🎙️ Voice Topic Search

🎤 Ready to Search

Click the voice button again and speak the topic name you want to search for.

Example: "Heart anatomy", "Brain structure", "Kidney function"


Anterior sternoclavicular ligament

The anterior sternoclavicular ligament (ASCL) is the thickened anterior portion of the joint capsule of the sternoclavicular (SC) joint, reinforcing the articulation between the sternal end of the clavicle and the manubrium of the sternum. As one of the key stabilizers of the SC joint, it prevents excessive anterior and superior translation of the clavicle during upper limb movement.

The ligament spans obliquely from the anterior surface of the manubrium to the anterior aspect of the medial clavicle. Its strength is essential for shoulder girdle stability, as the SC joint serves as the only true synovial articulation connecting the upper limb to the axial skeleton.

Synonyms

  • Anterior SC ligament

  • Anterior sternoclavicular capsular thickening

  • Anterior claviculo-sternal ligament

Location and Structure

  • Position: Lies on the anterior surface of the sternoclavicular joint, connecting the manubrium to the sternal end of the clavicle.

  • Orientation: Runs obliquely superolaterally from the sternum toward the clavicle.

  • Composition: Dense fibrous connective tissue forming the anterior reinforcement of the SC joint capsule.

  • Thickness: Broad and strong, blending with the surrounding capsule and interclavicular ligament superiorly.

Relations

  • Anteriorly: Skin, superficial fascia, sternocleidomastoid muscle (sternal head).

  • Posteriorly: SC joint capsule, articular disc, and synovial space.

  • Superiorly: Interclavicular ligament.

  • Inferiorly: Manubrial surface and upper costoclavicular region.

  • Laterally: Medial clavicle.

  • Medially: Manubrium of the sternum.

Attachments

  • Manubrial attachment: Anterior surface of the manubrium, just lateral to the jugular notch.

  • Clavicular attachment: Anterior and inferior surfaces of the medial end of the clavicle.

  • Capsular connections: Merges with the joint capsule and attaches partially to the fibrocartilaginous articular disc.

Function

  • Joint stabilization: Prevents anterior and superior displacement of the clavicle.

  • Reinforcement: Acts as the primary anterior stabilizer of the SC joint.

  • Load transfer: Assists in transmitting forces from the upper extremity to the axial skeleton.

  • Range control: Limits excessive protraction and elevation of the clavicle during shoulder movement.

Clinical Significance

  • Integral to SC joint mechanics and stability during pushing, pulling, and arm elevation.

  • Important anatomical landmark in imaging and surgical exploration of the sternoclavicular joint.

  • Frequently evaluated in trauma settings due to its role in preventing anterior SC joint dislocation.

  • Provides structural insight when assessing SC joint swelling or prominence.

MRI Appearance

T1-weighted images

  • Ligament appears as a low-signal (dark) linear band on the anterior aspect of the SC joint.

  • Surrounding fat appears bright, providing contrast with the ligament.

  • The clavicle and manubrium show normal cortical low signal with bright fatty marrow internally.

T2-weighted images

  • Ligament remains low signal, darker than adjacent soft tissues.

  • Articular disc and capsule appear as low-signal structures.

  • Joint space fluid (if present physiologically) appears bright.

STIR

  • Ligament maintains low-to-intermediate dark signal.

  • Excellent for outlining adjacent soft-tissue planes due to fat suppression.

  • Surrounding muscles and fascia demonstrate expected intermediate signal.

T1 Fat-Sat Post-Contrast

  • Normal ligament shows no intrinsic enhancement, remaining uniformly low signal.

  • Capsule may show minimal thin enhancement due to vascularized synovium.

  • Fat suppression highlights the ligament’s dark, non-enhancing fibers.

CT Appearance

Non-Contrast CT

  • Ligament appears as a thin soft-tissue density band between clavicle and manubrium.

  • Cortical margins of clavicle and sternum are sharply defined and high-attenuation.

