Topics

Topic

design image
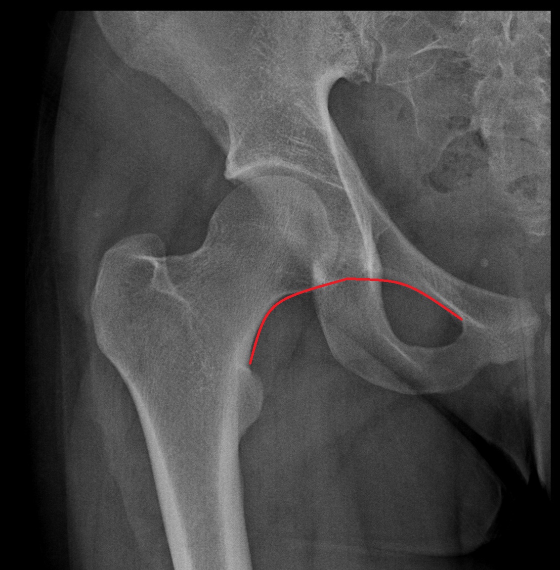
Shenton’s line

Shenton’s line is an imaginary smooth curved line you trace on an AP pelvis/hip X-ray:

  • It runs along the inferior border of the superior pubic ramus

  • and should continue seamlessly along the inferomedial border of the femoral neck

In a normal hip, it forms a continuous arc.
If it’s broken/stepped/disrupted, it suggests abnormal hip alignment, commonly seen with things like:

  • Femoral neck fracture

  • Hip dislocation/subluxation

  • Developmental dysplasia of the hip (DDH) (especially in pediatrics)

  • Slipped capital femoral epiphysis (SCFE) (teens)

X-Ray image

Shenton’s line