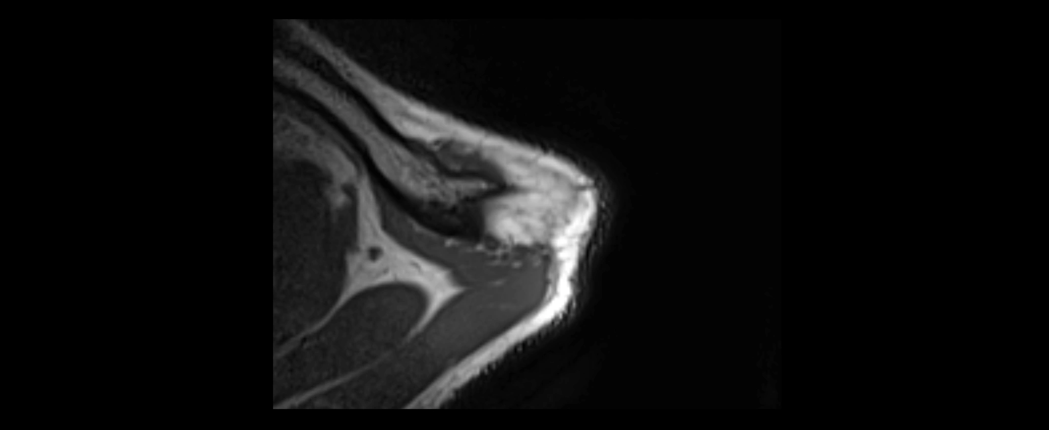
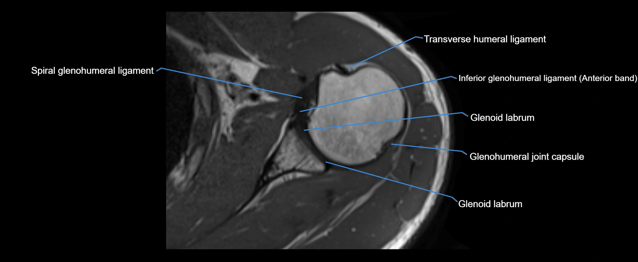
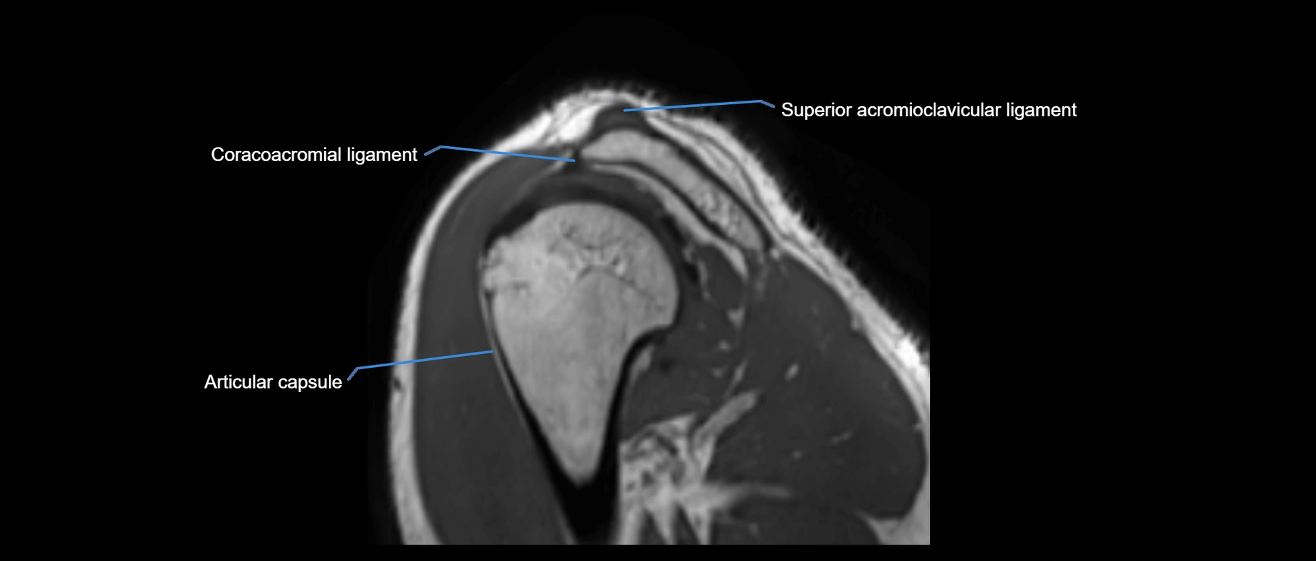
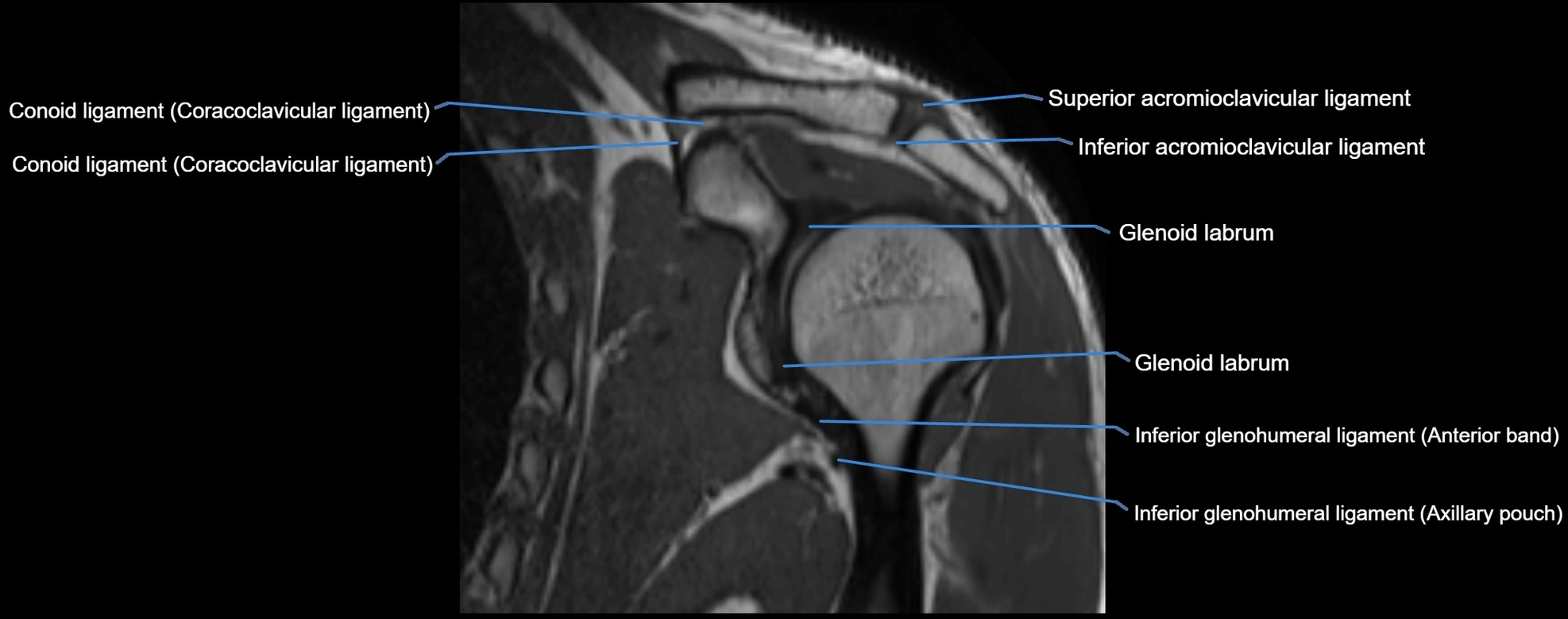
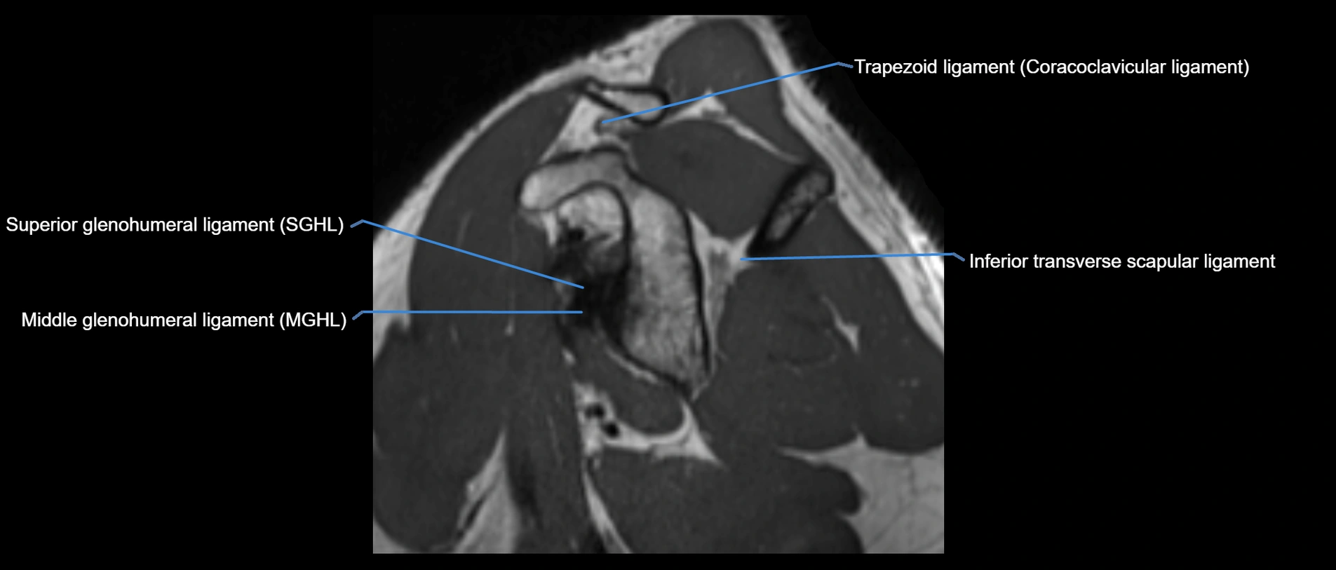
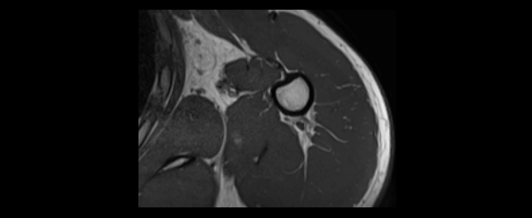
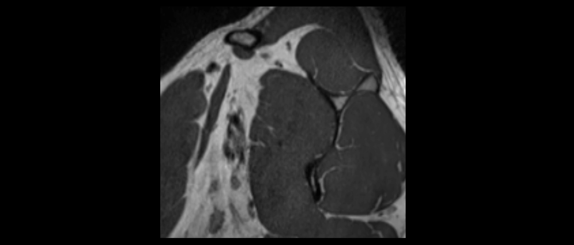
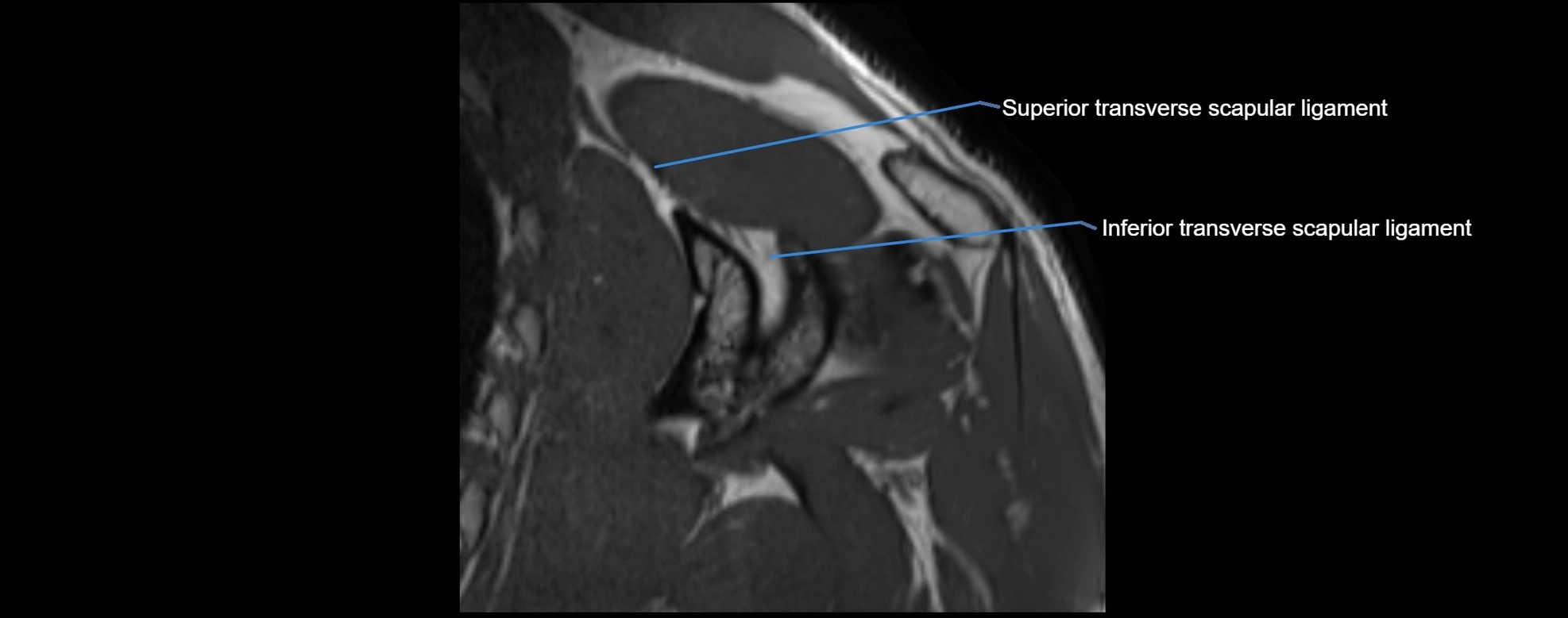
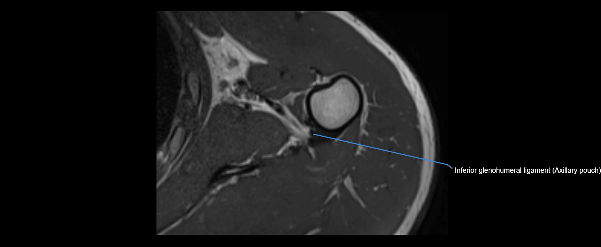