  • Good visualization of bone–ligament interface due to surrounding fat planes

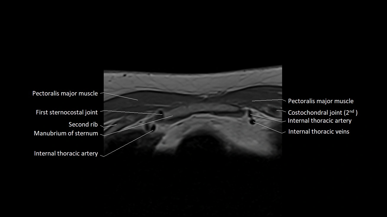
MRI images

image

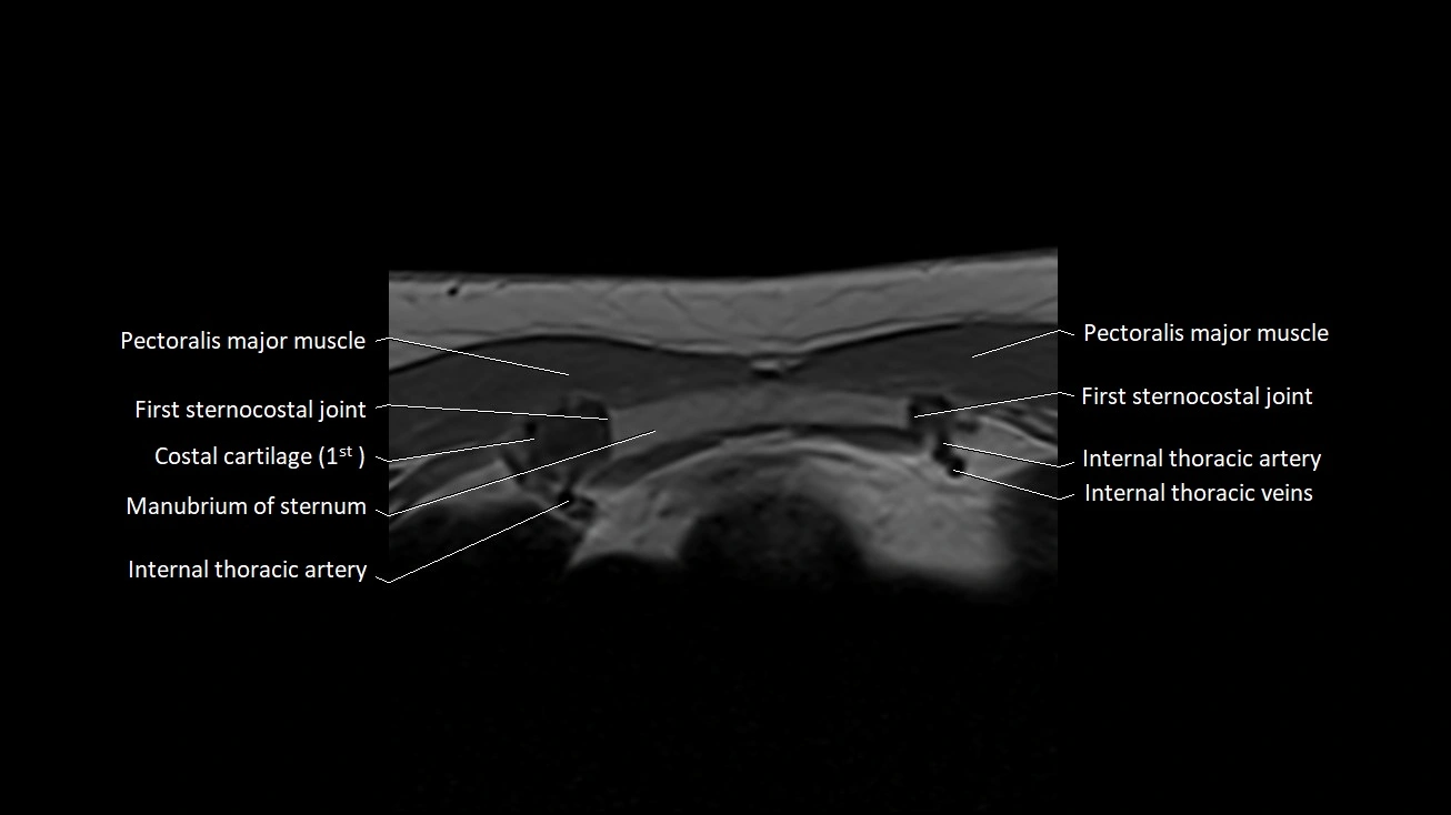
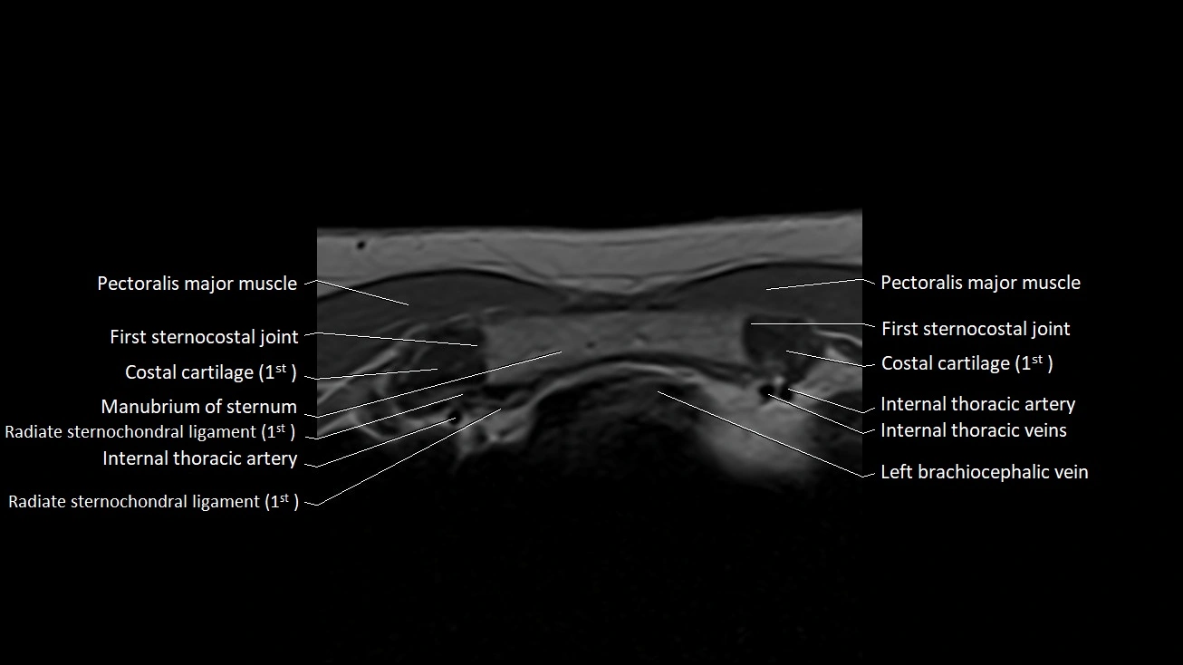
MRI images

image

TEST YOURSELF

🔒

Subscribe to access quizzes

Login & Subscribe
Fullscreen Image