Topics

Topic

design image
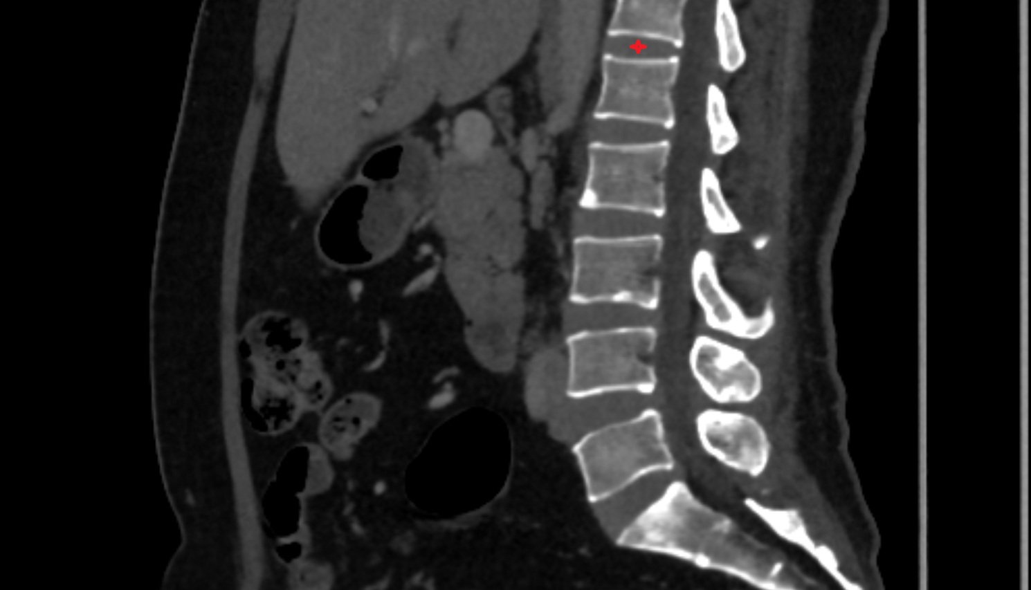
T12–L1 Intervertebral Disc

The T12–L1 intervertebral disc is located at the thoracolumbar junction, where the rigid thoracic spine transitions into the more mobile lumbar spine. This disc experiences a combination of thoracic rigidity and lumbar flexibility, making it important biomechanically and clinically. It cushions and stabilizes the junction, distributes axial load, and allows controlled motion between thoracic and lumbar regions.

Thoracolumbar discs are less prone to herniation compared to lumbar discs, but pathology at this level can produce significant neurological compromise because of the transition from the spinal cord to the conus medullaris and cauda equina.

Synonyms

  • Thoracolumbar intervertebral disc

  • T12–L1 disc

  • Disc of the thoracolumbar junction

Structure

  • Annulus fibrosus: Thick outer fibrocartilaginous lamellae providing tensile strength. More rigid than in lumbar discs due to thoracic influence.

  • Nucleus pulposus: Central gelatinous core, less hydrated than lumbar levels, providing shock absorption.

  • Cartilaginous endplates: Hyaline cartilage connecting disc to vertebral bodies, aiding load transmission and nutrient diffusion.

Relations

  • Anteriorly: Anterior longitudinal ligament and retroperitoneal structures (aorta lies slightly leftward).

  • Posteriorly: Posterior longitudinal ligament, spinal canal, conus medullaris, and dural sac.

  • Laterally: Exiting T12 and L1 nerve roots in the neural foramina.

  • Superiorly/Inferiorly: Vertebral endplates of T12 and L1.

Function

  • Provides shock absorption at the thoracolumbar junction.

  • Allows controlled flexion, extension, and lateral bending.

  • Maintains stability while permitting transitional mobility.

  • Distributes axial load and resists shearing forces.

Clinical Significance

  • Disc herniation: Less common than L4–L5 or L5–S1, but can compress the conus or cauda equina → severe neurological deficits.

  • Degenerative disc disease: May cause local back pain or radiculopathy.

  • Trauma: Thoracolumbar junction is a common site of fracture–dislocation; disc is secondarily involved.

  • Infection/tumors: Can spread to or involve the disc and adjacent vertebrae.

  • Surgical relevance: Accessed in thoracolumbar fusion, decompression, or trauma repair.

MRI Appearance

T1-weighted images:

  • Nucleus pulposus: Intermediate to low signal intensity.

  • Annulus fibrosus: Low signal intensity (dark concentric ring).

  • Degeneration: further loss of nucleus T1 signal.

  • Fatty endplate changes: bright signal.

T2-weighted images:

  • Nucleus pulposus: Normally bright (due to hydration), but less intense than lumbar discs.

  • Annulus fibrosus: Dark concentric ring surrounding nucleus.

  • Degeneration: nucleus loses T2 brightness (dark disc).

  • Herniation: focal protrusion of low-to-intermediate signal annular/nuclear material.

STIR (Short Tau Inversion Recovery):

  • Normal disc: Intermediate to low signal.

  • Nucleus pulposus: Appears brighter  

  • Annulus fibrosus: Remains dark.

  • Pathology: hyperintense if associated with edema, inflammation, or adjacent endplate changes.

T1 Fat-Sat Post-Contrast:

  • Normal disc: Minimal or no enhancement.

  • Nucleus pulposus: Does not enhance.

  • Annulus fibrosus: May show faint peripheral enhancement if fissured.

  • Pathology: infection shows diffuse disc enhancement; herniation shows peripheral enhancement.

CT Appearance

Non-Contrast CT:

  • Disc appears as soft tissue density.

  • Calcifications may be seen within annulus.

  • Degeneration: disc space narrowing, vacuum phenomenon, or sclerosis of endplates.

  • Herniation: soft tissue protrusion into canal or foramina.

Post-Contrast CT:

  • Normal disc: no significant enhancement.

  • Infection: enhancing disc and adjacent endplates with possible paravertebral collections.

  • Tumors: irregular or heterogeneous enhancement involving disc and vertebral body.

  • Scar tissue enhances; residual disc material usually does not.

MRI image

T12-L1  Intervertebral Disc mri anatomy  image

CT image

T12 –L1  Intervertebral Disc  CT sagittal  anatomy  image-img-00000-00000