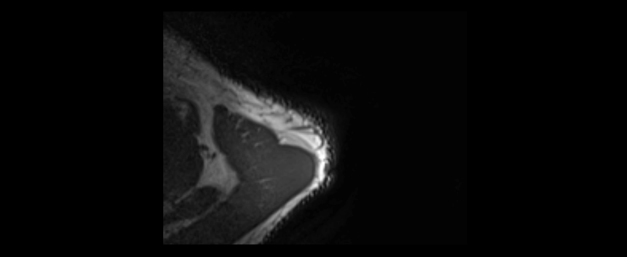
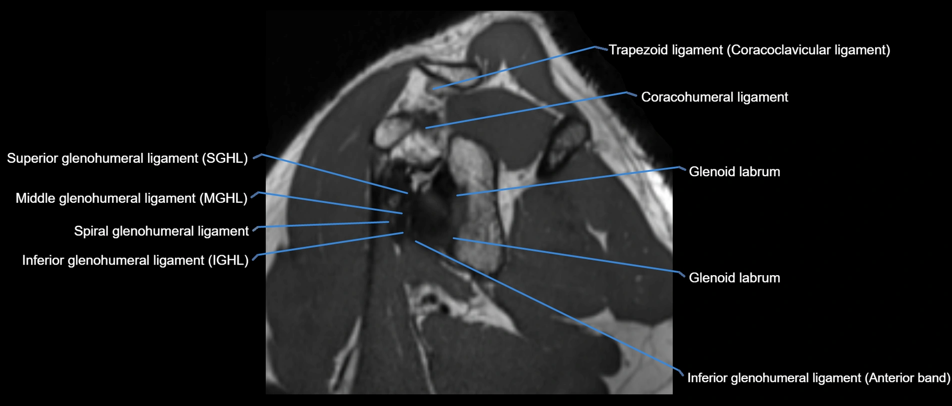
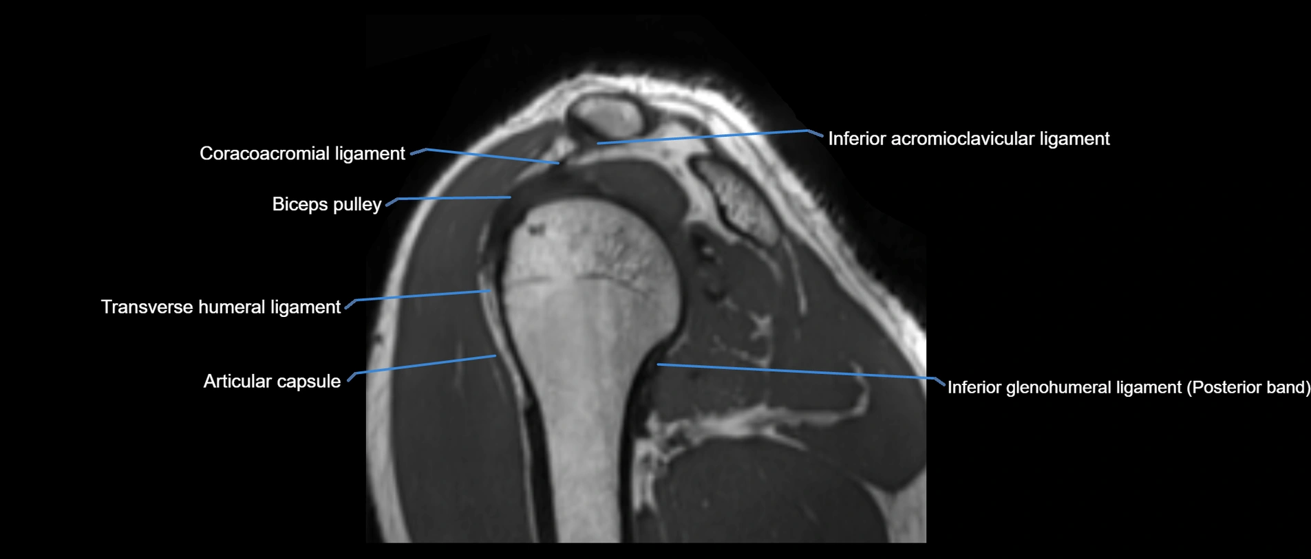
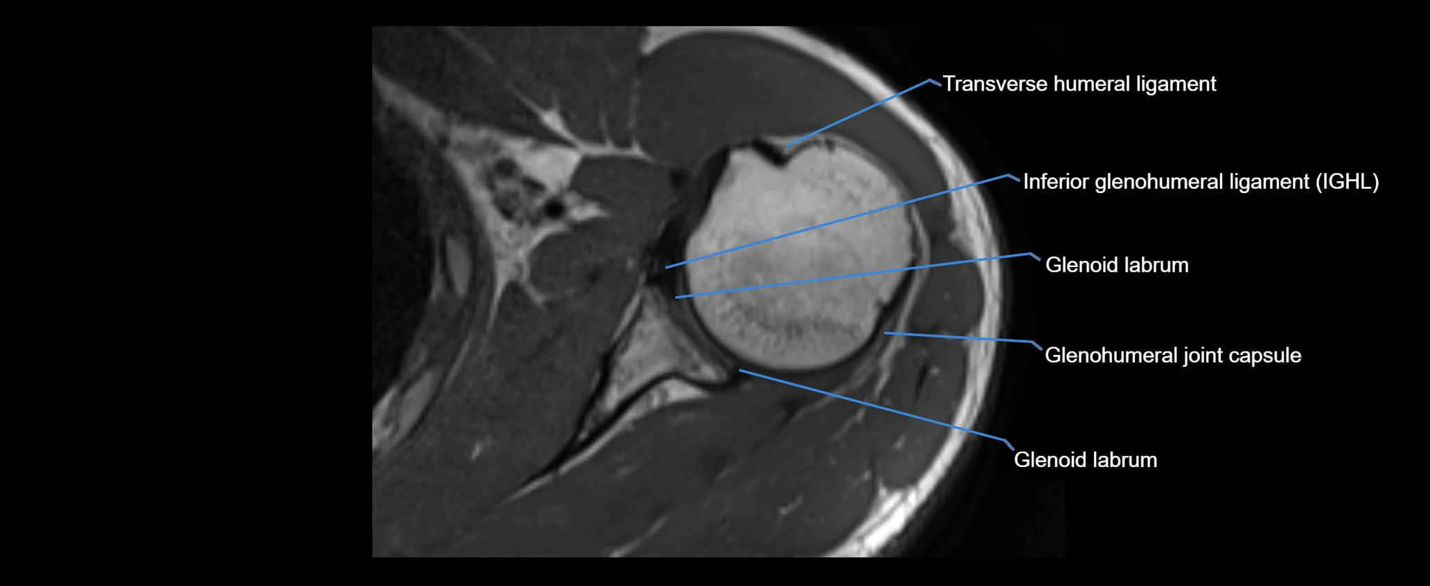
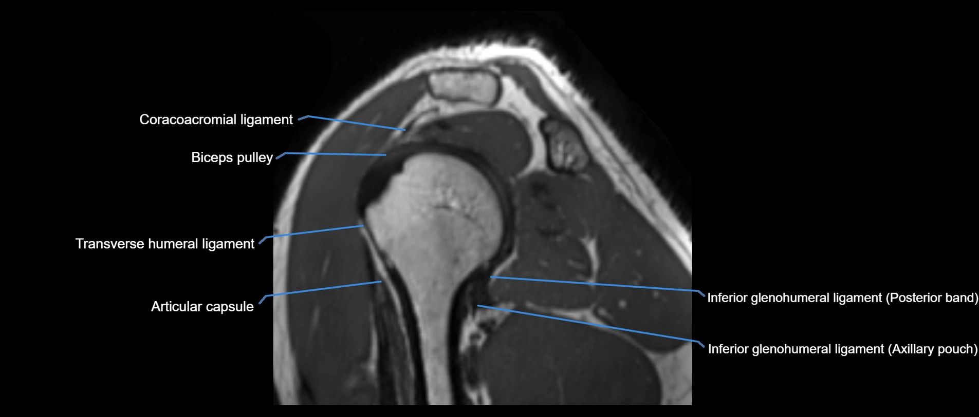
MRI images

image

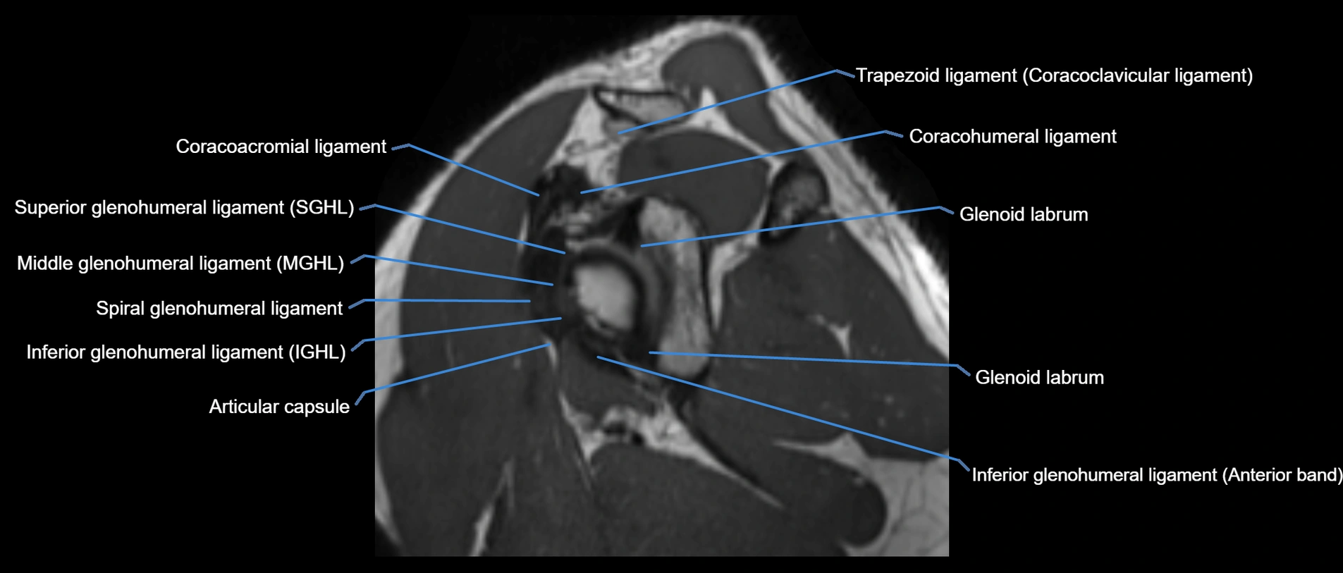
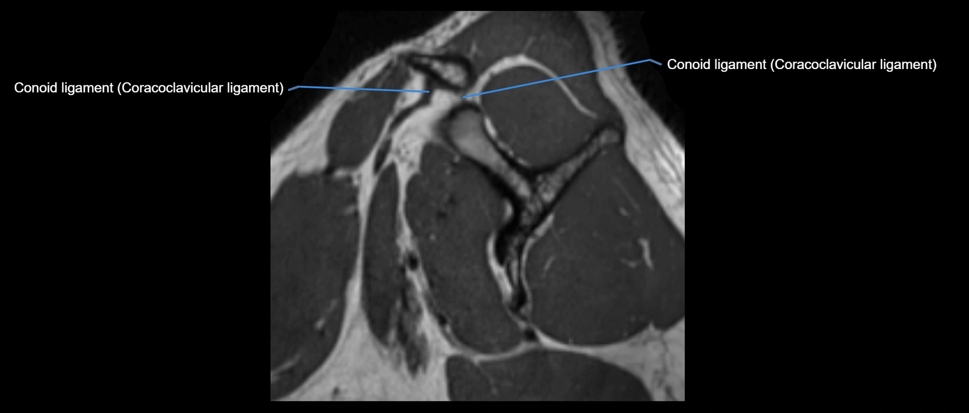
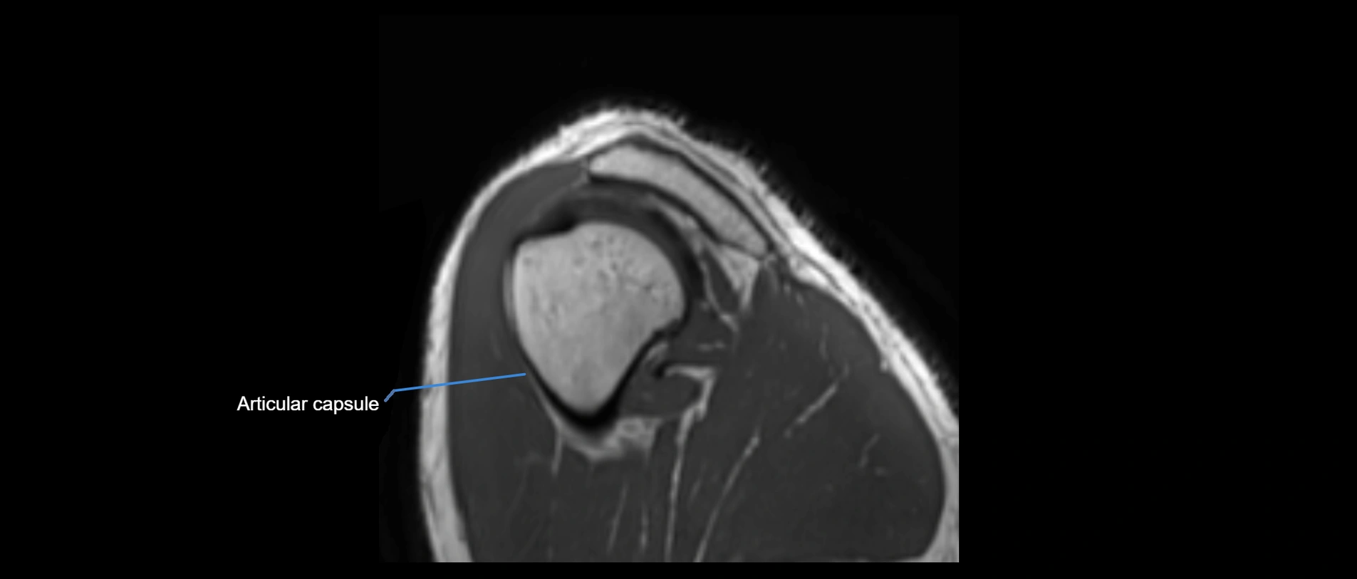
