Topics

Topic

design image
Liver Segment VI – Right posteroinferior segment

The right posteroinferior segment (Segment VI) is part of the right hepatic lobe, defined in Couinaud’s classification. It is located posteriorly and inferiorly in the right lobe, below the plane of the right portal vein, and lateral to Segment V (anteroinferior right lobe). Its posterior surface lies against the right kidney and diaphragm, and its inferior surface contributes to the hepatic border near the colic flexure.

Segment VI is drained by the right hepatic vein, which separates it from Segment VII superiorly. Medially, it is bounded by Segment V, while superiorly it borders Segment VII. Inferiorly, it reaches the visceral surface of the liver.

Clinically, Segment VI is important in hepatic resections, oncology (common site for metastases), trauma imaging, and interventional radiology, due to its posterior position and relation to retroperitoneal structures.

Synonyms

  • Segment VI of the liver

  • Right posteroinferior segment

  • Couinaud Segment VI

Function

  • Participates in hepatic metabolism, detoxification, bile secretion, and protein synthesis

  • Processes blood from the portal circulation of intestines

  • Plays a key role in surgical segmentectomy and subsegmental resection

Nerve Supply

  • Hepatic plexus (parasympathetic fibers from vagus nerve + sympathetic fibers from celiac plexus)

Arterial Supply

  • Segment VI is supplied by branches of the right hepatic artery

Venous Drainage

  • Portal inflow: posterior branch of the right portal vein

  • Hepatic venous outflow: primarily via the right hepatic vein into the IVC

MRI Appearance and Signal

T1-weighted images:

  • Segment VI parenchyma shows intermediate signal intensity, iso- to slightly hyperintense compared with rest of liver

  • Clear fat planes against the right kidney and diaphragm

T2-weighted images:

  • Parenchyma is intermediate signal; cysts, edema, or hemangiomas are hyperintense

  • Helps delineate lesions against normal background

STIR:

  • Suppresses fat, increasing visibility of edema, inflammation, or infiltrative lesions

  • Useful in trauma and tumor detection

T1 Fat-Saturated (Pre-contrast):

  • Parenchyma shows intermediate homogeneous signal, distinct from suppressed perihepatic fat

T1 Fat-Saturated Post-Contrast (Dynamic Gadolinium):

  • Arterial phase: brisk homogeneous enhancement

  • Portal venous phase: uniform enhancement, iso with the rest of the liver

  • Delayed phase: persistent homogeneous signal unless lesion present

MRI Non-Contrast 3D Imaging:

  • Useful for mapping caudocranial extent and relation to right hepatic vein and kidney

  • Applied in preoperative planning and donor liver evaluation

Triple-Phase MRI (Dynamic Contrast):

  • Arterial phase: highlights hypervascular lesions (HCC, NET metastases)

  • Portal venous phase: hypovascular lesions (metastases, cholangiocarcinoma) are more conspicuous

  • Delayed phase: fibrosis, scars, or cholangiocarcinoma show persistent enhancement

CT Appearance

CT Pre-Contrast:

  • Segment VI appears isoattenuating with liver parenchyma

  • Borders defined by diaphragm, kidney, and colonic flexure

CT Post-Contrast (Single Phase):

  • Enhances homogeneously with other liver parenchyma

  • Lesions become visible by altered enhancement

Triple-Phase CT (Liver Protocol):

  • Arterial phase: homogeneous enhancement in normal tissue; hypervascular lesions appear bright

  • Portal venous phase: parenchyma uniformly enhanced; hypovascular lesions (e.g., metastases) stand out

  • Delayed phase: uniform washout in normal parenchyma; fibrosis and cholangiocarcinoma show persistent enhancement

