Topics

Topic

design image
Inferior anastomotic vein (Vein of Labbé)

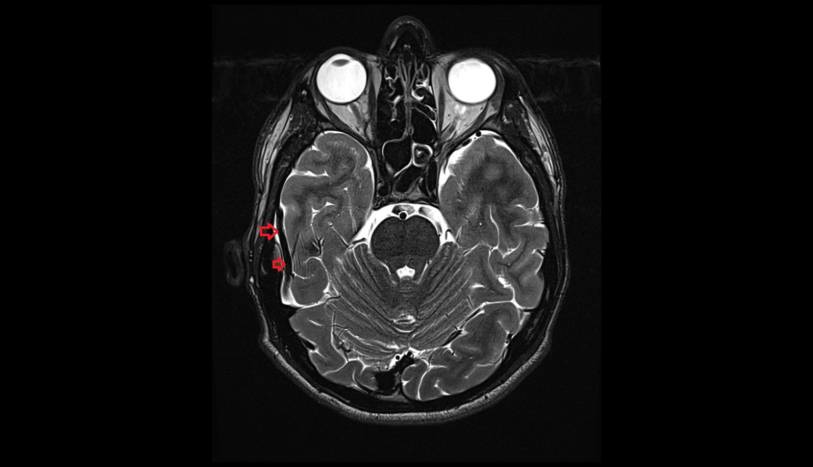
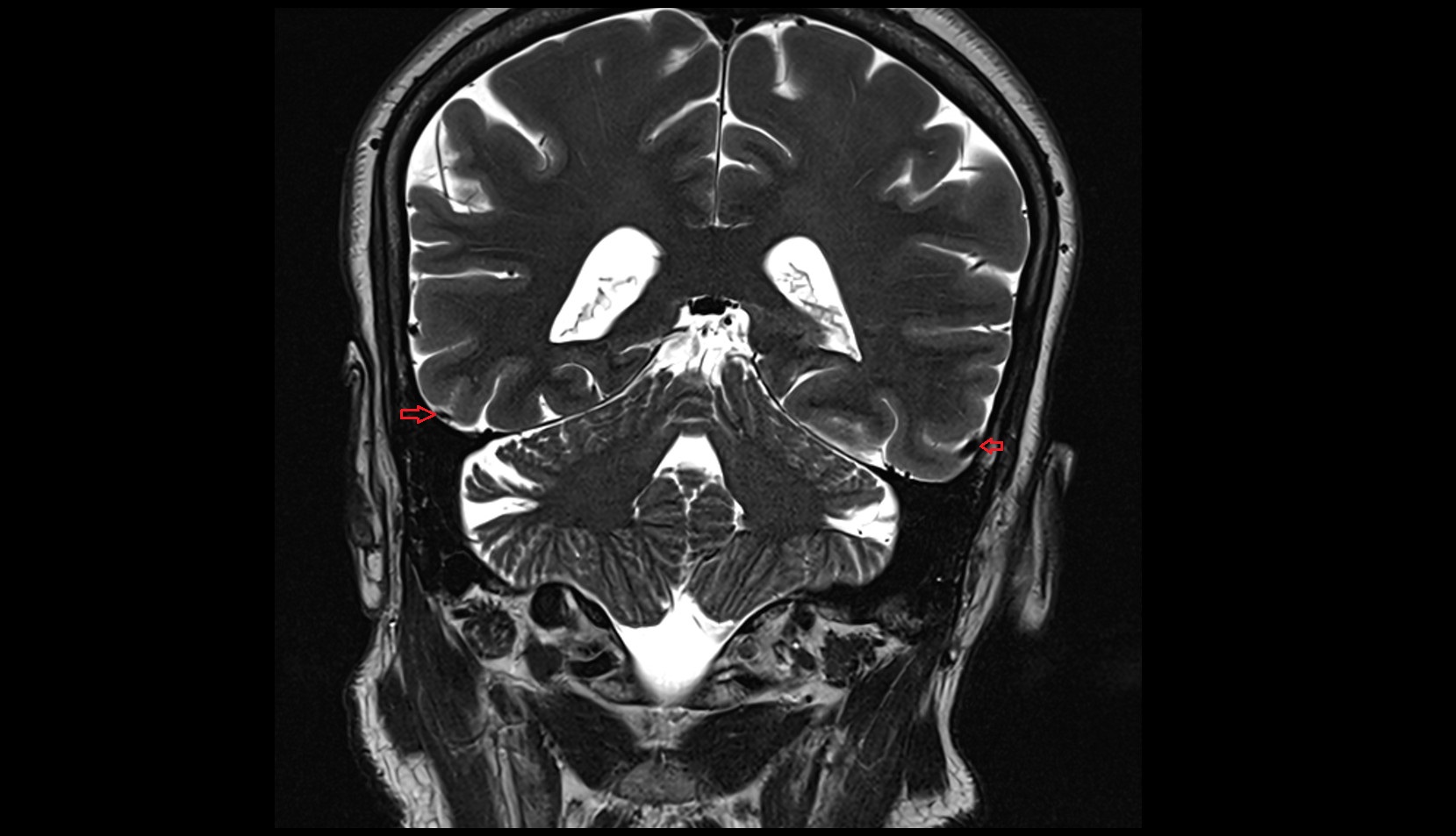
The Inferior Anastomotic Vein (Vein of Labbé) is an important superficial cerebral vein, serving as a major anastomotic channel that connects the superficial middle cerebral vein to the transverse sinus. Running laterally over the temporal lobe, this vein plays a critical role in the venous drainage of the lateral temporal cortex and is highly variable in its size and course. Accurate identification of the vein of Labbé is essential during neurosurgical planning and in interpreting neuroimaging to avoid complications related to venous infarction or hemorrhage.