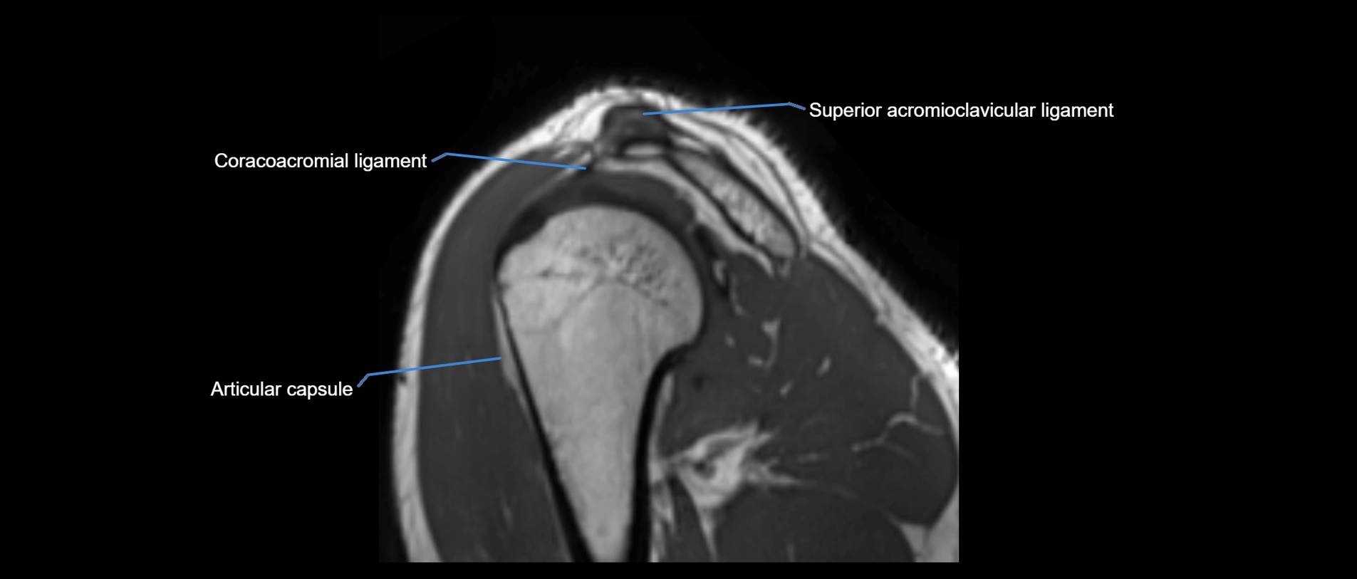
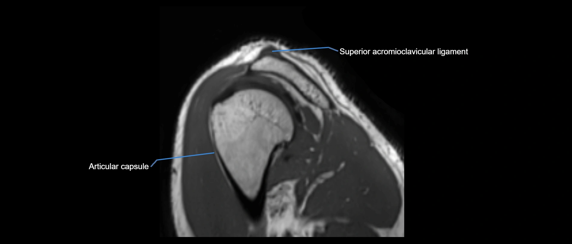
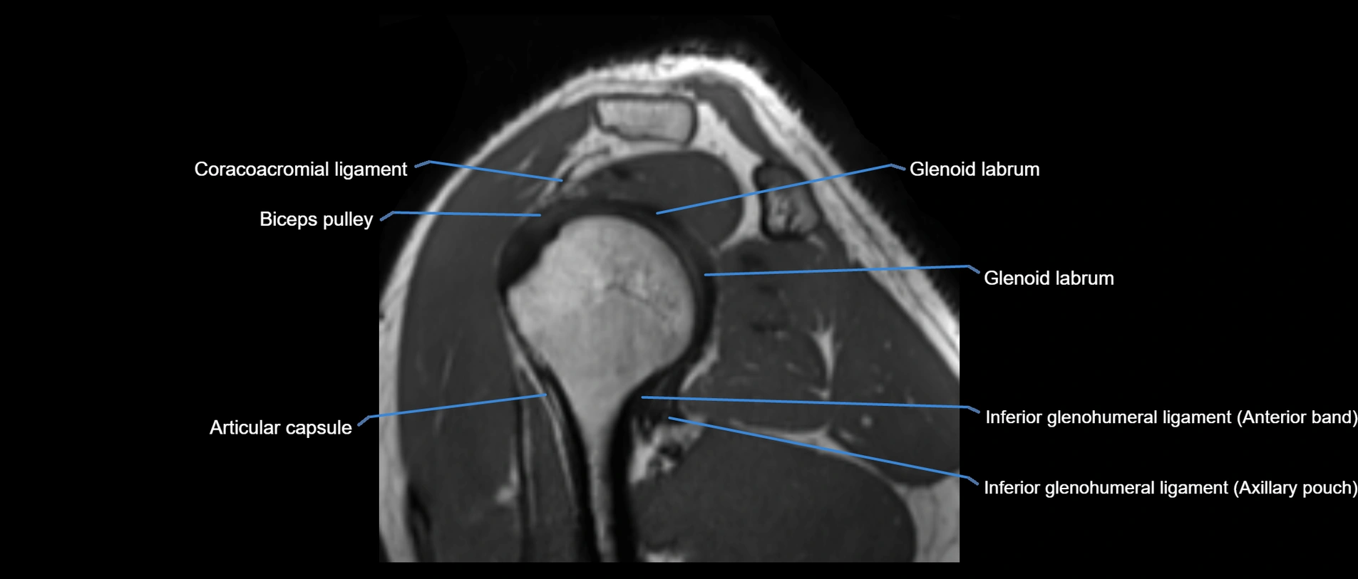
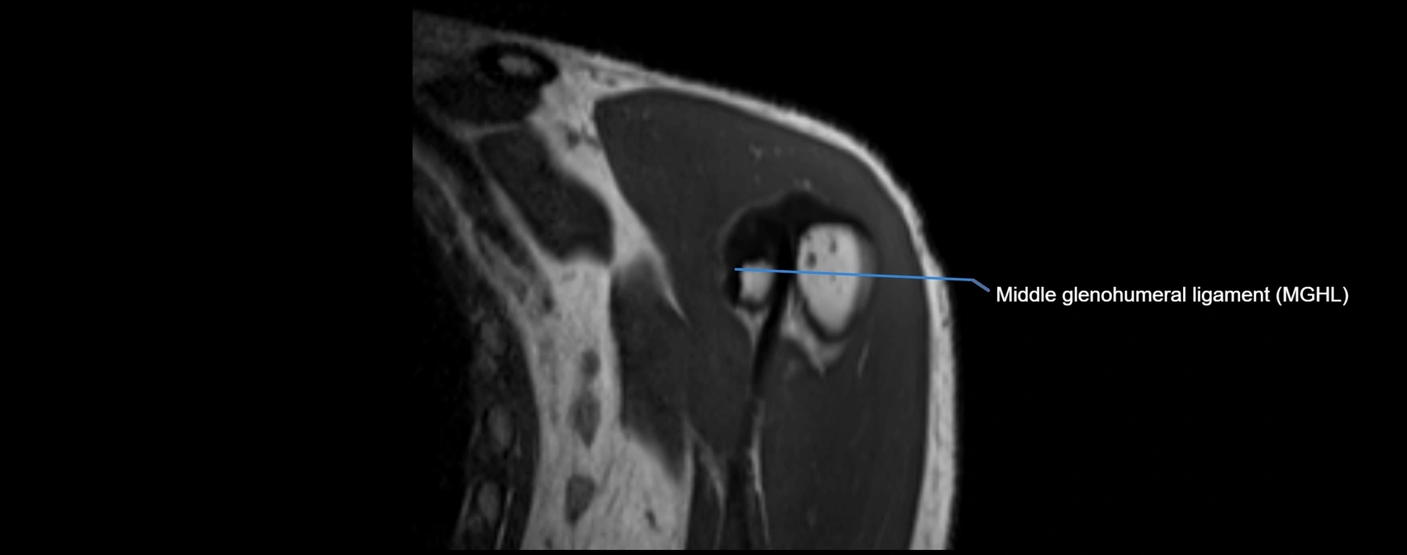
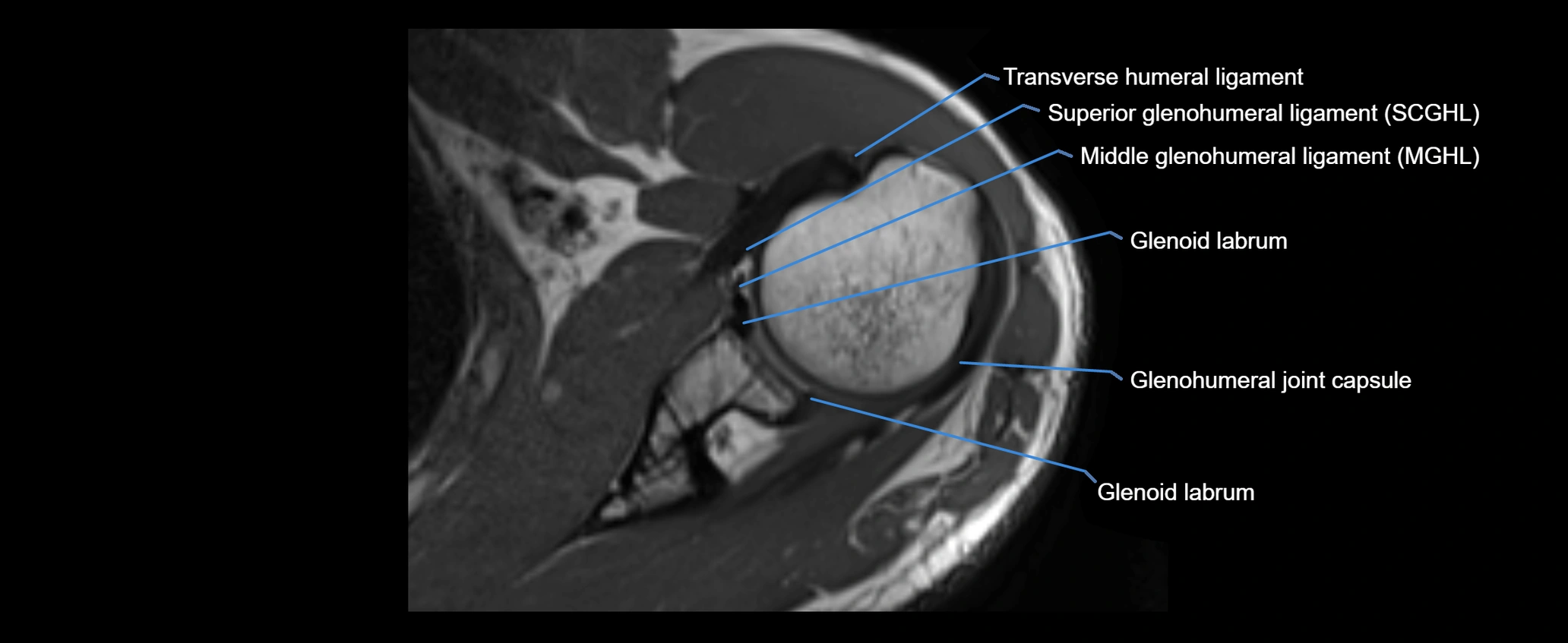
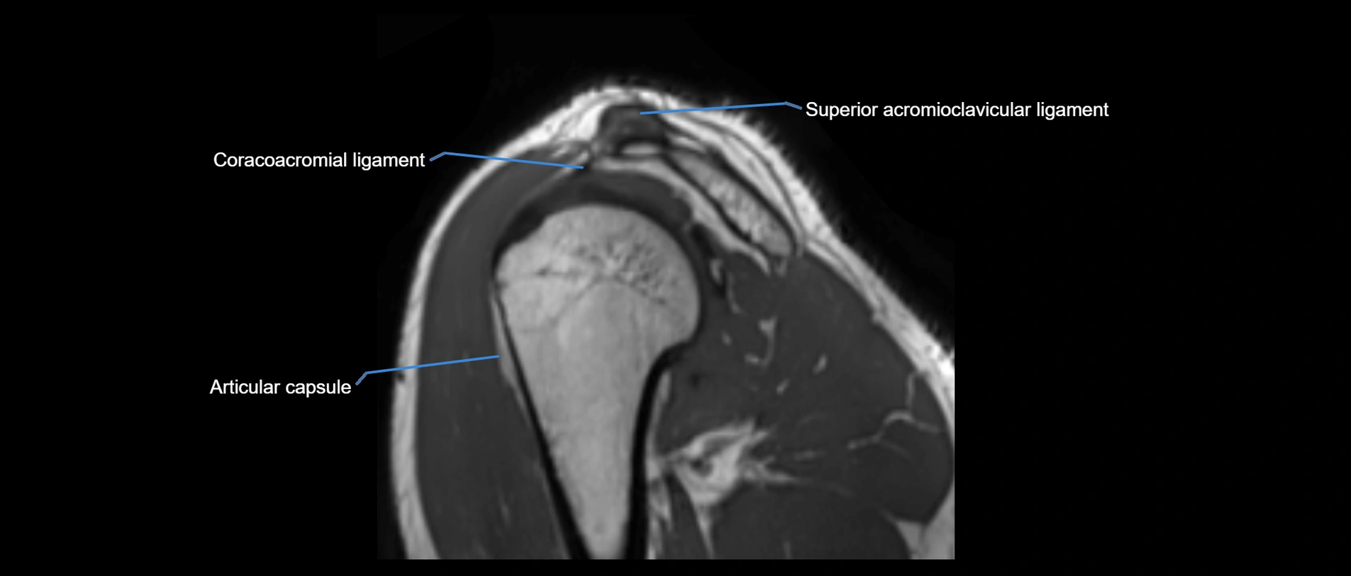
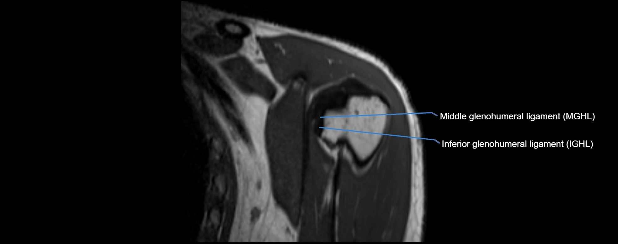
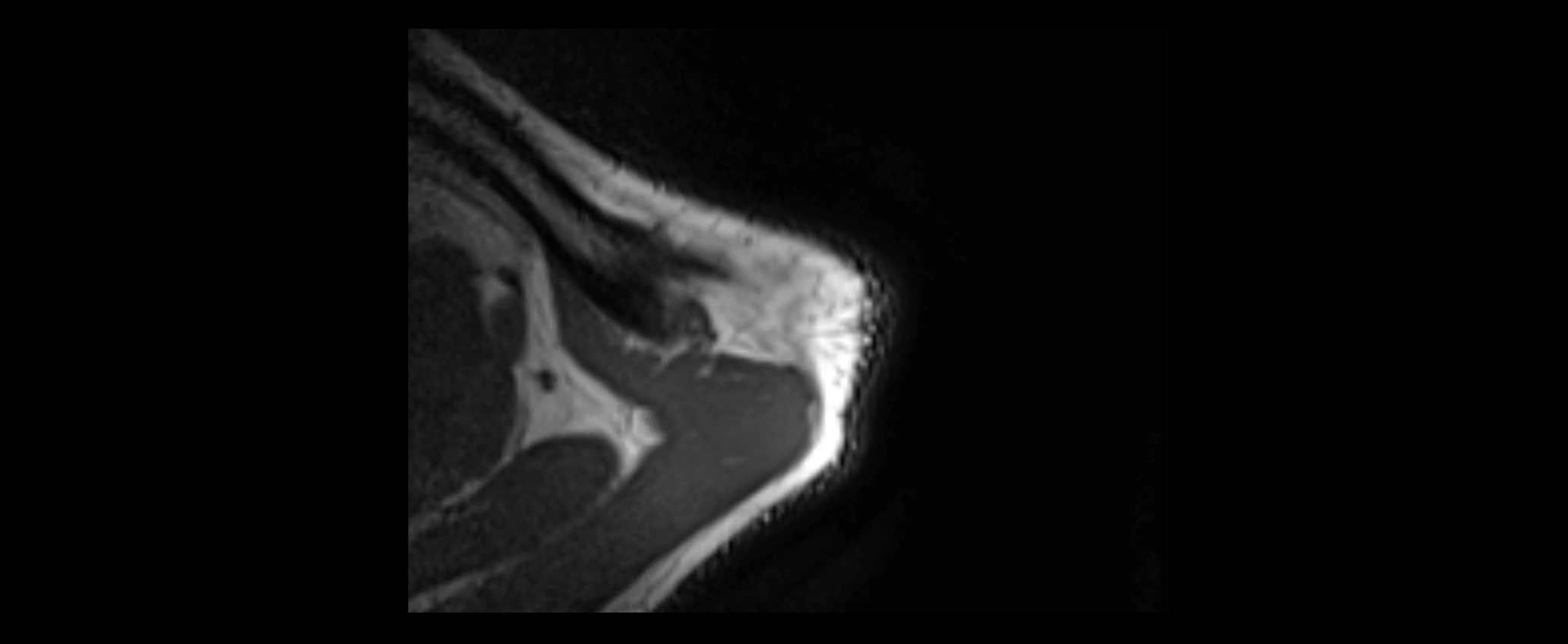
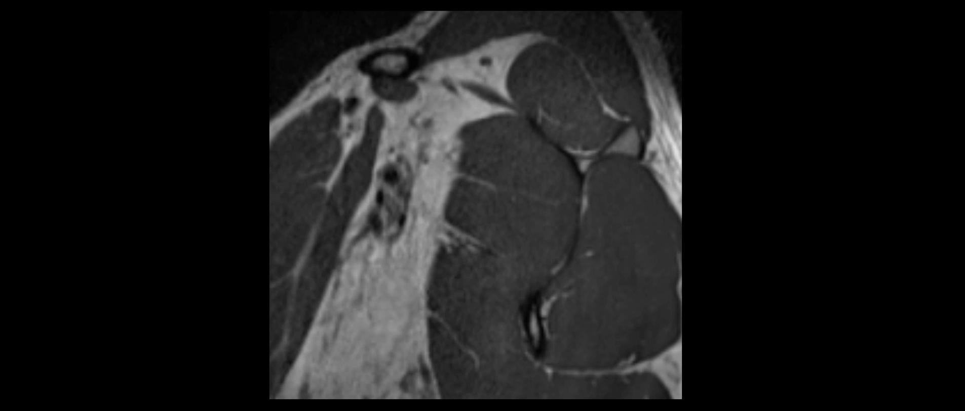