CT image

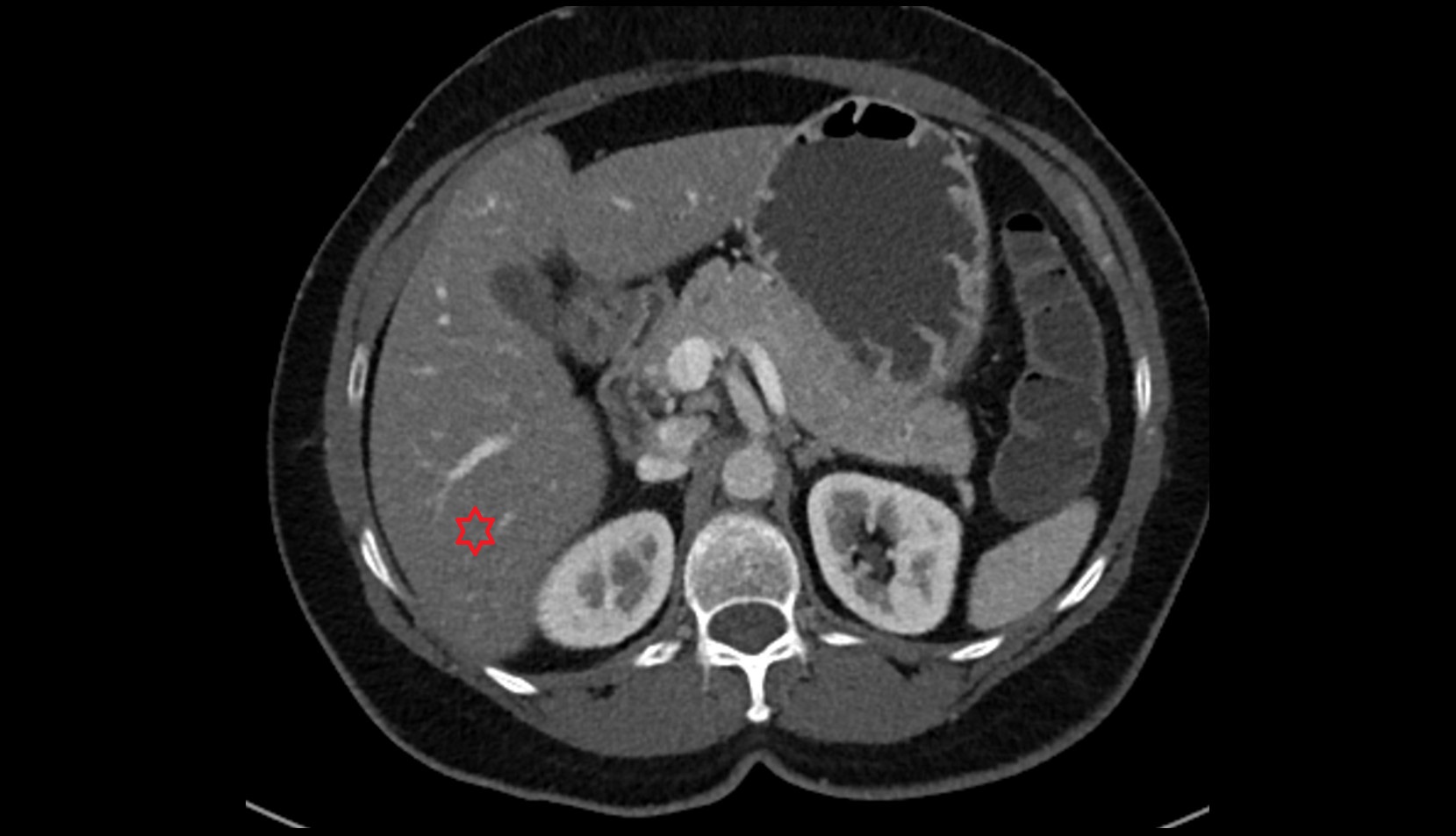
Liver right  posteroinferior segment — Segment VI   CT  axial  anatomy  image

CT image

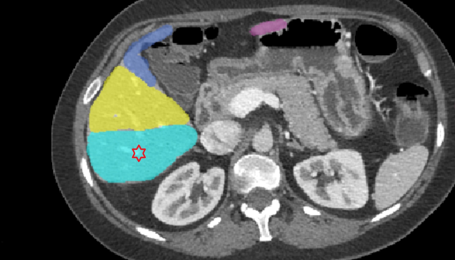
Liver right posteroinferior segment — Segment VI CT axial image

MRI image

Liver right posteroinferior segment — Segment VI  MRI  axial  anatomy  image