Topics

Topic

design image
Liver Segment VIII – Right anterosuperior segment

The right anterosuperior segment (Segment VIII) is the largest segment of the liver, situated in the anterior superior portion of the right hepatic lobe. According to Couinaud’s classification, it is located above the right portal vein and anterior to Segment VII. It lies superior to Segment V (anteroinferior) and is separated from the left lobe by the middle hepatic vein and from the posterior right lobe by the right hepatic vein.

Segment VIII extends to the superior surface of the liver and is in close relation to the diaphragm. It is subdivided into dorsal (posterior) and ventral (anterior) subsegments based on internal portal venous branching.

This segment is of high surgical relevance because of its large volume and central location. It is frequently involved in primary liver tumors (HCC), metastases, and surgical resections, especially in right hepatectomy or segmentectomy procedures.

Synonyms

  • Segment VIII of the liver

  • Right anterosuperior hepatic segment

  • Superior anterior right lobe segment

Function

  • Participates in metabolism, detoxification, and bile production as part of the right lobe

  • Processes nutrients from the portal circulation

  • Serves as a functional unit in hepatic surgery and oncology

Nerve Supply

  • From the hepatic plexus (parasympathetic vagus fibers + sympathetic fibers from the celiac plexus)

Arterial Supply

  • Branches of the right hepatic artery, specifically the anterior superior branch

Venous Drainage

  • Portal inflow: anterior superior branch of the right portal vein

  • Hepatic venous outflow: primarily drained by the middle hepatic vein (anteromedial aspect) and right hepatic vein (anterolateral aspect), both entering the IVC

MRI Appearance and Signal

T1-weighted images:

  • Segment VIII parenchyma shows intermediate signal intensity, iso- to slightly hyperintense relative to background liver

  • Flowing blood in the portal vein lumen: signal void (black)

T2-weighted images:

  • Segment VIII parenchyma: intermediate signal

  • Lesions (cysts, edema, tumors) appear bright hyperintense

  • Portal vein lumen: dark flow void, unless flow is slow

STIR:

  • Suppresses fat, making hepatic parenchyma homogeneous

  • Highlights edema, inflammation, or infiltrative pathology

T1 Fat-Saturated (Pre-contrast):

  • Segment VIII parenchyma appears intermediate signal against suppressed perihepatic fat

  • Vessels remain signal voids

T1 Fat-Saturated Post-Contrast (Dynamic Gadolinium):

  • Arterial phase: homogeneous enhancement of parenchyma, with hypervascular lesions (HCC, NET metastases) appearing as bright nodules

  • Portal venous phase: parenchyma enhances uniformly; hypovascular lesions (mets, cholangiocarcinoma) stand out as darker

  • Delayed phase: uniform washout of contrast in normal parenchyma; fibrotic or malignant lesions may show persistent enhancement

MRI Non-Contrast 3D Imaging:

  • Provides 3D mapping of Segment VIII boundaries, vascular inflow, and venous drainage

  • Used in surgical planning and donor transplant evaluation

Triple-Phase MRI (Dynamic Contrast):

  • Arterial phase: shows hypervascular lesions within Segment VIII

  • Portal venous phase: hypovascular lesions best visualized against enhanced parenchyma

  • Delayed phase: fibrosis or cholangiocarcinoma appear with persistent enhancement

CT Appearance

CT Pre-Contrast:

  • Segment VIII appears isoattenuating to the rest of liver parenchyma

  • Borders defined by fissures of hepatic veins

CT Post-Contrast (Single Phase):

  • Uniform enhancement with rest of the liver

  • Lesions become conspicuous depending on vascularity

Triple-Phase CT (Liver Protocol):

  • Arterial phase: homogeneous parenchymal enhancement; hypervascular lesions (HCC, carcinoid mets) appear hyperdense

  • Portal venous phase: uniform enhancement; hypovascular lesions (adenocarcinoma mets, cholangiocarcinoma) become apparent

  • Delayed phase: parenchyma returns to baseline attenuation; scars, fibrosis, or cholangiocarcinoma may retain delayed enhancement

CT image

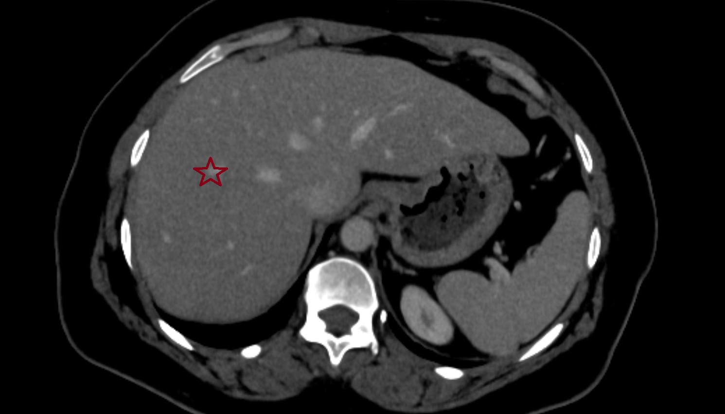
Liver Right anterosuperior segment — Segment VIII   CT  axial  anatomy  image

CT image

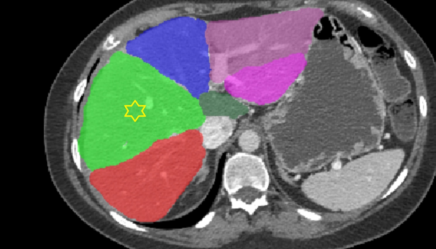
Liver Segment VIII – Right anterosuperior segment  CT  axial  anatomy  image

MRI image

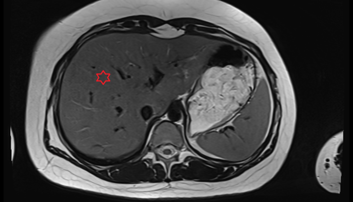
Liver Right anterosuperior segment — Segment VIII  MRI  axial  anatomy  image