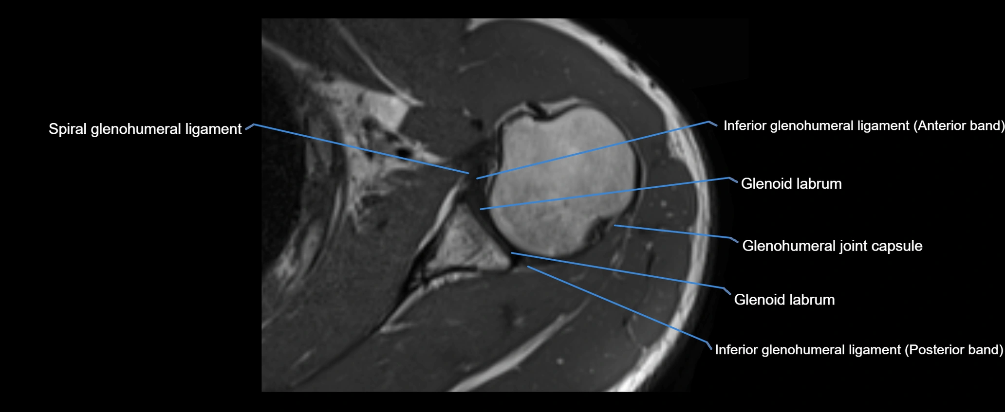
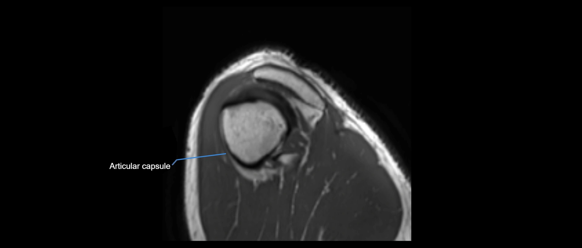
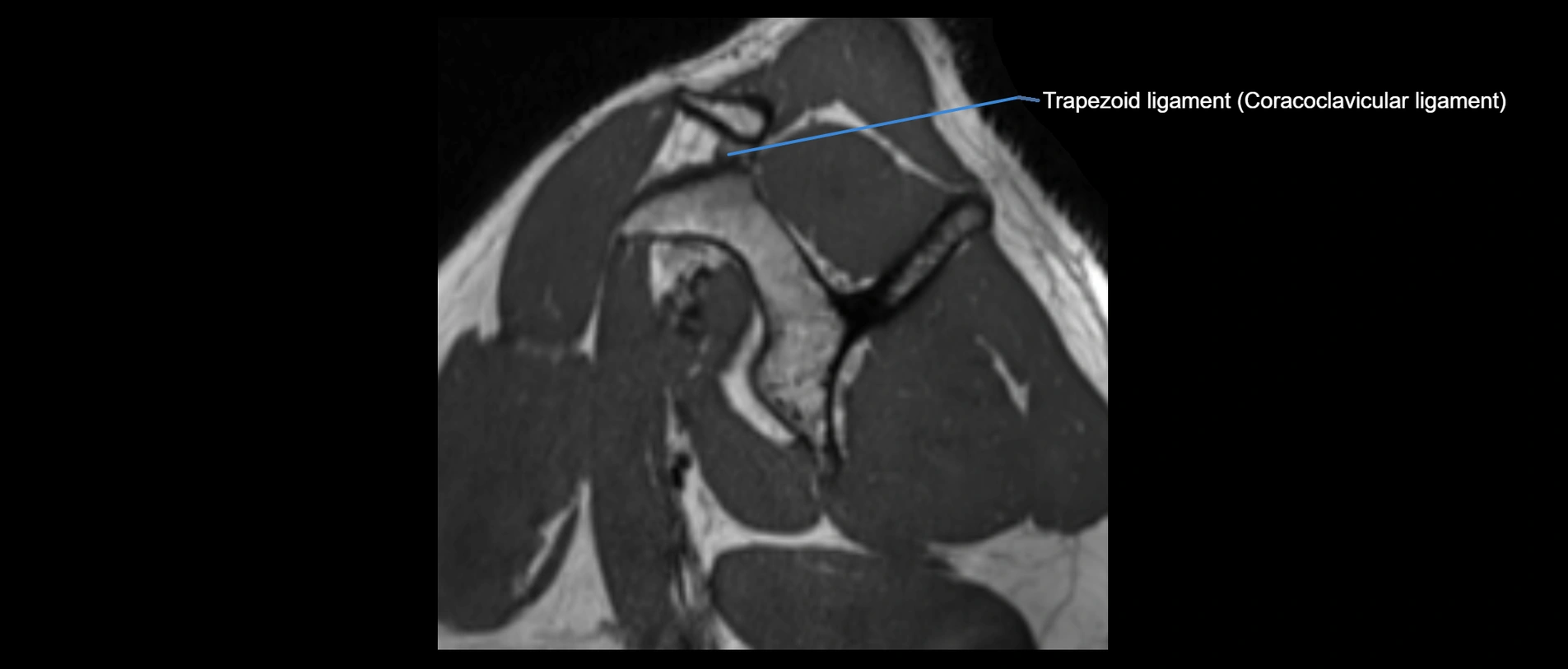
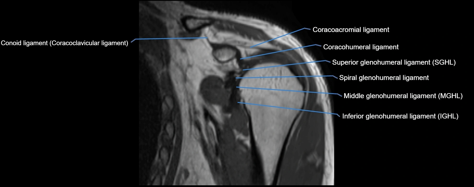
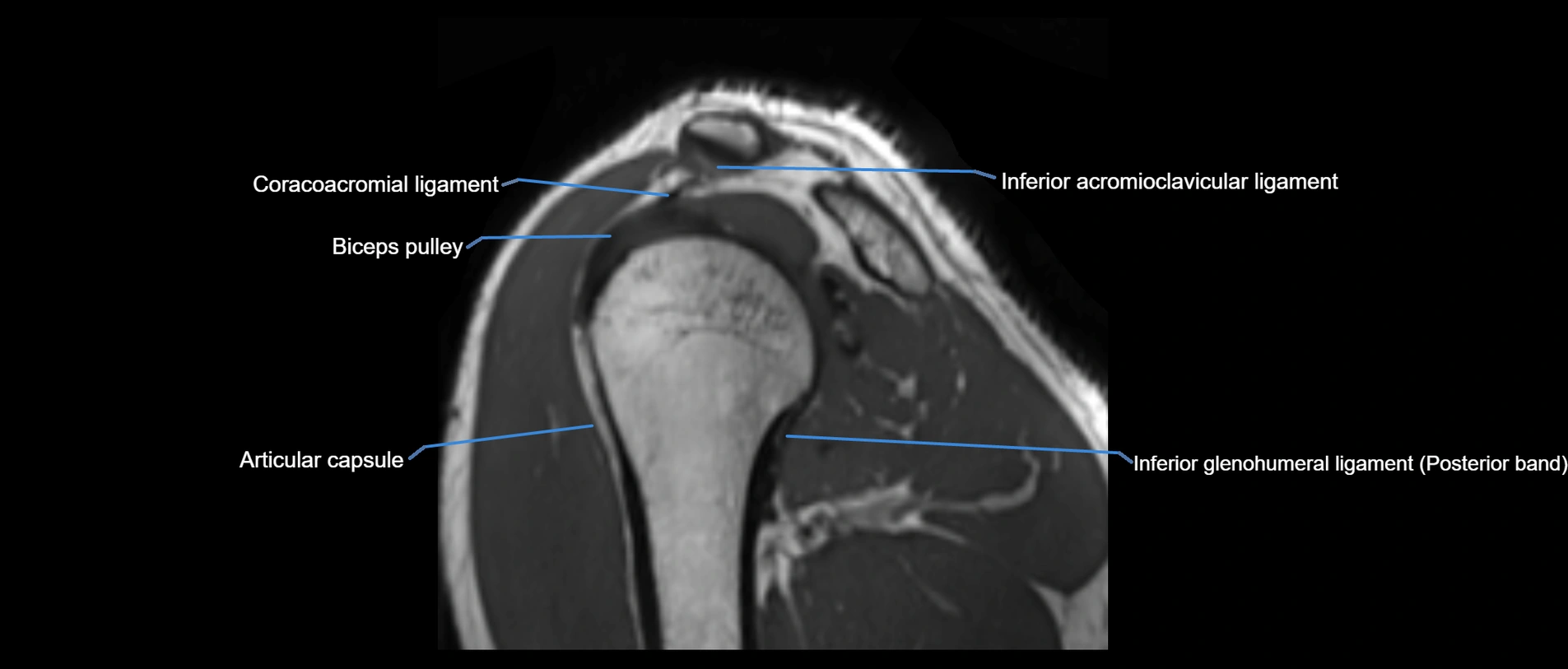
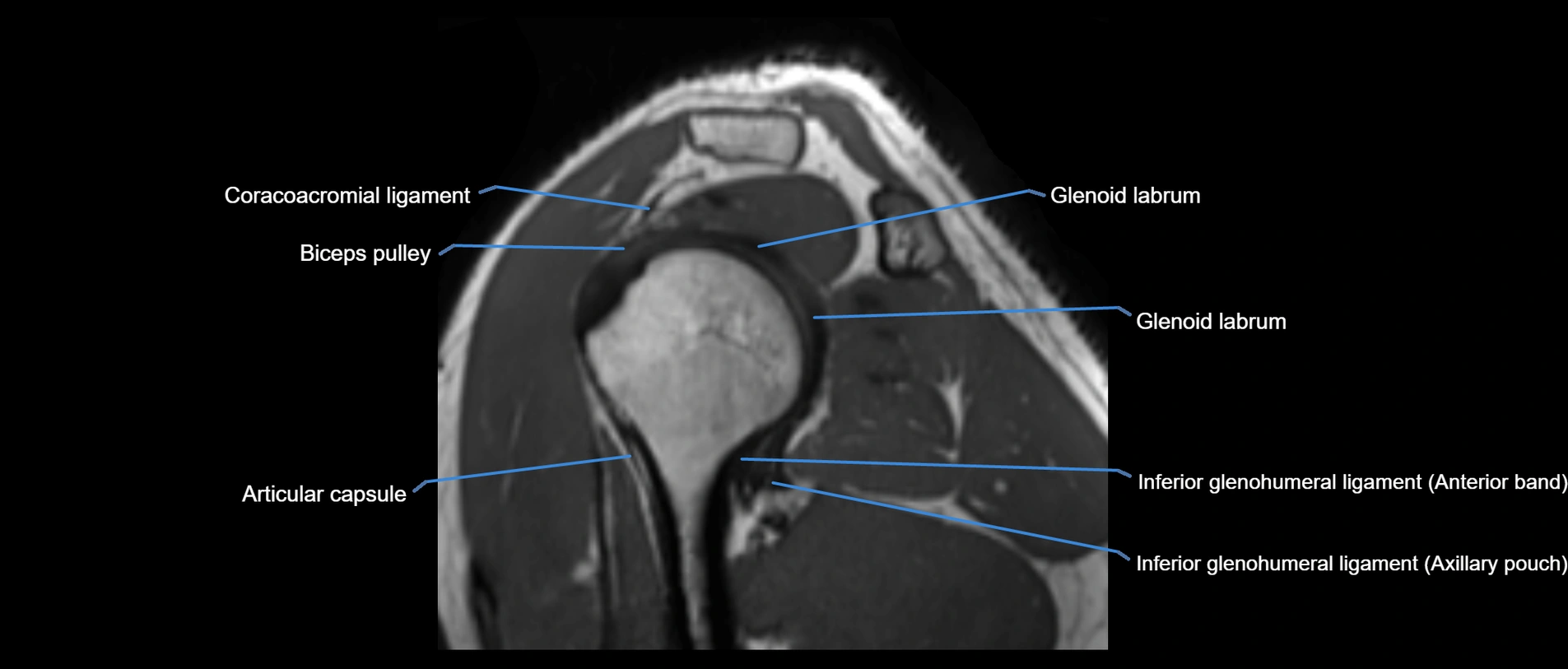
MRI images

image

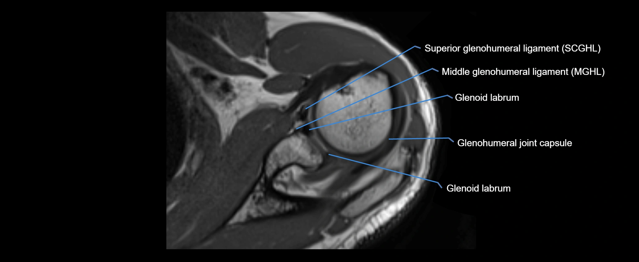
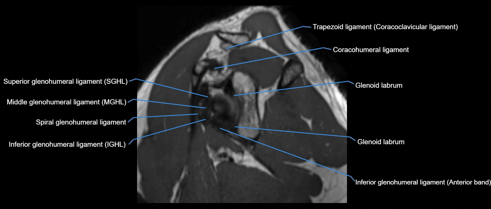