Synonyms

  • Vein of Labbé

  • Inferior anastomotic vein

  • Labbé vein

Function

  • Provides venous drainage of the lateral surface of the temporal lobe

  • Forms an anastomosis between the superficial middle cerebral vein and the transverse sinus

  • Plays a protective role against venous congestion by offering collateral drainage pathways

  • Its presence and patency are critical during temporal lobe surgery to prevent postoperative venous infarction

MRI Appearance

  • T2-weighted Imaging (T2):

    • The vein appears as a tubular structure of low signal intensity (flow void) due to fast-flowing blood

    • Typically runs over the lateral surface of the temporal lobe

    • May be difficult to visualize if flow is slow or in cases of thrombosis (may then appear hyperintense)

  • T1-weighted Imaging (T1):

    • The vein appears as a signal void (dark tubular structure) against the relatively higher signal intensity of the brain parenchyma

    • Less conspicuous compared to T2 due to lower intrinsic contrast

  • Phase-Contrast 3D MR Venography (PC 3D):

    • Provides high-resolution, three-dimensional visualization

    • The vein of Labbé appears as a well-defined, enhancing venous channel connecting the superficial middle cerebral vein to the transverse sinus

    • Best sequence to assess patency, course, and anatomical variations

  • Post-Contrast T1-weighted Imaging:

    • After gadolinium administration, the vein enhances brightly (high signal) due to opacification by contrast material

    • The course and connections become more conspicuous

    • Useful for differentiating veins from adjacent non-enhancing structures or lesions

CT and CTV Appearance

  • Non-contrast CT:

    • The vein of Labbé is usually not visible unless calcified or thrombosed

    • May appear as a faint linear density overlying the temporal lobe in rare cases

  • CT Venography (CTV):

    • Appears as a linear or curvilinear enhancing structure coursing over the temporal lobe, connecting the superficial middle cerebral vein to the transverse sinus

    • Clearly visible in the venous phase due to opacification with contrast

    • CTV is excellent for delineating the anatomy and identifying variants or thrombosis

MRI images

Inferior anastomotic vein (Labbé) MRI 3T axiall image

MRI images

Inferior anastomotic vein (Labbé) MRI 3T coronal image