Topics

Topic

design image
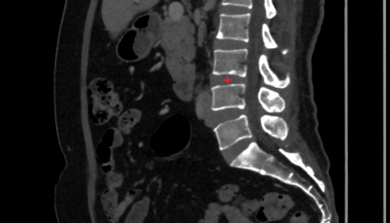
L3–L4 Intervertebral Disc

The L3–L4 intervertebral disc is a lumbar disc positioned between the bodies of the third (L3) and fourth (L4) lumbar vertebrae. It is located in the mid-lumbar region, an area of significant spinal mobility and load transmission. While it is less commonly involved in pathology than L4–L5 and L5–S1, degeneration or herniation at L3–L4 can still cause important neurological symptoms due to its relationship with the exiting L3 and traversing L4 nerve roots.

This disc plays a vital role in shock absorption, flexibility, and stability of the lumbar spine.

Synonyms

  • L3–L4 disc

  • Mid-lumbar intervertebral disc

  • Lumbar disc at L3–L4 level

Structure

  • Annulus fibrosus: Peripheral concentric lamellae of fibrocartilage providing tensile strength and containment of the nucleus.

  • Nucleus pulposus: Central gelatinous core, highly hydrated in youth, acting as the main shock absorber.

  • Cartilaginous endplates: Hyaline cartilage plates attaching the disc to L3 and L4 vertebral bodies, permitting nutrient diffusion.

Relations

  • Anteriorly: Anterior longitudinal ligament and retroperitoneal tissues

  • Posteriorly: Posterior longitudinal ligament, epidural space, dural sac, and traversing L4 nerve root

  • Laterally: Exiting L3 nerve roots within the intervertebral foramina

  • Superiorly: Body of L3 vertebra

  • Inferiorly: Body of L4 vertebra

Function

  • Absorbs axial loads and distributes forces through the lumbar spine

  • Provides flexibility for flexion, extension, and lateral bending

  • Contributes to the stability of the lumbar curve and posture

Clinical Significance

  • Disc herniation: May compress the traversing L4 nerve root, causing anterior thigh pain, quadriceps weakness, and reduced patellar reflex

  • Degenerative disc disease: Loss of hydration and disc height, leading to back pain and stiffness

  • Spinal stenosis: Narrowing of the canal at L3–L4 due to disc bulge and facet hypertrophy

  • Disc infection: Spondylodiscitis may involve the disc and adjacent vertebral endplates

MRI Appearance

T1-weighted images:

  • Nucleus pulposus: Intermediate-to-low signal intensity

  • Annulus fibrosus: Low signal intensity (dark ring encircling the disc)

  • Degeneration: both nucleus and annulus show further loss of signal, appearing uniformly dark

T2-weighted images:

  • Nucleus pulposus: Normally bright signal due to high water content

  • Annulus fibrosus: Low signal intensity outer ring

  • Degenerated disc: nucleus loses brightness (dark disc), annulus becomes more irregular and indistinct

  • Herniation: focal extension of disc material into canal or foramina

STIR (Short Tau Inversion Recovery):

  • Nucleus pulposus: Normally bright signal due to high water content

  • Annulus fibrosus: Low signal intensity outer ring

  • Pathology (edema, inflammation, infection, acute degeneration): areas of hyperintensity within disc and adjacent vertebral endplates

T1 Fat-Sat Post-Contrast:

  • Normal disc: minimal or no enhancement

  • Annular tear: may enhance along fissures

  • Infection: diffuse enhancement of nucleus and annulus, often with adjacent vertebral endplate involvement

  • Tumor infiltration: irregular, intense enhancement

CT Appearance

Non-Contrast CT:

  • Disc appears as soft tissue density structure between vertebral bodies

  • Nucleus and annulus not distinctly separated

  • Degeneration: reduced disc height, vacuum phenomenon, or calcification

  • Herniation: focal posterior or lateral soft tissue protrusion

Post-Contrast CT:

  • Normal disc: minimal enhancement

  • Infection: disc and adjacent vertebrae enhance diffusely, sometimes with paraspinal collections

  • Tumor infiltration: irregular heterogeneous enhancement

MRI image

L3–L4 Intervertebral Disc mri anatomy  image

CT image

L3–L4 Intervertebral Disc  CT sagittal  anatomy  image-img-00000-00000