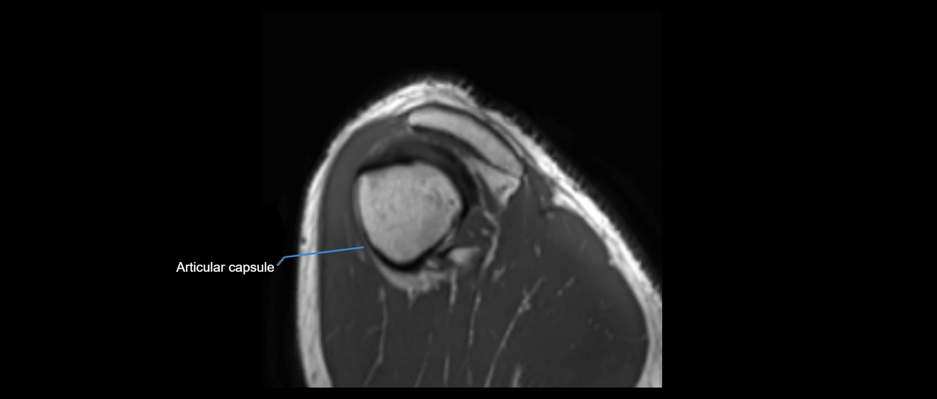
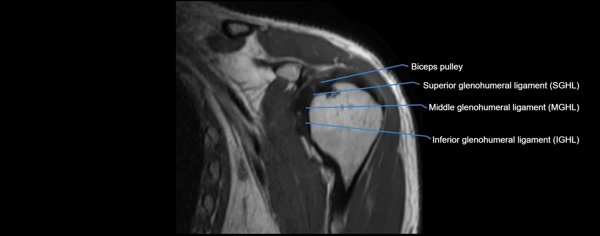
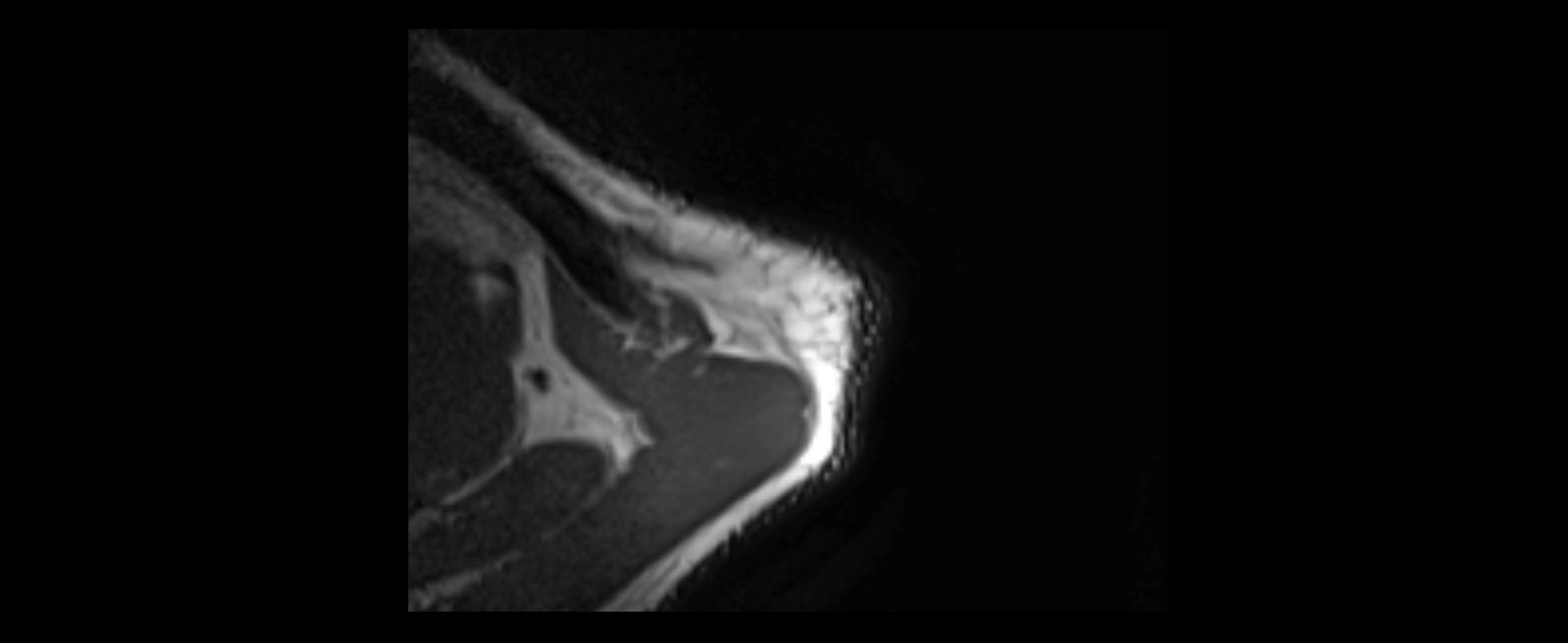
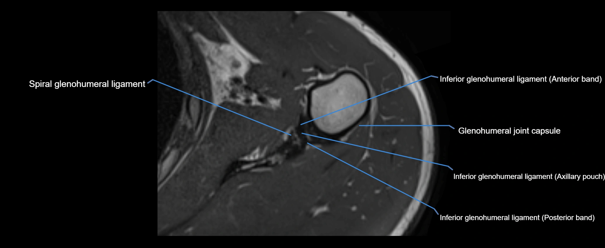
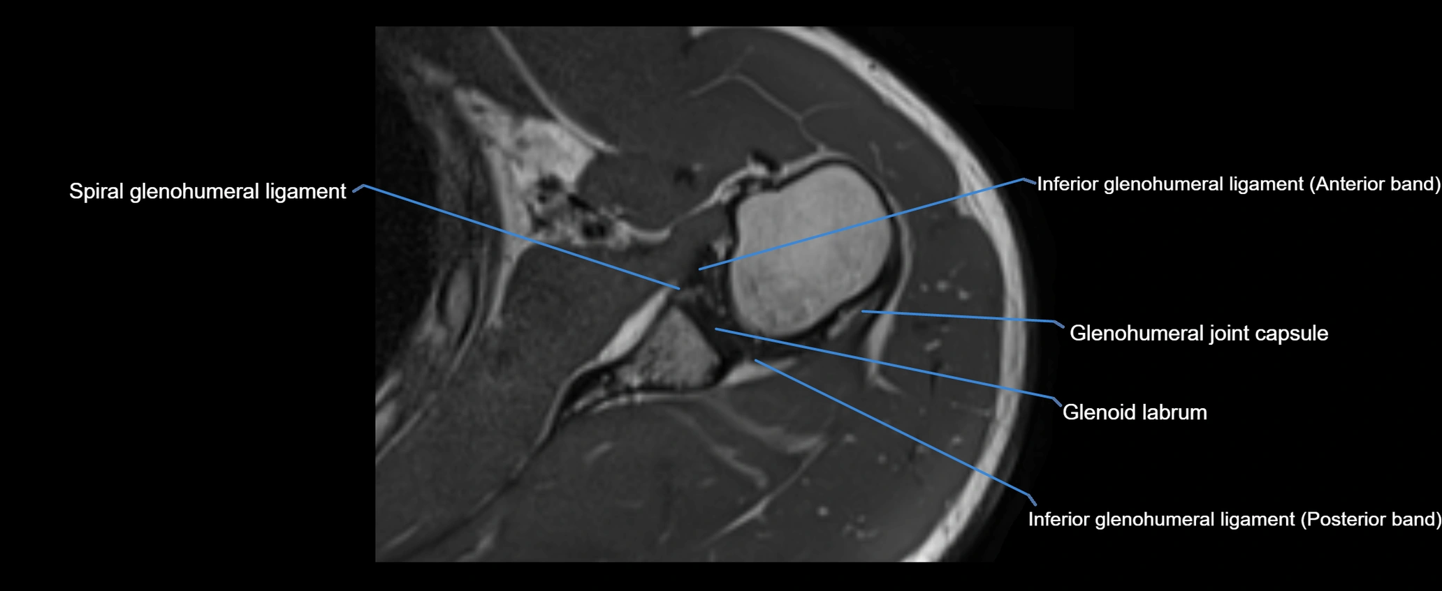
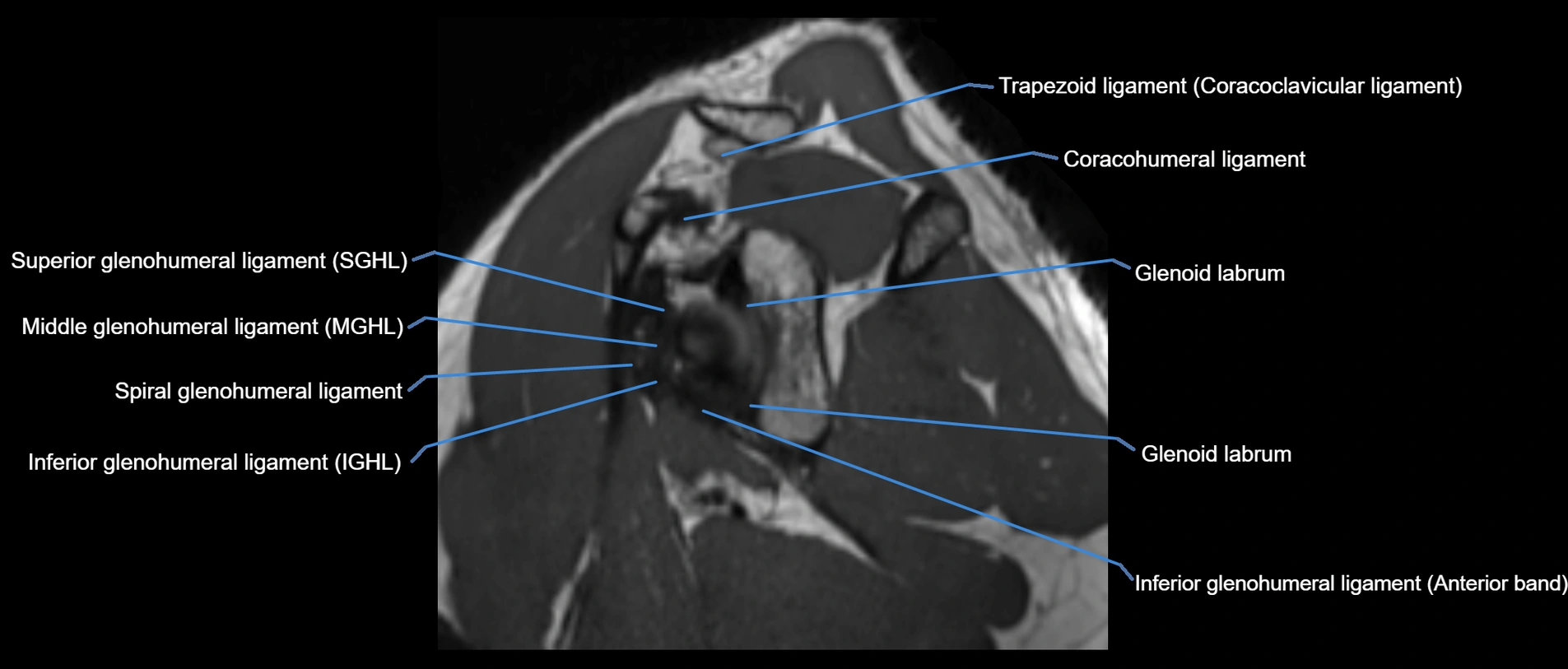
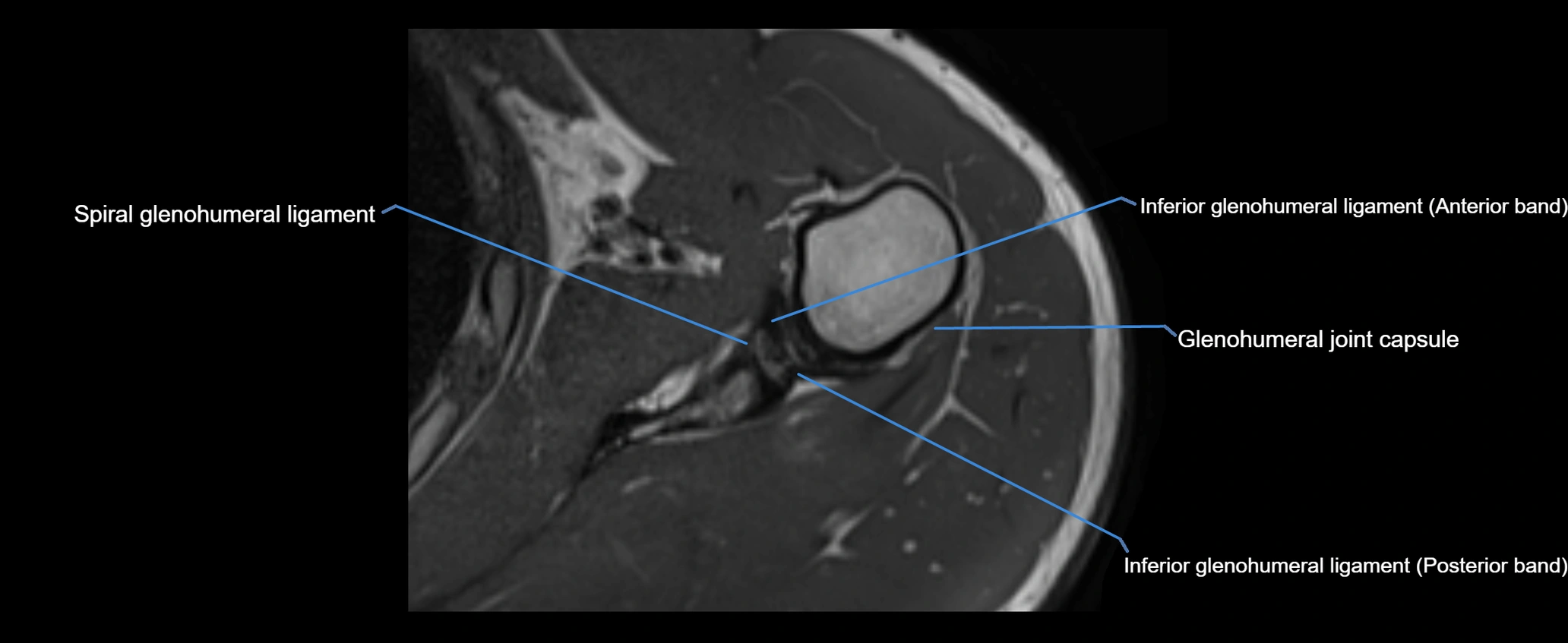
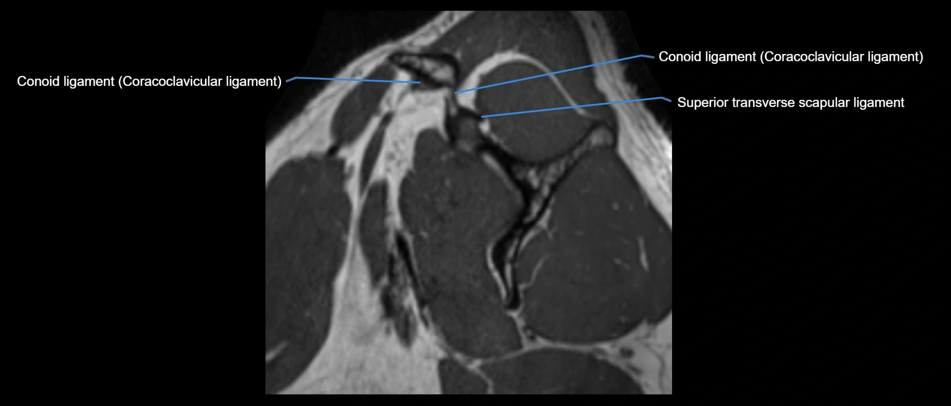
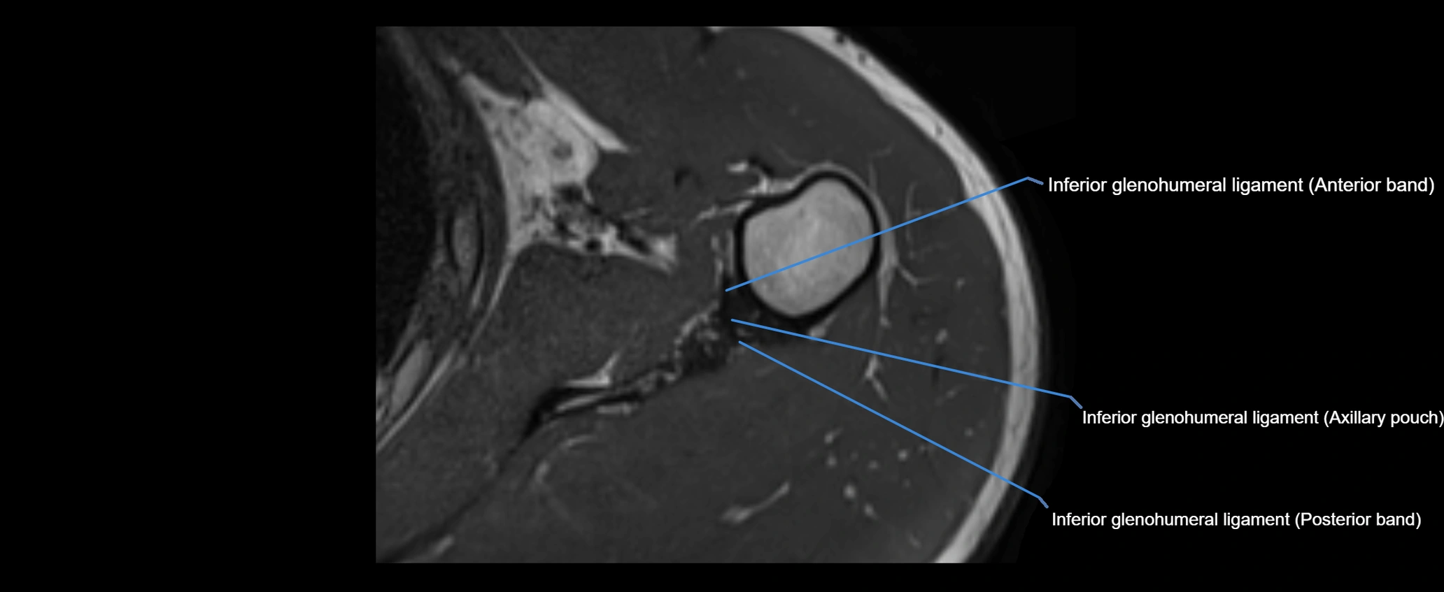
