Topics

Topic

design image
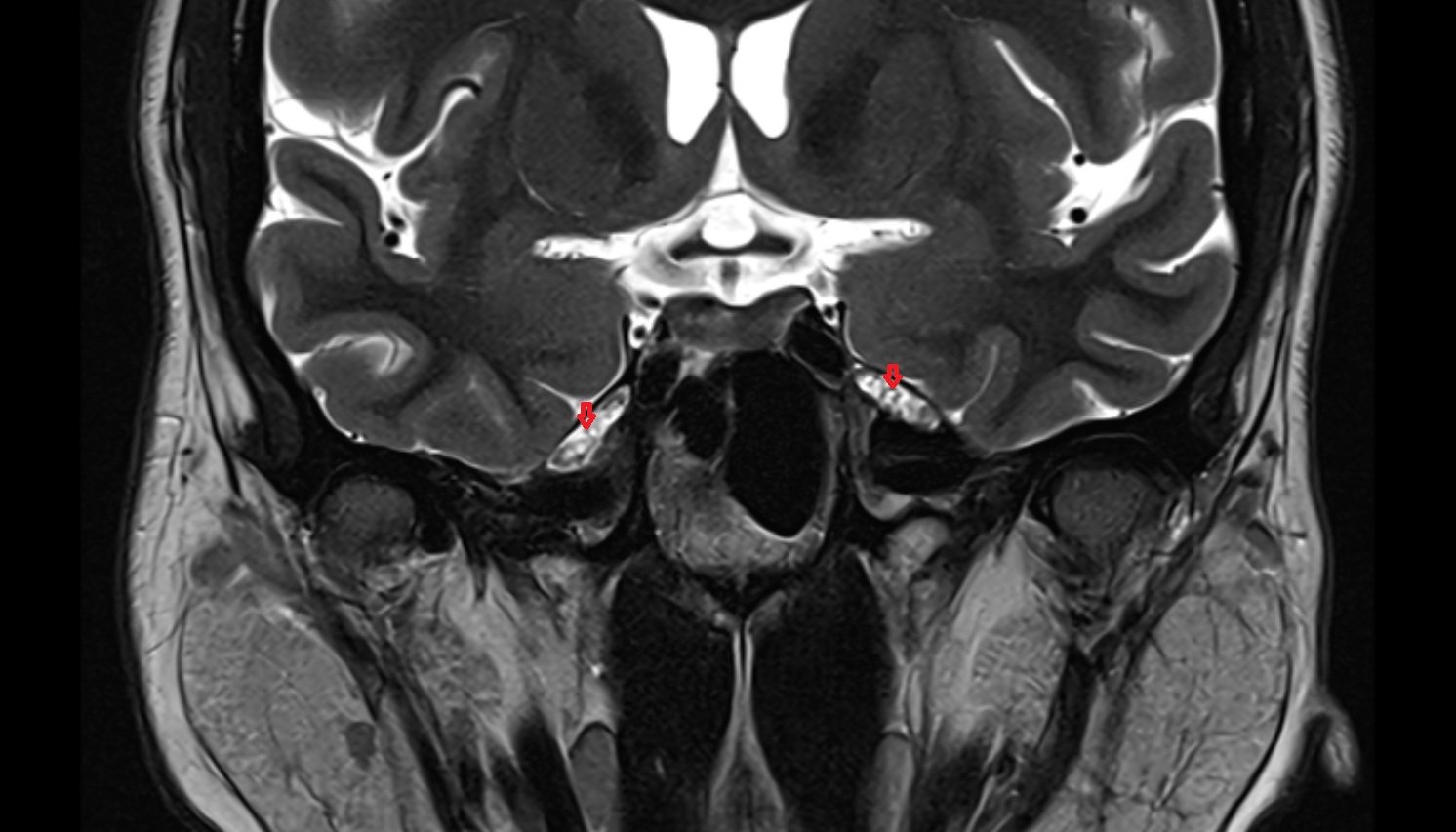
Meckel’s cave (Trigeminal cave)

Meckel’s cave, also known as the trigeminal cave, is a dural recess located in the posterior portion of the cavernous sinus that houses the trigeminal (Gasserian) ganglion and proximal divisions of the trigeminal nerve (cranial nerve V). It is lined by dura and contains cerebrospinal fluid, forming a protective sac for the ganglion. Accurate knowledge of Meckel’s cave anatomy and imaging features is essential for radiologists, neurosurgeons, and neurologists, particularly in the evaluation of trigeminal neuralgia, tumors, and inflammatory lesions.

Synonyms

  • Trigeminal cave

  • Cavum trigeminale

  • Trigeminal ganglion recess

  • Meckel’s dural sac

Function

  • Houses the trigeminal (Gasserian) ganglion, the sensory ganglion for cranial nerve V.

  • Provides a protective dural space for proximal divisions of the trigeminal nerve.

  • Serves as a conduit for sensory fibers from the face, orbit, and oral cavity to the brainstem.

  • Supports vascular supply and cerebrospinal fluid cushioning around the ganglion.

MRI Appearance

T1-weighted images:

  • Meckel’s cave is CSF-filled, appearing hypointense (dark) relative to surrounding brain parenchyma.

  • The trigeminal ganglion appears as a small isointense to slightly hyperintense structure within the cave.

  • Pathological lesions (e.g., trigeminal schwannoma or meningioma) may appear isointense or hypointense and enhance after contrast administration.

T2-weighted images:

  • The cave is hyperintense due to CSF, creating a bright background that clearly outlines the ganglion.

  • Nerve fibers and lesions may be distinguished by intermediate or heterogeneous signal intensity.

  • Useful for detecting edema, cysts, or tumors involving the trigeminal nerve or ganglion.

STIR / Fat-Suppressed Imaging:

  • Fat suppression is used in orbital or skull base protocols to reduce surrounding bone marrow signal.

  • Pathology (inflammation, tumor, or cyst) appears bright hyperintense, while normal CSF remains bright.

CT Appearance

  • Meckel’s cave is not directly visible on non-contrast CT due to being a soft tissue and CSF-filled space.

  • The surrounding petrous apex and sphenoid bone form the margins of the cave, which are clearly visualized.

  • Bony erosion or expansion of the cave due to tumors, meningiomas, or cysts can be detected.

  • Contrast-enhanced CT may show soft tissue density lesions within the cave.

  • CT is particularly useful for evaluating bone involvement, fractures, or osseous expansion of skull base lesions.

MRI images

Meckel’s cave (Trigeminal cave) mri axial image -img-00000-00000

MRI images

Meckel’s cave (Trigeminal cave) mri coronal image -img-00000-00000