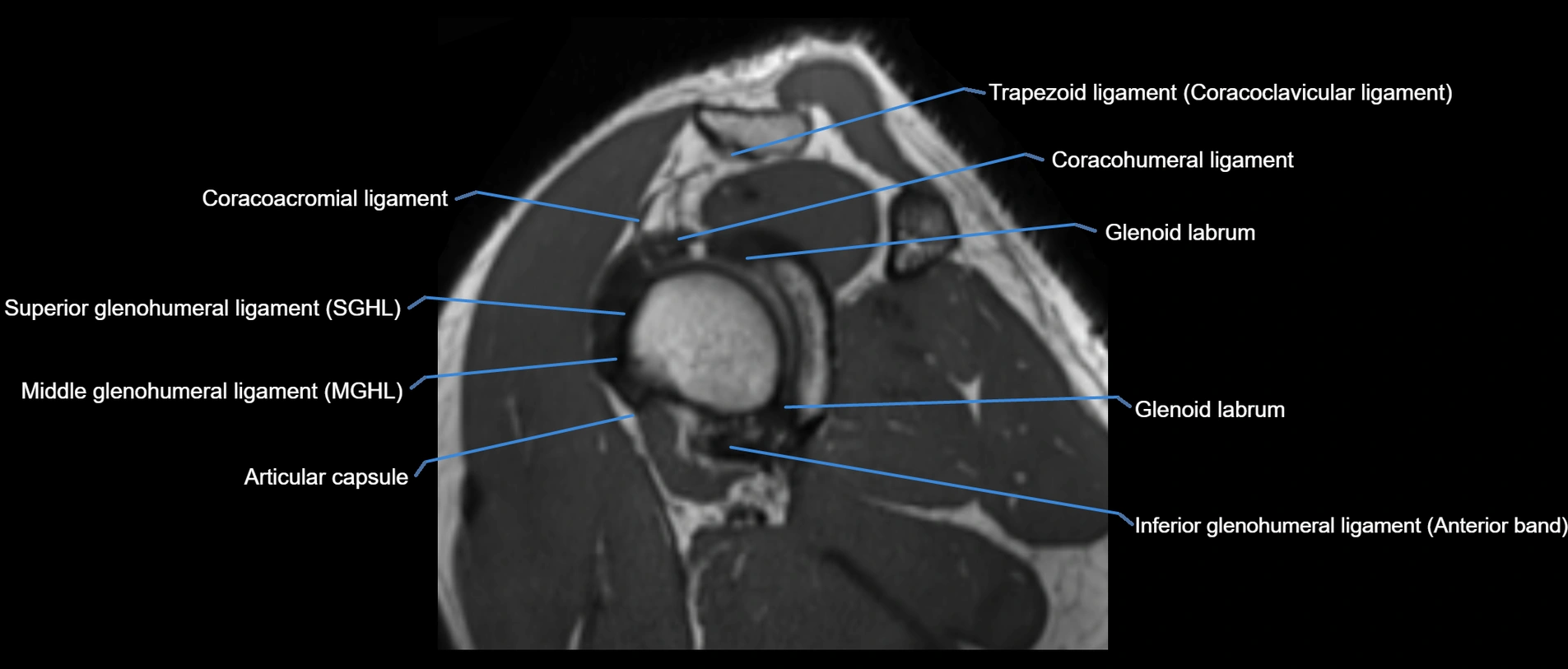
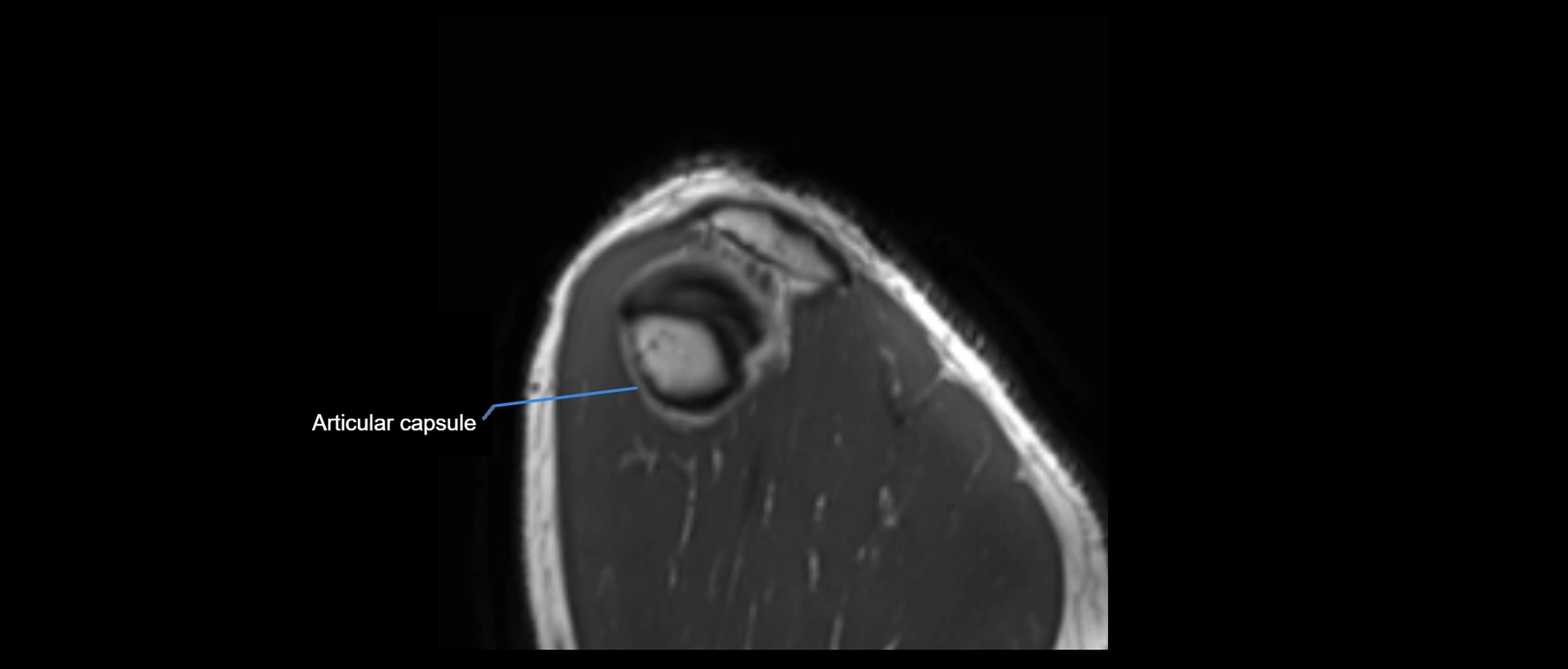
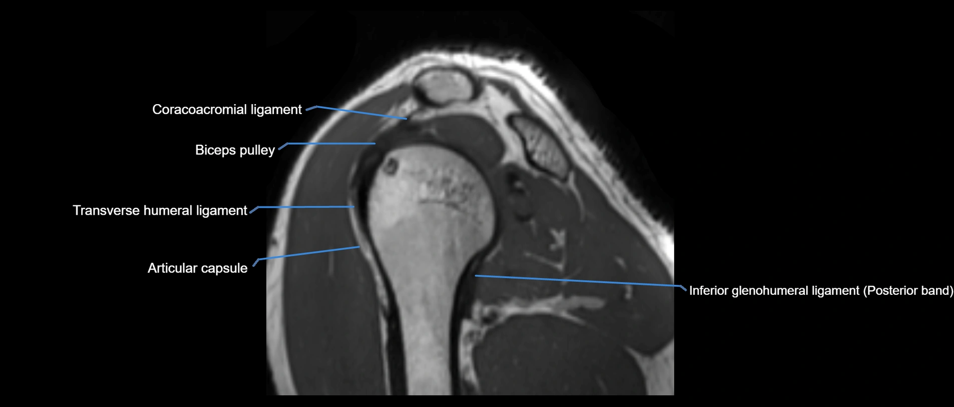
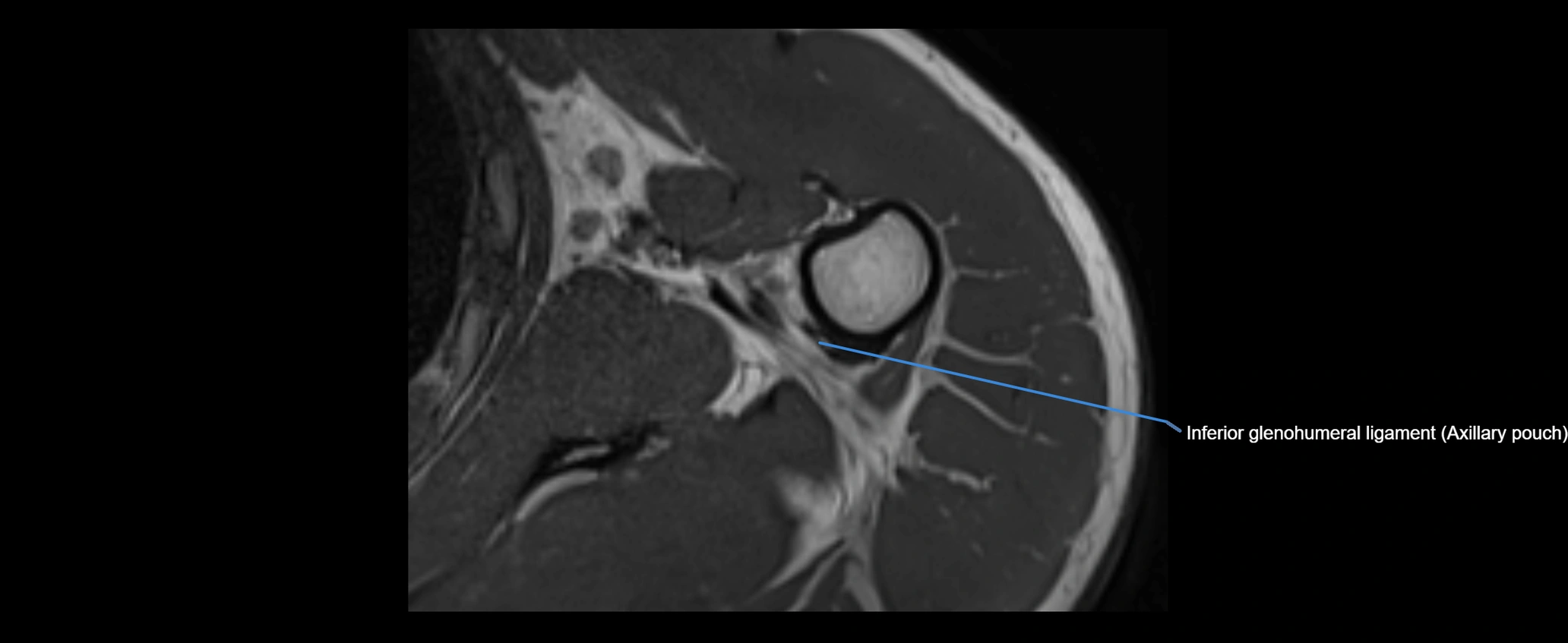
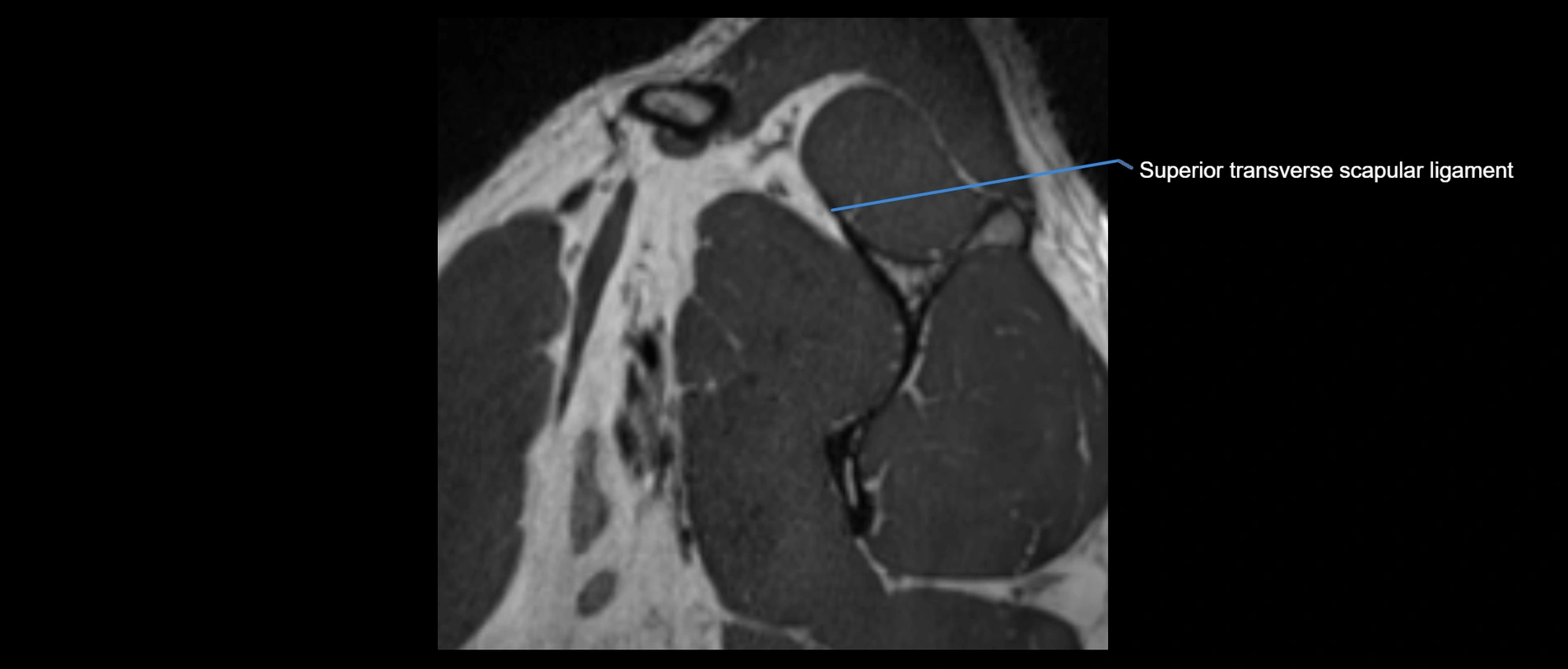
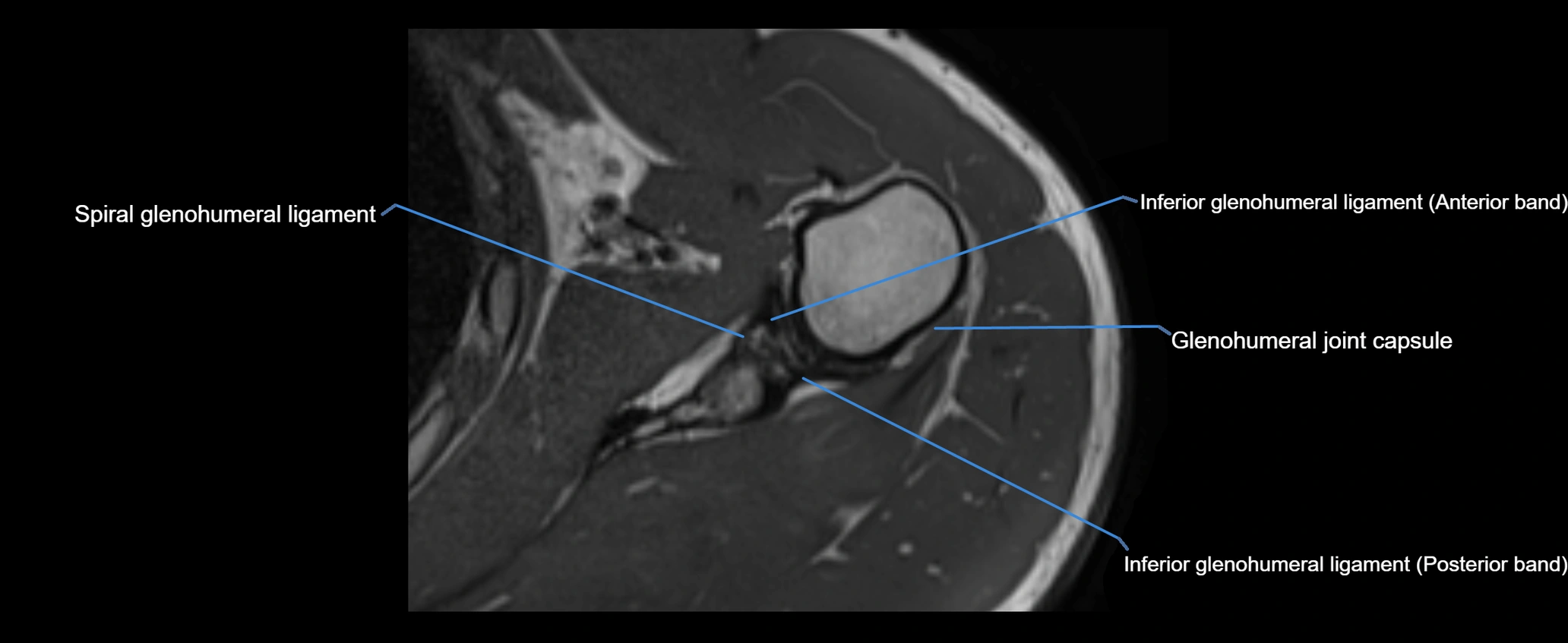
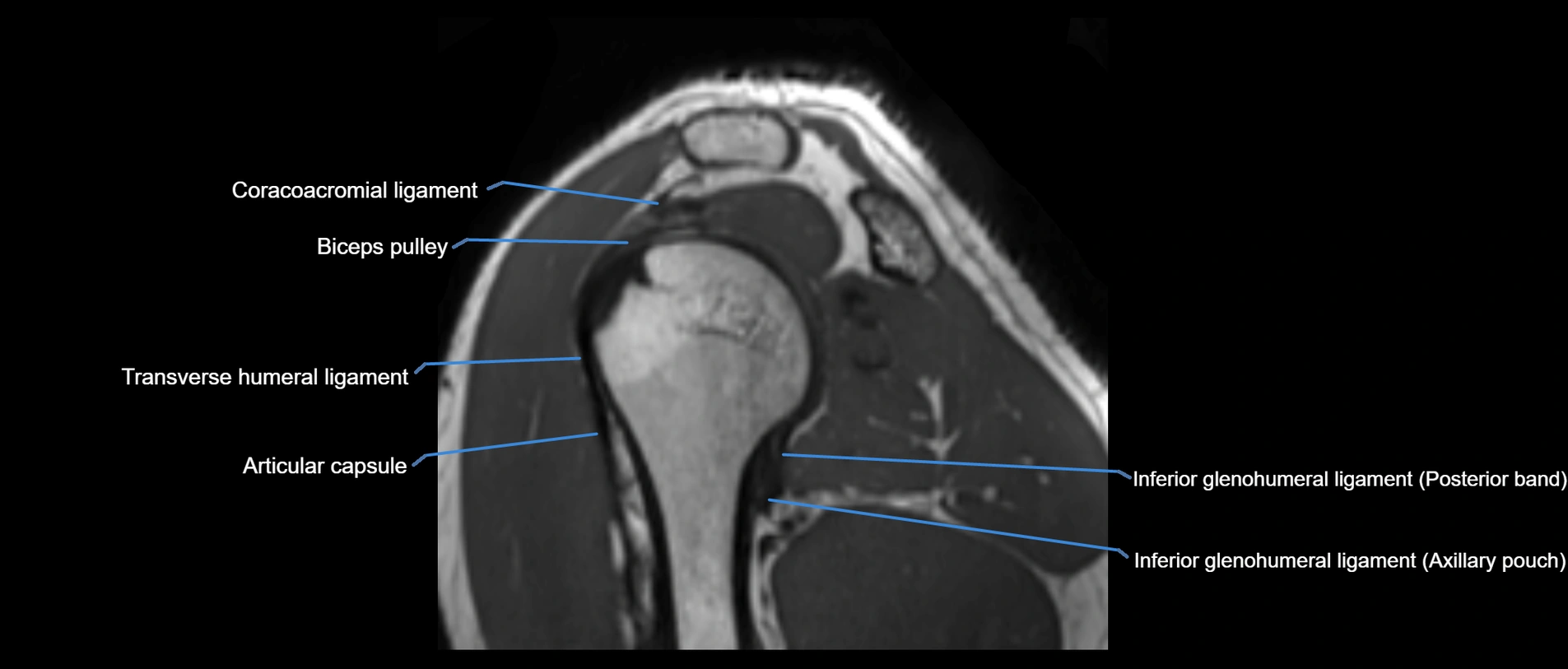
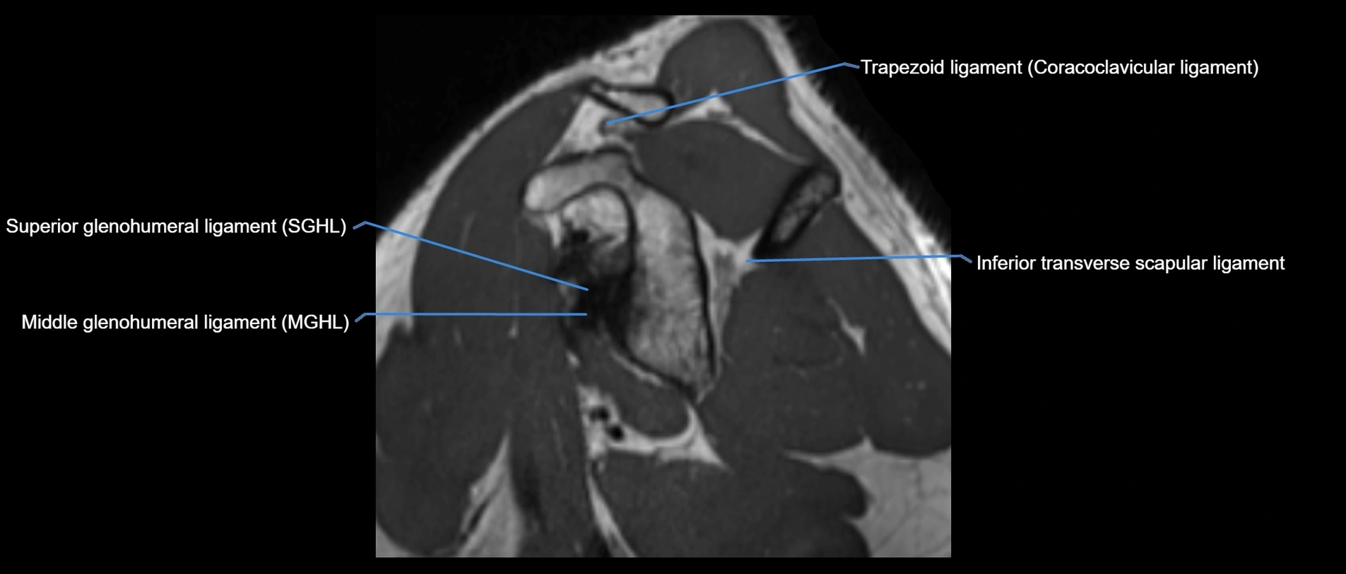
MRI images

image

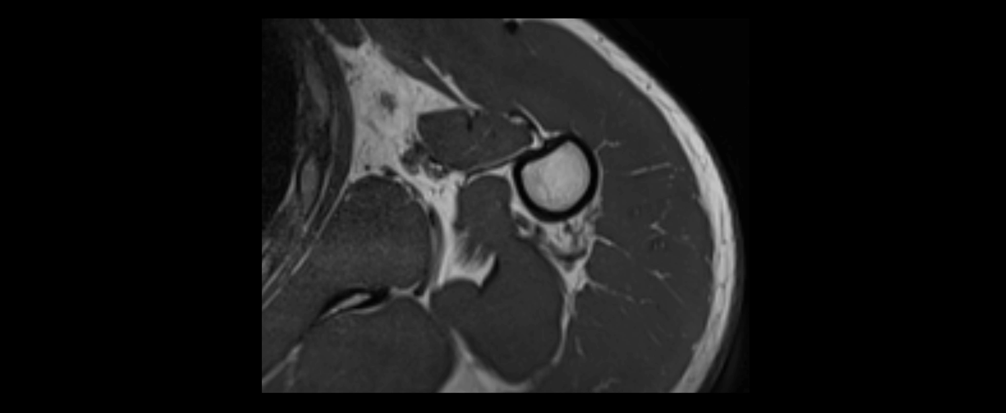
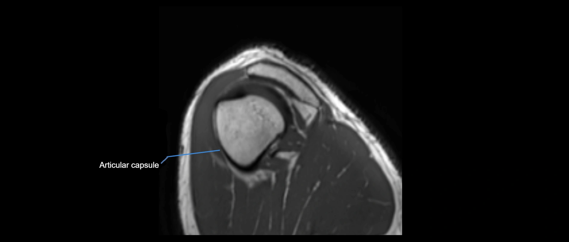
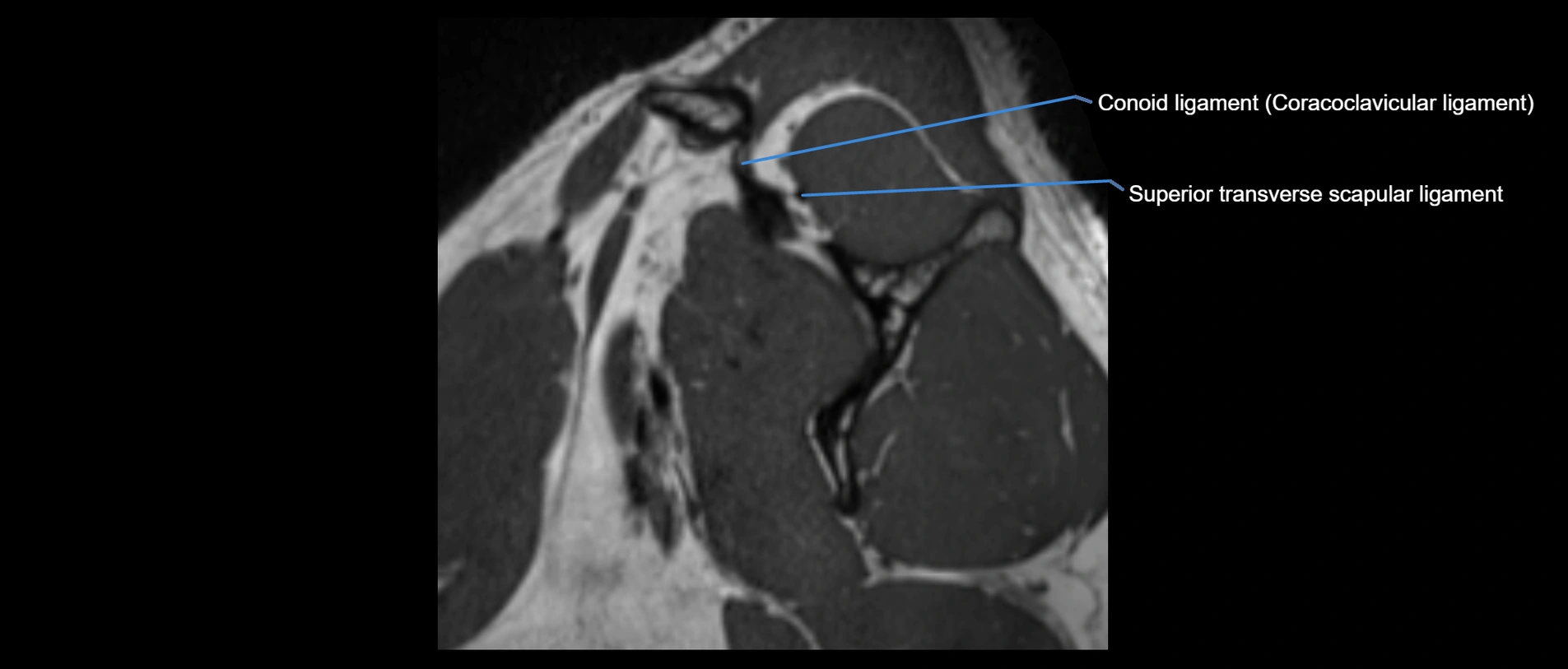
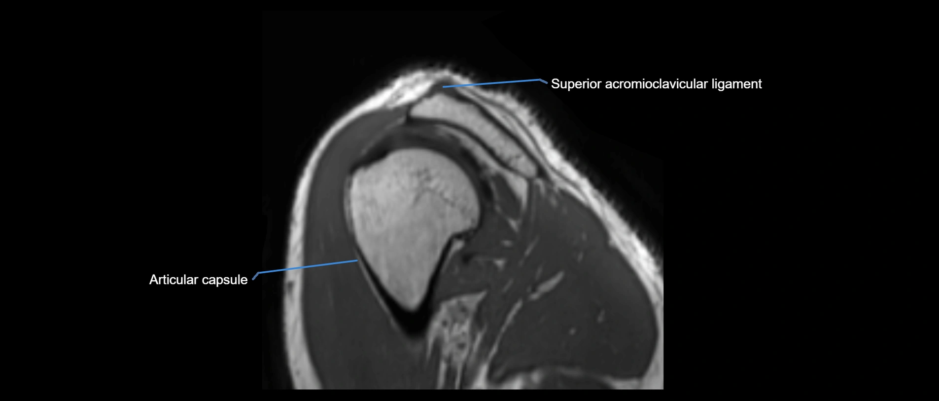
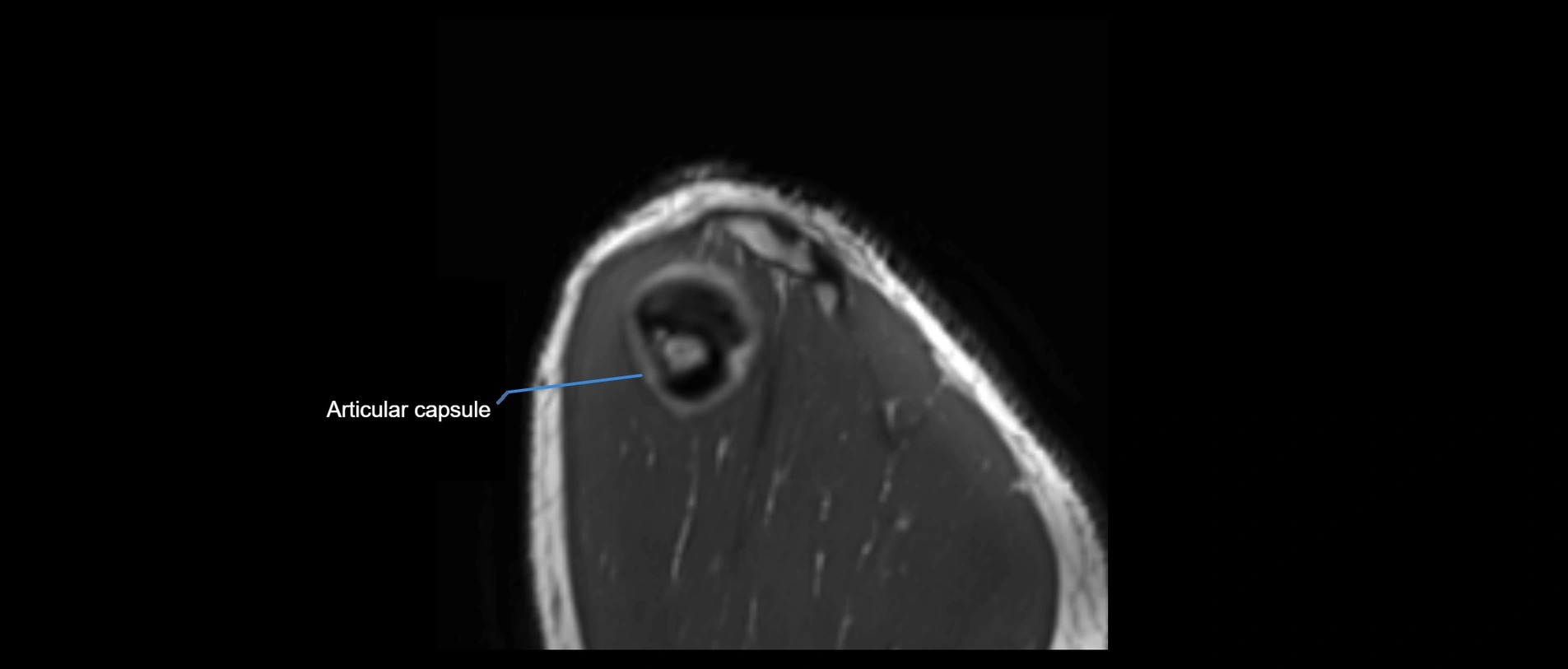
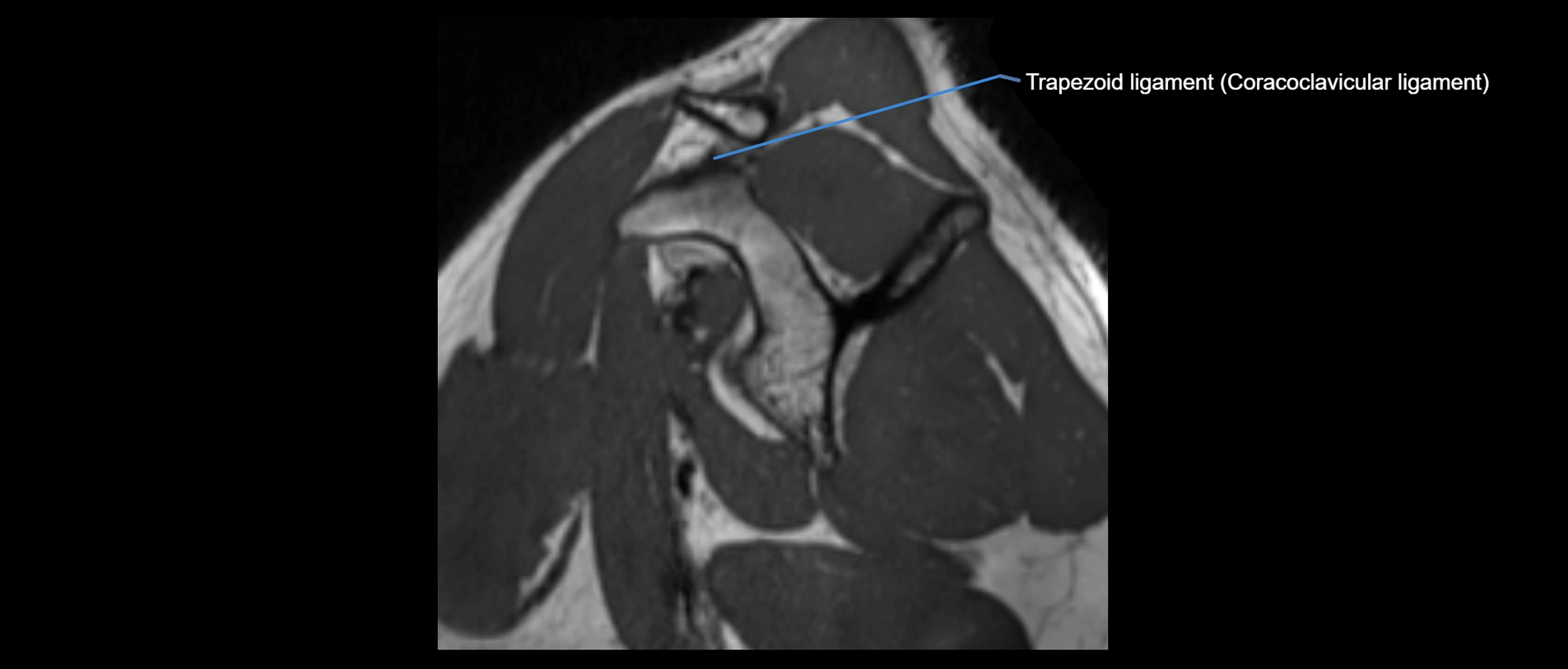
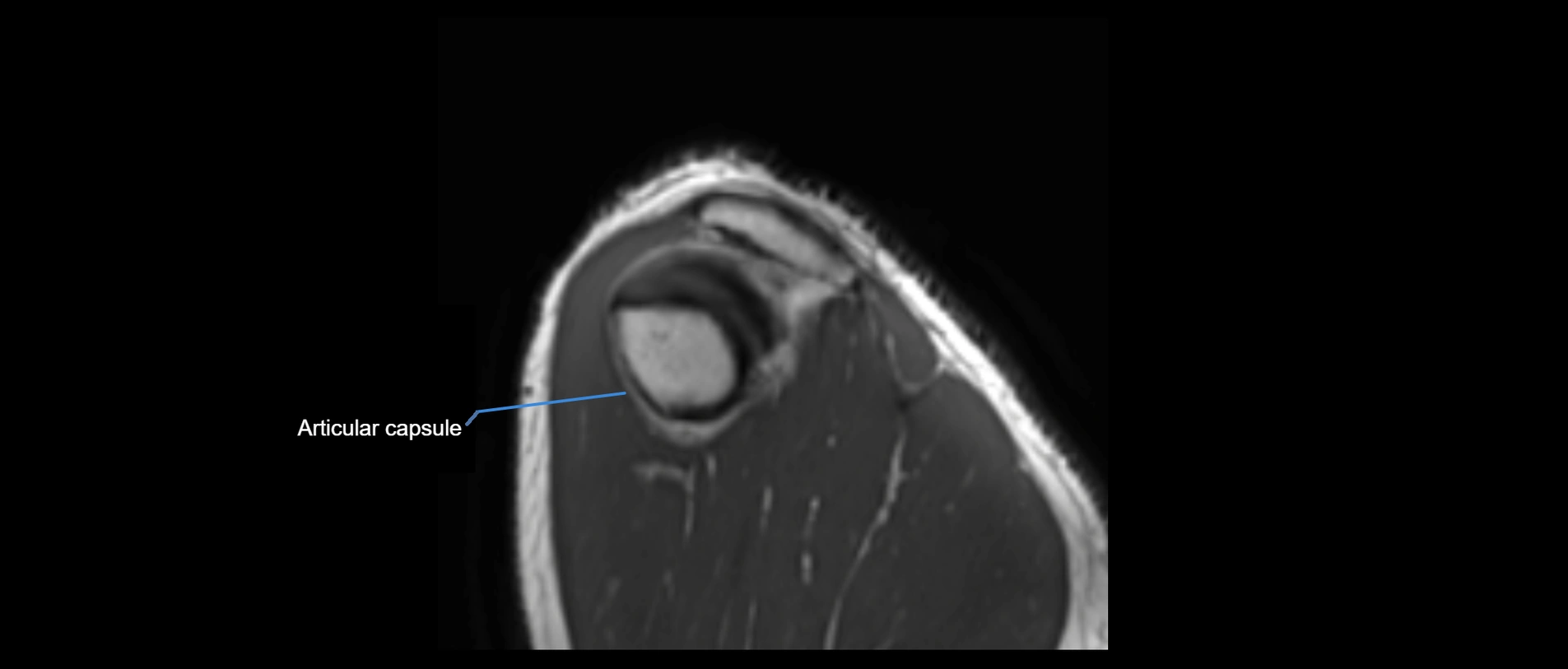
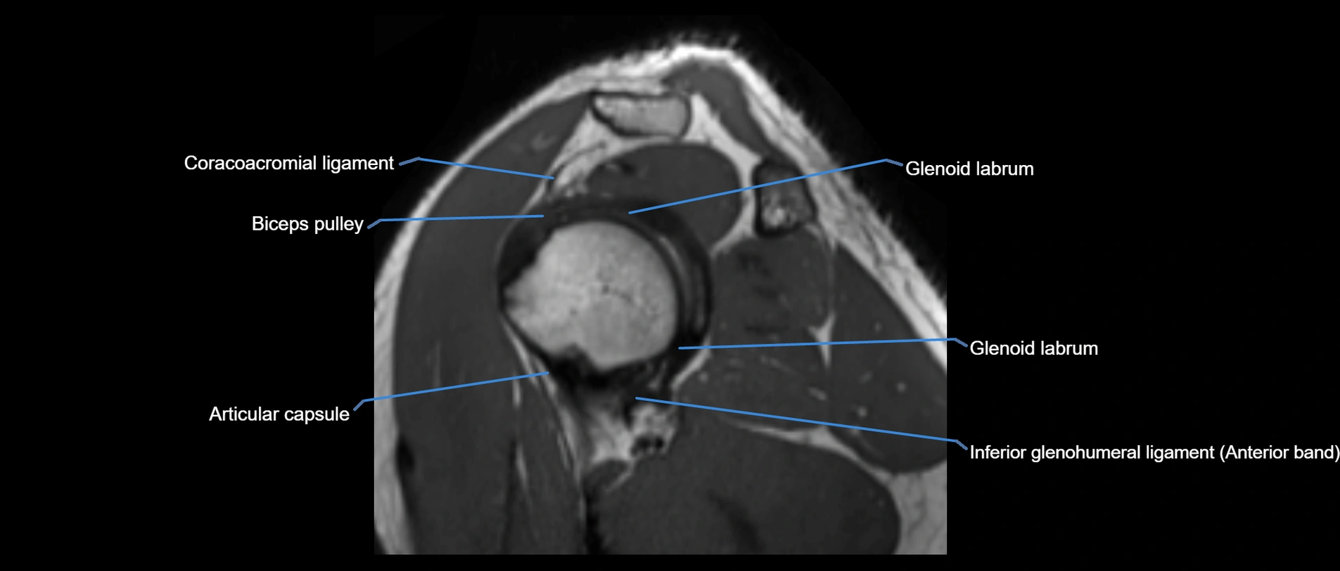
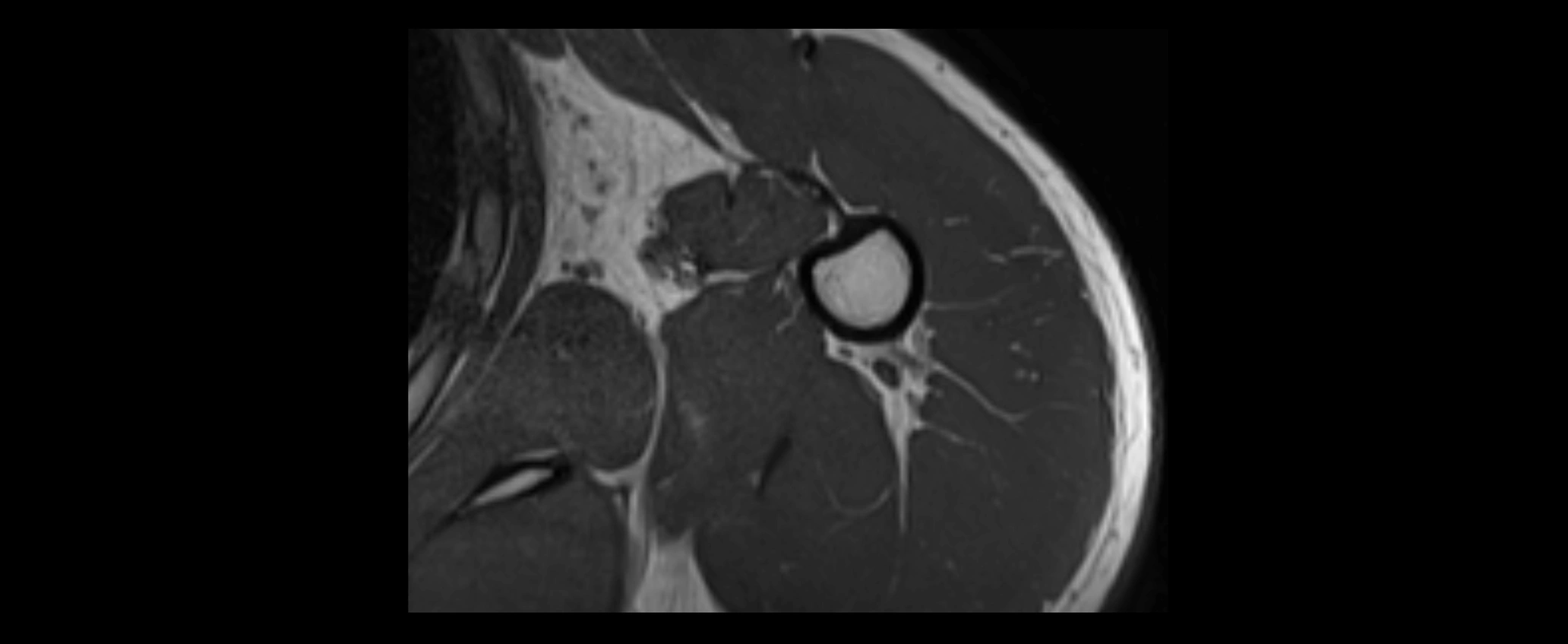
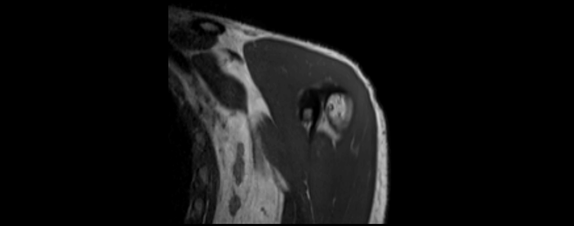
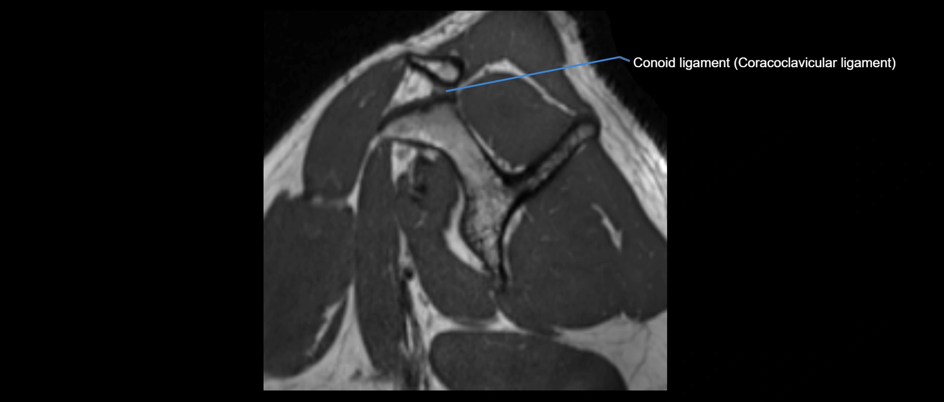
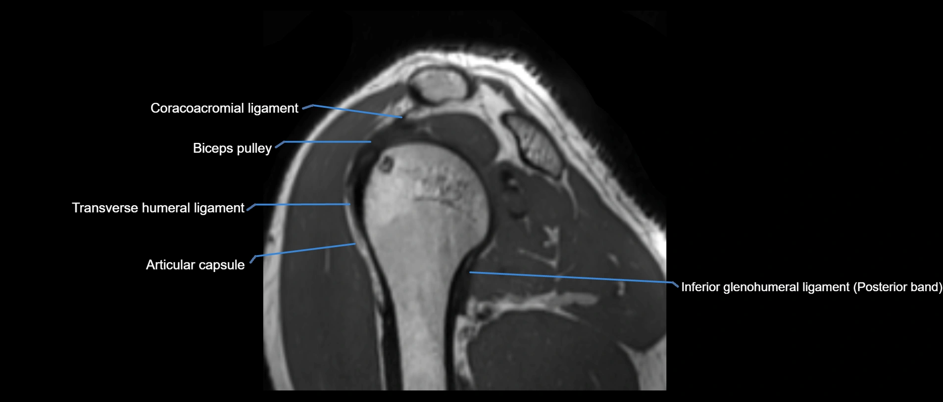
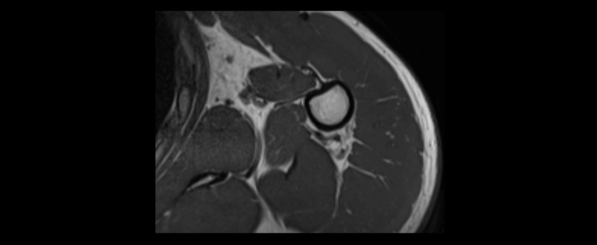
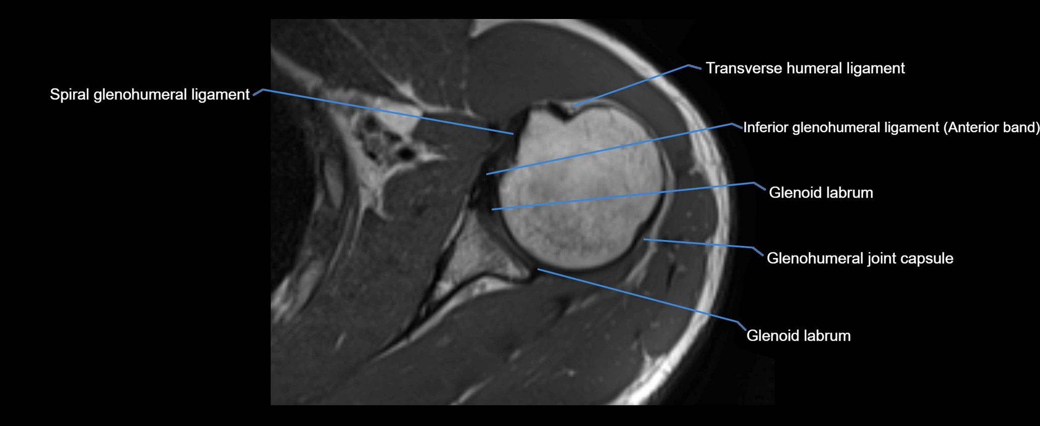
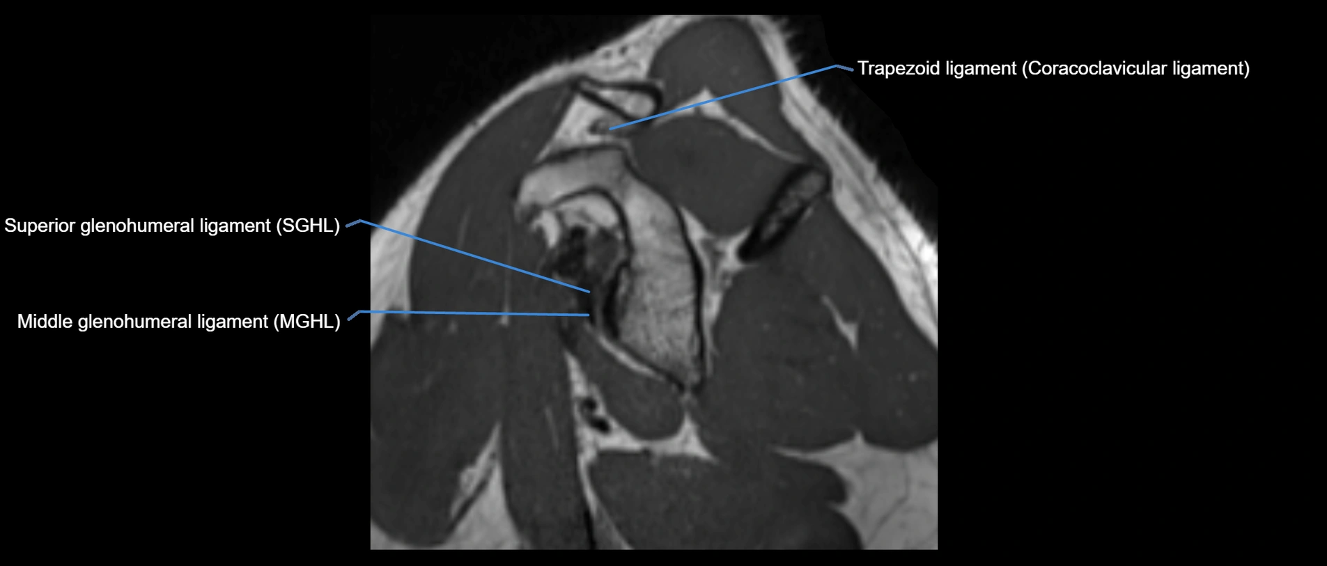
CT image

image

TEST YOURSELF

🔒

Subscribe to access quizzes

Login & Subscribe
Fullscreen Image